JavaScript is disabled in your browser. Please enable JavaScript to view this website.
AB200999

Anti-C3 antibody [EPR19394]

  • BOND RX™ Validated
  • RabMAb
  • Recombinant
  • KO Validated
  • What is this?

4

(9 Reviews)

|

(131 Publications)

Anti-C3 antibody [EPR19394] (ab200999) is a rabbit monoclonal antibody detecting C3/C3b in Western Blot, IHC-P. Suitable for Human, Mouse, Rat.

- Biophysical QC for unrivalled batch-batch consistency
- Over 70 publications

View Alternative Names

CPAMD1, C3, Complement C3, C3 and PZP-like alpha-2-macroglobulin domain-containing protein 1

13 Images
Western blot - Anti-C3 antibody [EPR19394] (AB200999)
  • WB

Supplier Data

Western blot - Anti-C3 antibody [EPR19394] (AB200999)

Blocking/Dilution buffer : 5% NFDM/TBST.

All lanes:

Western blot - Anti-C3 antibody [EPR19394] (ab200999) at 1/2000 dilution

Lane 1:

Human fetal liver lysate at 10 µg

Lane 2:

Human fetal heart lysate at 10 µg

Lane 3:

Human fetal kidney lysate at 10 µg

Secondary

All lanes:

Goat Anti-Rabbit IgG Peroxidase Conjugate, specific to the non-reduced form of IgG at 1/10000 dilution

Predicted band size: 187 kDa

Observed band size: 115 kDa,187 kDa,68 kDa

false

Exposure time: 30s

Immunohistochemistry (Formalin/PFA-fixed paraffin-embedded sections) - Anti-C3 antibody [EPR19394] (AB200999)
  • IHC-P

Lab

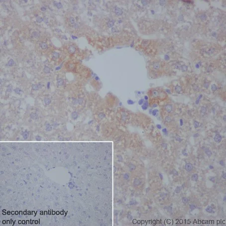
Immunohistochemistry (Formalin/PFA-fixed paraffin-embedded sections) - Anti-C3 antibody [EPR19394] (AB200999)

Immunohistochemical analysis of formalin fixed paraffin embedded human liver labelling C3/C3b with ab200999 at a concentration of 0.01 µg/ml. The immunostaining was performed on a Ventana DISCOVERY ULTRA (Roche Tissue Diagnostics) instrument with a OptiView DAB IHC Detection Kit. Heat mediated antigen retrieval was performed with DISCOVERY cell conditioning solution (CC1) 100°C, pH8.5 for 32mins.

Anti-C3/C3b antibody [EPR19394] ab200999 was incubated for 16mins at 37°C. Sections were counterstained with Hematoxylin II. Image inset shows absence of staining in secondary antibody only control.

Customers are encouraged to optimise antigen retrieval conditions, antibody concentration, incubation times and temperature for best results in their own IHC assay workflow (automated and manual).

Immunohistochemistry (Formalin/PFA-fixed paraffin-embedded sections) - Anti-C3 antibody [EPR19394] (AB200999)
  • IHC-P

Supplier Data

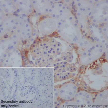
Immunohistochemistry (Formalin/PFA-fixed paraffin-embedded sections) - Anti-C3 antibody [EPR19394] (AB200999)

Immunohistochemical analysis of paraffin-embedded Rat kidney tissue labeling C3 with ab200999 at 1/2000 dilution followed by Goat Anti-Rabbit IgG H&L (HRP) (ab97051) at 1/500 dilution.

The plasma in blood vessels of rat kidney was positive staining. The staining pattern is similar to what has been observed in the literature (PMID : 23104558).

Counter stained with Hematoxylin.

Secondary antibody only control : Used PBS instead of primary antibody secondary antibody is Goat Anti-Rabbit IgG H&L (HRP) (ab97051) at 1/500 dilution.

Perform heat mediated antigen retrieval with Tris/EDTA buffer pH 9.0 before commencing with IHC staining protocol.

