JavaScript is disabled in your browser. Please enable JavaScript to view this website.
AB317633

Anti-C3a R antibody [hC3aRZ8] - BSA and Azide free

Be the first to review this product! Submit a review

|

(0 Publication)

Mouse Recombinant Monoclonal C3a R antibody. Carrier free. Suitable for IHC-P, Flow Cyt and reacts with Transfected cell line - Human, Human samples.

View Alternative Names

AZ3B, C3R1, HNFAG09, C3AR1, C3a anaphylatoxin chemotactic receptor, C3AR, C3a-R

6 Images
Immunohistochemistry (Formalin/PFA-fixed paraffin-embedded sections) - Anti-C3a R antibody [hC3aRZ8] - BSA and Azide free (AB317633)
  • IHC-P

Supplier Data

Immunohistochemistry (Formalin/PFA-fixed paraffin-embedded sections) - Anti-C3a R antibody [hC3aRZ8] - BSA and Azide free (AB317633)

This data was developed using ab317632, the same antibody clone in a different buffer formulation.

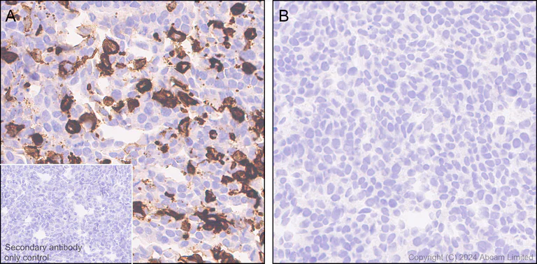
Immunohistochemical analysis of paraffin-embedded (A) HEK-293T cells transfected with a C3AR1 expression vector containing a his tag. (B) HEK-293T cells transfected with empty vector containing a his tag. tissue labeling C3a R with ab317632 at 1/1000 (0.969 ug/ml) dilution, followed by a ready to use LeicaDS9800 (Bond™ Polymer Refine Detection) was used.

Positive staining on (A) HEK-293T cells transfected with a C3AR1 expression vector containing a his tag. No staining on (B) HEK-293T cells transfected with empty vector containing a his tag.
The section was incubated with ab317632 for 30 mins at room temperature, followed by anti-mouse IgG2b antibody (ab190482) for 8 mins during the LeicaDS9800 kit staining procedure.
The immunostaining was performed on a Leica Biosystems BOND® RX instrument

Counterstained with Hematoxylin.

Secondary antibody only control : Secondary antibody is a ready to use LeicaDS9800 (Bond™ Polymer Refine Detection) was used.

Heat mediated antigen retrieval was performed with Tris-EDTA buffer (pH 9.0, Epitope Retrieval Solution2) for 20 mins

Flow Cytometry - Anti-C3a R antibody [hC3aRZ8] - BSA and Azide free (AB317633)
  • Flow Cyt

Supplier Data

Flow Cytometry - Anti-C3a R antibody [hC3aRZ8] - BSA and Azide free (AB317633)

This data was developed using ab317632, the same antibody clone in a different buffer formulation.

Flow cytometric analysis of Human PBMC (human peripheral blood mononuclear cell) cells labelling C3a R with ab317632 at 1/500 dilution (0.1 ug)/Right compared with a Mouse monoclonal IgG / Left isotype control and an unlabelled control (cells without incubation with primary antibody and secondary antibody).

Goat anti-Mouse IgG (Alexa Fluor® 488, ab150113) at 1/5000 dilution was used as the secondary antibody.

Cells are co-stained with CD14 conjugated to Alexa Fluor®647.

Immunohistochemistry (Formalin/PFA-fixed paraffin-embedded sections) - Anti-C3a R antibody [hC3aRZ8] - BSA and Azide free (AB317633)
  • IHC-P

Supplier Data

Immunohistochemistry (Formalin/PFA-fixed paraffin-embedded sections) - Anti-C3a R antibody [hC3aRZ8] - BSA and Azide free (AB317633)

This data was developed using ab317632, the same antibody clone in a different buffer formulation.

