JavaScript is disabled in your browser. Please enable JavaScript to view this website.
AB11871

Anti-C3 / C3b antibody [755]

4

(5 Reviews)

|

(27 Publications)

Anti-C3 / C3b antibody [755] (ab11871) is a mouse monoclonal antibody detecting C3 / C3b in Western Blot, IHC-P, ICC/IF. Suitable for Cynomolgus monkey, Human.

- Over 20 publications
- Trusted since 2004

View Alternative Names

CPAMD1, C3, Complement C3, C3 and PZP-like alpha-2-macroglobulin domain-containing protein 1

3 Images
Immunohistochemistry (Formalin/PFA-fixed paraffin-embedded sections) - Anti-C3 / C3b antibody [755] (AB11871)
  • IHC-P

AbReview47246****

Immunohistochemistry (Formalin/PFA-fixed paraffin-embedded sections) - Anti-C3 / C3b antibody [755] (AB11871)

ab11871 staining C3 / C3b in human tonsil tissue sections by Immunohistochemistry (IHC-P - paraformaldehyde-fixed, paraffin-embedded sections). Tissue was fixed with formaldehyde; antigen retrieval was by heat mediation. Samples were incubated with primary antibody (1/100) for 32 minutes at 37°C. An undiluted biotin-conjugated goat anti-mouse IgG polyclonal was used as the secondary antibody.

This image is courtesy of an anonymous Abreview

Immunohistochemistry (Formalin/PFA-fixed paraffin-embedded sections) - Anti-C3 / C3b antibody [755] (AB11871)
  • IHC-P

Supplier Data

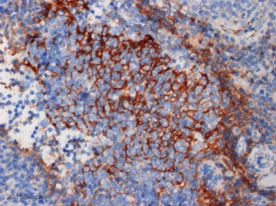
Immunohistochemistry (Formalin/PFA-fixed paraffin-embedded sections) - Anti-C3 / C3b antibody [755] (AB11871)

Immunohistochemistry analysis of Paraffin embedded section of human tonsil tissue sections labeling C3 / C3b with ab11871 at 1/200.

Immunohistochemistry (Formalin/PFA-fixed paraffin-embedded sections) - Anti-C3 / C3b antibody [755] (AB11871)
  • IHC-P

AbReview33444****

Immunohistochemistry (Formalin/PFA-fixed paraffin-embedded sections) - Anti-C3 / C3b antibody [755] (AB11871)

Immunohistochemical analysis of Cynomolgus Monkey spleen tissue, staining C3 / C3b with ab11871.

Tissue was fixed with formaldehyde and blocked with blocking solution for 1 hour at 37°C; antigen retrieval was by heat mediation in a cell conditioner. Samples were incubated with primary antibody (1/50 in diluent) for 1 hour at 37°C. A biotinylated goat anti-rabbit polyclonal IgG was used as the secondary antibody.

This image is courtesy of an anonymous Abreview

Key facts

Host species

Mouse

Clonality

Monoclonal

Clone number

755

Isotype

IgG2b

Carrier free

No

Reacts with

Human, Cynomolgus monkey

Applications

WB, IHC-P, ICC/IF

applications

Immunogen

Native Full Length Protein corresponding to Human C3.

P01024

Specificity

This antibody reacts with C3 and C3b. See References multiple isoforms detected by WB.