Immunohistochemistry (Formalin/PFA-fixed paraffin-embedded sections) - Anti-C3 antibody [EPR19394] (AB200999)
  • IHC-P

Supplier Data

Immunohistochemistry (Formalin/PFA-fixed paraffin-embedded sections) - Anti-C3 antibody [EPR19394] (AB200999)

Immunohistochemical analysis of paraffin-embedded Rat liver tissue labeling C3 with ab200999 at 1/2000 dilution followed by Goat Anti-Rabbit IgG H&L (HRP) (ab97051) at 1/500 dilution.

Cytoplasm staining on hepatocytes of rat liver is observed.

Counter stained with Hematoxylin.

Secondary antibody only control : Used PBS instead of primary antibody secondary antibody is Goat Anti-Rabbit IgG H&L (HRP) (ab97051) at 1/500 dilution.

Perform heat mediated antigen retrieval with Tris/EDTA buffer pH 9.0 before commencing with IHC staining protocol.

Immunohistochemistry (Formalin/PFA-fixed paraffin-embedded sections) - Anti-C3 antibody [EPR19394] (AB200999)
  • IHC-P

Supplier Data

Immunohistochemistry (Formalin/PFA-fixed paraffin-embedded sections) - Anti-C3 antibody [EPR19394] (AB200999)

Immunohistochemical analysis of paraffin-embedded Mouse cardiac muscle tissue labeling C3 with ab200999 at 1/2000 dilution followed by Goat Anti-Rabbit IgG H&L (HRP) (ab97051) at 1/500 dilution.

The plasma in blood vessel of mouse cardiac muscle was positive staining. The staining pattern is similar to what has been observed in the literature (PMID : 23104558).

Counter stained with Hematoxylin.

Secondary antibody only control : Used PBS instead of primary antibody secondary antibody is Goat Anti-Rabbit IgG H&L (HRP) (ab97051) at 1/500 dilution.

Perform heat mediated antigen retrieval with Tris/EDTA buffer pH 9.0 before commencing with IHC staining protocol.

Immunohistochemistry (Formalin/PFA-fixed paraffin-embedded sections) - Anti-C3 antibody [EPR19394] (AB200999)
  • IHC-P

Supplier Data

Immunohistochemistry (Formalin/PFA-fixed paraffin-embedded sections) - Anti-C3 antibody [EPR19394] (AB200999)

Immunohistochemical analysis of paraffin-embedded Mouse liver tissue labeling C3 with ab200999 at 1/2000 dilution followed by Goat Anti-Rabbit IgG H&L (HRP) (ab97051) at 1/500 dilution.

Cytoplasm staining on hepatocytes of mouse liver is observed.

Counter stained with Hematoxylin.

Secondary antibody only control : Used PBS instead of primary antibody secondary antibody is Goat Anti-Rabbit IgG H&L (HRP) (ab97051) at 1/500 dilution.

Perform heat mediated antigen retrieval with Tris/EDTA buffer pH 9.0 before commencing with IHC staining protocol.

Immunohistochemistry (Formalin/PFA-fixed paraffin-embedded sections) - Anti-C3 antibody [EPR19394] (AB200999)
  • IHC-P

Supplier Data

Immunohistochemistry (Formalin/PFA-fixed paraffin-embedded sections) - Anti-C3 antibody [EPR19394] (AB200999)

Immunohistochemical analysis of paraffin-embedded Rat lung tissue labeling C3 with ab200999 at 1/2000 dilution followed by Goat Anti-Rabbit IgG H&L (HRP) (ab97051) at 1/500 dilution.

The plasma in blood vessels of rat lung was positive staining. The staining pattern is similar to what has been observed in the literature (PMID : 23104558).

Counter stained with Hematoxylin.

Secondary antibody only control : Used PBS instead of primary antibody secondary antibody is Goat Anti-Rabbit IgG H&L (HRP) (ab97051) at 1/500 dilution.

