JavaScript is disabled in your browser. Please enable JavaScript to view this website.
AB251007

Anti-C1QA antibody [EPR14634] - BSA and Azide free

Be the first to review this product! Submit a review

|

(0 Publication)

Rabbit Recombinant Monoclonal C1QA antibody. Carrier free. Suitable for IHC-P, WB and reacts with Human, Rat samples.

View Alternative Names

Complement C1q subcomponent subunit A, C1QA

4 Images
Immunohistochemistry (Formalin/PFA-fixed paraffin-embedded sections) - Anti-C1QA antibody [EPR14634] - BSA and Azide free (AB251007)
  • IHC-P

Supplier Data

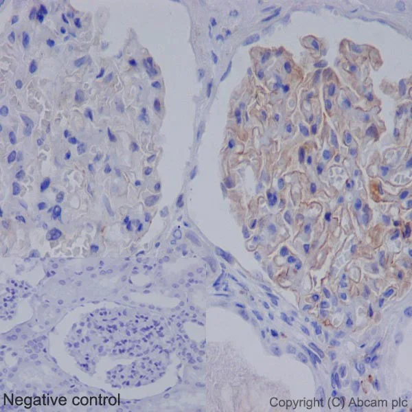
Immunohistochemistry (Formalin/PFA-fixed paraffin-embedded sections) - Anti-C1QA antibody [EPR14634] - BSA and Azide free (AB251007)

This data was developed using ab189922, the same antibody clone in a different buffer formulation.

Immunohistochemical analysis of paraffin-embedded Human kidney tissue labeling C1QA with ab189922 at 1/1000 dilution followed by prediluted HRP Polymer for Rabbit IgG. Counter stained with Hematoxylin.

Perform heat mediated antigen retrieval with Tris/EDTA buffer pH 9.0 before commencing with IHC staining protocol.

Immunohistochemistry (Formalin/PFA-fixed paraffin-embedded sections) - Anti-C1QA antibody [EPR14634] - BSA and Azide free (AB251007)
  • IHC-P

Supplier Data

Immunohistochemistry (Formalin/PFA-fixed paraffin-embedded sections) - Anti-C1QA antibody [EPR14634] - BSA and Azide free (AB251007)

This data was developed using ab189922, the same antibody clone in a different buffer formulation.

Immunohistochemical analysis of paraffin-embedded Rat kidney tissue labeling C1QA with ab189922 at 1/1000 dilution followed by prediluted HRP Polymer for Rabbit IgG. Counter stained with Hematoxylin.

Perform heat mediated antigen retrieval with Tris/EDTA buffer pH 9.0 before commencing with IHC staining protocol.

Western blot - Anti-C1QA antibody [EPR14634] - BSA and Azide free (AB251007)
  • WB

Supplier Data

Western blot - Anti-C1QA antibody [EPR14634] - BSA and Azide free (AB251007)

This data was developed using ab189922, the same antibody clone in a different buffer formulation.

All lanes:

Western blot - Anti-C1QA antibody [EPR14634] (<a href='/en-us/products/primary-antibodies/c1qa-antibody-epr14634-ab189922'>ab189922</a>) at 1/10000 dilution

Lane 1:

Human plasma lysate at 20 µg

Lane 2:

Human serum lysate at 20 µg

Lane 3:

Human spleen tissue lysate at 20 µg

Secondary

All lanes:

Anti-Rabbit IgG (HRP), specific to the non-reduced form of IgG at 1/1000 dilution

Predicted band size: 26 kDa

Observed band size: 26 kDa

false

Western blot - Anti-C1QA antibody [EPR14634] - BSA and Azide free (AB251007)
  • WB

Supplier Data

Western blot - Anti-C1QA antibody [EPR14634] - BSA and Azide free (AB251007)

This data was developed using ab189922, the same antibody clone in a different buffer formulation.

All lanes:

Western blot - Anti-C1QA antibody [EPR14634] (<a href='/en-us/products/primary-antibodies/c1qa-antibody-epr14634-ab189922'>ab189922</a>) at 1/1000 dilution

Lane 1:

C6 cell lysate at 10 µg

Lane 2:

PC-12 cell lysate at 10 µg

Secondary

All lanes:

Anti-Rabbit IgG (HRP), specific to the non-reduced form of IgG at 1/1000 dilution

Predicted band size: 26 kDa

Observed band size: 26 kDa

false

Key facts

Host species

Rabbit

Clonality

Monoclonal

Clone number

EPR14634

Isotype

IgG

Carrier free

Yes

Reacts with

Rat, Human

Applications

WB, IHC-P

applications

Immunogen

The exact immunogen used to generate this antibody is proprietary information.

Reactivity data

{ "title": "Reactivity Data", "filters": { "stats": ["", "Species", "Dilution Info", "Notes"], "tabs": { "all-applications": {"fullname" : "All Applications", "shortname": "All Applications"}, "ICCIF" : {"fullname" : "Immunocytochemistry/ Immunofluorescence", "shortname":"ICC/IF"}, "IHCP" : {"fullname" : "Immunohistochemistry (Formalin/PFA-fixed paraffin-embedded sections)", "shortname":"IHC-P"}, "WB" : {"fullname" : "Western blot", "shortname":"WB"} }, "product-promise": { "all": "all", "testedAndGuaranteed": "tested", "guaranteed": "expected", "predicted": "predicted", "notRecommended": "not-recommended" } }, "values": { "Human": { "ICCIF-species-checked": "notRecommended", "ICCIF-species-dilution-info": "", "ICCIF-species-notes": "<p></p>", "IHCP-species-checked": "testedAndGuaranteed", "IHCP-species-dilution-info": "", "IHCP-species-notes": "<p>For antigen retrieval, heat up to 98 degree C, below boiling, and then let cool for 10-20 minutes.</p>", "WB-species-checked": "guaranteed", "WB-species-dilution-info": "", "WB-species-notes": "" }, "Rat": { "ICCIF-species-checked": "notRecommended", "ICCIF-species-dilution-info": "", "ICCIF-species-notes": "<p></p>", "IHCP-species-checked": "guaranteed", "IHCP-species-dilution-info": "", "IHCP-species-notes": "", "WB-species-checked": "testedAndGuaranteed", "WB-species-dilution-info": "", "WB-species-notes": "<p></p>" } } }

Product details

ab251007 is the carrier-free version of ab189922.