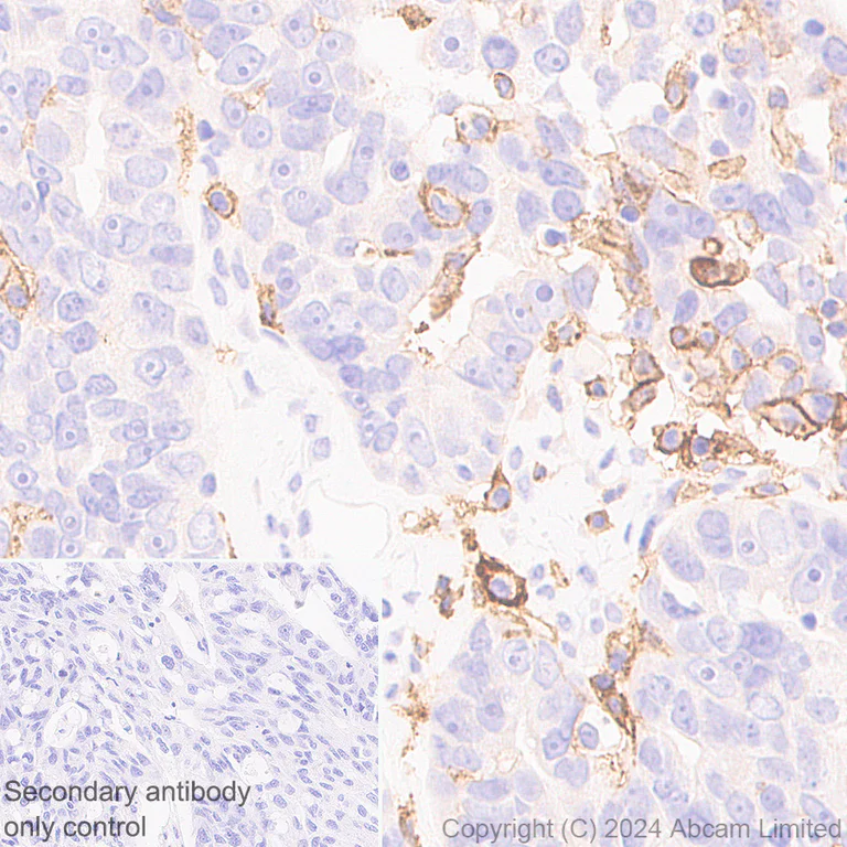
Immunohistochemical analysis of paraffin-embedded Human placenta tissue labeling C3a R with ab317632 at 1/1000 (0.969 ug/ml) dilution, followed by a ready to use LeicaDS9800 (Bond™ Polymer Refine Detection) was used.

Positive staining on human placenta.
The section was incubated with ab317632 for 30 mins at room temperature, followed by anti-mouse IgG2b antibody (ab190482) for 8 mins during the LeicaDS9800 kit staining procedure.
The immunostaining was performed on a Leica Biosystems BOND® RX instrument

Counterstained with Hematoxylin.

Secondary antibody only control : Secondary antibody is a ready to use LeicaDS9800 (Bond™ Polymer Refine Detection) was used.

Heat mediated antigen retrieval was performed with Tris-EDTA buffer (pH 9.0, Epitope Retrieval Solution2) for 20 mins

Flow Cytometry - Anti-C3a R antibody [hC3aRZ8] - BSA and Azide free (AB317633)
  • Flow Cyt

Supplier Data

Flow Cytometry - Anti-C3a R antibody [hC3aRZ8] - BSA and Azide free (AB317633)

This data was developed using ab317632, the same antibody clone in a different buffer formulation.

