JavaScript is disabled in your browser. Please enable JavaScript to view this website.
AB251274

Anti-C4 binding protein/C4BPB antibody [EPR17101] - BSA and Azide free

Be the first to review this product! Submit a review

|

(1 Publication)

Rabbit Recombinant Monoclonal C4 binding protein/C4BPB antibody. Carrier free. Suitable for ICC/IF, IP, WB, IHC-P and reacts with Human, Rat samples. Cited in 1 publication.

View Alternative Names

C4b-binding protein beta chain, C4BPB

8 Images
Immunohistochemistry (Formalin/PFA-fixed paraffin-embedded sections) - Anti-C4 binding protein/C4BPB antibody [EPR17101] - BSA and Azide free (AB251274)
  • IHC-P

Supplier Data

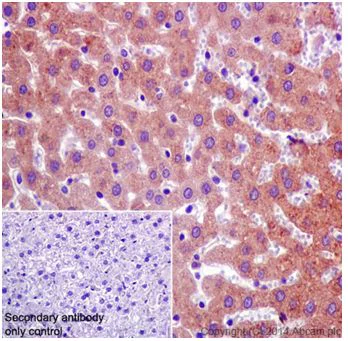
Immunohistochemistry (Formalin/PFA-fixed paraffin-embedded sections) - Anti-C4 binding protein/C4BPB antibody [EPR17101] - BSA and Azide free (AB251274)

This data was developed using ab199430, the same antibody clone in a different buffer formulation.

Immunohistochemical analysis of paraffin-embedded Human hepatocellular carcinoma tissue labeling C4 binding protein/C4BPB with ab199430 at 1/1000 dilution followed by Goat Anti-Rabbit IgG H&L (HRP) (ab97051) at 1/500 dilution. Cytoplasm staining on Human hepatocellular carcinoma tissue is observed. Counter stained with Hematoxylin.
Negative control : Used PBS instead of primary ab, secondary ab is Goat Anti-Rabbit IgG H&L (HRP) (ab97051).

Perform heat mediated antigen retrieval with Tris/EDTA buffer pH 9.0 before commencing with IHC staining protocol.

Immunohistochemistry (Formalin/PFA-fixed paraffin-embedded sections) - Anti-C4 binding protein/C4BPB antibody [EPR17101] - BSA and Azide free (AB251274)
  • IHC-P

Supplier Data

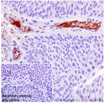
Immunohistochemistry (Formalin/PFA-fixed paraffin-embedded sections) - Anti-C4 binding protein/C4BPB antibody [EPR17101] - BSA and Azide free (AB251274)

This data was developed using ab199430, the same antibody clone in a different buffer formulation.

Immunohistochemical analysis of paraffin-embedded Human bladder carcinoma tissue labeling C4 binding protein/C4BPB with ab199430 at 1/1000 dilution followed by Goat Anti-Rabbit IgG H&L (HRP) (ab97051) at 1/500 dilution. Plasma staining on Human bladder carcinoma tissue is observed. Counter stained with Hematoxylin.
Negative control : Used PBS instead of primary ab, secondary ab is Goat Anti-Rabbit IgG H&L (HRP) (ab97051).

Perform heat mediated antigen retrieval with Tris/EDTA buffer pH 9.0 before commencing with IHC staining protocol.

Immunocytochemistry/ Immunofluorescence - Anti-C4 binding protein/C4BPB antibody [EPR17101] - BSA and Azide free (AB251274)
  • ICC/IF

Supplier Data

Immunocytochemistry/ Immunofluorescence - Anti-C4 binding protein/C4BPB antibody [EPR17101] - BSA and Azide free (AB251274)

This data was developed using ab199430, the same antibody clone in a different buffer formulation.

Immunofluorescent analysis of 4% paraformaldehyde-fixed, 0.1% Triton X-100 permeabilized HepG2 (Human liver hepatocellular carcinoma) cells labeling C4 binding protein/C4BPB with ab199430 at 1/250 dilution, followed by Goat anti-rabbit IgG (Alexa Fluor® 488) (ab150077) secondary antibody at 1/500 dilution (green). Confocal image showing cytoplasm staining on HepG2 cell line. The nuclear counterstain is DAPI (blue). Tubulin is detected with ab7291 (anti-Tubulin mouse mAb) at 1/1000 dilution and ab150120 (AlexaFluor®594 Goat anti-Mouse secondary) at 1/500 dilution (red).
The negative controls are as follows : -
-ve control 1 - ab199430 at 1/250 dilution followed by ab150120 (AlexaFluor®594 Goat anti-Mouse secondary) at 1/500 dilution.
-ve control 2. - ab7291 (anti-Tubulin mouse mAb) at 1/1000 dilution followed by ab150077 (Alexa Fluor®488 Goat Anti-Rabbit IgG H&L) at 1/500 dilution.

