JavaScript is disabled in your browser. Please enable JavaScript to view this website.
AB87424

Anti-C4d antibody

Be the first to review this product! Submit a review

|

(3 Publications)

Anti-C4d antibody (ab87424) is a rabbit polyclonal antibody detecting C4d in Western Blot, IHC-P, ICC/IF. Suitable for Human.

- Trusted since 2009

View Alternative Names

CO4, CPAMD3, C4B_2, Complement C4-B, Basic complement C4, C3 and PZP-like alpha-2-macroglobulin domain-containing protein 3

3 Images
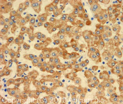
Immunohistochemistry (Formalin/PFA-fixed paraffin-embedded sections) - Anti-C4d antibody (AB87424)
  • IHC-P

Unknown

Immunohistochemistry (Formalin/PFA-fixed paraffin-embedded sections) - Anti-C4d antibody (AB87424)

IHC image of C4d staining in human liver carcinoma formalin fixed paraffin embedded tissue section, performed on a Leica BondTM system using the standard protocol F. The section was pre-treated using heat mediated antigen retrieval with sodium citrate buffer (pH6, epitope retrieval solution 1) for 20 mins. The section was then incubated with ab87424, 5µg/ml, for 15 mins at room temperature and detected using an HRP conjugated compact polymer system. DAB was used as the chromogen. The section was then counterstained with haematoxylin and mounted with DPX.

Immunocytochemistry/ Immunofluorescence - Anti-C4d antibody (AB87424)
  • ICC/IF

Unknown

Immunocytochemistry/ Immunofluorescence - Anti-C4d antibody (AB87424)

ICC image of ab87424 stained HepG2 cells. The cells were 100% Methanol fixed (5 min) and then incubated in 1%BSA / 10% normal Goat serum / 0.3M glycine in 0.1% PBS-Tween for 1h to permeabilise the cells and block non-specific protein-protein interactions. The cells were then incubated with the antibody (ab87424, 5μg/ml) overnight at +4°C. The secondary antibody (green) was Alexa Fluor® 488 Goat anti-Rabbit IgG (H+L) used at a 1/1000 dilution for 1h. Alexa Fluor® 594 WGA was used to label plasma membranes (red) at a 1/200 dilution for 1h. DAPI was used to stain the cell nuclei (blue) at a concentration of 1.43μM. This antibody also gave a positive result in 100% Methanol fixed (5 min) HeLa, and MCF-7 cells at 5μg/ml.

Western blot - Anti-C4d antibody (AB87424)
  • WB

Unknown

Western blot - Anti-C4d antibody (AB87424)

C4d circulates in blood as a disulfide-linked trimer of an alpha, beta and gamma chain. Our immunogen sequence is within the alpha chain. The band at 85kDa could correspond to the alpha chain.

All lanes:

Western blot - Anti-C4d antibody (ab87424) at 1 µg/mL

All lanes:

Human Plasma Total Protein Lysate (ab83997) at 10 µg

Secondary

All lanes:

Goat polyclonal to Rabbit IgG - H&L - Pre-Adsorbed (HRP) (ab65484) at 1/3000 dilution

Predicted band size: 193 kDa

Observed band size: 110 kDa,130 kDa,193 kDa,30 kDa,48 kDa,85 kDa

true

Exposure time: 30s

Key facts

Host species

Rabbit

Clonality

Polyclonal

Isotype

IgG

Carrier free

No

Reacts with

Human

Applications

WB, ICC/IF, IHC-P

applications

Immunogen

The exact immunogen used to generate this antibody is proprietary information.