Flow cytometric analysis of Human PBMC (human peripheral blood mononuclear cell) cells labelling C3a R with ab317632 at 1/500 dilution (0.1 ug)/Right compared with a Mouse monoclonal IgG / Left isotype control and an unlabelled control (cells without incubation with primary antibody and secondary antibody).

Goat anti-Mouse IgG (Alexa Fluor® 488, ab150113) at 1/5000 dilution was used as the secondary antibody.

Cells are co-stained with CD3 conjugated to Alexa Fluor®647. The staining result showed a distinct CD3 positive population with no cross signal on C3a R positive cells.

Immunohistochemistry (Formalin/PFA-fixed paraffin-embedded sections) - Anti-C3a R antibody [hC3aRZ8] - BSA and Azide free (AB317633)
  • IHC-P

Supplier Data

Immunohistochemistry (Formalin/PFA-fixed paraffin-embedded sections) - Anti-C3a R antibody [hC3aRZ8] - BSA and Azide free (AB317633)

This data was developed using ab317632, the same antibody clone in a different buffer formulation.

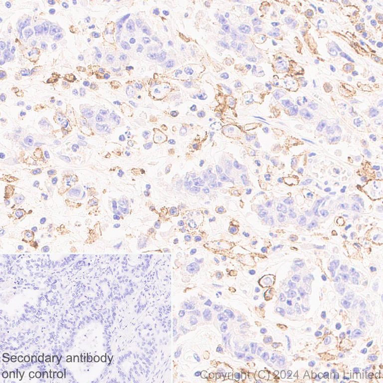
Immunohistochemical analysis of paraffin-embedded Human gastric cancer tissue labeling C3a R with ab317632 at 1/1000 (0.969 ug/ml) dilution, followed by a ready to use LeicaDS9800 (Bond™ Polymer Refine Detection) was used.

Positive staining on human gastric cancer.
The section was incubated with ab317632 for 30 mins at room temperature, followed by anti-mouse IgG2b antibody (ab190482) for 8 mins during the LeicaDS9800 kit staining procedure.
The immunostaining was performed on a Leica Biosystems BOND® RX instrument

Counterstained with Hematoxylin.

Secondary antibody only control : Secondary antibody is a ready to use LeicaDS9800 (Bond™ Polymer Refine Detection) was used.

Heat mediated antigen retrieval was performed with Tris-EDTA buffer (pH 9.0, Epitope Retrieval Solution2) for 20 mins

Immunohistochemistry (Formalin/PFA-fixed paraffin-embedded sections) - Anti-C3a R antibody [hC3aRZ8] - BSA and Azide free (AB317633)
  • IHC-P

Supplier Data

Immunohistochemistry (Formalin/PFA-fixed paraffin-embedded sections) - Anti-C3a R antibody [hC3aRZ8] - BSA and Azide free (AB317633)

This data was developed using ab317632, the same antibody clone in a different buffer formulation.

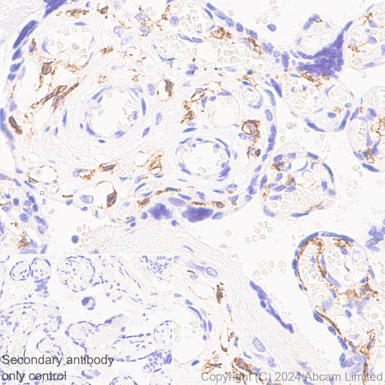
Immunohistochemical analysis of paraffin-embedded Human ovarian cancer tissue labeling C3a R with ab317632 at 1/1000 (0.969 ug/ml) dilution, followed by a ready to use LeicaDS9800 (Bond™ Polymer Refine Detection) was used.

Positive staining on human ovarian cancer.
The section was incubated with ab317632 for 30 mins at room temperature, followed by anti-mouse IgG2b antibody (ab190482) for 8 mins during the LeicaDS9800 kit staining procedure.
The immunostaining was performed on a Leica Biosystems BOND® RX instrument

Counterstained with Hematoxylin.

