JavaScript is disabled in your browser. Please enable JavaScript to view this website.
AB181241

Anti-C4B-d / C4B-b antibody [EPR11203-27]

  • BOND RX™ Validated
  • RabMAb
  • Recombinant
  • 20ul selling size
  • What is this?

2

(1 Review)

|

(6 Publications)

Rabbit Recombinant Monoclonal C4B-d / C4B-b antibody. Suitable for ICC/IF, WB, IHC-P and reacts with Human samples. Cited in 5 publications.

View Alternative Names

CO4, CPAMD3, C4B_2, C4B, Complement C4-B, Basic complement C4, C3 and PZP-like alpha-2-macroglobulin domain-containing protein 3

5 Images
Immunocytochemistry/ Immunofluorescence - Anti-C4B-d / C4B-b antibody [EPR11203-27] (AB181241)
  • ICC/IF

Unknown

Immunocytochemistry/ Immunofluorescence - Anti-C4B-d / C4B-b antibody [EPR11203-27] (AB181241)

Immunocytochemistry/ Immunofluorescence analysis of HepG2 (Human hepatocellular carcinoma epithelial cell) cells labeling C4b with purified ab181241 at 1/100 dilution (10 μg/mL). Cells were fixed in 4% Paraformaldehyde and permeabilized with 0.1% TritonX-100. Cells were counterstained with ab195889 Anti-alpha Tubulin antibody [DM1A] - Microtubule Marker (Alexa Fluor® 594) 1/200 (2.5 μg/ml). Goat anti rabbit IgG (Alexa Fluor® 488, ab150077) was used as the secondary antibody at 1/1000 (2 μg/mL) dilution. DAPI (blue) was used as nuclear counterstain. PBS instead of the primary antibody was used as the secondary antibody only control.

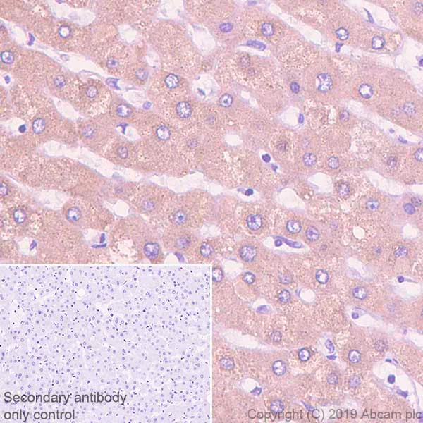
Immunohistochemistry (Formalin/PFA-fixed paraffin-embedded sections) - Anti-C4B-d / C4B-b antibody [EPR11203-27] (AB181241)
  • IHC-P

Unknown

Immunohistochemistry (Formalin/PFA-fixed paraffin-embedded sections) - Anti-C4B-d / C4B-b antibody [EPR11203-27] (AB181241)

Immunohistochemistry (Formalin/PFA-fixed paraffin-embedded sections) analysis of human liver tissue sections labeling C4b with purified ab181241 at 1/75 dilution (9.53 µg/mL). Heat mediated antigen retrieval using Bond™ Epitope Retrieval Solution 2 (pH 9.0) . Rabbit specific IHC polymer detection kit HRP/DAB (ab209101) was used as the secondary antibody. Negative control : PBS instead of the primary antibody. Hematoxylin was used as a counterstain.

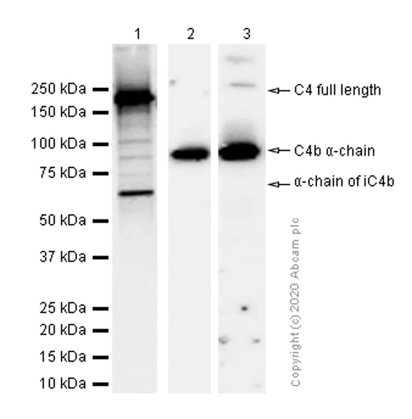
Western blot - Anti-C4B-d / C4B-b antibody [EPR11203-27] (AB181241)
  • WB

Unknown

Western blot - Anti-C4B-d / C4B-b antibody [EPR11203-27] (AB181241)

The molecular weights observed are consistent with what have been described in the literature (PMID : 15632414, 31178241 and 30210498).

