JavaScript is disabled in your browser. Please enable JavaScript to view this website.
AB39551

Anti-C1s antibody [9]

Be the first to review this product! Submit a review

|

(1 Publication)

Mouse Monoclonal C1S antibody. Suitable for IHC-P and reacts with Human samples. Cited in 1 publication. Immunogen corresponding to Native Full Length Protein corresponding to Human C1S.

View Alternative Names

Complement C1s subcomponent, C1 esterase, Complement component 1 subcomponent s, C1S

1 Images
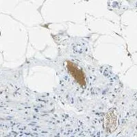
Immunohistochemistry (Formalin/PFA-fixed paraffin-embedded sections) - Anti-C1s antibody [9] (AB39551)
  • IHC-P

Supplier Data

Immunohistochemistry (Formalin/PFA-fixed paraffin-embedded sections) - Anti-C1s antibody [9] (AB39551)

Plasma positivity stained with ab39551.

Key facts

Host species

Mouse

Clonality

Monoclonal

Clone number

9

Isotype

IgG1

Light chain type

kappa

Carrier free

No

Reacts with

Human

Applications

IHC-P

applications

Immunogen

Native Full Length Protein corresponding to Human C1S.

P09871

Specificity

This antibody is specific for C1s and activated free C1s.

Reactivity data

{ "title": "Reactivity Data", "filters": { "stats": ["", "Species", "Dilution Info", "Notes"], "tabs": { "all-applications": {"fullname" : "All Applications", "shortname": "All Applications"}, "IHCP" : {"fullname" : "Immunohistochemistry (Formalin/PFA-fixed paraffin-embedded sections)", "shortname":"IHC-P"} }, "product-promise": { "all": "all", "testedAndGuaranteed": "tested", "guaranteed": "expected", "predicted": "predicted", "notRecommended": "not-recommended" } }, "values": { "Human": { "IHCP-species-checked": "testedAndGuaranteed", "IHCP-species-dilution-info": "", "IHCP-species-notes": "<p></p>" } } }

Properties and storage information

Form
Liquid
Purification technique
Affinity purification Protein G
Storage buffer
pH: 7.4 Preservative: 0.097% Sodium azide Constituents: PBS, 2.9% Sodium chloride
Shipped at conditions
Blue Ice
Appropriate short-term storage conditions
+4°C
Appropriate long-term storage conditions
-20°C
Aliquoting information
Upon delivery aliquot
Storage information
Avoid freeze / thaw cycle

Product protocols

For this product, it's our understanding that no specific protocols are required. You can visit:

Target data

C1s B chain is a serine protease that combines with C1q and C1r to form C1, the first component of the classical pathway of the complement system. C1r activates C1s so that it can, in turn, activate C2 and C4. Cleaves also IGFBP5 and thereby inhibits the trophic effects of IGF1.
See full target information C1S

Publications (1)

Recent publications for all applications. Explore the full list and refine your search

Cancer medicine 8:5232-5241 PubMed31278855

2019

TYK2 promotes malignant peripheral nerve sheath tumor progression through inhibition of cell death.

Applications

Unspecified application

Species

Unspecified reactive species

Wenjing Qin,Abigail Godec,Xiaochun Zhang,Cuige Zhu,Jieya Shao,Yu Tao,Xianzhang Bu,Angela C Hirbe
View all publications

Product promise

We are committed to supporting your work with high-quality reagents, and we're here for you every step of the way. In the unlikely event that one of our products does not perform as expected, you're protected by our Product Promise.
For full details, please see our Terms & Conditions

Please note: All products are 'FOR RESEARCH USE ONLY. NOT FOR USE IN DIAGNOSTIC OR THERAPEUTIC PROCEDURES'.

For licensing inquiries, please contact partnerships@abcam.com