Immunoprecipitation - Anti-C4 binding protein/C4BPB antibody [EPR17101] - BSA and Azide free (AB251274)
  • IP

Supplier Data

Immunoprecipitation - Anti-C4 binding protein/C4BPB antibody [EPR17101] - BSA and Azide free (AB251274)

This data was developed using ab199430, the same antibody clone in a different buffer formulation.

C4 binding protein/C4BPB was immunoprecipitated from 1mg of Human serum with ab199430 at 1/80 dilution. Western blot was performed from the immunoprecipitate using ab199430 at 1/10000 dilution. Anti-Rabbit IgG (HRP), specific to the non-reduced form of IgG, was used as secondary antibody at 1/1500 dilution. Lane 1 : Human serum 10 μg. Lane 2 : Human serum following immunoprecipitation. Lane 3 : Rabbit monoclonal IgG (ab172730) instead of ab199430 in Human serum.

Blocking and dilution buffer : 5% NFDM/TBST.

Exposure time : 10 seconds.

All lanes:

Immunoprecipitation - Anti-C4 binding protein/C4BPB antibody [EPR17101] (<a href='/en-us/products/primary-antibodies/c4-binding-protein-c4bpb-antibody-epr17101-ab199430'>ab199430</a>)

Predicted band size: 28 kDa

Observed band size: 45 kDa

false

Immunohistochemistry (Formalin/PFA-fixed paraffin-embedded sections) - Anti-C4 binding protein/C4BPB antibody [EPR17101] - BSA and Azide free (AB251274)
  • IHC-P

Supplier Data

Immunohistochemistry (Formalin/PFA-fixed paraffin-embedded sections) - Anti-C4 binding protein/C4BPB antibody [EPR17101] - BSA and Azide free (AB251274)

This data was developed using ab199430, the same antibody clone in a different buffer formulation.

Immunohistochemical analysis of paraffin-embedded Rat liver tissue labeling C4 binding protein/C4BPB with ab199430 at 1/1000 dilution followed by Goat Anti-Rabbit IgG H&L (HRP) (ab97051) at 1/500 dilution. Cytoplasm staining on rat liver tissue is observed. Counter stained with Hematoxylin.
Negative control : Used PBS instead of primary ab, secondary ab is Goat Anti-Rabbit IgG H&L (HRP) (ab97051).

Perform heat mediated antigen retrieval with Tris/EDTA buffer pH 9.0 before commencing with IHC staining protocol.

Western blot - Anti-C4 binding protein/C4BPB antibody [EPR17101] - BSA and Azide free (AB251274)
  • WB

Supplier Data

Western blot - Anti-C4 binding protein/C4BPB antibody [EPR17101] - BSA and Azide free (AB251274)

This data was developed using ab199430, the same antibody clone in a different buffer formulation.

Blocking and dilution buffer : 5% NFDM/TBST.

The observed MW is consistent with what has been described in the literature (PMID : 2300577).

All lanes:

Western blot - Anti-C4 binding protein/C4BPB antibody [EPR17101] (<a href='/en-us/products/primary-antibodies/c4-binding-protein-c4bpb-antibody-epr17101-ab199430'>ab199430</a>) at 1/10000 dilution

All lanes:

Human serum at 20 µg

Secondary

All lanes:

Anti-Rabbit IgG (HRP), specific to the non-reduced form of IgG at 1/1000 dilution

Predicted band size: 28 kDa

Observed band size: 45 kDa

false

Exposure time: 1min

Western blot - Anti-C4 binding protein/C4BPB antibody [EPR17101] - BSA and Azide free (AB251274)
  • WB

Supplier Data

Western blot - Anti-C4 binding protein/C4BPB antibody [EPR17101] - BSA and Azide free (AB251274)

This data was developed using ab199430, the same antibody clone in a different buffer formulation.

Blocking and dilution buffer : 5% NFDM/TBST.

The observed MW is consistent with what has been described in the literature (PMID : 2300577).