Perform heat mediated antigen retrieval with Tris/EDTA buffer pH 9.0 before commencing with IHC staining protocol.

Immunohistochemistry (Formalin/PFA-fixed paraffin-embedded sections) - Anti-C3 antibody [EPR19394] (AB200999)
  • IHC-P

Supplier Data

Immunohistochemistry (Formalin/PFA-fixed paraffin-embedded sections) - Anti-C3 antibody [EPR19394] (AB200999)

Immunohistochemical analysis of paraffin-embedded Mouse cerebral cortex tissue labeling C3 with ab200999 at 1/2000 dilution followed by Goat Anti-Rabbit IgG H&L (HRP) (ab97051) at 1/500 dilution.

The plasma in blood vessels of mouse cerebral cortex was positive staining.

Counter stained with Hematoxylin.

Secondary antibody only control : Used PBS instead of primary antibody secondary antibody is Goat Anti-Rabbit IgG H&L (HRP) (ab97051) at 1/500 dilution.

Perform heat mediated antigen retrieval with Tris/EDTA buffer pH 9.0 before commencing with IHC staining protocol.

Immunohistochemistry (Formalin/PFA-fixed paraffin-embedded sections) - Anti-C3 antibody [EPR19394] (AB200999)
  • IHC-P

Lab

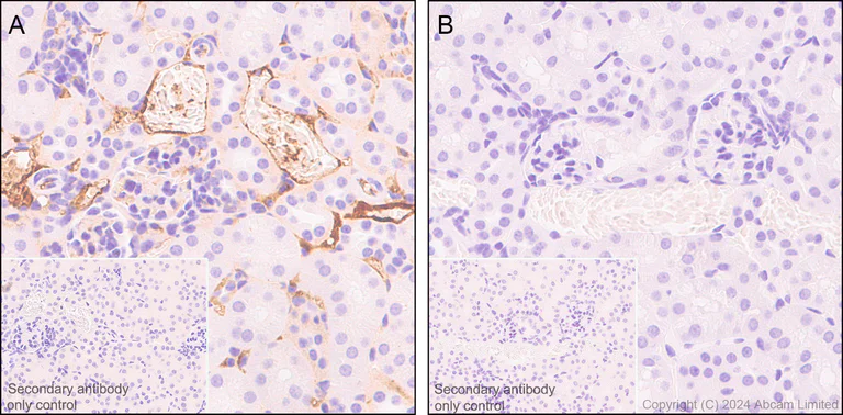
Immunohistochemistry (Formalin/PFA-fixed paraffin-embedded sections) - Anti-C3 antibody [EPR19394] (AB200999)

Immunohistochemical analysis of paraffin-embedded (A) kidney tissue from wild-type C57BL/6JGpt mice and (B) kidney tissue from C3 knockout mice tissue labeling C3 with ab200999 at 1/10000 dilution, followed by a ready to use LeicaDS9800 (Bond Polymer Refine Detection).

Positive staining on (A) kidney tissue from wild-type C57BL/6JGpt mice and no staining on (B) kidney tissue from C3 knockout mice.
The section was incubated with ab200999 for 30 mins at room temperature.
The immunostaining was performed on a Leica Biosystems BOND® RX instrument.
The tissue samples were kindly provided by GemPharmatech. C57BL/6JGpt wildtype mice and C3-KO homozygous mice (Strain ID : T012596).

Counterstained with Hematoxylin.

Secondary antibody only control : Secondary antibody is a ready to use LeicaDS9800 (Bond Polymer Refine Detection).

Heat mediated antigen retrieval was performed with Citrate buffer (pH 6.0, Epitope Retrieval Solution 1) for 20 mins.

