JavaScript is disabled in your browser. Please enable JavaScript to view this website.
AB251309

Anti-C4BPA antibody [EPR14780] - BSA and Azide free

Be the first to review this product! Submit a review

|

(1 Publication)

Rabbit Recombinant Monoclonal C4BPA antibody. Carrier free. Suitable for WB, IHC-P and reacts with Human samples. Cited in 1 publication.

View Alternative Names

C4BP, C4BPA, C4b-binding protein alpha chain, C4bp, Proline-rich protein, PRP

4 Images
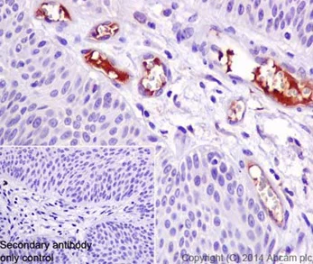
Immunohistochemistry (Formalin/PFA-fixed paraffin-embedded sections) - Anti-C4BPA antibody [EPR14780] - BSA and Azide free (AB251309)
  • IHC-P

Supplier Data

Immunohistochemistry (Formalin/PFA-fixed paraffin-embedded sections) - Anti-C4BPA antibody [EPR14780] - BSA and Azide free (AB251309)

This data was developed using ab200345, the same antibody clone in a different buffer formulation.

Immunohistochemical analysis of paraffin-embedded Human transitional cell carcinoma of bladder tissue labeling C4BPA using ab200345 at 1/100 dilution. A Goat Anti-Rabbit IgG H&L (HRP) (ab97051) was used as secondary at 1/500 dilution. Counterstain : Hematoxylin.
Inset image : negative control obtained using PBS instead of ab200345 and secondary antibody only.
Note : Plasma staining on human transitional cell carcinoma of bladder tissue was observed.

Perform heat mediated antigen retrieval with Tris/EDTA buffer pH 9.0 before commencing with IHC staining protocol.

Immunohistochemistry (Formalin/PFA-fixed paraffin-embedded sections) - Anti-C4BPA antibody [EPR14780] - BSA and Azide free (AB251309)
  • IHC-P

Supplier Data

Immunohistochemistry (Formalin/PFA-fixed paraffin-embedded sections) - Anti-C4BPA antibody [EPR14780] - BSA and Azide free (AB251309)

This data was developed using ab200345, the same antibody clone in a different buffer formulation.

Immunohistochemical analysis of paraffin-embedded Human skeletal muscle tissue labeling C4BPA using ab200345 at 1/100 dilution. A Goat Anti-Rabbit IgG H&L (HRP) (ab97051) was used as secondary at 1/500 dilution. Counterstain : Hematoxylin.
Inset image : negative control obtained using PBS instead of ab200345 and secondary antibody only.
Note : No staining on human skeletal muscle tissue was observed.

Perform heat mediated antigen retrieval with Tris/EDTA buffer pH 9.0 before commencing with IHC staining protocol.

Western blot - Anti-C4BPA antibody [EPR14780] - BSA and Azide free (AB251309)
  • WB

Supplier Data

Western blot - Anti-C4BPA antibody [EPR14780] - BSA and Azide free (AB251309)

This data was developed using ab200345, the same antibody clone in a different buffer formulation.

Blocking and dilution buffer : 5% NFDM/TBST.

All lanes:

Western blot - Anti-C4BPA antibody [EPR14780] (<a href='/en-us/products/primary-antibodies/c4bpa-antibody-epr14780-ab200345'>ab200345</a>) at 1/5000 dilution

All lanes:

Human plasma lysate at 20 µg

Secondary

All lanes:

Anti-Rabbit IgG (HRP), specific to the non-reduced form of IgG at 1/1000 dilution

Predicted band size: 11 kDa,41 kDa,57 kDa,58 kDa,67 kDa

Observed band size: 11 kDa,57 kDa,58 kDa,67 kDa

false

Exposure time: 30s

Western blot - Anti-C4BPA antibody [EPR14780] - BSA and Azide free (AB251309)
  • WB

Supplier Data

Western blot - Anti-C4BPA antibody [EPR14780] - BSA and Azide free (AB251309)

This data was developed using ab200345, the same antibody clone in a different buffer formulation.

Blocking and dilution buffer : 5% NFDM/TBST.

All lanes:

Western blot - Anti-C4BPA antibody [EPR14780] (<a href='/en-us/products/primary-antibodies/c4bpa-antibody-epr14780-ab200345'>ab200345</a>) at 1/5000 dilution

Lane 1:

Human fetal liver tissue lysate at 20 µg

Lane 2:

Human fetal kidney tissue lysate at 20 µg

Lane 3:

HepG2 (Human liver hepatocellular carcinoma) whole cell lysate at 20 µg

Lane 4:

HeLa (Human epithelial cells from cervix adenocarcinoma) whole cell lysate at 20 µg

Secondary

All lanes:

Anti-Rabbit IgG (HRP), specific to the non-reduced form of IgG at 1/1000 dilution

Predicted band size: 67 kDa

Observed band size: 67 kDa

false

Exposure time: 30s

Key facts

Host species

Rabbit

Clonality

Monoclonal

Clone number

EPR14780

Isotype

IgG

Carrier free

Yes

Reacts with

Human

Applications

IHC-P, WB

applications

Immunogen

The exact immunogen used to generate this antibody is proprietary information.

