JavaScript is disabled in your browser. Please enable JavaScript to view this website.
AB247391

Anti-C1QC antibody [EPR2984Y] - BSA and Azide free

Be the first to review this product! Submit a review

|

(2 Publications)

Rabbit Recombinant Monoclonal C1QC antibody. Carrier free. Suitable for IHC-P, WB, Flow Cyt (Intra) and reacts with Human samples. Cited in 2 publications.

View Alternative Names

C1QG, C1QC, Complement C1q subcomponent subunit C

3 Images
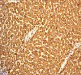
Immunohistochemistry (Formalin/PFA-fixed paraffin-embedded sections) - Anti-C1QC antibody [EPR2984Y] - BSA and Azide free (AB247391)
  • IHC-P

Unknown

Immunohistochemistry (Formalin/PFA-fixed paraffin-embedded sections) - Anti-C1QC antibody [EPR2984Y] - BSA and Azide free (AB247391)

This data was developed using ab75756, the same antibody clone in a different buffer formulation.

ab75756 at 1/100 dilution staining C1q in human liver by Immunohistochemistry, Paraffin-embedded tissue. Perform heat mediated antigen retrieval before commencing with IHC staining protocol.

Flow Cytometry (Intracellular) - Anti-C1QC antibody [EPR2984Y] - BSA and Azide free (AB247391)
  • Flow Cyt (Intra)

Lab

Flow Cytometry (Intracellular) - Anti-C1QC antibody [EPR2984Y] - BSA and Azide free (AB247391)

This data was developed using ab75756, the same antibody clone in a different buffer formulation.

Flow Cytometry analysis of Human Peripheral Blood Mononuclear Cell (PBMC) cells labeling C1QC with purified ab75756 at 1/100 dilution (10 μg/mL) (Red). Cells were fixed with 2% Paraformaldehyde and permeabilised with 0.1% Tween-20. A Goat anti rabbit IgG (Alexa Fluor® 488, ab150081) secondary antibody was used at 1/2000. Isotype control - Rabbit monoclonal IgG (Left).

Western blot - Anti-C1QC antibody [EPR2984Y] - BSA and Azide free (AB247391)
  • WB

Unknown

Western blot - Anti-C1QC antibody [EPR2984Y] - BSA and Azide free (AB247391)

This data was developed using ab75756, the same antibody clone in a different buffer formulation.

All lanes:

Western blot - Anti-C1QC antibody [EPR2984Y] (<a href='/en-us/products/primary-antibodies/c1qc-antibody-epr2984y-ab75756'>ab75756</a>) at 1/1000 dilution

All lanes:

human plasma lysate at 10 µg

Secondary

All lanes:

goat anti-rabbit HRP at 1/2000 dilution

Predicted band size: 25 kDa

Observed band size: 26 kDa

false

Key facts

Host species

Rabbit

Clonality

Monoclonal

Clone number

EPR2984Y

Isotype

IgG

Carrier free

Yes

Reacts with

Human

Applications

IHC-P, Flow Cyt (Intra), WB

applications

Immunogen

The exact immunogen used to generate this antibody is proprietary information.

Reactivity data

{ "title": "Reactivity Data", "filters": { "stats": ["", "Species", "Dilution Info", "Notes"], "tabs": { "all-applications": {"fullname" : "All Applications", "shortname": "All Applications"}, "IHCP" : {"fullname" : "Immunohistochemistry (Formalin/PFA-fixed paraffin-embedded sections)", "shortname":"IHC-P"}, "WB" : {"fullname" : "Western blot", "shortname":"WB"}, "FlowCytIntra" : {"fullname" : "Flow Cytometry (Intracellular)", "shortname":"Flow Cyt (Intra)"} }, "product-promise": { "all": "all", "testedAndGuaranteed": "tested", "guaranteed": "expected", "predicted": "predicted", "notRecommended": "not-recommended" } }, "values": { "Human": { "IHCP-species-checked": "testedAndGuaranteed", "IHCP-species-dilution-info": "", "IHCP-species-notes": "<p></p>", "WB-species-checked": "testedAndGuaranteed", "WB-species-dilution-info": "", "WB-species-notes": "<p></p>", "FlowCytIntra-species-checked": "testedAndGuaranteed", "FlowCytIntra-species-dilution-info": "", "FlowCytIntra-species-notes": "<p></p>" } } }

Product details

ab247391 is the carrier-free version of ab75756.

Species reactivity
Mouse, Rat: We have preliminary internal testing data to indicate this antibody may not react with these species.
Please contact us for more information.

Patented technology
Our RabMAb® technology is a patented hybridoma-based technology for making rabbit monoclonal antibodies. For details on our patents, please refer to RabMAb® patents.

What are the advantages of a recombinant monoclonal antibody?
This product is a recombinant monoclonal antibody, which offers several advantages including:

  • - High batch-to-batch consistency and reproducibility
  • - Improved sensitivity and specificity
  • - Long-term security of supply
  • - Animal-free batch production

For more information, read more on recombinant antibodies.