Immunohistochemistry (Formalin/PFA-fixed paraffin-embedded sections) - Anti-C3 antibody [EPR19394] (AB200999)
  • IHC-P

Lab

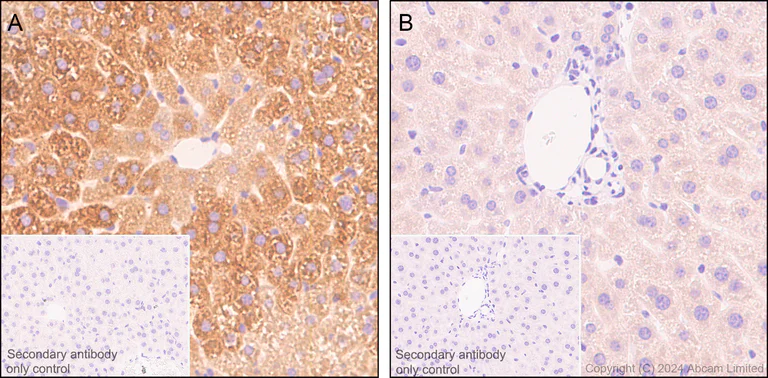
Immunohistochemistry (Formalin/PFA-fixed paraffin-embedded sections) - Anti-C3 antibody [EPR19394] (AB200999)

Immunohistochemical analysis of paraffin-embedded (A) Liver tissue from wild-type C57BL/6JGpt mice and (B) Liver tissue from C3 knockout mice tissue labeling C3 with ab200999 at 1/10000 dilution, followed by a ready to use LeicaDS9800 (Bond Polymer Refine Detection).

Positive staining on (A) Liver tissue from wild-type C57BL/6JGpt mice and no staining on (B) Liver tissue from C3 knockout mice.
The section was incubated with ab200999 for 30 mins at room temperature.
The immunostaining was performed on a Leica Biosystems BOND® RX instrument.
The tissue samples were kindly provided by GemPharmatech. C57BL/6JGpt wildtype mice and C3-KO homozygous mice (Strain ID : T012596).

Counterstained with Hematoxylin.

Secondary antibody only control : Secondary antibody is a ready to use LeicaDS9800 (Bond Polymer Refine Detection).

Heat mediated antigen retrieval was performed with Citrate buffer (pH 6.0, Epitope Retrieval Solution 1) for 20 mins.

Western blot - Anti-C3 antibody [EPR19394] (AB200999)
  • WB

Unknown

Western blot - Anti-C3 antibody [EPR19394] (AB200999)

Blocking/Dilution buffer : 5% NFDM/TBST.

Exposure time : Lane 1-5 : 8 seconds; Lane 6 : 3 minutes.

All lanes:

Western blot - Anti-C3 antibody [EPR19394] (ab200999) at 1/2000 dilution

Lane 1:

Human serum at 20 µg

Lane 2:

Human plasma at 20 µg

Lane 3:

HepG2 (Human liver hepatocellular carcinoma cell line) whole cell lysate at 20 µg

Lane 4:

Mouse plasma at 20 µg

Lane 5:

Rat plasma at 20 µg

Lane 6:

Human milk at 20 µg

Secondary

All lanes:

Goat Anti-Rabbit IgG Peroxidase Conjugate, specific to the non-reduced form of IgG at 1/10000 dilution

Predicted band size: 187 kDa

Observed band size: 115 kDa,187 kDa,43 kDa,68 kDa

false

Western blot - Anti-C3 antibody [EPR19394] (AB200999)
  • WB

Supplier Data

Western blot - Anti-C3 antibody [EPR19394] (AB200999)

Blocking/Dilution buffer : 5% NFDM/TBST.

Exposure time : Lane 1,2,3,5 and 6 : 3 minutes; Lane 4,7 and 8 : 10 seconds.

