JavaScript is disabled in your browser. Please enable JavaScript to view this website.
AB271967

Anti-C3 antibody [EPR19394] - BSA and Azide free

  • BOND RX™ Validated
  • RabMAb
  • Recombinant
  • KO Validated
  • What is this?

Be the first to review this product! Submit a review

|

(0 Publication)

Rabbit Recombinant Monoclonal C3 antibody. Carrier free. Suitable for WB, IHC-P and reacts with Mouse, Human, Rat samples.

View Alternative Names

CPAMD1, C3, Complement C3, C3 and PZP-like alpha-2-macroglobulin domain-containing protein 1

10 Images
Immunohistochemistry (Formalin/PFA-fixed paraffin-embedded sections) - Anti-C3 antibody [EPR19394] - BSA and Azide free (AB271967)
  • IHC-P

Lab

Immunohistochemistry (Formalin/PFA-fixed paraffin-embedded sections) - Anti-C3 antibody [EPR19394] - BSA and Azide free (AB271967)

This data was developed using the same antibody clone in a different buffer formulation (ab200999).

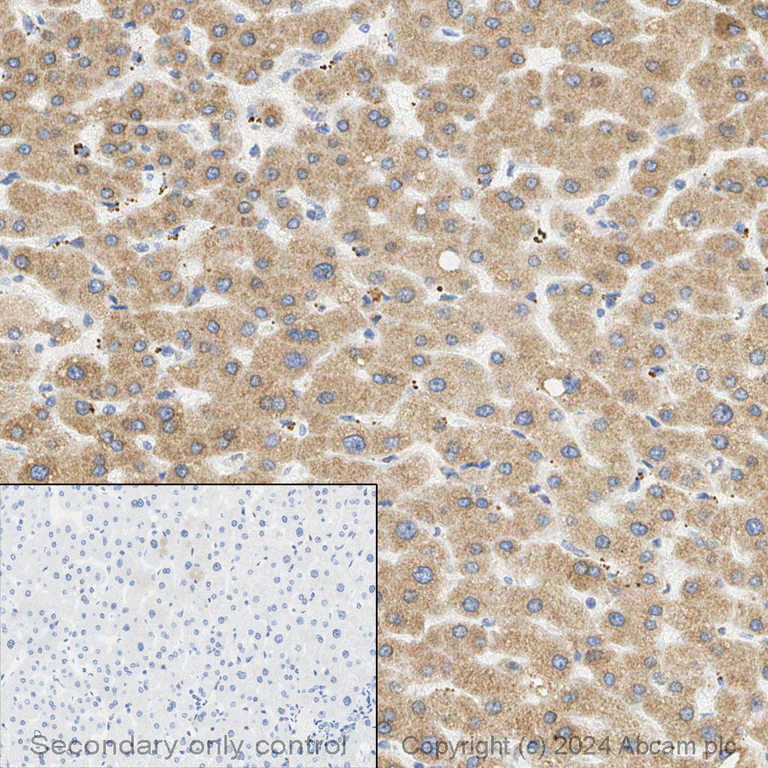
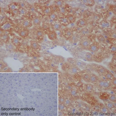
Immunohistochemical analysis of formalin fixed paraffin embedded human liver labelling C3/C3b with ab200999 at a concentration of 0.01 µg/ml. The immunostaining was performed on a Ventana DISCOVERY ULTRA (Roche Tissue Diagnostics) instrument with a OptiView DAB IHC Detection Kit. Heat mediated antigen retrieval was performed with DISCOVERY cell conditioning solution (CC1) 100°C, pH8.5 for 32mins.

Anti-C3/C3b antibody [EPR19394] ab200999 was incubated for 16mins at 37°C. Sections were counterstained with Hematoxylin II. Image inset shows absence of staining in secondary antibody only control.

Customers are encouraged to optimise antigen retrieval conditions, antibody concentration, incubation times and temperature for best results in their own IHC assay workflow (automated and manual).