All lanes:

Western blot - Anti-C4B-d / C4B-b antibody [EPR11203-27] (ab181241) at 1/10000 dilution

Lane 1:

HepG2 (Human hepatocellular carcinoma epithelial cell) whole cell lysate at 15 µg

Lane 2:

Human plasma lysate at 15 µg

Lane 3:

Human serum lysate at 20 µg

Secondary

All lanes:

Goat Anti-Rabbit IgG (HRP) with minimal cross-reactivity with human IgG at 1/2000 dilution

Predicted band size: 193 kDa

Observed band size: 200 kDa,70 kDa,93 kDa

false

Western blot - Anti-C4B-d / C4B-b antibody [EPR11203-27] (AB181241)
  • WB

Lab

Western blot - Anti-C4B-d / C4B-b antibody [EPR11203-27] (AB181241)

Blocking and diluting buffer and concentration : 5% NFDM/TBST.

Lanes 1 - 5:

Western blot - Anti-C4B-d / C4B-b antibody [EPR11203-27] (ab181241) at 1/1000 dilution

Lanes 6 - 10:

Western blot - Anti-6X His tag® antibody [EPR20547] - ChIP Grade (<a href='/en-us/products/primary-antibodies/6x-his-tag-antibody-epr20547-chip-grade-ab213204'>ab213204</a>) at 1/5000 dilution

Lanes 1 and 6:

293T cells transfected with an empty vector containing a His tag whole cell lysate at 20 µg

Lanes 2 and 7:

293T cells transfected with a human C4d-A (Uniprot: P0C0L4 aa957-1336) expression vector containing a His-tag whole cell lysate at 20 µg

Lanes 3 and 8:

293T cells transfected with a human C4d-B (Uniprot: P0C0L5 aa957-1336) expression vector containing a His-tag whole cell lysate at 20 µg

Lanes 4 and 9:

293T cells transfected with a human C4-A alpha chain (Uniprot: P0C0L4 aa680- 1446) expression vector containing a His-tag whole cell lysate at 20 µg

Lanes 5 and 10:

293T cells transfected with a human C4b-A (Uniprot: P0C0L4 aa757-1446) expression vector containing a His-tag whole cell lysate at 20 µg

Secondary

All lanes:

Western blot - Goat Anti-Rabbit IgG H&L (HRP) (<a href='/en-us/products/secondary-antibodies/goat-rabbit-igg-h-l-hrp-ab97051'>ab97051</a>) at 1/20000 dilution

Observed band size: 45-100 kDa

false

Exposure time: 1s

Western blot - Anti-C4B-d / C4B-b antibody [EPR11203-27] (AB181241)
  • WB

Unknown

Western blot - Anti-C4B-d / C4B-b antibody [EPR11203-27] (AB181241)

The molecular weights observed are consistent with what have been described in the literature (PMID : 15632414, 31178241 and 30210498).

All lanes:

Western blot - Anti-C4B-d / C4B-b antibody [EPR11203-27] (ab181241) at 1/10000 dilution

Lane 1:

Human liver lysate at 20 µg

Lane 2:

Human heart lysate at 20 µg

Lane 3:

Human testis lysate at 20 µg

Secondary

All lanes:

Goat Anti-Rabbit IgG (HRP) with minimal cross-reactivity with human IgG at 1/2000 dilution

Predicted band size: 193 kDa

Observed band size: 200 kDa,70 kDa,93 kDa

false

Key facts

Host species

Rabbit

Clonality

Monoclonal

Clone number

EPR11203-27

Isotype

IgG

Carrier free

No

Reacts with

Human

Applications

WB, IHC-P, ICC/IF

applications

Immunogen

The exact immunogen used to generate this antibody is proprietary information.

Specificity

This antibody was shown to detect C4d-A, C4d-B, C4b-A and the C4A alpha chain in Western Blot experiments.