All lanes:

Western blot - Anti-C4 binding protein/C4BPB antibody [EPR17101] (<a href='/en-us/products/primary-antibodies/c4-binding-protein-c4bpb-antibody-epr17101-ab199430'>ab199430</a>) at 1/1000 dilution

Lane 1:

Human plasma at 20 µg

Lane 2:

Human ovary cancer extract. at 20 µg

Secondary

All lanes:

Anti-Rabbit IgG (HRP), specific to the non-reduced form of IgG at 1/1000 dilution

Predicted band size: 28 kDa

Observed band size: 45 kDa

false

Exposure time: 1min

Western blot - Anti-C4 binding protein/C4BPB antibody [EPR17101] - BSA and Azide free (AB251274)
  • WB

Supplier Data

Western blot - Anti-C4 binding protein/C4BPB antibody [EPR17101] - BSA and Azide free (AB251274)

This data was developed using ab199430, the same antibody clone in a different buffer formulation.

Blocking and dilution buffer : 5% NFDM/TBST.

The observed MW is consistent with what has been described in the literature (PMID : 2300577).

All lanes:

Western blot - Anti-C4 binding protein/C4BPB antibody [EPR17101] (<a href='/en-us/products/primary-antibodies/c4-binding-protein-c4bpb-antibody-epr17101-ab199430'>ab199430</a>) at 1/1000 dilution

All lanes:

Rat plasma at 10 µg

Secondary

All lanes:

Goat Anti-Rabbit IgG, (H+L), Peroxidase conjugated at 1/1000 dilution

Predicted band size: 28 kDa,37 kDa,73 kDa

Observed band size: 42 kDa,45 kDa,73 kDa

false

Exposure time: 30s

  • Unconjugated

    Anti-C4 binding protein/C4BPB antibody [EPR17101]

Key facts

Host species

Rabbit

Clonality

Monoclonal

Clone number

EPR17101

Isotype

IgG

Carrier free

Yes

Reacts with

Rat, Human

Applications

IHC-P, WB, ICC/IF, IP

applications

Immunogen

The exact immunogen used to generate this antibody is proprietary information.

Reactivity data

{ "title": "Reactivity Data", "filters": { "stats": ["", "Species", "Dilution Info", "Notes"], "tabs": { "all-applications": {"fullname" : "All Applications", "shortname": "All Applications"}, "ICCIF" : {"fullname" : "Immunocytochemistry/ Immunofluorescence", "shortname":"ICC/IF"}, "IP" : {"fullname" : "Immunoprecipitation", "shortname":"IP"}, "WB" : {"fullname" : "Western blot", "shortname":"WB"}, "IHCP" : {"fullname" : "Immunohistochemistry (Formalin/PFA-fixed paraffin-embedded sections)", "shortname":"IHC-P"} }, "product-promise": { "all": "all", "testedAndGuaranteed": "tested", "guaranteed": "expected", "predicted": "predicted", "notRecommended": "not-recommended" } }, "values": { "Human": { "ICCIF-species-checked": "testedAndGuaranteed", "ICCIF-species-dilution-info": "", "ICCIF-species-notes": "<p></p>", "IP-species-checked": "testedAndGuaranteed", "IP-species-dilution-info": "", "IP-species-notes": "<p></p>", "WB-species-checked": "testedAndGuaranteed", "WB-species-dilution-info": "", "WB-species-notes": "<p></p>", "IHCP-species-checked": "testedAndGuaranteed", "IHCP-species-dilution-info": "", "IHCP-species-notes": "<p></p>" }, "Rat": { "ICCIF-species-checked": "guaranteed", "ICCIF-species-dilution-info": "", "ICCIF-species-notes": "", "IP-species-checked": "guaranteed", "IP-species-dilution-info": "", "IP-species-notes": "", "WB-species-checked": "testedAndGuaranteed", "WB-species-dilution-info": "", "WB-species-notes": "<p></p>", "IHCP-species-checked": "testedAndGuaranteed", "IHCP-species-dilution-info": "", "IHCP-species-notes": "<p></p>" } } }

Product details

ab251274 is the carrier-free version of ab199430.

Patented technology
Our RabMAb® technology is a patented hybridoma-based technology for making rabbit monoclonal antibodies. For details on our patents, please refer to RabMAb® patents.