Reactivity data

{ "title": "Reactivity Data", "filters": { "stats": ["", "Species", "Dilution Info", "Notes"], "tabs": { "all-applications": {"fullname" : "All Applications", "shortname": "All Applications"}, "WB" : {"fullname" : "Western blot", "shortname":"WB"}, "IHCP" : {"fullname" : "Immunohistochemistry (Formalin/PFA-fixed paraffin-embedded sections)", "shortname":"IHC-P"} }, "product-promise": { "all": "all", "testedAndGuaranteed": "tested", "guaranteed": "expected", "predicted": "predicted", "notRecommended": "not-recommended" } }, "values": { "Human": { "WB-species-checked": "testedAndGuaranteed", "WB-species-dilution-info": "", "WB-species-notes": "<p></p>", "IHCP-species-checked": "testedAndGuaranteed", "IHCP-species-dilution-info": "", "IHCP-species-notes": "<p></p>" } } }

Product details

ab251309 is the carrier-free version of ab200345.

Patented technology
Our RabMAb® technology is a patented hybridoma-based technology for making rabbit monoclonal antibodies. For details on our patents, please refer to RabMAb® patents.

What are the advantages of a recombinant monoclonal antibody?
This product is a recombinant monoclonal antibody, which offers several advantages including:

  • - High batch-to-batch consistency and reproducibility
  • - Improved sensitivity and specificity
  • - Long-term security of supply
  • - Animal-free batch production

For more information, read more on recombinant antibodies.

Conjugation ready
Our carrier-free antibodies are typically supplied in a PBS-only formulation, purified and free of BSA, sodium azide and glycerol. This conjugation-ready format is designed for use with fluorochromes, metal isotopes, oligonucleotides, and enzymes, which makes them ideal for antibody labelling, functional and cell-based assays, flow-based assays (e.g. mass cytometry) and Multiplex Imaging applications.

Use our conjugation kits for antibody conjugates that are ready-to-use in as little as 20 minutes with 1 minute hands-on-time and 100% antibody recovery: available for fluorescent dyes, HRP, biotin and gold.

Compatibility
This product is compatible with the Maxpar® Antibody Labeling Kit from Fluidigm, without the need for antibody preparation. Maxpar® is a trademark of Fluidigm Canada Inc.

Properties and storage information

Form
Liquid
Purification technique
Affinity purification Protein A
Storage buffer
pH: 7.2 - 7.4 Constituents: PBS
Shipped at conditions
Blue Ice
Appropriate short-term storage conditions
+4°C
Appropriate long-term storage conditions
+4°C
Storage information
Do Not Freeze

Supplementary information

This supplementary information is collated from multiple sources and compiled automatically.

C4BPA also known as C4b-binding protein alpha chain is an important component in the immune system. It has a molecular mass of approximately 570 kDa. This protein is mainly expressed in the liver and is secreted into the plasma. C4BPA functions by binding to complement component 4b which is a part of the complement system responsible for managing immune responses and clearing pathogens.
Biological function summary

C4BPA plays a significant role in the regulation of the complement cascade specifically the classical and lectin pathways. It acts as a cofactor for factor I-mediated cleavage of C4b thereby inhibiting the progression of the complement activation. C4BPA forms a complex with other proteins such as C4BPB and this complex is essential for regulating the complement system and preventing damage to host cells.

Pathways

C4BPA is deeply involved in both the classical and lectin complement pathways. These pathways are important for antigen clearance and inflammation. C4BPA works together with proteins like complement component 3 (C3) to efficiently regulate these pathways preventing excessive complement activation. It associates with downstream effectors maintaining balance in immune defense mechanisms and inflammation control.

C4BPA shows significant connections to autoimmune diseases and infections. Deficiencies or malfunctions in C4BPA can lead to conditions such as systemic lupus erythematosus where its regulatory role on complement activation becomes compromised. In infections C4BPA interacts with proteins like factor H playing a role in modulating host responses to prevent tissue damage. Understanding the interactions and regulatory processes involving C4BPA is important for developing therapeutic strategies for these conditions.

Product protocols

For this product, it's our understanding that no specific protocols are required. You can visit:

Target data

Controls the classical pathway of complement activation. It binds as a cofactor to C3b/C4b inactivator (C3bINA), which then hydrolyzes the complement fragment C4b. It also accelerates the degradation of the C4bC2a complex (C3 convertase) by dissociating the complement fragment C2a. Alpha chain binds C4b. It interacts also with anticoagulant protein S and with serum amyloid P component.
See full target information C4BPA

Publications (1)

Recent publications for all applications. Explore the full list and refine your search

Nutrients 16: PubMed38732558

2024

Differential Modulation by Eicosapentaenoic Acid (EPA) and Docosahexaenoic Acid (DHA) of Mesenteric Fat and Macrophages and T Cells in Adipose Tissue of Obese / Zucker Rats.

Applications

Unspecified application

Species

Unspecified reactive species

Lena Hong,Peter Zahradka,Carla G Taylor
View all publications

Product promise

We are committed to supporting your work with high-quality reagents, and we're here for you every step of the way. In the unlikely event that one of our products does not perform as expected, you're protected by our Product Promise.
For full details, please see our Terms & Conditions

Please note: All products are 'FOR RESEARCH USE ONLY. NOT FOR USE IN DIAGNOSTIC OR THERAPEUTIC PROCEDURES'.

For licensing inquiries, please contact partnerships@abcam.com