All lanes:

Western blot - Anti-C3 antibody [EPR19394] (ab200999) at 1/2000 dilution

Lane 1:

Mouse brain lysate at 10 µg

Lane 2:

Mouse kidney lysate at 10 µg

Lane 3:

Mouse spleen lysate at 10 µg

Lane 4:

Mouse heart lysate at 10 µg

Lane 5:

Rat brain lysate at 10 µg

Lane 6:

Rat spleen lysate at 10 µg

Lane 7:

Rat heart lysate at 10 µg

Lane 8:

Rat kidney lysate at 10 µg

Secondary

All lanes:

Western blot - Goat Anti-Rabbit IgG H&L (HRP) (<a href='/en-us/products/secondary-antibodies/goat-rabbit-igg-h-l-hrp-ab97051'>ab97051</a>) at 1/100000 dilution

Predicted band size: 187 kDa

Observed band size: 115 kDa,187 kDa,43 kDa,68 kDa

false

Western blot - Anti-C3 antibody [EPR19394] (AB200999)
  • WB

Lab

Western blot - Anti-C3 antibody [EPR19394] (AB200999)

In Western blot, Anti-GAPDH antibody [EPR16891] - Loading Control (ab181602) staining at 1/200000 dilution.

The identity of the lower MW band at approximately 25 kDa (in lane 1-4) is unknown.

The tissue samples were kindly provided by GemPharmatech. C57BL/6JGpt wildtype mice and C3-KO homozygous mice (Strain ID : T012596).

All lanes:

Western blot - Anti-C3 antibody [EPR19394] (ab200999) at 1/1000 dilution

Lane 1:

Wild-type mouse kidney tissue lysate (male) at 20 µg

Lane 2:

Wild-type mouse kidney tissue lysate (female) at 20 µg

Lane 3:

C3 knockout mouse kidney tissue lysate (male case1) at 20 µg

Lane 4:

C3 knockout mouse kidney tissue lysate (male case2) at 20 µg

Lane 5:

Wild-type mouse spleen tissue lysate (male) at 20 µg

Lane 6:

Wild-type mouse spleen tissue lysate (female) at 20 µg

Lane 7:

C3 knockout mouse spleen tissue lysate (male case1) at 20 µg

Lane 8:

C3 knockout mouse spleen tissue lysate (male case2) at 20 µg

Secondary

All lanes:

Western blot - Goat Anti-Rabbit IgG H&L (HRP) (<a href='/en-us/products/secondary-antibodies/goat-rabbit-igg-h-l-hrp-ab97051'>ab97051</a>) at 1/20000 dilution

Observed band size: 43-187 kDa

false

Exposure time: 6s

Key facts

Host species

Rabbit

Clonality

Monoclonal

Clone number

EPR19394

Isotype

IgG

Carrier free

No

Reacts with

Mouse, Rat, Human

Applications

WB, IHC-P

applications

Immunogen

The exact immunogen used to generate this antibody is proprietary information.

Reactivity data

{ "title": "Reactivity Data", "filters": { "stats": ["", "Species", "Dilution Info", "Notes"], "tabs": { "all-applications": {"fullname" : "All Applications", "shortname": "All Applications"}, "WB" : {"fullname" : "Western blot", "shortname":"WB"}, "IHCP" : {"fullname" : "Immunohistochemistry (Formalin/PFA-fixed paraffin-embedded sections)", "shortname":"IHC-P"} }, "product-promise": { "all": "all", "testedAndGuaranteed": "tested", "guaranteed": "expected", "predicted": "predicted", "notRecommended": "not-recommended" } }, "values": { "Human": { "WB-species-checked": "testedAndGuaranteed", "WB-species-dilution-info": "1/2000", "WB-species-notes": "<p></p>", "IHCP-species-checked": "testedAndGuaranteed", "IHCP-species-dilution-info": "1/2000", "IHCP-species-notes": "<p></p> Perform heat-mediated antigen retrieval with Tris/EDTA buffer pH 9.0 before commencing with IHC staining protocol." }, "Mouse": { "WB-species-checked": "testedAndGuaranteed", "WB-species-dilution-info": "1/1000 - 1/2000", "WB-species-notes": "<p></p>", "IHCP-species-checked": "testedAndGuaranteed", "IHCP-species-dilution-info": "1/2000 - 1/10000", "IHCP-species-notes": "<p></p> Perform heat-mediated antigen retrieval with Tris/EDTA buffer pH 9.0 before commencing with IHC staining protocol." }, "Rat": { "WB-species-checked": "testedAndGuaranteed", "WB-species-dilution-info": "1/2000", "WB-species-notes": "<p></p>", "IHCP-species-checked": "testedAndGuaranteed", "IHCP-species-dilution-info": "1/2000", "IHCP-species-notes": "<p></p> Perform heat-mediated antigen retrieval with Tris/EDTA buffer pH 9.0 before commencing with IHC staining protocol." } } }