Reactivity data

{ "title": "Reactivity Data", "filters": { "stats": ["", "Species", "Dilution Info", "Notes"], "tabs": { "all-applications": {"fullname" : "All Applications", "shortname": "All Applications"}, "WB" : {"fullname" : "Western blot", "shortname":"WB"}, "IHCP" : {"fullname" : "Immunohistochemistry (Formalin/PFA-fixed paraffin-embedded sections)", "shortname":"IHC-P"}, "ICCIF" : {"fullname" : "Immunocytochemistry/ Immunofluorescence", "shortname":"ICC/IF"} }, "product-promise": { "all": "all", "testedAndGuaranteed": "tested", "guaranteed": "expected", "predicted": "predicted", "notRecommended": "not-recommended" } }, "values": { "Human": { "WB-species-checked": "guaranteed", "WB-species-dilution-info": "", "WB-species-notes": "<p></p>", "IHCP-species-checked": "testedAndGuaranteed", "IHCP-species-dilution-info": "", "IHCP-species-notes": "<p></p>", "ICCIF-species-checked": "guaranteed", "ICCIF-species-dilution-info": "", "ICCIF-species-notes": "<p></p>" }, "Cynomolgus monkey": { "WB-species-checked": "guaranteed", "WB-species-dilution-info": "", "WB-species-notes": "<p></p>", "IHCP-species-checked": "predicted", "IHCP-species-dilution-info": "", "IHCP-species-notes": "", "ICCIF-species-checked": "guaranteed", "ICCIF-species-dilution-info": "", "ICCIF-species-notes": "<p></p>" } } }

Product details

What is this antibody validated in?
Anti-C3 / C3b antibody [755] (ab11871) is a mouse monoclonal antibody and is validated for use in Western Blot (WB), Immunohistochemistry (IHC-P), Immunocytochemistry/immunofluorescence (ICC/IF) in Cynomolgus monkey, Human samples.

Trusted by the scientific community
Anti-C3 / C3b [755] (ab11871) was first used in a scientific publication in 2004 and has been cited over 20 times in peer-reviewed journals.

Reviewed by scientists
Anti-C3 / C3b [755] (ab11871) has over 5 independent reviews from customers.

Properties and storage information

Form
Liquid
Purification technique
Affinity purification Protein G
Storage buffer
Preservative: 0.02% Sodium azide Constituents: PBS, 0.1% BSA
Shipped at conditions
Blue Ice
Appropriate short-term storage conditions
+4°C
Appropriate long-term storage conditions
-20°C
Aliquoting information
Upon delivery aliquot
Storage information
Avoid freeze / thaw cycle

Supplementary information

This supplementary information is collated from multiple sources and compiled automatically.

C3 also known as complement C3 or anti C3b is a central protein in the complement system with an approximate molecular mass of 187 kDa. This protein exists in blood plasma as an inactive precursor and is produced mainly in the liver. C3 gets activated through cleavage into two fragments C3a and C3b. The functional fragment C3b covalently attaches to pathogen surfaces through a process called opsonization allowing it to 'tag' pathogens for destruction by immune cells.
Biological function summary

Complement C3b plays an integral role in innate immunity. C3b is a part of the complement cascade forming complexes such as C3bBb which acts as a convertase in the amplification of the complement response. Through opsonization C3b promotes the binding and uptake of pathogens by phagocytes therefore enhancing immune defense.

Pathways

C3b integrates into the alternative and classical complement pathways. In these pathways C3b binds with factors like B and D contributing to the formation of the C5 convertase and progressing to the membrane attack complex. These interactions involve proteins such as C5 and Factor B essential for the effective destruction of pathogens and the clearance of immune complexes.

Complement C3b shows associations with diseases involving improper immune regulation such as atypical hemolytic uremic syndrome (aHUS) and age-related macular degeneration (AMD). Mutations affecting C3b's interactions with regulatory proteins such as Factor H can lead to uncontrolled complement activation which contributes to the pathology of these diseases. Understanding these interactions provides insights into therapeutic targets for managing complement-related diseases.

Product protocols

For this product, it's our understanding that no specific protocols are required. You can visit:

