JavaScript is disabled in your browser. Please enable JavaScript to view this website.
AB11872

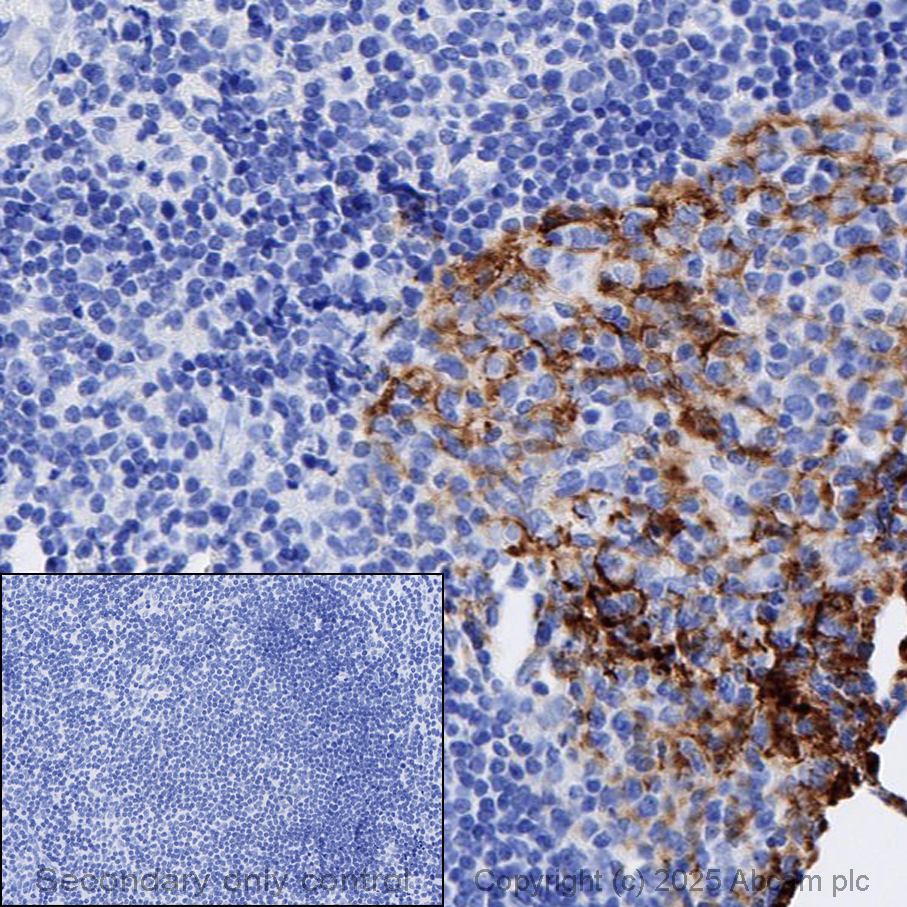
Anti-C3 / C3a antibody [474]

5

(1 Review)

|

(2 Publications)

Mouse Monoclonal C3 antibody. Suitable for WB, sELISA and reacts with Human samples. Cited in 2 publications.

View Alternative Names

CPAMD1, C3, Complement C3, C3 and PZP-like alpha-2-macroglobulin domain-containing protein 1

Key facts

Host species

Mouse

Clonality

Monoclonal

Clone number

474

Isotype

IgG1

Carrier free

No

Reacts with

Human

Applications

sELISA, WB

applications

Immunogen

The exact immunogen used to generate this antibody is proprietary information.

Specificity

The antibody reacts with an epitope on C3a. It reacts with both intact C3, as with C3a. See references, multiple isoforms of this protein exist (multiple bands may appears in WB).

Reactivity data

{ "title": "Reactivity Data", "filters": { "stats": ["", "Species", "Dilution Info", "Notes"], "tabs": { "all-applications": {"fullname" : "All Applications", "shortname": "All Applications"}, "WB" : {"fullname" : "Western blot", "shortname":"WB"}, "sELISA" : {"fullname" : "Sandwich ELISA", "shortname":"sELISA"} }, "product-promise": { "all": "all", "testedAndGuaranteed": "tested", "guaranteed": "expected", "predicted": "predicted", "notRecommended": "not-recommended" } }, "values": { "Human": { "WB-species-checked": "guaranteed", "WB-species-dilution-info": "", "WB-species-notes": "<p></p>", "sELISA-species-checked": "guaranteed", "sELISA-species-dilution-info": "", "sELISA-species-notes": "<p></p>" } } }

Properties and storage information

Form
Liquid
Purification technique
Affinity purification Protein G
Storage buffer
Preservative: 0.02% Sodium azide Constituents: PBS, 0.1% BSA
Shipped at conditions
Blue Ice
Appropriate short-term storage conditions
+4°C
Appropriate long-term storage conditions
-20°C
Aliquoting information
Upon delivery aliquot
Storage information
Avoid freeze / thaw cycle

Supplementary information

This supplementary information is collated from multiple sources and compiled automatically.