Reactivity data

{ "title": "Reactivity Data", "filters": { "stats": ["", "Species", "Dilution Info", "Notes"], "tabs": { "all-applications": {"fullname" : "All Applications", "shortname": "All Applications"}, "ICCIF" : {"fullname" : "Immunocytochemistry/ Immunofluorescence", "shortname":"ICC/IF"}, "WB" : {"fullname" : "Western blot", "shortname":"WB"}, "IHCP" : {"fullname" : "Immunohistochemistry (Formalin/PFA-fixed paraffin-embedded sections)", "shortname":"IHC-P"} }, "product-promise": { "all": "all", "testedAndGuaranteed": "tested", "guaranteed": "expected", "predicted": "predicted", "notRecommended": "not-recommended" } }, "values": { "Human": { "ICCIF-species-checked": "testedAndGuaranteed", "ICCIF-species-dilution-info": "1/100", "ICCIF-species-notes": "<p><strong>For unpurified use at 1/500</strong></p>", "WB-species-checked": "testedAndGuaranteed", "WB-species-dilution-info": "1/10000", "WB-species-notes": "<p>For unpurified use at 1/1000-1/2000 dilution</p>", "IHCP-species-checked": "testedAndGuaranteed", "IHCP-species-dilution-info": "1/75", "IHCP-species-notes": "<p>For unpurified use at 1/250</p> Perform heat-mediated antigen retrieval with Tris/EDTA buffer pH 9.0 before commencing with IHC staining protocol." } } }

Product details

Patented technology
Our RabMAb® technology is a patented hybridoma-based technology for making rabbit monoclonal antibodies. For details on our patents, please refer to RabMAb® patents.

What are the advantages of a recombinant monoclonal antibody?
This product is a recombinant monoclonal antibody, which offers several advantages including:

  • - High batch-to-batch consistency and reproducibility
  • - Improved sensitivity and specificity
  • - Long-term security of supply
  • - Animal-free batch production

For more information, read more on recombinant antibodies.

Properties and storage information

Form
Liquid
Purification technique
Affinity purification Protein A
Storage buffer
Preservative: 0.01% Sodium azide Constituents: PBS, 40% Glycerol (glycerin, glycerine), 0.05% BSA
Shipped at conditions
Blue Ice
Appropriate short-term storage duration
1-2 weeks
Appropriate short-term storage conditions
+4°C
Appropriate long-term storage conditions
-20°C
Aliquoting information
Upon delivery aliquot
Storage information
Avoid freeze / thaw cycle

Supplementary information

This supplementary information is collated from multiple sources and compiled automatically.

The 'C4b' protein also known as the 'C4b complement' plays a significant role in the immune system. This protein is a part of the larger complement system specifically as a segment derived from the cleavage of the native 'C4 complement'. It has an estimated molecular mass of about 200 kDa. The 'C4b' protein is prominently expressed on the surface of cells and in body fluids where the immune response is active. As an important player in the complement pathway it binds covalently to foreign particles labeling them for destruction or removal by immune cells.
Biological function summary

The 'C4b complement' interacts with various other components of the immune system. It is particularly involved in the formation of the C3 and C5 convertase complexes which are essential for the opsonization and activation cascade leading to pathogen elimination. Its attachment to cellular surfaces provides a docking point for proteins such as C2 facilitating the further cleavage and progression of the complement cascade. This interaction is critical for driving the classical and lectin pathways of complement activation.

Pathways

The 'C4b protein' is integral to the classical pathway of complement activation as well as to the lectin pathway. It associates with proteins like C1s C1q and factor B forming complexes that execute various stages of immune defenses. By forming C3 and C5 convertase 'C4b' not only promotes phagocytosis but also inflammation and cell lysis through membrane attack complexes. These processes underlie the body's ability to address microbial invasions efficiently.

'C4b complement dysregulation' can lead to autoimmune conditions such as systemic lupus erythematosus (SLE) and type 1 diabetes. In SLE reduced or malfunctional 'C4b' increases susceptibility to infections and triggers inappropriate immune responses. It can also correlate with the deficiency of related proteins like C2 which further impairs the complement system. These associations indicate that proper regulation of 'C4b' is essential for maintaining immune system stability and preventing overactive immune responses.

Product protocols

For this product, it's our understanding that no specific protocols are required. You can visit:

Target data

Non-enzymatic component of the C3 and C5 convertases and thus essential for the propagation of the classical complement pathway. Covalently binds to immunoglobulins and immune complexes and enhances the solubilization of immune aggregates and the clearance of IC through CR1 on erythrocytes. C4A isotype is responsible for effective binding to form amide bonds with immune aggregates or protein antigens, while C4B isotype catalyzes the transacylation of the thioester carbonyl group to form ester bonds with carbohydrate antigens.. Derived from proteolytic degradation of complement C4, C4a anaphylatoxin is a mediator of local inflammatory process. It induces the contraction of smooth muscle, increases vascular permeability and causes histamine release from mast cells and basophilic leukocytes.
See full target information C4B

Publications (6)

Recent publications for all applications. Explore the full list and refine your search

Journal of virology 99:e0180424 PubMed39846741

2025

Mitochondrial injury and complement dysregulation are drivers of pathological inflammation in viral myocarditis.