Immunohistochemistry (Formalin/PFA-fixed paraffin-embedded sections) - Anti-C3 antibody [EPR19394] - BSA and Azide free (AB271967)
  • IHC-P

Supplier Data

Immunohistochemistry (Formalin/PFA-fixed paraffin-embedded sections) - Anti-C3 antibody [EPR19394] - BSA and Azide free (AB271967)

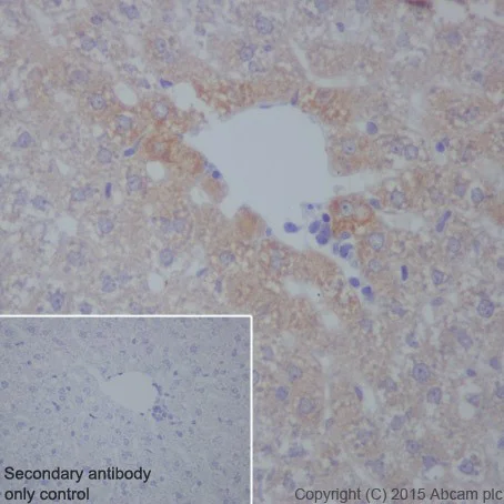
Immunohistochemical analysis of paraffin-embedded Rat liver tissue labeling C3 with ab200999 at 1/2000 dilution, followed by Goat Anti-Rabbit IgG H&L (HRP) (ab97051) at 1/500 dilution.

Cytoplasm staining on hepatocytes of rat liver is observed.

Counter stained with Hematoxylin.

Secondary antibody only control : Used PBS instead of primary antibody, secondary antibody is Goat Anti-Rabbit IgG H&L (HRP) (ab97051) at 1/500 dilution.

Perform heat mediated antigen retrieval with Tris/EDTA buffer pH 9.0 before commencing with IHC staining protocol.

This data was developed using the same antibody clone in a different buffer formulation containing PBS, BSA, glycerol, and sodium azide (ab200999).

Immunohistochemistry (Formalin/PFA-fixed paraffin-embedded sections) - Anti-C3 antibody [EPR19394] - BSA and Azide free (AB271967)
  • IHC-P

Supplier Data

Immunohistochemistry (Formalin/PFA-fixed paraffin-embedded sections) - Anti-C3 antibody [EPR19394] - BSA and Azide free (AB271967)

Immunohistochemical analysis of paraffin-embedded Mouse cardiac muscle tissue labeling C3 with ab200999 at 1/2000 dilution, followed by Goat Anti-Rabbit IgG H&L (HRP) (ab97051) at 1/500 dilution.

The plasma in blood vessel of mouse cardiac muscle was positive staining. The staining pattern is similar to what has been observed in the literature (PMID : 23104558).

Counter stained with Hematoxylin.

Secondary antibody only control : Used PBS instead of primary antibody, secondary antibody is Goat Anti-Rabbit IgG H&L (HRP) (ab97051) at 1/500 dilution.

Perform heat mediated antigen retrieval with Tris/EDTA buffer pH 9.0 before commencing with IHC staining protocol.

This data was developed using the same antibody clone in a different buffer formulation containing PBS, BSA, glycerol, and sodium azide (ab200999).

Immunohistochemistry (Formalin/PFA-fixed paraffin-embedded sections) - Anti-C3 antibody [EPR19394] - BSA and Azide free (AB271967)
  • IHC-P

Supplier Data

Immunohistochemistry (Formalin/PFA-fixed paraffin-embedded sections) - Anti-C3 antibody [EPR19394] - BSA and Azide free (AB271967)

Immunohistochemical analysis of paraffin-embedded Mouse liver tissue labeling C3 with ab200999 at 1/2000 dilution, followed by Goat Anti-Rabbit IgG H&L (HRP) (ab97051) at 1/500 dilution.

Cytoplasm staining on hepatocytes of mouse liver is observed.

Counter stained with Hematoxylin.

Secondary antibody only control : Used PBS instead of primary antibody, secondary antibody is Goat Anti-Rabbit IgG H&L (HRP) (ab97051) at 1/500 dilution.