Target data

Precursor of non-enzymatic components of the classical, alternative, lectin and GZMK complement pathways, which consist in a cascade of proteins that leads to phagocytosis and breakdown of pathogens and signaling that strengthens the adaptive immune system.. Complement C3b. Non-enzymatic component of C5 convertase (PubMed : 28264884, PubMed : 31507604, PubMed : 3653927, PubMed : 3897448). Generated following cleavage by C3 convertase, it covalently attaches to the surface of pathogens, where it acts as an opsonin that marks the surface of antigens for removal (PubMed : 28264884, PubMed : 31507604, PubMed : 3653927, PubMed : 3897448, PubMed : 833545, PubMed : 8349625). Complement C3b binds covalently via its reactive thioester, to cell surface carbohydrates or immune aggregates (PubMed : 6903192). Together with complement C4b, it then recruits the serine protease complement C2b to form the C5 convertase, which cleaves and activate C5, the next component of the complement pathways (PubMed : 12878586, PubMed : 18204047, PubMed : 2387864). In the alternative complement pathway, recruits the serine protease CFB to form the C5 convertase that cleaves and activates C5 (PubMed : 624565, PubMed : 6554279).. C3a anaphylatoxin. Mediator of local inflammatory process released following cleavage by C3 convertase (PubMed : 6968751, PubMed : 37169960, PubMed : 37852260). Acts by binding to its receptor, C3AR1, activating G protein-coupled receptor signaling, promoting the phosphorylation, ARRB2-mediated internalization and endocytosis of C3AR1 (PubMed : 8702752, PubMed : 37169960, PubMed : 37852260). C3a anaphylatoxin stimulates the activation of immune cells such as mast cells and basophilic leukocytes to release inflammation agents, such as cytokines, chemokines and histamine, which promote inflammation development (PubMed : 23383423). Also acts as potent chemoattractant for the migration of macrophages and neutrophils to the inflamed tissues, resulting in neutralization of the inflammatory triggers by multiple ways, such as phagocytosis and generation of reactive oxidants (PubMed : 23383423, PubMed : 342601, PubMed : 5778786).. Acylation stimulating protein. Adipogenic hormone that stimulates triglyceride synthesis and glucose transport in adipocytes, regulating fat storage and playing a role in postprandial triglyceride clearance (PubMed : 10432298, PubMed : 15833747, PubMed : 16333141, PubMed : 19615750, PubMed : 2909530, PubMed : 8376604, PubMed : 9059512). Appears to stimulate triglyceride synthesis via activation of the PLC, MAPK and AKT signaling pathways (PubMed : 16333141). Acts by binding to its receptor, C5AR2, activating G protein-coupled receptor signaling, promoting the phosphorylation, ARRB2-mediated internalization and endocytosis of C5AR2 (PubMed : 11773063, PubMed : 12540846, PubMed : 19615750). In contrast to C3a anaphylatoxin peptide, does not show pro-inflammatory activity (PubMed : 37852260).. C3-beta-c. Acts as a chemoattractant for neutrophils in chronic inflammation.
See full target information C3

Publications (27)

Recent publications for all applications. Explore the full list and refine your search

Frontiers in molecular biosciences 12:1587196 PubMed40396123

2025

Identification of key genes CCL5, PLG, LOX and C3 in clear cell renal cell carcinoma through integrated bioinformatics analysis.

Applications

Unspecified application

Species

Unspecified reactive species

Zhenwei Xie,Cheng Feng,Yude Hong,Libo Chen,Mingyong Li,Weiming Deng

Scientific reports 13:9902 PubMed37336938

2023

Successful targeting in situ of an oncogenic nuclear antigen by hapten induced tumor associated autoantibodies (iTAA).

Applications

Unspecified application

Species

Unspecified reactive species

Baofa Yu,Jian Zhang,Qiang Fu,Yan Han,Jie Zhang,Feng Gao,Peng Jing,Peicheng Zhang,Guoqin Zheng

Journal of clinical periodontology 50:657-670 PubMed36632003

2023

Targeting therapeutic agent against C3b/C4b, SB002, on the inflammation-induced bone loss in experimental periodontitis.

Applications

Unspecified application

Species

Unspecified reactive species

Ren-Yeong Huang,Fang-Yi Tseng,Jhong-Jhe You,Thomas E Van Dyke,Chia-Dan Cheng,Cheng-En Sung,Pei-Wei Weng,Yi-Shing Shieh,Wan-Chien Cheng

Nature communications 14:473 PubMed36709213

2023

The classical pathway triggers pathogenic complement activation in membranous nephropathy.

