JavaScript is disabled in your browser. Please enable JavaScript to view this website.
AB81707

Anti-C1s antibody [M81]

4

(1 Review)

|

(1 Publication)

Mouse Monoclonal C1S antibody. Suitable for IHC-P and reacts with Human samples. Cited in 1 publication.

View Alternative Names

Complement C1s subcomponent, C1 esterase, Complement component 1 subcomponent s, C1S

1 Images
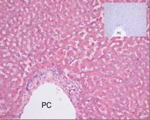
Immunohistochemistry (Formalin/PFA-fixed paraffin-embedded sections) - Anti-C1s antibody [M81] (AB81707)
  • IHC-P

Unknown

Immunohistochemistry (Formalin/PFA-fixed paraffin-embedded sections) - Anti-C1s antibody [M81] (AB81707)

ab81707, at a dilution of 1/50, staining paraffin embedded human liver melanoma cells by Immunohistochemistry. Insert is isotype control.

Key facts

Host species

Mouse

Clonality

Monoclonal

Clone number

M81

Isotype

IgG1

Carrier free

No

Reacts with

Human

Applications

IHC-P

applications

Epitope

ab81707 reacts with an epitope on human C protein activated C1s, a subcomponent of the first component of C (C1). The epitope recognized by ab81707 is domain IV and/or V of the gamma domain of activated C1s.

Specificity

ab81707 reacts around the binding site of C1s and reacts with both active and inactive C1s.

Reactivity data

{ "title": "Reactivity Data", "filters": { "stats": ["", "Species", "Dilution Info", "Notes"], "tabs": { "all-applications": {"fullname" : "All Applications", "shortname": "All Applications"}, "IHCP" : {"fullname" : "Immunohistochemistry (Formalin/PFA-fixed paraffin-embedded sections)", "shortname":"IHC-P"} }, "product-promise": { "all": "all", "testedAndGuaranteed": "tested", "guaranteed": "expected", "predicted": "predicted", "notRecommended": "not-recommended" } }, "values": { "Human": { "IHCP-species-checked": "testedAndGuaranteed", "IHCP-species-dilution-info": "", "IHCP-species-notes": "<p></p>" } } }

Properties and storage information

Form
Liquid
Purification notes
ab81707 is a purified, 0.2 µm filtered solution.
Storage buffer
Constituents: PBS, 0.1% BSA
Shipped at conditions
Blue Ice
Appropriate short-term storage conditions
+4°C
Appropriate long-term storage conditions
-20°C
Aliquoting information
Upon delivery aliquot
Storage information
Avoid freeze / thaw cycle

Product protocols

For this product, it's our understanding that no specific protocols are required. You can visit:

Target data

C1s B chain is a serine protease that combines with C1q and C1r to form C1, the first component of the classical pathway of the complement system. C1r activates C1s so that it can, in turn, activate C2 and C4. Cleaves also IGFBP5 and thereby inhibits the trophic effects of IGF1.
See full target information C1S

Publications (1)

Recent publications for all applications. Explore the full list and refine your search

Journal of immunology (Baltimore, Md. : 1950) 142:2743-50 PubMed2522968

1989

Probing the C4-binding site on C1s with monoclonal antibodies. Evidence for a C4/C4b-binding site on the gamma-domain.

Applications

Unspecified application

Species

Unspecified reactive species

M Matsumoto,K Nagaki,H Kitamura,S Kuramitsu,S Nagasawa,T Seya
View all publications

Product promise

We are committed to supporting your work with high-quality reagents, and we're here for you every step of the way. In the unlikely event that one of our products does not perform as expected, you're protected by our Product Promise.
For full details, please see our Terms & Conditions

Please note: All products are 'FOR RESEARCH USE ONLY. NOT FOR USE IN DIAGNOSTIC OR THERAPEUTIC PROCEDURES'.

For licensing inquiries, please contact partnerships@abcam.com