JavaScript is disabled in your browser. Please enable JavaScript to view this website.
AB325839

Anti-C3AR1 antibody [HL2831] - BSA and Azide free

Be the first to review this product! Submit a review

|

(0 Publication)

Rabbit Recombinant Monoclonal C3a R antibody. Carrier free. Suitable for WB, ICC/IF, IHC-P, Flow Cyt and reacts with Transfected cell lysate - Human, Human, Transfected cell line - Human samples. Immunogen corresponding to Recombinant Fragment Protein within Human C3AR1.

View Alternative Names

AZ3B, C3R1, HNFAG09, C3AR1, C3a anaphylatoxin chemotactic receptor, C3AR, C3a-R

7 Images
Flow Cytometry - Anti-C3AR1 antibody [HL2831] - BSA and Azide free (AB325839)
  • Flow Cyt

Supplier Data

Flow Cytometry - Anti-C3AR1 antibody [HL2831] - BSA and Azide free (AB325839)

ab325839 detects C3a Receptor protein by flow cytometry analysis. Sample : non-fixed and non-permeabilized HL-60 or HeLa cells were stained with 5 ug/ml (red) or a Rabbit monoclonal IgG isotype control (grey) in 1% FBS/ 5mM EDTA/PBS at 4ºC for 1 hour.

Immunohistochemistry (Formalin/PFA-fixed paraffin-embedded sections) - Anti-C3AR1 antibody [HL2831] - BSA and Azide free (AB325839)
  • IHC-P

Supplier Data

Immunohistochemistry (Formalin/PFA-fixed paraffin-embedded sections) - Anti-C3AR1 antibody [HL2831] - BSA and Azide free (AB325839)

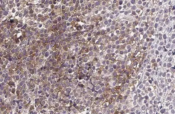
ab325839 detects C3a Receptor protein at cell membrane and cytoplasm by immunohistochemical analysis. Sample : Paraffin-embedded HL-60 xenograft. C3a Receptor stained by ab325839 diluted at 1 : 100. Antigen Retrieval : Citrate buffer, pH 6.0, 15 min.

Immunohistochemistry (Formalin/PFA-fixed paraffin-embedded sections) - Anti-C3AR1 antibody [HL2831] - BSA and Azide free (AB325839)
  • IHC-P

Supplier Data

Immunohistochemistry (Formalin/PFA-fixed paraffin-embedded sections) - Anti-C3AR1 antibody [HL2831] - BSA and Azide free (AB325839)

ab325839 detects C3a Receptor protein at cell membrane and cytoplasm by immunohistochemical analysis. Sample : Paraffin-embedded human glioblastoma. C3a Receptor stained by ab325839 diluted at 1 : 100. Antigen Retrieval : Citrate buffer, pH 6.0, 15 min.

Immunohistochemistry (Formalin/PFA-fixed paraffin-embedded sections) - Anti-C3AR1 antibody [HL2831] - BSA and Azide free (AB325839)
  • IHC-P

Supplier Data

Immunohistochemistry (Formalin/PFA-fixed paraffin-embedded sections) - Anti-C3AR1 antibody [HL2831] - BSA and Azide free (AB325839)

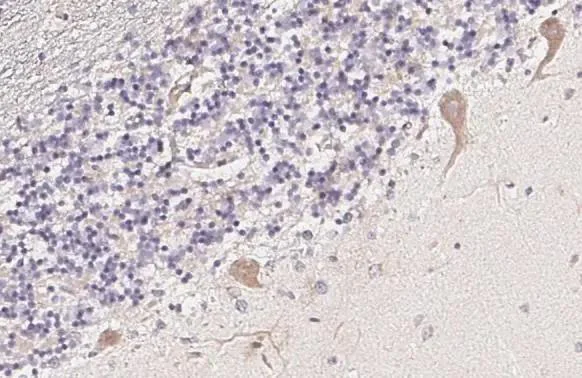
ab325839 detects C3a Receptor protein by immunohistochemical analysis. Sample : Paraffin-embedded human cerebellum. C3a Receptor stained by ab325839 diluted at 1 : 100. Antigen Retrieval : Citrate buffer, pH 6.0, 15 min.

Western blot - Anti-C3AR1 antibody [HL2831] - BSA and Azide free (AB325839)
  • WB

Supplier Data

Western blot - Anti-C3AR1 antibody [HL2831] - BSA and Azide free (AB325839)

Untreated (–) and treated (+) unboiled HL-60 whole cell extracts (30 ug) were separated by 10% SDS-PAGE, and the membrane was blotted with C3a Receptor antibody ab325839 diluted at 1 : 1000. The HRP-conjugated anti-rabbit IgG antibody was used to detect the primary antibody, and the signal was developed with Trident ECL plus-Enhanced.

All lanes:

Western blot - Anti-C3AR1 antibody [HL2831] - BSA and Azide free (ab325839) at 1/1000 dilution

Lane 1:

Untreated (–) unboiled HL-60 whole cell extracts at 30 µg

Lane 2:

PNGase F, 2 hr treated (+) unboiled HL-60 whole cell extracts at 30 µg

Secondary

All lanes:

HRP-conjugated anti-rabbit IgG antibody

true

Immunocytochemistry/ Immunofluorescence - Anti-C3AR1 antibody [HL2831] - BSA and Azide free (AB325839)
  • ICC/IF

Supplier Data

Immunocytochemistry/ Immunofluorescence - Anti-C3AR1 antibody [HL2831] - BSA and Azide free (AB325839)

ab325839 detects C3a Receptor protein by immunofluorescent analysis. Sample : Mock and transfected 293T cells were fixed in ice-cold MeOH for 5 min. Green : C3a Receptor stained by ab325839 diluted at 1 : 500. Blue : Fluoroshield with DAPI.