Patented technology
Our RabMAb® technology is a patented hybridoma-based technology for making rabbit monoclonal antibodies. For details on our patents, please refer to RabMAb® patents.

What are the advantages of a recombinant monoclonal antibody?
This product is a recombinant monoclonal antibody, which offers several advantages including:

  • - High batch-to-batch consistency and reproducibility
  • - Improved sensitivity and specificity
  • - Long-term security of supply
  • - Animal-free batch production

For more information, read more on recombinant antibodies.

Conjugation ready
Our carrier-free antibodies are typically supplied in a PBS-only formulation, purified and free of BSA, sodium azide and glycerol. This conjugation-ready format is designed for use with fluorochromes, metal isotopes, oligonucleotides, and enzymes, which makes them ideal for antibody labelling, functional and cell-based assays, flow-based assays (e.g. mass cytometry) and Multiplex Imaging applications.

Use our conjugation kits for antibody conjugates that are ready-to-use in as little as 20 minutes with 1 minute hands-on-time and 100% antibody recovery: available for fluorescent dyes, HRP, biotin and gold.

Compatibility
This product is compatible with the Maxpar® Antibody Labeling Kit from Fluidigm, without the need for antibody preparation. Maxpar® is a trademark of Fluidigm Canada Inc.

Properties and storage information

Form
Liquid
Purification technique
Affinity purification Protein A
Storage buffer
pH: 7.2 - 7.4 Constituents: PBS
Shipped at conditions
Blue Ice
Appropriate short-term storage conditions
+4°C
Appropriate long-term storage conditions
+4°C
Storage information
Do Not Freeze

Supplementary information

This supplementary information is collated from multiple sources and compiled automatically.

The C1QA protein is one part of the complement component 1q (C1q) molecule also called C1Q-A. This protein plays an important role in the immune system. The C1q complex consists of three polypeptide chains: C1QA C1QB and C1QC. C1QA alone has a mass of around 26 kDa. These proteins mainly express in immune cells like macrophages dendritic cells and B cells. It forms part of the extracellular matrix where it participates in immune functions.
Biological function summary

C1QA interacts with pathogens and modified host cells to trigger the complement cascade. This starts the activation of the classical pathway which enhances immune responses. C1QA together with C1QB and C1QC binds to Fc regions of antibodies attached to antigens. This binding leads to the subsequent activation of C1r and C1s proteases facilitating opsonization and clearance of immune complexes and apoptotic cells.

Pathways

The synthesis of C1QA plays an important role in the classical complement pathway and is part of the innate immunity. C1QA collaborates with proteins like C1QB and C1QC in this pathway. This pathway bridges innate and adaptive immunity by assisting in the removal of pathogens and cell debris. It also relates to the coagulation pathway where its activity can influence inflammation and tissue repair processes.

Impaired C1QA function links to conditions like systemic lupus erythematosus (SLE) and rheumatoid arthritis. These diseases often associate with inappropriate activation or regulation of the complement system. C1QA mutations or deficiencies can result in a higher susceptibility to SLE and interactions with C1QB and C1QC are also implicated in this disease. Moreover C1QA influences the pathogenesis of rheumatoid arthritis by modulating inflammation responses.

Product protocols

For this product, it's our understanding that no specific protocols are required. You can visit:

Target data

Core component of the complement C1 complex, a multiprotein complex that initiates the classical pathway of the complement system, a cascade of proteins that leads to phagocytosis and breakdown of pathogens and signaling that strengthens the adaptive immune system (PubMed : 12847249, PubMed : 19006321, PubMed : 24626930, PubMed : 29449492, PubMed : 3258649, PubMed : 34155115, PubMed : 6249812, PubMed : 6776418). The classical complement pathway is initiated by the C1Q subcomplex of the C1 complex, which specifically binds IgG or IgM immunoglobulins complexed with antigens, forming antigen-antibody complexes on the surface of pathogens : C1QA, together with C1QB and C1QC, specifically recognizes and binds the Fc regions of IgG or IgM via its C1q domain (PubMed : 12847249, PubMed : 19006321, PubMed : 24626930, PubMed : 29449492, PubMed : 3258649, PubMed : 6776418). Immunoglobulin-binding activates the proenzyme C1R, which cleaves C1S, initiating the proteolytic cascade of the complement system (PubMed : 29449492). The C1Q subcomplex is activated by a hexamer of IgG complexed with antigens, while it is activated by a pentameric IgM (PubMed : 19706439, PubMed : 24626930, PubMed : 29449492). The C1Q subcomplex also recognizes and binds phosphatidylserine exposed on the surface of cells undergoing programmed cell death, possibly promoting activation of the complement system (PubMed : 18250442).
See full target information C1QA

Product promise

We are committed to supporting your work with high-quality reagents, and we're here for you every step of the way. In the unlikely event that one of our products does not perform as expected, you're protected by our Product Promise.
For full details, please see our Terms & Conditions

Please note: All products are 'FOR RESEARCH USE ONLY. NOT FOR USE IN DIAGNOSTIC OR THERAPEUTIC PROCEDURES'.

For licensing inquiries, please contact partnerships@abcam.com