The Complement Component 3 (C3) is a central protein in the complement system often referred to as C3 or C3a when discussing its active fragment. C3 weighs approximately 187 kDa and expresses widely in the liver then circulating in blood plasma. When activated C3 cleaves into C3a and C3b. C3a acts as an anaphylatoxin contributing to the immune response by promoting inflammation. C3 plays critical roles in immunity by enhancing phagocytosis and clearance of pathogens.
Biological function summary

C3 fragments particularly C3a influence various immune responses. As part of the complement system C3 integrates into a complex network of proteins. This activation cascade enhances the body's ability to combat pathogens. C3a interacts with receptors on immune cells mediating inflammatory response and acting as a chemoattractant. C3b another key fragment binds to pathogen surfaces aiding opsonization and immune clearance.

Pathways

C3's function plays an important role in the alternative and classical complement pathways. In the alternative pathway C3b contributes directly by forming a C3 convertase complex. This interaction facilitates further cleavage of C3 amplifying immune response. C3b also associates with proteins like Factor B and Factor D to stabilize the convertase complex and enhance opsonization. In the classical pathway C3 interacts with components like C4b to optimize pathogen elimination.

C3 and its fragments have significant connections to immune disorders and infections. Low levels or dysfunctional C3 can lead to susceptibility to bacterial infections. C3a has associations with asthma where it exacerbates the inflammatory response in lung tissues. In autoimmune diseases such as systemic lupus erythematosus (SLE) improper regulation of C3 activation leads to tissue damage. The interaction of C3 with proteins like C1q in SLE highlights the interplay between complement activation and autoimmune pathologies.

Product protocols

For this product, it's our understanding that no specific protocols are required. You can visit:

Target data

C3 plays a central role in the activation of the complement system. Its processing by C3 convertase is the central reaction in both classical and alternative complement pathways. After activation C3b can bind covalently, via its reactive thioester, to cell surface carbohydrates or immune aggregates.. Derived from proteolytic degradation of complement C3, C3a anaphylatoxin is a mediator of local inflammatory process. In chronic inflammation, acts as a chemoattractant for neutrophils (By similarity). It induces the contraction of smooth muscle, increases vascular permeability and causes histamine release from mast cells and basophilic leukocytes.. C3-beta-c. Acts as a chemoattractant for neutrophils in chronic inflammation.. Acylation stimulating protein. Adipogenic hormone that stimulates triglyceride (TG) synthesis and glucose transport in adipocytes, regulating fat storage and playing a role in postprandial TG clearance. Appears to stimulate TG synthesis via activation of the PLC, MAPK and AKT signaling pathways. Ligand for C5AR2. Promotes the phosphorylation, ARRB2-mediated internalization and recycling of C5AR2 (PubMed : 10432298, PubMed : 15833747, PubMed : 16333141, PubMed : 19615750, PubMed : 2909530, PubMed : 8376604, PubMed : 9059512).
See full target information C3

Publications (2)

Recent publications for all applications. Explore the full list and refine your search

Proteome science 7:7 PubMed19291297

2009

Discovery and identification of potential biomarkers of pediatric acute lymphoblastic leukemia.

Applications

Unspecified application

Species

Unspecified reactive species

Linan Shi,Jun Zhang,Peng Wu,Kai Feng,Jing Li,Zhensheng Xie,Peng Xue,Tanxi Cai,Ziyou Cui,Xiulan Chen,Junjie Hou,Jianzhong Zhang,Fuquan Yang

PloS one 3:e3224 PubMed18795103

2008

Localized-statistical quantification of human serum proteome associated with type 2 diabetes.

Applications

WB

Species

Human

Rong-Xia Li,Hai-Bing Chen,Kang Tu,Shi-Lin Zhao,Hu Zhou,Su-Jun Li,Jie Dai,Qing-Run Li,Song Nie,Yi-Xue Li,Wei-Ping Jia,Rong Zeng,Jia-Rui Wu
View all publications

Product promise

We are committed to supporting your work with high-quality reagents, and we're here for you every step of the way. In the unlikely event that one of our products does not perform as expected, you're protected by our Product Promise.
For full details, please see our Terms & Conditions

Please note: All products are 'FOR RESEARCH USE ONLY. NOT FOR USE IN DIAGNOSTIC OR THERAPEUTIC PROCEDURES'.

For licensing inquiries, please contact partnerships@abcam.com