Product details

Anti-C3 antibody [EPR19394] (ab200999) was developed by Abcam using patented rabbit monoclonal antibody technology and is validated for use in IHC-P, WB in human, mouse, rat samples.

Anti-C3 antibody [EPR19394] (ab200999) has been cited over 71 times in peer reviewed journals and is trusted by the scientific community.

Abcam's high quality manufacturing and validation processes ensure Anti-C3 antibody [EPR19394] (ab200999) has high sensitivity and specificity alongside high lot-to-lot consistency and reproducibility.

Anti-C3 antibody [EPR19394] (ab200999) has 9 independent reviews from customers.

Anti-C3 antibody [EPR19394] (ab200999) specifically detects C3/C3b (UniProt ID: P01024; Molecular weight: 185kDa) and is sold in 100 µL and 1 mL selling sizes.

Conjugation-ready, carrier free format available for antibody clone EPR19394 - ab271967.

Antibody clone EPR19394 is also available pre-conjugated to a variety of labels for your convenience - Alexa Fluor® 488, Alexa Fluor® 647, Alexa Fluor® 594, Alexa Fluor® 568, Alexa Fluor® 555, Alexa Fluor® 750, Biotin (ab311043, ab311168, ab311822, ab313105, ab313298, ab321348, ab322300).

Patented technology
Our RabMAb® technology is a patented hybridoma-based technology for making rabbit monoclonal antibodies. For details on our patents, please refer to RabMAb® patents.

What are the advantages of a recombinant monoclonal antibody?
This product is a recombinant monoclonal antibody, which offers several advantages including:

  • - High batch-to-batch consistency and reproducibility
  • - Improved sensitivity and specificity
  • - Long-term security of supply
  • - Animal-free batch production

For more information, read more on recombinant antibodies.

Properties and storage information

Form
Liquid
Purification technique
Affinity purification Protein A
Storage buffer
pH: 7.2 - 7.4 Preservative: 0.01% Sodium azide Constituents: PBS, 40% Glycerol (glycerin, glycerine), 0.05% BSA
Shipped at conditions
Blue Ice
Appropriate short-term storage duration
1-2 weeks
Appropriate short-term storage conditions
+4°C
Appropriate long-term storage conditions
-20°C
Aliquoting information
Upon delivery aliquot
Storage information
Avoid freeze / thaw cycle

Supplementary information

This supplementary information is collated from multiple sources and compiled automatically.

Complement component 3 (C3) commonly known as C3 complement is a central protein in the complement system which plays a significant role in immune response. C3b a fragment of C3 is produced when C3 undergoes cleavage. C3 is a large protein with a mass of approximately 185 kDa. The liver primarily secretes C3 into the bloodstream. It circulates in the plasma and is found in high concentration making it one of the most abundant components of the complement system.
Biological function summary

Complement component C3 forms part of the innate immune system by promoting opsonization which enhances phagocytosis of pathogens. C3b binds to pathogens' surfaces facilitating their recognition by phagocytes. C3 as part of a complex with C3 convertase also has a role in amplifying the activation of the complement cascade. The proteolytic cleavage of C3 into C3b and C3a leads to the activation of other components forming the membrane attack complex and orchestrating inflammation.

Pathways

The complement component C3 functions within both the classical and alternative complement pathways. It acts as a convergence point where the complement activation pathways meet. C3 is activated into C3b and C3a which are key to amplifying the cascade. Furthermore C3 interacts with proteins such as factor B and factor D in the alternative pathway and C4 and C2 in the classical pathway facilitating the formation of C3 convertase necessary for pathway progression.

