JavaScript is disabled in your browser. Please enable JavaScript to view this website.
AB75756

Anti-C1QC antibody [EPR2984Y]

Be the first to review this product! Submit a review

|

(6 Publications)

Rabbit Recombinant Monoclonal C1QC antibody. Suitable for IHC-P, WB, Flow Cyt (Intra) and reacts with Human samples. Cited in 6 publications.

View Alternative Names

C1QG, C1QC, Complement C1q subcomponent subunit C

3 Images
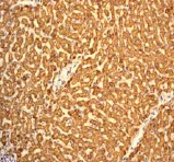
Immunohistochemistry (Formalin/PFA-fixed paraffin-embedded sections) - Anti-C1QC antibody [EPR2984Y] (AB75756)
  • IHC-P

Unknown

Immunohistochemistry (Formalin/PFA-fixed paraffin-embedded sections) - Anti-C1QC antibody [EPR2984Y] (AB75756)

ab75756 at 1/100 dilution staining C1q in human liver by Immunohistochemistry, Paraffin-embedded tissue.

Perform heat mediated antigen retrieval before commencing with IHC staining protocol.

Flow Cytometry (Intracellular) - Anti-C1QC antibody [EPR2984Y] (AB75756)
  • Flow Cyt (Intra)

Lab

Flow Cytometry (Intracellular) - Anti-C1QC antibody [EPR2984Y] (AB75756)

Flow Cytometry analysis of Human Peripheral Blood Mononuclear Cell (PBMC) cells labeling C1QC with purified ab75756 at 1/100 dilution (10 μg/mL) (Red). Cells were fixed with 2% Paraformaldehyde and permeabilised with 0.1% Tween-20. A Goat anti rabbit IgG (Alexa Fluor® 488, ab150081) secondary antibody was used at 1/2000. Isotype control - Rabbit monoclonal IgG (Left).

Western blot - Anti-C1QC antibody [EPR2984Y] (AB75756)
  • WB

Unknown

Western blot - Anti-C1QC antibody [EPR2984Y] (AB75756)

All lanes:

Western blot - Anti-C1QC antibody [EPR2984Y] (ab75756) at 1/1000 dilution

All lanes:

human plasma lysate at 10 µg

Secondary

All lanes:

goat anti-rabbit HRP at 1/2000 dilution

Predicted band size: 25 kDa

Observed band size: 26 kDa

false

Key facts

Host species

Rabbit

Clonality

Monoclonal

Clone number

EPR2984Y

Isotype

IgG

Carrier free

No

Reacts with

Human

Applications

IHC-P, Flow Cyt (Intra), WB

applications

Immunogen

The exact immunogen used to generate this antibody is proprietary information.

Reactivity data

{ "title": "Reactivity Data", "filters": { "stats": ["", "Species", "Dilution Info", "Notes"], "tabs": { "all-applications": {"fullname" : "All Applications", "shortname": "All Applications"}, "IHCP" : {"fullname" : "Immunohistochemistry (Formalin/PFA-fixed paraffin-embedded sections)", "shortname":"IHC-P"}, "WB" : {"fullname" : "Western blot", "shortname":"WB"}, "FlowCytIntra" : {"fullname" : "Flow Cytometry (Intracellular)", "shortname":"Flow Cyt (Intra)"} }, "product-promise": { "all": "all", "testedAndGuaranteed": "tested", "guaranteed": "expected", "predicted": "predicted", "notRecommended": "not-recommended" } }, "values": { "Human": { "IHCP-species-checked": "testedAndGuaranteed", "IHCP-species-dilution-info": "1/100 - 1/250", "IHCP-species-notes": "<p></p>", "WB-species-checked": "testedAndGuaranteed", "WB-species-dilution-info": "1/500 - 1/1000", "WB-species-notes": "<p></p>", "FlowCytIntra-species-checked": "testedAndGuaranteed", "FlowCytIntra-species-dilution-info": "1/100", "FlowCytIntra-species-notes": "<p></p>" } } }

Product details

Species reactivity
Mouse, Rat: We have preliminary internal testing data to indicate this antibody may not react with these species.
Please contact us for more information.

Patented technology
Our RabMAb® technology is a patented hybridoma-based technology for making rabbit monoclonal antibodies. For details on our patents, please refer to RabMAb® patents.

What are the advantages of a recombinant monoclonal antibody?
This product is a recombinant monoclonal antibody, which offers several advantages including:

  • - High batch-to-batch consistency and reproducibility
  • - Improved sensitivity and specificity
  • - Long-term security of supply
  • - Animal-free batch production

For more information, read more on recombinant antibodies.

Properties and storage information

Form
Liquid
Purification technique
Affinity purification Protein A
Storage buffer
pH: 7.2 - 7.4 Preservative: 0.05% Sodium azide Constituents: 50% Tissue culture supernatant, 40% Glycerol (glycerin, glycerine), 9.85% Tris glycine, 0.1% BSA
Shipped at conditions
Blue Ice
Appropriate short-term storage conditions
+4°C
Appropriate long-term storage conditions
-20°C
Aliquoting information
Upon delivery aliquot
Storage information
Avoid freeze / thaw cycle

Supplementary information

This supplementary information is collated from multiple sources and compiled automatically.