Perform heat mediated antigen retrieval with Tris/EDTA buffer pH 9.0 before commencing with IHC staining protocol.

This data was developed using the same antibody clone in a different buffer formulation containing PBS, BSA, glycerol, and sodium azide (ab200999).

Immunohistochemistry (Formalin/PFA-fixed paraffin-embedded sections) - Anti-C3 antibody [EPR19394] - BSA and Azide free (AB271967)
  • IHC-P

Supplier Data

Immunohistochemistry (Formalin/PFA-fixed paraffin-embedded sections) - Anti-C3 antibody [EPR19394] - BSA and Azide free (AB271967)

Immunohistochemical analysis of paraffin-embedded Rat lung tissue labeling C3 with ab200999 at 1/2000 dilution, followed by Goat Anti-Rabbit IgG H&L (HRP) (ab97051) at 1/500 dilution.

The plasma in blood vessels of rat lung was positive staining. The staining pattern is similar to what has been observed in the literature (PMID : 23104558).

Counter stained with Hematoxylin.

Secondary antibody only control : Used PBS instead of primary antibody, secondary antibody is Goat Anti-Rabbit IgG H&L (HRP) (ab97051) at 1/500 dilution.

Perform heat mediated antigen retrieval with Tris/EDTA buffer pH 9.0 before commencing with IHC staining protocol.

This data was developed using the same antibody clone in a different buffer formulation containing PBS, BSA, glycerol, and sodium azide (ab200999).

Immunohistochemistry (Formalin/PFA-fixed paraffin-embedded sections) - Anti-C3 antibody [EPR19394] - BSA and Azide free (AB271967)
  • IHC-P

Supplier Data

Immunohistochemistry (Formalin/PFA-fixed paraffin-embedded sections) - Anti-C3 antibody [EPR19394] - BSA and Azide free (AB271967)

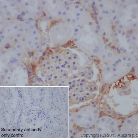
Immunohistochemical analysis of paraffin-embedded Rat kidney tissue labeling C3 with ab200999 at 1/2000 dilution, followed by Goat Anti-Rabbit IgG H&L (HRP) (ab97051) at 1/500 dilution.

The plasma in blood vessels of rat kidney was positive staining. The staining pattern is similar to what has been observed in the literature (PMID : 23104558).

Counter stained with Hematoxylin.

Secondary antibody only control : Used PBS instead of primary antibody, secondary antibody is Goat Anti-Rabbit IgG H&L (HRP) (ab97051) at 1/500 dilution.

Perform heat mediated antigen retrieval with Tris/EDTA buffer pH 9.0 before commencing with IHC staining protocol.

This data was developed using the same antibody clone in a different buffer formulation containing PBS, BSA, glycerol, and sodium azide (ab200999).

Immunohistochemistry (Formalin/PFA-fixed paraffin-embedded sections) - Anti-C3 antibody [EPR19394] - BSA and Azide free (AB271967)
  • IHC-P

Lab

Immunohistochemistry (Formalin/PFA-fixed paraffin-embedded sections) - Anti-C3 antibody [EPR19394] - BSA and Azide free (AB271967)

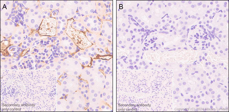
This data was developed using ab200999, the same antibody clone in a different buffer formulation.

Immunohistochemical analysis of paraffin-embedded (A) kidney tissue from wild-type C57BL/6JGpt mice and (B) kidney tissue from C3 knockout mice tissue labeling C3 with ab200999 at 1/10000 dilution, followed by a ready to use LeicaDS9800 (Bond Polymer Refine Detection).

Positive staining on (A) kidney tissue from wild-type C57BL/6JGpt mice and no staining on (B) kidney tissue from C3 knockout mice.
The section was incubated with ab200999 for 30 mins at room temperature.
The immunostaining was performed on a Leica Biosystems BOND® RX instrument.
The tissue samples were kindly provided by GemPharmatech. C57BL/6JGpt wildtype mice and C3-KO homozygous mice (Strain ID : T012596).

Counterstained with Hematoxylin.