Secondary antibody only control : Secondary antibody is a ready to use LeicaDS9800 (Bond™ Polymer Refine Detection) was used.

Heat mediated antigen retrieval was performed with Tris-EDTA buffer (pH 9.0, Epitope Retrieval Solution2) for 20 mins

Key facts

Host species

Mouse

Clonality

Monoclonal

Clone number

hC3aRZ8

Isotype

IgG2b

Carrier free

Yes

Reacts with

Human

Applications

IHC-P, Flow Cyt

applications

Immunogen

The exact immunogen used to generate this antibody is proprietary information.

Reactivity data

{ "title": "Reactivity Data", "filters": { "stats": ["", "Species", "Dilution Info", "Notes"], "tabs": { "all-applications": {"fullname" : "All Applications", "shortname": "All Applications"}, "IHCP" : {"fullname" : "Immunohistochemistry (Formalin/PFA-fixed paraffin-embedded sections)", "shortname":"IHC-P"}, "FlowCyt" : {"fullname" : "Flow Cytometry", "shortname":"Flow Cyt"}, "ICCIF" : {"fullname" : "Immunocytochemistry/ Immunofluorescence", "shortname":"ICC/IF"}, "WB" : {"fullname" : "Western blot", "shortname":"WB"} }, "product-promise": { "all": "all", "testedAndGuaranteed": "tested", "guaranteed": "expected", "predicted": "predicted", "notRecommended": "not-recommended" } }, "values": { "Human": { "IHCP-species-checked": "testedAndGuaranteed", "IHCP-species-dilution-info": "", "IHCP-species-notes": "<p></p>", "FlowCyt-species-checked": "testedAndGuaranteed", "FlowCyt-species-dilution-info": "", "FlowCyt-species-notes": "<p></p>", "ICCIF-species-checked": "notRecommended", "ICCIF-species-dilution-info": "", "ICCIF-species-notes": "<p></p>", "WB-species-checked": "notRecommended", "WB-species-dilution-info": "", "WB-species-notes": "<p></p>" }, "Mouse": { "IHCP-species-checked": "notRecommended", "IHCP-species-dilution-info": "", "IHCP-species-notes": "<p></p>", "FlowCyt-species-checked": "notRecommended", "FlowCyt-species-dilution-info": "", "FlowCyt-species-notes": "", "ICCIF-species-checked": "notRecommended", "ICCIF-species-dilution-info": "", "ICCIF-species-notes": "<p></p>", "WB-species-checked": "notRecommended", "WB-species-dilution-info": "", "WB-species-notes": "<p></p>" }, "Rat": { "IHCP-species-checked": "notRecommended", "IHCP-species-dilution-info": "", "IHCP-species-notes": "<p></p>", "FlowCyt-species-checked": "notRecommended", "FlowCyt-species-dilution-info": "", "FlowCyt-species-notes": "", "ICCIF-species-checked": "notRecommended", "ICCIF-species-dilution-info": "", "ICCIF-species-notes": "", "WB-species-checked": "notRecommended", "WB-species-dilution-info": "", "WB-species-notes": "<p></p>" }, "Transfected cell line - Human": { "IHCP-species-checked": "testedAndGuaranteed", "IHCP-species-dilution-info": "", "IHCP-species-notes": "<p></p>", "FlowCyt-species-checked": "notRecommended", "FlowCyt-species-dilution-info": "", "FlowCyt-species-notes": "", "ICCIF-species-checked": "notRecommended", "ICCIF-species-dilution-info": "", "ICCIF-species-notes": "", "WB-species-checked": "notRecommended", "WB-species-dilution-info": "", "WB-species-notes": "" } } }

Product details

ab317633 is the carrirer-free version of ab317632.

This antibody clone is manufactured by Abcam. If you require a custom buffer formulation or conjugation for your experiments, please contact orders@abcam.com.