C1QC also known as complement component C1q subcomponent subunit C serves a mechanical role in the immune system. The C1QC protein with a molecular mass of about 26 kDa is primarily expressed in immune cells such as macrophages and dendritic cells. C1QC is part of the C1 complex which consists of C1q C1r and C1s subcomponents. This complex initiates the classical complement pathway by recognizing and binding to pathogens or apoptotic cells leading to their clearance from the body.
Biological function summary

C1QC is important for recognizing pathogens and apoptotic cells. C1QC is a part of the larger C1 complex essential for immune response effectiveness. By binding to surface molecules on pathogens C1QC triggers a cascade of events that promote cell lysis or phagocytosis. This protein by facilitating immune complex clearance also helps maintain tissue homeostasis and contributes to protection against infections.

Pathways

C1QC plays important roles in the classical complement pathway. Once C1QC identifies a target it activates C1r and C1s initiating a series of proteolytic interactions that result in the formation of the membrane attack complex. Additionally C1QC interacts with proteins like mannose-binding lectin in related pathways linking innate immunity components and further enhancing the body's defense mechanisms.

C1QC has connections to systemic lupus erythematosus (SLE) and Alzheimer's disease. Deficiencies or dysregulation of C1QC could lead to autoimmune conditions like SLE where the body attacks its own tissues due to inadequate clearance of apoptotic cells. In Alzheimer's disease impaired C1QC function may affect amyloid-beta clearance which is important for preventing neuronal damage. When discussing C1QC’s connections with other proteins the interaction with C1QA and C1QB within the C1 complex is significant in these disorders.

Product protocols

For this product, it's our understanding that no specific protocols are required. You can visit:

Target data

C1q associates with the proenzymes C1r and C1s to yield C1, the first component of the serum complement system. The collagen-like regions of C1q interact with the Ca(2+)-dependent C1r(2)C1s(2) proenzyme complex, and efficient activation of C1 takes place on interaction of the globular heads of C1q with the Fc regions of IgG or IgM antibody present in immune complexes.
See full target information C1QC

Publications (6)

Recent publications for all applications. Explore the full list and refine your search

The EMBO journal 43:5494-5529 PubMed39390219

2024

Transplacental SARS-CoV-2 protein ORF8 binds to complement C1q to trigger fetal inflammation.

Applications

Unspecified application

Species

Unspecified reactive species

Tamiris Azamor,Débora Familiar-Macedo,Gielenny M Salem,Chineme Onwubueke,Ivonne Melano,Lu Bian,Zilton Vasconcelos,Karin Nielsen-Saines,Xianfang Wu,Jae U Jung,Feng Lin,Oluwatosin Goje,Edward Chien,Steve Gordon,Charles B Foster,Hany Aly,Ruth M Farrell,Weiqiang Chen,Suan-Sin Foo

Proteomics 22:e2200049 PubMed36037246

2022

Proteomic characteristics of plasma and blood cells in natural aging rhesus monkeys.

Applications

Unspecified application

Species

Unspecified reactive species

Na Wu,Fuchuan Xiao,Jing Zhang,Yafei Chi,Yanan Zhai,Baian Chen,Jing Lu

PloS one 16:e0245361 PubMed34428207

2021

CRP immunodeposition and proteomic analysis in abdominal aortic aneurysm.

Applications

Unspecified application

Species

Unspecified reactive species

Eun Na Kim,Jiyoung Yu,Joon Seo Lim,Hwangkyo Jeong,Chong Jai Kim,Jae-Sung Choi,So Ra Kim,Hee-Sung Ahn,Kyunggon Kim,Se Jin Oh

International journal of endocrinology 2021:8820089 PubMed33564304

2021

Identification of Three Significant Genes Associated with Immune Cells Infiltration in Dysfunctional Adipose Tissue-Induced Insulin-Resistance of Obese Patients via Comprehensive Bioinformatics Analysis.

Applications

Unspecified application

Species

Unspecified reactive species

Ming Zhai,Peipei Luan,Yefei Shi,Bo Li,Jianhua Kang,Fan Hu,Mingjie Li,Lei Du,Donglei Zhou,Weixia Jian,Wenhui Peng

The Journal of allergy and clinical immunology 146:1439-1442.e5 PubMed32325142

2020

Janus kinase inhibition in complement component 1 deficiency.

Applications

Unspecified application

Species

Unspecified reactive species

Christine Wolf,Normi Brück,Sarah Koss,Constanze Griep,Michael Kirschfink,Katharina Palm-Beden,Mingyan Fang,Nadja Röber,Stefan Winkler,Reinhard Berner,Eike Latz,Claudia Günther,Min Ae Lee-Kirsch

Journal of medical genetics 54:771-780 PubMed28835480

2017

Fabry disease: characterisation of the plasma proteome pre- and post-enzyme replacement therapy.

Applications

Unspecified application

Species

Unspecified reactive species

Sun Hee Heo,Eungu Kang,Yoon-Myung Kim,Heounjeong Go,Kyung Yong Kim,Jae Yong Jung,Minji Kang,Gu-Hwan Kim,Jae-Min Kim,In-Hee Choi,Jin-Ho Choi,Sung-Chul Jung,Robert J Desnick,Han-Wook Yoo,Beom Hee Lee
View all publications

Product promise

We are committed to supporting your work with high-quality reagents, and we're here for you every step of the way. In the unlikely event that one of our products does not perform as expected, you're protected by our Product Promise.
For full details, please see our Terms & Conditions

Please note: All products are 'FOR RESEARCH USE ONLY. NOT FOR USE IN DIAGNOSTIC OR THERAPEUTIC PROCEDURES'.

For licensing inquiries, please contact partnerships@abcam.com