JavaScript is disabled in your browser. Please enable JavaScript to view this website.
AB134943

Anti-C1s antibody [EPR9066(B)]

Be the first to review this product! Submit a review

|

(3 Publications)

Rabbit Recombinant Monoclonal C1S antibody. Suitable for IHC-P, IP, WB and reacts with Human samples. Cited in 3 publications.

View Alternative Names

Complement C1s subcomponent, C1 esterase, Complement component 1 subcomponent s, C1S

4 Images
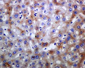
Immunohistochemistry (Formalin/PFA-fixed paraffin-embedded sections) - Anti-C1s antibody [EPR9066(B)] (AB134943)
  • IHC-P

Unknown

Immunohistochemistry (Formalin/PFA-fixed paraffin-embedded sections) - Anti-C1s antibody [EPR9066(B)] (AB134943)

Immunohistochemical analysis of paraffin-embedded formalin-fixed Human liver tissue labelling C1s using ab134943 at a 1/100 dilution.

Perform heat mediated antigen retrieval with citrate buffer pH 6 before commencing with IHC staining protocol.

Western blot - Anti-C1s antibody [EPR9066(B)] (AB134943)
  • WB

Unknown

Western blot - Anti-C1s antibody [EPR9066(B)] (AB134943)

All lanes:

Western blot - Anti-C1s antibody [EPR9066(B)] (ab134943) at 1/1000 dilution

Lane 1:

Human fetal kidney lysate at 10 µg

Lane 2:

A431 cell lysate at 10 µg

Lane 3:

Human platelet lysate at 10 µg

Lane 4:

Human plasma lysate at 10 µg

Lane 5:

Human serum lysate at 10 µg

Secondary

All lanes:

Standard HRP labelled goat anti-rabbit at 1/2000 dilution

Predicted band size: 77 kDa

true

Western blot - Anti-C1s antibody [EPR9066(B)] (AB134943)
  • WB

Lab

Western blot - Anti-C1s antibody [EPR9066(B)] (AB134943)

Western blot : Rabbit Monoclonal[EPR9066(B)] to C1s ab134943 staining at 1/1000 dilution, shown in green; Mouse anti GAPDH (ab8245) loading control staining at 1/20,000 dilution, shown in magenta. A band was observed at 77 kDa in Wild-type A549 cell lysates with no signal observed at this size in C1S knockout A549 cell line. To generate this image, samples were run on an SDS-PAGE gel then transferred onto a nitrocellulose membrane. Membranes were blocked in 3pc Milk in TBS-0.1 % Tween® 20 (TBS-T) before incubation with primary antibodies overnight at 4°C. Blots were washed four times in TBS-T, incubated with secondary antibodies for 1 h at room temperature, washed again four times then imaged. Secondary antibodies used were Goat anti-Rabbit 800CW & Goat anti-Mouse 680RD at 1/20,000 dilution.

All lanes:

Western blot - Anti-C1s antibody [EPR9066(B)] (ab134943) at 1/1000 dilution

Lane 1:

Wild-type A549 at 20 µg

Lane 2:

C1S knockout A549 at 20 µg

Lane 3:

HEK-293 at 20 µg

Lane 4:

Human Liver at 20 µg

Secondary

All lanes:

Goat anti-Rabbit 800CW & Goat anti-Mouse 680RD at 1/20000 dilution

Predicted band size: 77 kDa

Observed band size: 77 kDa

false

Immunoprecipitation - Anti-C1s antibody [EPR9066(B)] (AB134943)
  • IP

Unknown

Immunoprecipitation - Anti-C1s antibody [EPR9066(B)] (AB134943)

Western blot analysis on Immunoprecipitation pellet from human plasma lysate using anti-C1s RabMAb (ab134943).

All lanes:

Immunoprecipitation - Anti-C1s antibody [EPR9066(B)] (ab134943)

Predicted band size: 63 kDa,77 kDa

Observed band size: 65 kDa

false

Key facts

Host species

Rabbit

Clonality

Monoclonal

Clone number

EPR9066(B)

Isotype

IgG

Carrier free

No

Reacts with

Human

Applications

WB, IP, IHC-P

applications

Immunogen

The exact immunogen used to generate this antibody is proprietary information.

