JavaScript is disabled in your browser. Please enable JavaScript to view this website.
AB136916

Anti-C3d antibody [E28-P]

5

(3 Reviews)

|

(12 Publications)

Rabbit Monoclonal C3 antibody. Suitable for IHC-P and reacts with Human samples. Cited in 12 publications. Immunogen corresponding to Synthetic Peptide within Human C3.

View Alternative Names

CPAMD1, C3, Complement C3, C3 and PZP-like alpha-2-macroglobulin domain-containing protein 1

1 Images
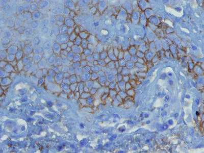
Immunohistochemistry (Formalin/PFA-fixed paraffin-embedded sections) - Anti-C3d antibody [E28-P] (AB136916)
  • IHC-P

Unknown

Immunohistochemistry (Formalin/PFA-fixed paraffin-embedded sections) - Anti-C3d antibody [E28-P] (AB136916)

Immunohistochemical analysis of formalin-fixed, paraffin-embedded Human skin tissue (4µm) from lesion of the early pemphigus vulgaris (without blister formation) labelling C3d with ab136916 at 1/100 dilution.

Key facts

Host species

Rabbit

Clonality

Monoclonal

Clone number

E28-P

Isotype

IgG

Carrier free

No

Reacts with

Human

Applications

IHC-P

applications

Immunogen

Synthetic Peptide within Human C3. The exact immunogen used to generate this antibody is proprietary information.

P01024

Epitope

Peptide derived from N-terminal sequence of human C3d complement fragment

Specificity

This product is specific to C3d, but also C3b and iC3b, since C3d is a product from C3b.

Reactivity data

{ "title": "Reactivity Data", "filters": { "stats": ["", "Species", "Dilution Info", "Notes"], "tabs": { "all-applications": {"fullname" : "All Applications", "shortname": "All Applications"}, "IHCP" : {"fullname" : "Immunohistochemistry (Formalin/PFA-fixed paraffin-embedded sections)", "shortname":"IHC-P"} }, "product-promise": { "all": "all", "testedAndGuaranteed": "tested", "guaranteed": "expected", "predicted": "predicted", "notRecommended": "not-recommended" } }, "values": { "Human": { "IHCP-species-checked": "testedAndGuaranteed", "IHCP-species-dilution-info": "1/100 - 1/200", "IHCP-species-notes": "<p>Antigen Retrieval method:</p><p>immerse the slide in Tris-EDTA buffer, pH 9.0, and incubate in water bath 40 min at 96-98°C.</p>" } } }

Properties and storage information

Form
Liquid
Purification technique
Proprietary technique
Purification notes
This immunoglobulin is the product of one single B-cell line from the crude anti-peptide polyclonal anti-serum. This antibody is purified using a proprietary technique and offers a completely post-translationally modified and properly glycosylated antibody. This offers increased stability.
Storage buffer
pH: 8 Preservative: 0.05% Sodium azide Constituents: 2% BSA, 0.32% Tris HCl
Shipped at conditions
Blue Ice
Appropriate short-term storage duration
1-2 weeks
Appropriate short-term storage conditions
+4°C
Appropriate long-term storage conditions
-20°C
Storage information
Avoid freeze / thaw cycle

Supplementary information

This supplementary information is collated from multiple sources and compiled automatically.

C3d a fragment of the complement component C3 plays an important role in the immune response. It weighs around 35 kDa. This protein fragment forms after the cleavage of C3 and is found in the bloodstream. Researchers often refer to C3d in the context of complement activation using terms such as 'C3d complement' and 'anti-C3d-positive'. C3d is expressed extensively on cell surfaces where it binds to receptors modulating immune cell responses.
Biological function summary

The fragment plays a significant role in the regulation of immune activation processes. C3d is part of the complement system which is a complex network of proteins contributing to innate immunity. This fragment tags pathogens for destruction and acts as a bridge for enhancing adaptive immunity by linking innate and adaptive immune responses. Interaction with the complement receptor type 2 (CR2) on B cells and follicular dendritic cells is essential for its immunological function.

Pathways

C3d participates in the complement activation pathway and is an important player in the alternative pathway of complement activation. Through these pathways it is linked to proteins such as Factor B and Factor D further influencing the cascade leading to pathogen elimination. The amplification loop involving C3 and its fragments including C3d enhances the immune response emphasizing its connectivity within these pathways.

The role of C3d becomes particularly relevant in conditions like systemic lupus erythematosus (SLE) and age-related macular degeneration (AMD). Abnormal deposition of C3d and its fragments associates with inflammatory disorders such as SLE. Connection to CR2 is significant as the CR2-C3d complex can exacerbate these diseases. Understanding these interactions helps in targeting therapies for related autoimmune and inflammatory conditions.