Applications

Unspecified application

Species

Unspecified reactive species

Larissa Seifert,Gunther Zahner,Catherine Meyer-Schwesinger,Naemi Hickstein,Silke Dehde,Sonia Wulf,Sarah M S Köllner,Renke Lucas,Dominik Kylies,Sarah Froembling,Stephanie Zielinski,Oliver Kretz,Anna Borodovsky,Sergey Biniaminov,Yanyan Wang,Hong Cheng,Friedrich Koch-Nolte,Peter F Zipfel,Helmut Hopfer,Victor G Puelles,Ulf Panzer,Tobias B Huber,Thorsten Wiech,Nicola M Tomas

Cell & bioscience 12:177 PubMed36307854

2022

Wasteosomes (corpora amylacea) of human brain can be phagocytosed and digested by macrophages.

Applications

Unspecified application

Species

Unspecified reactive species

Marta Riba,Joan Campo-Sabariz,Iraida Tena,Laura Molina-Porcel,Teresa Ximelis,Maria Calvo,Ruth Ferrer,Raquel Martín-Venegas,Jaume Del Valle,Jordi Vilaplana,Carme Pelegrí

Advanced therapeutics 5: PubMed36211621

2022

Classical Complement Pathway Inhibition in a "Human-On-A-Chip" Model of Autoimmune Demyelinating Neuropathies.

Applications

Unspecified application

Species

Unspecified reactive species

John W Rumsey,Case Lorance,Max Jackson,Trevor Sasserath,Christopher W McAleer,Christopher J Long,Arindom Goswami,Melissa A Russo,Shruti M Raja,Karissa L Gable,Doug Emmett,Lisa D Hobson-Webb,Manisha Chopra,James F Howard,Jeffrey T Guptill,Michael J Storek,Miguel Alonso-Alonso,Nazem Atassi,Sandip Panicker,Graham Parry,Timothy Hammond,James J Hickman

Frontiers in cell and developmental biology 9:745897 PubMed34881241

2021

A Functional Human-on-a-Chip Autoimmune Disease Model of Myasthenia Gravis for Development of Therapeutics.

Applications

Unspecified application

Species

Unspecified reactive species

Virginia M Smith,Huan Nguyen,John W Rumsey,Christopher J Long,Michael L Shuler,James J Hickman

Oncoimmunology 10:1969767 PubMed34513317

2021

Single-cell profiling of infiltrating B cells and tertiary lymphoid structures in the TME of gastric adenocarcinomas.

Applications

Unspecified application

Species

Unspecified reactive species

Lizhou Jia,Tengqi Wang,Youcai Zhao,Shuyu Zhang,Teer Ba,Xingwang Kuai,Bin Wang,Ning Zhang,Wei Zhao,Zhiping Yang,Haishi Qiao

Investigative ophthalmology & visual science 62:30 PubMed33749721

2021

Extensive Sub-RPE Complement Deposition in a Nonhuman Primate Model of Early-Stage Diabetic Retinopathy.

Applications

Unspecified application

Species

Unspecified reactive species

Shuxin Fan,Ziqi Yang,Yan Liu,Jiawei Zhong,Shuyao Zhang,Yuhua Xiao,Xu Liu,Wei Yi,Chang He,Youjin Hu,Xialin Liu

International journal of nanomedicine 15:6183-6200 PubMed32922001

2020

Evidence Supporting the Safety of Pegylated Diethylaminoethyl-Chitosan Polymer as a Nanovector for Gene Therapy Applications.

Applications

Unspecified application

Species

Unspecified reactive species

Elsa Patricia Rondon,Houda Abir Benabdoun,Francis Vallières,Maicon Segalla Petrônio,Marcio José Tiera,Mohamed Benderdour,Julio Cesar Fernandes
View all publications

Product promise

We are committed to supporting your work with high-quality reagents, and we're here for you every step of the way. In the unlikely event that one of our products does not perform as expected, you're protected by our Product Promise.
For full details, please see our Terms & Conditions

Please note: All products are 'FOR RESEARCH USE ONLY. NOT FOR USE IN DIAGNOSTIC OR THERAPEUTIC PROCEDURES'.

For licensing inquiries, please contact partnerships@abcam.com