Applications

Unspecified application

Species

Unspecified reactive species

Yasir Mohamud,Amirhossein Bahreyni,Sinwoo Wendy Hwang,Jingfei Carly Lin,Zhihan Claire Wang,Jingchun Zhang,Honglin Luo

Journal of clinical periodontology 50:657-670 PubMed36632003

2023

Targeting therapeutic agent against C3b/C4b, SB002, on the inflammation-induced bone loss in experimental periodontitis.

Applications

Unspecified application

Species

Unspecified reactive species

Ren-Yeong Huang,Fang-Yi Tseng,Jhong-Jhe You,Thomas E Van Dyke,Chia-Dan Cheng,Cheng-En Sung,Pei-Wei Weng,Yi-Shing Shieh,Wan-Chien Cheng

Nature communications 14:473 PubMed36709213

2023

The classical pathway triggers pathogenic complement activation in membranous nephropathy.

Applications

Unspecified application

Species

Unspecified reactive species

Larissa Seifert,Gunther Zahner,Catherine Meyer-Schwesinger,Naemi Hickstein,Silke Dehde,Sonia Wulf,Sarah M S Köllner,Renke Lucas,Dominik Kylies,Sarah Froembling,Stephanie Zielinski,Oliver Kretz,Anna Borodovsky,Sergey Biniaminov,Yanyan Wang,Hong Cheng,Friedrich Koch-Nolte,Peter F Zipfel,Helmut Hopfer,Victor G Puelles,Ulf Panzer,Tobias B Huber,Thorsten Wiech,Nicola M Tomas

Neuron 105:975-991.e7 PubMed31926610

2020

Deep Multilayer Brain Proteomics Identifies Molecular Networks in Alzheimer's Disease Progression.

Applications

Unspecified application

Species

Unspecified reactive species

Bing Bai,Xusheng Wang,Yuxin Li,Ping-Chung Chen,Kaiwen Yu,Kaushik Kumar Dey,Jay M Yarbro,Xian Han,Brianna M Lutz,Shuquan Rao,Yun Jiao,Jeffrey M Sifford,Jonghee Han,Minghui Wang,Haiyan Tan,Timothy I Shaw,Ji-Hoon Cho,Suiping Zhou,Hong Wang,Mingming Niu,Ariana Mancieri,Kaitlynn A Messler,Xiaojun Sun,Zhiping Wu,Vishwajeeth Pagala,Anthony A High,Wenjian Bi,Hui Zhang,Hongbo Chi,Vahram Haroutunian,Bin Zhang,Thomas G Beach,Gang Yu,Junmin Peng

Cell host & microbe 25:617-629.e7 PubMed30926239

2019

Complement C4 Prevents Viral Infection through Capsid Inactivation.

Applications

Unspecified application

Species

Unspecified reactive species

Maria Bottermann,Stian Foss,Sarah L Caddy,Dean Clift,Laurens M van Tienen,Marina Vaysburd,James Cruickshank,Kevin O'Connell,Jessica Clark,Keith Mayes,Katie Higginson,Heidrun E Lode,Martin B McAdam,Inger Sandlie,Jan Terje Andersen,Leo C James

Experimental eye research 172:21-29 PubMed29580721

2018

Quantitative analysis of hydroxyapatite-binding plasma proteins in genotyped individuals with late-stage age-related macular degeneration.

Applications

Unspecified application

Species

Unspecified reactive species

Swati Arya,Eszter Emri,Silvia A Synowsky,Sally L Shirran,Neda Barzegar-Befroei,Tunde Peto,Catherine H Botting,Imre Lengyel,Alan J Stewart
View all publications

Product promise

We are committed to supporting your work with high-quality reagents, and we're here for you every step of the way. In the unlikely event that one of our products does not perform as expected, you're protected by our Product Promise.
For full details, please see our Terms & Conditions

Please note: All products are 'FOR RESEARCH USE ONLY. NOT FOR USE IN DIAGNOSTIC OR THERAPEUTIC PROCEDURES'.

For licensing inquiries, please contact partnerships@abcam.com