Secondary antibody only control : Secondary antibody is a ready to use LeicaDS9800 (Bond Polymer Refine Detection).

Heat mediated antigen retrieval was performed with Citrate buffer (pH 6.0, Epitope Retrieval Solution 1) for 20 mins.

Immunohistochemistry (Formalin/PFA-fixed paraffin-embedded sections) - Anti-C3 antibody [EPR19394] - BSA and Azide free (AB271967)
  • IHC-P

Lab

Immunohistochemistry (Formalin/PFA-fixed paraffin-embedded sections) - Anti-C3 antibody [EPR19394] - BSA and Azide free (AB271967)

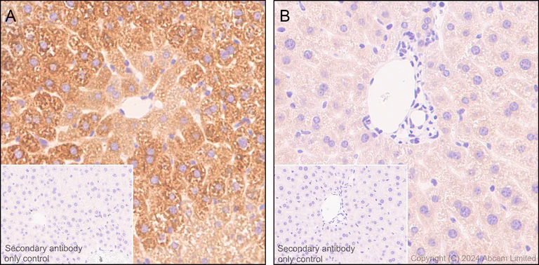
This data was developed using ab200999, the same antibody clone in a different buffer formulation.

Immunohistochemical analysis of paraffin-embedded (A) Liver tissue from wild-type C57BL/6JGpt mice and (B) Liver tissue from C3 knockout mice tissue labeling C3 with ab200999 at 1/10000 dilution, followed by a ready to use LeicaDS9800 (Bond Polymer Refine Detection).

Positive staining on (A) Liver tissue from wild-type C57BL/6JGpt mice and no staining on (B) Liver tissue from C3 knockout mice.
The section was incubated with ab200999 for 30 mins at room temperature.
The immunostaining was performed on a Leica Biosystems BOND® RX instrument.
The tissue samples were kindly provided by GemPharmatech. C57BL/6JGpt wildtype mice and C3-KO homozygous mice (Strain ID : T012596).

Counterstained with Hematoxylin.

Secondary antibody only control : Secondary antibody is a ready to use LeicaDS9800 (Bond Polymer Refine Detection).

Heat mediated antigen retrieval was performed with Citrate buffer (pH 6.0, Epitope Retrieval Solution 1) for 20 mins.

Immunohistochemistry (Formalin/PFA-fixed paraffin-embedded sections) - Anti-C3 antibody [EPR19394] - BSA and Azide free (AB271967)
  • IHC-P

Supplier Data

Immunohistochemistry (Formalin/PFA-fixed paraffin-embedded sections) - Anti-C3 antibody [EPR19394] - BSA and Azide free (AB271967)

Immunohistochemical analysis of paraffin-embedded Mouse cerebral cortex tissue labeling C3 with ab200999 at 1/2000 dilution, followed by Goat Anti-Rabbit IgG H&L (HRP) (ab97051) at 1/500 dilution.

The plasma in blood vessels of mouse cerebral cortex was positive staining.

Counter stained with Hematoxylin.

Secondary antibody only control : Used PBS instead of primary antibody, secondary antibody is Goat Anti-Rabbit IgG H&L (HRP) (ab97051) at 1/500 dilution.

Perform heat mediated antigen retrieval with Tris/EDTA buffer pH 9.0 before commencing with IHC staining protocol.

This data was developed using the same antibody clone in a different buffer formulation containing PBS, BSA, glycerol, and sodium azide (ab200999).

Western blot - Anti-C3 antibody [EPR19394] - BSA and Azide free (AB271967)
  • WB

Lab

Western blot - Anti-C3 antibody [EPR19394] - BSA and Azide free (AB271967)

This data was developed using ab200999, the same antibody clone in a different buffer formulation.

In Western blot, Anti-GAPDH antibody [EPR16891] - Loading Control (ab181602) staining at 1/200000 dilution.

The identity of the lower MW band at approximately 25 kDa (in lane 1-4) is unknown.

The tissue samples were kindly provided by GemPharmatech. C57BL/6JGpt wildtype mice and C3-KO homozygous mice (Strain ID : T012596).