Product protocols

For this product, it's our understanding that no specific protocols are required. You can visit:

Target data

C3 plays a central role in the activation of the complement system. Its processing by C3 convertase is the central reaction in both classical and alternative complement pathways. After activation C3b can bind covalently, via its reactive thioester, to cell surface carbohydrates or immune aggregates.. Derived from proteolytic degradation of complement C3, C3a anaphylatoxin is a mediator of local inflammatory process. In chronic inflammation, acts as a chemoattractant for neutrophils (By similarity). It induces the contraction of smooth muscle, increases vascular permeability and causes histamine release from mast cells and basophilic leukocytes.. C3-beta-c. Acts as a chemoattractant for neutrophils in chronic inflammation.. Acylation stimulating protein. Adipogenic hormone that stimulates triglyceride (TG) synthesis and glucose transport in adipocytes, regulating fat storage and playing a role in postprandial TG clearance. Appears to stimulate TG synthesis via activation of the PLC, MAPK and AKT signaling pathways. Ligand for C5AR2. Promotes the phosphorylation, ARRB2-mediated internalization and recycling of C5AR2 (PubMed : 10432298, PubMed : 15833747, PubMed : 16333141, PubMed : 19615750, PubMed : 2909530, PubMed : 8376604, PubMed : 9059512).
See full target information C3

Publications (12)

Recent publications for all applications. Explore the full list and refine your search

European thyroid journal 13: PubMed39316722

2024

IgG4 glycosylation contributes to the pathogenesis of IgG4 Hashimoto's thyroiditis via the complement pathway.

Applications

Unspecified application

Species

Unspecified reactive species

Chenxu Zhao,Zhiming Sun,Shuaihang Wang,Jixin Zhang,Jumei Liu,Lei Chen,Guizhi Lu,Yang Yu,Ying Gao

Archives of pathology & laboratory medicine : PubMed38149406

2023

C3d Immunohistochemical Staining on Paraffin-Embedded Tissue for Diagnosis of Pemphigus.

Applications

Unspecified application

Species

Unspecified reactive species

Nanhui Wu,Yijie Cai,Fei Wu,Yulin Liang,Shuyi Liu,Pengfei Zhang,Yeqiang Liu

Pathology, research and practice 247:154519 PubMed37244049

2023

Complement and complement regulatory proteins are upregulated in lungs of COVID-19 patients.

Applications

Unspecified application

Species

Unspecified reactive species

Xiaowen Ge,Zhui Yu,Xinxin Guo,Ling Li,Ling Ye,Maosong Ye,Jingping Yuan,Chouwen Zhu,Weiguo Hu,Yingyong Hou

Indian journal of dermatology 67:205 PubMed36092230

2022

Analyses of the clinical and immunological characteristics of patients with lupus erythematosus.

Applications

Unspecified application

Species

Unspecified reactive species

Min Deng,Ruifang Wu,Xingyu Zhou,Yuwen Su,Yaping Li

Scientific reports 12:10519 PubMed35732698

2022

Bullous pemphigoid diagnosis: the role of routine formalin-fixed paraffin-embedded skin tissue immunochemistry.

Applications

Unspecified application

Species

Unspecified reactive species

Harim Oh,Chul Hwan Kim,Yoo Jin Lee

Frontiers in immunology 13:835156 PubMed35237273

2022

Complement Activation the Lectin and Alternative Pathway in Patients With Severe COVID-19.

Applications

Unspecified application

Species

Unspecified reactive species

Janina Niederreiter,Christine Eck,Tajana Ries,Arndt Hartmann,Bruno Märkl,Maike Büttner-Herold,Kerstin Amann,Christoph Daniel

Frontiers in immunology 11:594849 PubMed33584662

2021

Complement Activation in Kidneys of Patients With COVID-19.

Applications

Unspecified application

Species

Unspecified reactive species

Frederick Pfister,Eva Vonbrunn,Tajana Ries,Hans-Martin Jäck,Klaus Überla,Günter Lochnit,Ahmed Sheriff,Martin Herrmann,Maike Büttner-Herold,Kerstin Amann,Christoph Daniel

Thorax 75:321-330 PubMed31959730

2020

Activation of complement component 3 is associated with airways disease and pulmonary emphysema in alpha-1 antitrypsin deficiency.

Applications

Unspecified application

Species

Unspecified reactive species

Michael E O'Brien,Laura Fee,Niall Browne,Tomás P Carroll,Paula Meleady,Michael Henry,Karen McQuillan,Mark P Murphy,Mark Logan,Cormac McCarthy,Oliver J McElvaney,Emer P Reeves,Noel G McElvaney

Xenotransplantation 26:e12540 PubMed31219218

2019

The role of human CD46 in early xenoislet engraftment in a dual transplant model.

Applications

Unspecified application

Species

Unspecified reactive species

Kannan P Samy,Qimeng Gao,Robert Patrick Davis,Mingqing Song,Zachary W Fitch,Michael S Mulvihill,Andrea L MacDonald,Frank V Leopardi,Tam How,Kyha D Williams,Gayathri R Devi,Bradley H Collins,Xunrong Luo,Allan D Kirk

Kidney international reports 4:1387-1400 PubMed31701048

2019

Glomerular Complement Factor H-Related Protein 5 (FHR5) Is Highly Prevalent in C3 Glomerulopathy and Associated With Renal Impairment.

Applications

Unspecified application

Species

Unspecified reactive species

Nicholas R Medjeral-Thomas,Hilary Moffitt,Hannah J Lomax-Browne,Nicholas Constantinou,Tom Cairns,H Terence Cook,Matthew C Pickering
View all publications

Product promise

We are committed to supporting your work with high-quality reagents, and we're here for you every step of the way. In the unlikely event that one of our products does not perform as expected, you're protected by our Product Promise.
For full details, please see our Terms & Conditions

Please note: All products are 'FOR RESEARCH USE ONLY. NOT FOR USE IN DIAGNOSTIC OR THERAPEUTIC PROCEDURES'.

For licensing inquiries, please contact partnerships@abcam.com