Conjugation ready
Our carrier-free antibodies are typically supplied in a PBS-only formulation, purified and free of BSA, sodium azide and glycerol. This conjugation-ready format is designed for use with fluorochromes, metal isotopes, oligonucleotides, and enzymes, which makes them ideal for antibody labelling, functional and cell-based assays, flow-based assays (e.g. mass cytometry) and Multiplex Imaging applications.

Use our conjugation kits for antibody conjugates that are ready-to-use in as little as 20 minutes with 1 minute hands-on-time and 100% antibody recovery: available for fluorescent dyes, HRP, biotin and gold.

Compatibility
This product is compatible with the Maxpar® Antibody Labeling Kit from Fluidigm, without the need for antibody preparation. Maxpar® is a trademark of Fluidigm Canada Inc.

Properties and storage information

Form
Liquid
Purification technique
Affinity purification Protein A
Storage buffer
pH: 7.2 - 7.4 Constituents: PBS
Shipped at conditions
Blue Ice
Appropriate short-term storage conditions
+4°C
Appropriate long-term storage conditions
+4°C
Storage information
Do Not Freeze

Supplementary information

This supplementary information is collated from multiple sources and compiled automatically.

C1QC also known as complement component C1q subcomponent subunit C serves a mechanical role in the immune system. The C1QC protein with a molecular mass of about 26 kDa is primarily expressed in immune cells such as macrophages and dendritic cells. C1QC is part of the C1 complex which consists of C1q C1r and C1s subcomponents. This complex initiates the classical complement pathway by recognizing and binding to pathogens or apoptotic cells leading to their clearance from the body.
Biological function summary

C1QC is important for recognizing pathogens and apoptotic cells. C1QC is a part of the larger C1 complex essential for immune response effectiveness. By binding to surface molecules on pathogens C1QC triggers a cascade of events that promote cell lysis or phagocytosis. This protein by facilitating immune complex clearance also helps maintain tissue homeostasis and contributes to protection against infections.

Pathways

C1QC plays important roles in the classical complement pathway. Once C1QC identifies a target it activates C1r and C1s initiating a series of proteolytic interactions that result in the formation of the membrane attack complex. Additionally C1QC interacts with proteins like mannose-binding lectin in related pathways linking innate immunity components and further enhancing the body's defense mechanisms.

C1QC has connections to systemic lupus erythematosus (SLE) and Alzheimer's disease. Deficiencies or dysregulation of C1QC could lead to autoimmune conditions like SLE where the body attacks its own tissues due to inadequate clearance of apoptotic cells. In Alzheimer's disease impaired C1QC function may affect amyloid-beta clearance which is important for preventing neuronal damage. When discussing C1QC’s connections with other proteins the interaction with C1QA and C1QB within the C1 complex is significant in these disorders.

Product protocols

For this product, it's our understanding that no specific protocols are required. You can visit:

Target data

C1q associates with the proenzymes C1r and C1s to yield C1, the first component of the serum complement system. The collagen-like regions of C1q interact with the Ca(2+)-dependent C1r(2)C1s(2) proenzyme complex, and efficient activation of C1 takes place on interaction of the globular heads of C1q with the Fc regions of IgG or IgM antibody present in immune complexes.
See full target information C1QC

Publications (2)

Recent publications for all applications. Explore the full list and refine your search

Nature genetics 57:1142-1154 PubMed40229600

2025

Longitudinal single-cell multiomic atlas of high-risk neuroblastoma reveals chemotherapy-induced tumor microenvironment rewiring.

Applications

Unspecified application

Species

Unspecified reactive species

Wenbao Yu,Rumeysa Biyik-Sit,Yasin Uzun,Chia-Hui Chen,Anusha Thadi,Jonathan H Sussman,Minxing Pang,Chi-Yun Wu,Liron D Grossmann,Peng Gao,David W Wu,Aliza Yousey,Mei Zhang,Christina S Turn,Zhan Zhang,Shovik Bandyopadhyay,Jeffrey Huang,Tasleema Patel,Changya Chen,Daniel Martinez,Lea F Surrey,Michael D Hogarty,Kathrin Bernt,Nancy R Zhang,John M Maris,Kai Tan

Journal of orthopaedic surgery and research 18:477 PubMed37393232

2023

CircTBX5 knockdown modulates the miR-558/MyD88 axis to alleviate IL-1β-induced inflammation, apoptosis and extracellular matrix degradation in chondrocytes via inactivating the NF-κB signaling.

Applications

Unspecified application

Species

Unspecified reactive species

Wei Wei,Hongjie Mu,Qiaoyi Cui,Peng Yu,Tong Liu,Tao Wang,Lin Sheng
View all publications

Product promise

We are committed to supporting your work with high-quality reagents, and we're here for you every step of the way. In the unlikely event that one of our products does not perform as expected, you're protected by our Product Promise.
For full details, please see our Terms & Conditions

Please note: All products are 'FOR RESEARCH USE ONLY. NOT FOR USE IN DIAGNOSTIC OR THERAPEUTIC PROCEDURES'.

For licensing inquiries, please contact partnerships@abcam.com