JavaScript is disabled in your browser. Please enable JavaScript to view this website.
AB248746

Anti-C1s antibody [EPR9066(B)] - BSA and Azide free

Be the first to review this product! Submit a review

|

(1 Publication)

Rabbit Recombinant Monoclonal C1S antibody. Carrier free. Suitable for IHC-P, IP, WB and reacts with Human samples. Cited in 1 publication.

View Alternative Names

Complement C1s subcomponent, C1 esterase, Complement component 1 subcomponent s, C1S

4 Images
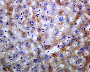
Immunohistochemistry (Formalin/PFA-fixed paraffin-embedded sections) - Anti-C1s antibody [EPR9066(B)] - BSA and Azide free (AB248746)
  • IHC-P

Unknown

Immunohistochemistry (Formalin/PFA-fixed paraffin-embedded sections) - Anti-C1s antibody [EPR9066(B)] - BSA and Azide free (AB248746)

This data was developed using ab134943, the same antibody clone in a different buffer formulation.

Immunohistochemical analysis of paraffin-embedded, formalin-fixed Human liver tissue, labelling C1s using ab134943 at a 1/100 dilution.

Perform heat mediated antigen retrieval with citrate buffer pH 6 before commencing with IHC staining protocol.

Immunoprecipitation - Anti-C1s antibody [EPR9066(B)] - BSA and Azide free (AB248746)
  • IP

Unknown

Immunoprecipitation - Anti-C1s antibody [EPR9066(B)] - BSA and Azide free (AB248746)

This data was developed using ab134943, the same antibody clone in a different buffer formulation.Western blot analysis on Immunoprecipitation pellet from human plasma lysate using anti-C1s RabMAb (ab134943).

All lanes:

Immunoprecipitation - Anti-C1s antibody [EPR9066(B)] (<a href='/en-us/products/primary-antibodies/c1s-antibody-epr9066b-ab134943'>ab134943</a>)

Predicted band size: 63 kDa,77 kDa

Observed band size: 65 kDa

false

Western blot - Anti-C1s antibody [EPR9066(B)] - BSA and Azide free (AB248746)
  • WB

Unknown

Western blot - Anti-C1s antibody [EPR9066(B)] - BSA and Azide free (AB248746)

This data was developed using ab134943, the same antibody clone in a different buffer formulation.

All lanes:

Western blot - Anti-C1s antibody [EPR9066(B)] (<a href='/en-us/products/primary-antibodies/c1s-antibody-epr9066b-ab134943'>ab134943</a>) at 1/1000 dilution

Lane 1:

Human fetal kidney lysate at 10 µg

Lane 2:

A431 cell lysate at 10 µg

Lane 3:

Human platelet lysate at 10 µg

Lane 4:

Human plasma lysate at 10 µg

Lane 5:

Human serum lysate at 10 µg

Secondary

All lanes:

Standard HRP labelled goat anti-rabbit at 1/2000 dilution

Predicted band size: 77 kDa

true

Western blot - Anti-C1s antibody [EPR9066(B)] - BSA and Azide free (AB248746)
  • WB

Lab

Western blot - Anti-C1s antibody [EPR9066(B)] - BSA and Azide free (AB248746)

This data was developed using ab134943, the same antibody clone in a different buffer formulation.

Western blot : Rabbit Monoclonal[EPR9066(B)] to C1s ab134943 staining at 1/1000 dilution, shown in green; Mouse anti GAPDH (ab8245) loading control staining at 1/20,000 dilution, shown in magenta. A band was observed at 77 kDa in Wild-type A549 cell lysates with no signal observed at this size in C1S knockout A549 cell line. To generate this image, samples were run on an SDS-PAGE gel then transferred onto a nitrocellulose membrane. Membranes were blocked in 3pc Milk in TBS-0.1 % Tween® 20 (TBS-T) before incubation with primary antibodies overnight at 4°C. Blots were washed four times in TBS-T, incubated with secondary antibodies for 1 h at room temperature, washed again four times then imaged. Secondary antibodies used were Goat anti-Rabbit 800CW & Goat anti-Mouse 680RD at 1/20,000 dilution.

All lanes:

Western blot - Anti-C1s antibody [EPR9066(B)] (<a href='/en-us/products/primary-antibodies/c1s-antibody-epr9066b-ab134943'>ab134943</a>) at 1/1000 dilution

Lane 1:

Wild-type A549 at 20 µg

Lane 2:

C1S knockout A549 at 20 µg

Lane 3:

HEK-293 at 20 µg

Lane 4:

Human Liver at 20 µg

Secondary

All lanes:

Goat anti-Rabbit 800CW & Goat anti-Mouse 680RD at 1/20000 dilution

Predicted band size: 77 kDa

Observed band size: 77 kDa

false

Key facts

Host species

Rabbit

Clonality

Monoclonal

Clone number

EPR9066(B)

Isotype

IgG

Carrier free

Yes

Reacts with

Human

Applications

WB, IP, IHC-P

applications

Immunogen

The exact immunogen used to generate this antibody is proprietary information.