Complement C3 shows associations with immune-related and inflammatory diseases. Deficiencies or malfunctions of complement C3 can lead to increased susceptibility to infections due to impaired opsonization and clearance of pathogens. Additionally overactivation of the complement system involving C3 can contribute to autoimmune disorders such as systemic lupus erythematosus. Other proteins linked to these diseases include C4 in lupus and factor H in age-related macular degeneration which controls complement pathway activation.

Product protocols

For this product, it's our understanding that no specific protocols are required. You can visit:

Target data

C3 plays a central role in the activation of the complement system. Its processing by C3 convertase is the central reaction in both classical and alternative complement pathways. After activation C3b can bind covalently, via its reactive thioester, to cell surface carbohydrates or immune aggregates.. Derived from proteolytic degradation of complement C3, C3a anaphylatoxin is a mediator of local inflammatory process. In chronic inflammation, acts as a chemoattractant for neutrophils (By similarity). It induces the contraction of smooth muscle, increases vascular permeability and causes histamine release from mast cells and basophilic leukocytes.. C3-beta-c. Acts as a chemoattractant for neutrophils in chronic inflammation.. Acylation stimulating protein. Adipogenic hormone that stimulates triglyceride (TG) synthesis and glucose transport in adipocytes, regulating fat storage and playing a role in postprandial TG clearance. Appears to stimulate TG synthesis via activation of the PLC, MAPK and AKT signaling pathways. Ligand for C5AR2. Promotes the phosphorylation, ARRB2-mediated internalization and recycling of C5AR2 (PubMed : 10432298, PubMed : 15833747, PubMed : 16333141, PubMed : 19615750, PubMed : 2909530, PubMed : 8376604, PubMed : 9059512).
See full target information C3

Publications (131)

Recent publications for all applications. Explore the full list and refine your search

Diabetology & metabolic syndrome 17:378 PubMed41044791

2025

Electroacupuncture ameliorates cognitive dysfunction in T2DM rats by modulating astrocytic polarization and aberrant energy metabolism in the hippocampus via the Wnt/β-catenin pathway.

Applications

Unspecified application

Species

Unspecified reactive species

Xiaolu Li,Rui Li,Jiayi Lin,Xiaoli Wu

Neurochemical research 50:269 PubMed40824389

2025

Progressive Blood-Brain Barrier Disruption in Sleep-Restricted Young Mice: Cellular Senescence and Neuroinflammation Crosstalk.

Applications

Unspecified application

Species

Unspecified reactive species

Jessica J Avilez-Avilez,Jesús Enrique García-Aviles,Ricardo Jair Ramírez-Carreto,Verónica Salas-Venegas,Mara A Guzmán-Ruiz,Fernanda Medina-Flores,Mina Königsberg,Anahí Chavarría,Beatriz Gómez-González

BMC biology 23:228 PubMed40722026

2025

Targeting the complement-mTOR-autophagy axis: the role of apolipoprotein E in depression.

Applications

Unspecified application

Species

Unspecified reactive species

Yong Li,Chengyuan Xu,Jing Liu,Mengru Guo,Jia Wang,Xianbing Bai,Yujie Cheng,Xinyue Luan,Huailong Pei,Chenlei Zhang,Huan Liu,Ming Chen,Binliang Tang

Theranostics 15:6628-6650 PubMed40585999

2025

Gut microbiota depletion accelerates hematoma resolution and neurological recovery after intracerebral hemorrhage via p-coumaric acid-promoted Treg differentiation.

Applications

Unspecified application

Species

Unspecified reactive species

Yonghe Zheng,Yin Li,Xuchao He,Yuhan Zhu,Shiyu Xu,Yirong Feng,Yirui Kuang,Huaijun Chen,Linfeng Fan,Huaping Huang,Libin Hu,Xian Yu,Jianan Wu,Lingji Jin,Junwen Hu,Xiongjie Fu,Hanhai Zeng,Shenglong Cao,Lin Wang

Molecular brain 18:53 PubMed40545530

2025

Distinct composition of different types of Abeta plaques in the pathogenesis of Alzheimer's disease and the role of neutrophil-derived myeloperoxidase.