All lanes:

Western blot - Anti-C3 antibody [EPR19394] (<a href='/en-us/products/primary-antibodies/c3-antibody-epr19394-ab200999'>ab200999</a>) at 1/1000 dilution

Lane 1:

Wild-type mouse kidney tissue lysate (male) at 20 µg

Lane 2:

Wild-type mouse kidney tissue lysate (female) at 20 µg

Lane 3:

C3 knockout mouse kidney tissue lysate (male case1) at 20 µg

Lane 4:

C3 knockout mouse kidney tissue lysate (male case2) at 20 µg

Lane 5:

Wild-type mouse spleen tissue lysate (male) at 20 µg

Lane 6:

Wild-type mouse spleen tissue lysate (female) at 20 µg

Lane 7:

C3 knockout mouse spleen tissue lysate (male case1) at 20 µg

Lane 8:

C3 knockout mouse spleen tissue lysate (male case2) at 20 µg

Secondary

All lanes:

Western blot - Goat Anti-Rabbit IgG H&L (HRP) (<a href='/en-us/products/secondary-antibodies/goat-rabbit-igg-h-l-hrp-ab97051'>ab97051</a>) at 1/20000 dilution

Observed band size: 43-187 kDa

false

Exposure time: 6s

Key facts

Host species

Rabbit

Clonality

Monoclonal

Clone number

EPR19394

Isotype

IgG

Carrier free

Yes

Reacts with

Mouse, Rat

Applications

WB, IHC-P

applications

Immunogen

The exact immunogen used to generate this antibody is proprietary information.

Reactivity data

{ "title": "Reactivity Data", "filters": { "stats": ["", "Species", "Dilution Info", "Notes"], "tabs": { "all-applications": {"fullname" : "All Applications", "shortname": "All Applications"}, "WB" : {"fullname" : "Western blot", "shortname":"WB"}, "IHCP" : {"fullname" : "Immunohistochemistry (Formalin/PFA-fixed paraffin-embedded sections)", "shortname":"IHC-P"} }, "product-promise": { "all": "all", "testedAndGuaranteed": "tested", "guaranteed": "expected", "predicted": "predicted", "notRecommended": "not-recommended" } }, "values": { "Human": { "WB-species-checked": "guaranteed", "WB-species-dilution-info": "", "WB-species-notes": "", "IHCP-species-checked": "testedAndGuaranteed", "IHCP-species-dilution-info": "", "IHCP-species-notes": "<p></p>" }, "Mouse": { "WB-species-checked": "testedAndGuaranteed", "WB-species-dilution-info": "", "WB-species-notes": "<p></p>", "IHCP-species-checked": "testedAndGuaranteed", "IHCP-species-dilution-info": "", "IHCP-species-notes": "<p></p>" }, "Rat": { "WB-species-checked": "guaranteed", "WB-species-dilution-info": "", "WB-species-notes": "<p></p>", "IHCP-species-checked": "predicted", "IHCP-species-dilution-info": "", "IHCP-species-notes": "" } } }

Product details

ab271967 is the carrier-free version of ab200999.

Patented technology
Our RabMAb® technology is a patented hybridoma-based technology for making rabbit monoclonal antibodies. For details on our patents, please refer to RabMAb® patents.

What are the advantages of a recombinant monoclonal antibody?
This product is a recombinant monoclonal antibody, which offers several advantages including:

  • - High batch-to-batch consistency and reproducibility
  • - Improved sensitivity and specificity
  • - Long-term security of supply
  • - Animal-free batch production

For more information, read more on recombinant antibodies.

Conjugation ready
Our carrier-free antibodies are typically supplied in a PBS-only formulation, purified and free of BSA, sodium azide and glycerol. This conjugation-ready format is designed for use with fluorochromes, metal isotopes, oligonucleotides, and enzymes, which makes them ideal for antibody labelling, functional and cell-based assays, flow-based assays (e.g. mass cytometry) and Multiplex Imaging applications.