Western blot - Anti-C3AR1 antibody [HL2831] - BSA and Azide free (AB325839)
  • WB

Supplier Data

Western blot - Anti-C3AR1 antibody [HL2831] - BSA and Azide free (AB325839)

Non-transfected (–) and transfected (+) boiled and unboiled 293T whole cell extracts (30 ug) were separated by 10% SDS-PAGE, and the membrane was blotted with ab325839 diluted at 1 : 5000. The HRP-conjugated anti-rabbit IgG antibody was used to detect the primary antibody.

All lanes:

Western blot - Anti-C3AR1 antibody [HL2831] - BSA and Azide free (ab325839) at 1/5000 dilution

Lane 1:

Non-transfected (–) boiled 293T whole cell extracts at 30 µg

Lane 2:

DDDDK-tagged C3AR1 transfected (+) boiled 293T whole cell extracts at 30 µg

Lane 3:

Non-transfected (–) unboiled 293T whole cell extracts at 30 µg

Lane 4:

DDDDK-tagged C3AR1 transfected (+) unboiled 293T whole cell extracts at 30 µg

Secondary

All lanes:

HRP-conjugated anti-rabbit IgG antibody

false

Key facts

Host species

Rabbit

Clonality

Monoclonal

Clone number

HL2831

Isotype

IgG

Carrier free

Yes

Reacts with

Human

Applications

WB, IHC-P, Flow Cyt, ICC/IF

applications

Immunogen

Recombinant Fragment Protein within Human C3AR1.

Q16581

Reactivity data

{ "title": "Reactivity Data", "filters": { "stats": ["", "Species", "Dilution Info", "Notes"], "tabs": { "all-applications": {"fullname" : "All Applications", "shortname": "All Applications"}, "WB" : {"fullname" : "Western blot", "shortname":"WB"}, "ICCIF" : {"fullname" : "Immunocytochemistry/ Immunofluorescence", "shortname":"ICC/IF"}, "IHCP" : {"fullname" : "Immunohistochemistry (Formalin/PFA-fixed paraffin-embedded sections)", "shortname":"IHC-P"}, "FlowCyt" : {"fullname" : "Flow Cytometry", "shortname":"Flow Cyt"} }, "product-promise": { "all": "all", "testedAndGuaranteed": "tested", "guaranteed": "expected", "predicted": "predicted", "notRecommended": "not-recommended" } }, "values": { "Human": { "WB-species-checked": "testedAndGuaranteed", "WB-species-dilution-info": "1/1000", "WB-species-notes": "<p></p>", "ICCIF-species-checked": "guaranteed", "ICCIF-species-dilution-info": "", "ICCIF-species-notes": "", "IHCP-species-checked": "testedAndGuaranteed", "IHCP-species-dilution-info": "1/100", "IHCP-species-notes": "<p></p> Perform heat-mediated antigen retrieval with citrate buffer pH 6 before commencing with IHC staining protocol.", "FlowCyt-species-checked": "testedAndGuaranteed", "FlowCyt-species-dilution-info": "5 µg/mL", "FlowCyt-species-notes": "<p></p>" }, "Transfected cell line - Human": { "WB-species-checked": "notRecommended", "WB-species-dilution-info": "", "WB-species-notes": "", "ICCIF-species-checked": "testedAndGuaranteed", "ICCIF-species-dilution-info": "1/500", "ICCIF-species-notes": "<p></p>", "IHCP-species-checked": "notRecommended", "IHCP-species-dilution-info": "", "IHCP-species-notes": "", "FlowCyt-species-checked": "notRecommended", "FlowCyt-species-dilution-info": "", "FlowCyt-species-notes": "" }, "Transfected cell lysate - Human": { "WB-species-checked": "testedAndGuaranteed", "WB-species-dilution-info": "1/5000", "WB-species-notes": "<p></p>", "ICCIF-species-checked": "notRecommended", "ICCIF-species-dilution-info": "", "ICCIF-species-notes": "", "IHCP-species-checked": "notRecommended", "IHCP-species-dilution-info": "", "IHCP-species-notes": "", "FlowCyt-species-checked": "notRecommended", "FlowCyt-species-dilution-info": "", "FlowCyt-species-notes": "" } } }

Properties and storage information

Form
Liquid
Purification technique
Affinity purification Protein A
Storage buffer
pH: 7.4 Constituents: PBS
Shipped at conditions
Blue Ice
Appropriate short-term storage duration
1-2 weeks
Appropriate short-term storage conditions
+4°C
Appropriate long-term storage conditions
-20°C
Aliquoting information
Upon delivery aliquot
Storage information
Avoid freeze / thaw cycle

Product protocols

For this product, it's our understanding that no specific protocols are required. You can visit:

Target data

Receptor for the chemotactic and inflammatory peptide anaphylatoxin C3a, stimulating chemotaxis, granule enzyme release and superoxide anion production (PubMed : 12871936, PubMed : 37852260, PubMed : 8702752). Ligand binding causes a conformation change that triggers signaling via guanine nucleotide-binding proteins (G proteins) and modulates the activity of downstream effectors, such as adenylate cyclase (PubMed : 37852260). C3AR1 is coupled to G(i)/G(o) (GNAI1 or GNAO1) G alpha proteins and mediates inhibition of adenylate cyclase (PubMed : 37852260).
See full target information C3AR1

Product promise

We are committed to supporting your work with high-quality reagents, and we're here for you every step of the way. In the unlikely event that one of our products does not perform as expected, you're protected by our Product Promise.
For full details, please see our Terms & Conditions

Please note: All products are 'FOR RESEARCH USE ONLY. NOT FOR USE IN DIAGNOSTIC OR THERAPEUTIC PROCEDURES'.

For licensing inquiries, please contact partnerships@abcam.com