What are the advantages of a recombinant monoclonal antibody?
This product is a recombinant monoclonal antibody, which offers several advantages including:

  • - High batch-to-batch consistency and reproducibility
  • - Improved sensitivity and specificity
  • - Long-term security of supply
  • - Animal-free batch production

For more information, read more on recombinant antibodies.

Conjugation ready
Our carrier-free antibodies are typically supplied in a PBS-only formulation, purified and free of BSA, sodium azide and glycerol. This conjugation-ready format is designed for use with fluorochromes, metal isotopes, oligonucleotides, and enzymes, which makes them ideal for antibody labelling, functional and cell-based assays, flow-based assays (e.g. mass cytometry) and Multiplex Imaging applications.

Use our conjugation kits for antibody conjugates that are ready-to-use in as little as 20 minutes with 1 minute hands-on-time and 100% antibody recovery: available for fluorescent dyes, HRP, biotin and gold.

Compatibility
This product is compatible with the Maxpar® Antibody Labeling Kit from Fluidigm, without the need for antibody preparation. Maxpar® is a trademark of Fluidigm Canada Inc.

Properties and storage information

Form
Liquid
Storage buffer
pH: 7.2 - 7.4 Constituents: PBS
Shipped at conditions
Blue Ice
Appropriate short-term storage conditions
+4°C
Appropriate long-term storage conditions
+4°C
Storage information
Do Not Freeze

Supplementary information

This supplementary information is collated from multiple sources and compiled automatically.

C4 binding protein also known as C4BPB is a vital component of the complement system responsible for immune function. It has a molecular mass of approximately 570 kDa and is expressed mainly in liver tissues. C4BPB is a multi-chain protein complex consisting of several alpha and beta chains. This structure allows it to perform important roles in the regulation of immune responses. The presence of C4BPB can be detected in the serum where it acts to modulate the activity of complement C4 protein.
Biological function summary

C4 binding protein plays a defensive role in the immune system by regulating complement activation. It is part of a larger complex that controls the complement pathway which is integral to immune surveillance and removing pathogens. C4BPB functions primarily by binding to complement C4 preventing the formation of the C3 convertase which is an enzyme that amplifies the complement response. This binding action helps in stabilizing the protein C4 and complement C4 serum to avoid unnecessary immune reactions.

Pathways

The complement system pathway prominently features C4 binding protein. In the classical complement activation pathway C4BPB works closely with other proteins such as C3 and C4 to ensure regulatory balance. Its inhibitory action on the complement C4 pathway provides a safeguard against damage to host tissues during immune responses. The interplay between C4BPB and protein C4 offers a protective mechanism reducing excessive inflammation which can lead to tissue injury.

C4 binding protein holds relevance in conditions like rheumatoid arthritis and systemic lupus erythematosus (SLE). Both diseases involve dysregulation of the immune system where inappropriate complement activation occurs. C4BPB's ability to inhibit complement C4 activation suggests that disruptions in its function may contribute to the pathophysiology of these autoimmune disorders. Additionally the relationship between C4BPB and other complement proteins like C3 and C4 is critical in understanding the underlying mechanisms driving these diseases.

Product protocols

For this product, it's our understanding that no specific protocols are required. You can visit:

Target data

Controls the classical pathway of complement activation. It binds as a cofactor to C3b/C4b inactivator (C3bINA), which then hydrolyzes the complement fragment C4b. It also accelerates the degradation of the C4bC2a complex (C3 convertase) by dissociating the complement fragment C2a. It also interacts with anticoagulant protein S and with serum amyloid P component. The beta chain binds protein S.
See full target information C4BPB

Publications (1)

Recent publications for all applications. Explore the full list and refine your search

Nutrients 16: PubMed38732558

2024

Differential Modulation by Eicosapentaenoic Acid (EPA) and Docosahexaenoic Acid (DHA) of Mesenteric Fat and Macrophages and T Cells in Adipose Tissue of Obese / Zucker Rats.

Applications

Unspecified application

Species

Unspecified reactive species

Lena Hong,Peter Zahradka,Carla G Taylor
View all publications

Product promise

We are committed to supporting your work with high-quality reagents, and we're here for you every step of the way. In the unlikely event that one of our products does not perform as expected, you're protected by our Product Promise.
For full details, please see our Terms & Conditions

Please note: All products are 'FOR RESEARCH USE ONLY. NOT FOR USE IN DIAGNOSTIC OR THERAPEUTIC PROCEDURES'.

For licensing inquiries, please contact partnerships@abcam.com