What are the advantages of a recombinant monoclonal antibody?
This product is a recombinant monoclonal antibody, which offers several advantages including:

  • - High batch-to-batch consistency and reproducibility
  • - Improved sensitivity and specificity
  • - Long-term security of supply
  • - Animal-free batch production

For more information, read more on recombinant antibodies.

Want a custom formulation?
This antibody clone is manufactured by Abcam. If you require a custom buffer formulation or conjugation for your experiments, please contact orders@abcam.com

Conjugation ready
Our carrier-free antibodies are typically supplied in a PBS-only formulation, purified and free of BSA, sodium azide and glycerol. This conjugation-ready format is designed for use with fluorochromes, metal isotopes, oligonucleotides, and enzymes, which makes them ideal for antibody labelling, functional and cell-based assays, flow-based assays (e.g. mass cytometry) and Multiplex Imaging applications.

Use our conjugation kits for antibody conjugates that are ready-to-use in as little as 20 minutes with 1 minute hands-on-time and 100% antibody recovery: available for fluorescent dyes, HRP, biotin and gold.

Compatibility
This product is compatible with the Maxpar® Antibody Labeling Kit from Fluidigm, without the need for antibody preparation. Maxpar® is a trademark of Fluidigm Canada Inc.

Properties and storage information

Form
Liquid
Purification technique
Affinity purification Protein A
Storage buffer
pH: 7.2 - 7.4 Constituents: PBS
Shipped at conditions
Blue Ice
Appropriate short-term storage conditions
+4°C
Appropriate long-term storage conditions
+4°C

Supplementary information

This supplementary information is collated from multiple sources and compiled automatically.

The C3a receptor also known as C3aR or C3aR1 is a critical component of the immune system. It functions by binding to the C3a peptide a product of the complement cascade. This binding triggers a variety of immune responses. C3aR is a surface receptor widely expressed on immune cells such as macrophages mast cells and neutrophils. The molecular weight of the C3a receptor is approximately 55 kDa. It can be found principally in tissues involved in immunity like the spleen lungs and liver.
Biological function summary

The C3a receptor plays an important role in the immune response by mediating inflammatory reactions. It is not part of a larger complex like some receptors functioning instead through protein-protein interactions. Upon activation by binding with the C3a peptide the receptor can promote the release of histamine cytokines and other inflammatory mediators. This action helps regulate the body's defense against pathogens and contributes to the elimination of foreign materials from the body.

Pathways

The C3a receptor is involved in the complement pathway and immune response pathways. It interacts with several proteins within these pathways including C3a protein itself and other complement components. By engaging in these pathways C3aR significantly influences cellular responses and activities. For example its activation can lead to the alteration of immune cell behavior enhancing phagocytosis and increasing cell migration to sites of infection or injury.

The C3a receptor has been implicated in asthma and rheumatoid arthritis. In asthma C3aR activation can lead to overactive immune responses causing increased bronchoconstriction and airway hyperresponsiveness. Its involvement in rheumatoid arthritis relates to its ability to modulate inflammation exacerbating joint damage and discomfort. The receptor's activity in these conditions can also connect it to other proteins such as specific inflammatory cytokines which contribute to the pathological processes seen in these diseases.

Product protocols

For this product, it's our understanding that no specific protocols are required. You can visit:

Target data

Receptor for the chemotactic and inflammatory peptide anaphylatoxin C3a. This receptor stimulates chemotaxis, granule enzyme release and superoxide anion production.
See full target information C3AR1

Product promise

We are committed to supporting your work with high-quality reagents, and we're here for you every step of the way. In the unlikely event that one of our products does not perform as expected, you're protected by our Product Promise.
For full details, please see our Terms & Conditions

Please note: All products are 'FOR RESEARCH USE ONLY. NOT FOR USE IN DIAGNOSTIC OR THERAPEUTIC PROCEDURES'.

For licensing inquiries, please contact partnerships@abcam.com