Reactivity data

{ "title": "Reactivity Data", "filters": { "stats": ["", "Species", "Dilution Info", "Notes"], "tabs": { "all-applications": {"fullname" : "All Applications", "shortname": "All Applications"}, "IHCP" : {"fullname" : "Immunohistochemistry (Formalin/PFA-fixed paraffin-embedded sections)", "shortname":"IHC-P"}, "IP" : {"fullname" : "Immunoprecipitation", "shortname":"IP"}, "WB" : {"fullname" : "Western blot", "shortname":"WB"}, "ICCIF" : {"fullname" : "Immunocytochemistry/ Immunofluorescence", "shortname":"ICC/IF"}, "FlowCytIntra" : {"fullname" : "Flow Cytometry (Intracellular)", "shortname":"Flow Cyt (Intra)"} }, "product-promise": { "all": "all", "testedAndGuaranteed": "tested", "guaranteed": "expected", "predicted": "predicted", "notRecommended": "not-recommended" } }, "values": { "Human": { "IHCP-species-checked": "testedAndGuaranteed", "IHCP-species-dilution-info": "", "IHCP-species-notes": "<p>For antigen retrieval: heat up to 98 degree C, below boiling, and then let cool for 10-20 min. Use of an HRP/AP polymerized secondary antibody is recommended.</p>", "IP-species-checked": "testedAndGuaranteed", "IP-species-dilution-info": "", "IP-species-notes": "<p></p>", "WB-species-checked": "testedAndGuaranteed", "WB-species-dilution-info": "", "WB-species-notes": "<p></p>", "ICCIF-species-checked": "notRecommended", "ICCIF-species-dilution-info": "", "ICCIF-species-notes": "<p></p>", "FlowCytIntra-species-checked": "notRecommended", "FlowCytIntra-species-dilution-info": "", "FlowCytIntra-species-notes": "<p></p>" } } }

Product details

ab248746 is the carrier-free version of ab134943.

Species reactivity
Mouse, Rat: We have preliminary internal testing data to indicate this antibody may not react with these species.
Please contact us for more information.

Patented technology
Our RabMAb® technology is a patented hybridoma-based technology for making rabbit monoclonal antibodies. For details on our patents, please refer to RabMAb® patents.

What are the advantages of a recombinant monoclonal antibody?
This product is a recombinant monoclonal antibody, which offers several advantages including:

  • - High batch-to-batch consistency and reproducibility
  • - Improved sensitivity and specificity
  • - Long-term security of supply
  • - Animal-free batch production

For more information, read more on recombinant antibodies.

Conjugation ready
Our carrier-free antibodies are typically supplied in a PBS-only formulation, purified and free of BSA, sodium azide and glycerol. This conjugation-ready format is designed for use with fluorochromes, metal isotopes, oligonucleotides, and enzymes, which makes them ideal for antibody labelling, functional and cell-based assays, flow-based assays (e.g. mass cytometry) and Multiplex Imaging applications.

Use our conjugation kits for antibody conjugates that are ready-to-use in as little as 20 minutes with 1 minute hands-on-time and 100% antibody recovery: available for fluorescent dyes, HRP, biotin and gold.

Compatibility
This product is compatible with the Maxpar® Antibody Labeling Kit from Fluidigm, without the need for antibody preparation. Maxpar® is a trademark of Fluidigm Canada Inc.

Properties and storage information

Form
Liquid
Purification technique
Affinity purification Protein A
Storage buffer
pH: 7.2 - 7.4 Constituents: PBS
Shipped at conditions
Blue Ice
Appropriate short-term storage conditions
+4°C
Appropriate long-term storage conditions
+4°C
Storage information
Do Not Freeze

Product protocols

For this product, it's our understanding that no specific protocols are required. You can visit:

Target data

C1s B chain is a serine protease that combines with C1q and C1r to form C1, the first component of the classical pathway of the complement system. C1r activates C1s so that it can, in turn, activate C2 and C4. Cleaves also IGFBP5 and thereby inhibits the trophic effects of IGF1.
See full target information C1S

Publications (1)

Recent publications for all applications. Explore the full list and refine your search

NPJ precision oncology 7:95 PubMed37723227

2023

Targeted single-cell proteomic analysis identifies new liquid biopsy biomarkers associated with multiple myeloma.

Applications

Unspecified application

Species

Unspecified reactive species

Sonia M Setayesh,Libere J Ndacayisaba,Kate E Rappard,Valerie Hennes,Luz Yurany Moreno Rueda,Guilin Tang,Pei Lin,Robert Z Orlowski,David E Symer,Elisabet E Manasanch,Stephanie N Shishido,Peter Kuhn
View all publications

Product promise

We are committed to supporting your work with high-quality reagents, and we're here for you every step of the way. In the unlikely event that one of our products does not perform as expected, you're protected by our Product Promise.
For full details, please see our Terms & Conditions

Please note: All products are 'FOR RESEARCH USE ONLY. NOT FOR USE IN DIAGNOSTIC OR THERAPEUTIC PROCEDURES'.

For licensing inquiries, please contact partnerships@abcam.com