Use our conjugation kits for antibody conjugates that are ready-to-use in as little as 20 minutes with 1 minute hands-on-time and 100% antibody recovery: available for fluorescent dyes, HRP, biotin and gold.

Compatibility
This product is compatible with the Maxpar® Antibody Labeling Kit from Fluidigm, without the need for antibody preparation. Maxpar® is a trademark of Fluidigm Canada Inc.

Properties and storage information

Form
Liquid
Purification technique
Affinity purification Protein A
Storage buffer
pH: 7.2 - 7.4 Constituents: PBS
Shipped at conditions
Blue Ice
Appropriate short-term storage conditions
+4°C
Appropriate long-term storage conditions
+4°C
Storage information
Do Not Freeze

Supplementary information

This supplementary information is collated from multiple sources and compiled automatically.

Complement component 3 (C3) commonly known as C3 complement is a central protein in the complement system which plays a significant role in immune response. C3b a fragment of C3 is produced when C3 undergoes cleavage. C3 is a large protein with a mass of approximately 185 kDa. The liver primarily secretes C3 into the bloodstream. It circulates in the plasma and is found in high concentration making it one of the most abundant components of the complement system.
Biological function summary

Complement component C3 forms part of the innate immune system by promoting opsonization which enhances phagocytosis of pathogens. C3b binds to pathogens' surfaces facilitating their recognition by phagocytes. C3 as part of a complex with C3 convertase also has a role in amplifying the activation of the complement cascade. The proteolytic cleavage of C3 into C3b and C3a leads to the activation of other components forming the membrane attack complex and orchestrating inflammation.

Pathways

The complement component C3 functions within both the classical and alternative complement pathways. It acts as a convergence point where the complement activation pathways meet. C3 is activated into C3b and C3a which are key to amplifying the cascade. Furthermore C3 interacts with proteins such as factor B and factor D in the alternative pathway and C4 and C2 in the classical pathway facilitating the formation of C3 convertase necessary for pathway progression.

Complement C3 shows associations with immune-related and inflammatory diseases. Deficiencies or malfunctions of complement C3 can lead to increased susceptibility to infections due to impaired opsonization and clearance of pathogens. Additionally overactivation of the complement system involving C3 can contribute to autoimmune disorders such as systemic lupus erythematosus. Other proteins linked to these diseases include C4 in lupus and factor H in age-related macular degeneration which controls complement pathway activation.

Product protocols

For this product, it's our understanding that no specific protocols are required. You can visit:

Target data

C3 plays a central role in the activation of the complement system. Its processing by C3 convertase is the central reaction in both classical and alternative complement pathways. After activation C3b can bind covalently, via its reactive thioester, to cell surface carbohydrates or immune aggregates.. Derived from proteolytic degradation of complement C3, C3a anaphylatoxin is a mediator of local inflammatory process. In chronic inflammation, acts as a chemoattractant for neutrophils (By similarity). It induces the contraction of smooth muscle, increases vascular permeability and causes histamine release from mast cells and basophilic leukocytes.. C3-beta-c. Acts as a chemoattractant for neutrophils in chronic inflammation.. Acylation stimulating protein. Adipogenic hormone that stimulates triglyceride (TG) synthesis and glucose transport in adipocytes, regulating fat storage and playing a role in postprandial TG clearance. Appears to stimulate TG synthesis via activation of the PLC, MAPK and AKT signaling pathways. Ligand for C5AR2. Promotes the phosphorylation, ARRB2-mediated internalization and recycling of C5AR2 (PubMed : 10432298, PubMed : 15833747, PubMed : 16333141, PubMed : 19615750, PubMed : 2909530, PubMed : 8376604, PubMed : 9059512).
See full target information C3

Product promise

We are committed to supporting your work with high-quality reagents, and we're here for you every step of the way. In the unlikely event that one of our products does not perform as expected, you're protected by our Product Promise.
For full details, please see our Terms & Conditions

Please note: All products are 'FOR RESEARCH USE ONLY. NOT FOR USE IN DIAGNOSTIC OR THERAPEUTIC PROCEDURES'.

For licensing inquiries, please contact partnerships@abcam.com