Reactivity data

{ "title": "Reactivity Data", "filters": { "stats": ["", "Species", "Dilution Info", "Notes"], "tabs": { "all-applications": {"fullname" : "All Applications", "shortname": "All Applications"}, "IHCP" : {"fullname" : "Immunohistochemistry (Formalin/PFA-fixed paraffin-embedded sections)", "shortname":"IHC-P"}, "IP" : {"fullname" : "Immunoprecipitation", "shortname":"IP"}, "WB" : {"fullname" : "Western blot", "shortname":"WB"}, "ICCIF" : {"fullname" : "Immunocytochemistry/ Immunofluorescence", "shortname":"ICC/IF"}, "FlowCytIntra" : {"fullname" : "Flow Cytometry (Intracellular)", "shortname":"Flow Cyt (Intra)"} }, "product-promise": { "all": "all", "testedAndGuaranteed": "tested", "guaranteed": "expected", "predicted": "predicted", "notRecommended": "not-recommended" } }, "values": { "Human": { "IHCP-species-checked": "testedAndGuaranteed", "IHCP-species-dilution-info": "1/100 - 1/250", "IHCP-species-notes": "<p>For antigen retrieval: heat up to 98°C, below boiling, and then let cool for 10-20 min. Use of an HRP/AP polymerized secondary antibody is recommended.</p> Perform heat-mediated antigen retrieval with citrate buffer pH 6 before commencing with IHC staining protocol.", "IP-species-checked": "testedAndGuaranteed", "IP-species-dilution-info": "", "IP-species-notes": "<p></p>", "WB-species-checked": "testedAndGuaranteed", "WB-species-dilution-info": "1/1000 - 1/10000", "WB-species-notes": "<p></p>", "ICCIF-species-checked": "notRecommended", "ICCIF-species-dilution-info": "", "ICCIF-species-notes": "<p></p>", "FlowCytIntra-species-checked": "notRecommended", "FlowCytIntra-species-dilution-info": "", "FlowCytIntra-species-notes": "<p></p>" } } }

Product details

Species reactivity
Mouse, Rat: We have preliminary internal testing data to indicate this antibody may not react with these species.
Please contact us for more information.

Patented technology
Our RabMAb® technology is a patented hybridoma-based technology for making rabbit monoclonal antibodies. For details on our patents, please refer to RabMAb® patents.

What are the advantages of a recombinant monoclonal antibody?
This product is a recombinant monoclonal antibody, which offers several advantages including:

  • - High batch-to-batch consistency and reproducibility
  • - Improved sensitivity and specificity
  • - Long-term security of supply
  • - Animal-free batch production

For more information, read more on recombinant antibodies.

Properties and storage information

Form
Liquid
Purification technique
Affinity purification Protein A
Storage buffer
pH: 7.2 - 7.4 Preservative: 0.01% Sodium azide Constituents: PBS, 40% Glycerol (glycerin, glycerine), 0.05% BSA
Shipped at conditions
Blue Ice
Appropriate short-term storage conditions
+4°C
Appropriate long-term storage conditions
-20°C
Storage information
Stable for 12 months at -20°C

Product protocols

For this product, it's our understanding that no specific protocols are required. You can visit:

Target data

C1s B chain is a serine protease that combines with C1q and C1r to form C1, the first component of the classical pathway of the complement system. C1r activates C1s so that it can, in turn, activate C2 and C4. Cleaves also IGFBP5 and thereby inhibits the trophic effects of IGF1.
See full target information C1S

Publications (3)

Recent publications for all applications. Explore the full list and refine your search

Frontiers in cell and developmental biology 10:765062 PubMed35493104

2022

A Complement-Related Gene Signature for Predicting Overall Survival and Immunotherapy Efficacy in Sarcoma Patients.

Applications

Unspecified application

Species

Unspecified reactive species

Lin Zhang,Weihao Lin,Yang Zhou,Fei Shao,Yibo Gao,Jie He

Cancer immunology research 9:891-908 PubMed34039653

2021

Complement C1s and C4d as Prognostic Biomarkers in Renal Cancer: Emergence of Noncanonical Functions of C1s.

Applications

Unspecified application

Species

Unspecified reactive species

Marie V Daugan,Margot Revel,Jules Russick,Marie-Agnès Dragon-Durey,Christine Gaboriaud,Tania Robe-Rybkine,Victoria Poillerat,Anne Grunenwald,Guillaume Lacroix,Antoine Bougouin,Maxime Meylan,Virginie Verkarre,Stephane M Oudard,Arnaud Mejean,Yann A Vano,Geraldine Perkins,Pierre Validire,Xavier Cathelineau,Rafael Sanchez-Salas,Diane Damotte,Veronique Fremeaux-Bacchi,Isabelle Cremer,Catherine Sautès-Fridman,Wolf H Fridman,Lubka T Roumenina

Journal of Cancer 7:1396-405 PubMed27471555

2016

Complement Component 1, s Subcomponent Overexpression is an Independent Poor Prognostic Indicator in Patients with Urothelial Carcinomas of the Upper Urinary Tract and Urinary Bladder.

Applications

IHC

Species

Unspecified reactive species

I-Wei Chang,Victor Chia-Hsiang Lin,Wen-Jen Wu,Peir-In Liang,Wei-Ming Li,Bi-Wen Yeh,Hong-Lin He,Alex Chien-Hwa Liao,Ti-Chun Chan,Chien-Feng Li
View all publications

Product promise

We are committed to supporting your work with high-quality reagents, and we're here for you every step of the way. In the unlikely event that one of our products does not perform as expected, you're protected by our Product Promise.
For full details, please see our Terms & Conditions

Please note: All products are 'FOR RESEARCH USE ONLY. NOT FOR USE IN DIAGNOSTIC OR THERAPEUTIC PROCEDURES'.

For licensing inquiries, please contact partnerships@abcam.com