Applications

Unspecified application

Species

Unspecified reactive species

Jianru Sun,Xiangqi Shao,Xue Wang,Xiang-Sha Yin,Wenying Qiu,Xiaojing Qian,Fan Liu,Yongmei Chen,Chao Ma

Acta pharmaceutica Sinica. B 15:2575-2592 PubMed40487658

2025

NAT10 inhibition alleviates astrocyte autophagy by impeding ac4C acetylation of mRNA in ischemic stroke.

Applications

Unspecified application

Species

Unspecified reactive species

Li Yang,Xiaotong Li,Yaxuan Zhao,Hao Chen,Can Wang,Angrong Wu,Xintong Guo,Yue Huang,Qihui Wang,Lingyun Hao,Xiaowen Li,Ying Ji,Jin Ban,Guangtian Wang,Junli Cao,Zhiqiang Pan

Communications biology 8:879 PubMed40481230

2025

High-fat diet induces pre-eclampsia through dampening cell-autonomous C3 in trophoblasts.

Applications

Unspecified application

Species

Unspecified reactive species

Simeng Zhu,Siyue Chen,Yingzhou Ge,Fangyue Zhou,Kaizhen Su,Congfeng Xu,Yanting Wu,Hefeng Huang

ACS omega 10:17584-17594 PubMed40352542

2025

Remote Ischemic Postconditioning Protects the Neurovascular Units in MCAO/R Rats through HIF-1α-Mediated Pathway.

Applications

Unspecified application

Species

Unspecified reactive species

Haocheng Qin,Lu Sun,Lu Su,Bao Zhou,Zhong He,Pengkun Yang,Zhengran Ding,Yu-Lian Zhu,Dan Liang

Acta neuropathologica 149:35 PubMed40278930

2025

Neuronal pSTAT1 hallmarks synaptic pathology in autoimmune encephalitis against intracellular antigens.

Applications

Unspecified application

Species

Unspecified reactive species

Giovanni Di Liberto,Kristof Egervari,Alberto Vogrig,Marianna Spatola,Margot Piccinno,Ilena Vincenti,Ingrid Wagner,Mario Kreutzfeldt,Verena Endmayr,Karoline Ostertag,Jasmin Rahimi,Alex Vicino,Anne-Katrin Pröbstel,David Meyronet,Stephan Frank,Marco Prinz,Ekkehard Hewer,Jean-Philippe Brouland,Laurence de Leval,Laura Parkkinen,Bogdan Draganski,Virginie Desestret,Divyanshu Dubey,Sean J Pittock,Shanu F Roemer,Dennis W Dickson,Romana Höftberger,Sarosh R Irani,Jérôme Honnorat,Renaud Du Pasquier,Doron Merkler

European journal of trauma and emergency surgery : official publication of the European Trauma Society 51:178 PubMed40253667

2025

Immunomodulatory and cardio-protective effects of differentially originated multipotent mesenchymal stroma cells during polymicrobial sepsis in mice.

Applications

Unspecified application

Species

Unspecified reactive species

Anna Kanewska,Ina Lackner,Anne Friedrich,Martina Winkelmann,Markus Rojewski,Birte Weber,Jochen Preßmar,Mario Perl,Hubert Schrezenmeier,Miriam Kalbitz
View all publications

Product promise

We are committed to supporting your work with high-quality reagents, and we're here for you every step of the way. In the unlikely event that one of our products does not perform as expected, you're protected by our Product Promise.
For full details, please see our Terms & Conditions

Please note: All products are 'FOR RESEARCH USE ONLY. NOT FOR USE IN DIAGNOSTIC OR THERAPEUTIC PROCEDURES'.

For licensing inquiries, please contact partnerships@abcam.com