Reactivity data

{ "title": "Reactivity Data", "filters": { "stats": ["", "Species", "Dilution Info", "Notes"], "tabs": { "all-applications": {"fullname" : "All Applications", "shortname": "All Applications"}, "IHCP" : {"fullname" : "Immunohistochemistry (Formalin/PFA-fixed paraffin-embedded sections)", "shortname":"IHC-P"}, "WB" : {"fullname" : "Western blot", "shortname":"WB"}, "ICCIF" : {"fullname" : "Immunocytochemistry/ Immunofluorescence", "shortname":"ICC/IF"} }, "product-promise": { "all": "all", "testedAndGuaranteed": "tested", "guaranteed": "expected", "predicted": "predicted", "notRecommended": "not-recommended" } }, "values": { "Human": { "IHCP-species-checked": "testedAndGuaranteed", "IHCP-species-dilution-info": "5 µg/mL", "IHCP-species-notes": "<p></p> Perform heat-mediated antigen retrieval before commencing with IHC staining protocol.", "WB-species-checked": "testedAndGuaranteed", "WB-species-dilution-info": "1 µg/mL", "WB-species-notes": "<p></p>", "ICCIF-species-checked": "testedAndGuaranteed", "ICCIF-species-dilution-info": "5 µg/mL", "ICCIF-species-notes": "<p></p>" } } }

Product details

What is this antibody validated in?
Anti-C4d antibody (ab87424) is a rabbit polyclonal antibody and is validated for use in Western Blot (WB), Immunohistochemistry (IHC-P), Immunocytochemistry/immunofluorescence (ICC/IF) in Human samples.

What is the molecular weight of C4d?
Anti-C4d (ab87424) specifically detects a band for C4d (UniProt: P0C0L4) at a molecular weight of 193kDa.

Properties and storage information

Form
Liquid
Purification technique
Affinity purification Immunogen
Storage buffer
pH: 7.4 Preservative: 0.02% Sodium azide Constituents: PBS, 1% BSA
Shipped at conditions
Blue Ice
Appropriate short-term storage duration
1-2 weeks
Appropriate short-term storage conditions
+4°C
Appropriate long-term storage conditions
-20°C
Aliquoting information
Upon delivery aliquot
Storage information
Avoid freeze / thaw cycle

Supplementary information

This supplementary information is collated from multiple sources and compiled automatically.

C4d also known as the C4d complement is a degradation product of the complement component C4. It has a molecular weight of approximately 45 kDa. This protein is commonly expressed on the surfaces of endothelial cells in various tissues where it plays a role in the immune response. The presence of C4d on tissues is often detected using techniques like immunohistochemistry (IHC) also referred to as C4d IHC or C4d immunostain providing valuable insights into complement activation.
Biological function summary

The C4d protein acts as a marker for complement activation and is part of the larger complement cascade. C4d is primarily associated with the classical pathway and serves as an indicator of complement-mediated cell injury. The degradation of C4 into C4d is usually seen in immune responses where antibodies recognize antigens triggering sequence activation in the complement pathway. C4d's role as a marker facilitates the differentiation between antibody-mediated injury and other types of tissue damage.

Pathways

This complement protein gets involved in the classical pathway of the complement system which plays a critical role in innate and adaptive immunity. It is related to other proteins like C3 and C1q which are additional components within this pathway. These interactions are significant for the clearance of pathogens and also assist in enhancing the humoral immune response by promoting the deposition of complement on pathogenic surfaces.

C4d presence becomes particularly significant in conditions like transplant rejection and systemic lupus erythematosus (SLE). In transplant rejection its deposition on tissue samples might indicate antibody-mediated rejection where C4d binds to the tissue signaling an immune response against the transplanted organ. Additionally in SLE C4d's relation to other proteins such as C3 and C1q confirms its involvement in autoimmune responses where the immune system mistakenly targets the body's own tissues leading to chronic inflammation and damage.

Product protocols

For this product, it's our understanding that no specific protocols are required. You can visit:

Target data

Non-enzymatic component of the C3 and C5 convertases and thus essential for the propagation of the classical complement pathway. Covalently binds to immunoglobulins and immune complexes and enhances the solubilization of immune aggregates and the clearance of IC through CR1 on erythrocytes. C4A isotype is responsible for effective binding to form amide bonds with immune aggregates or protein antigens, while C4B isotype catalyzes the transacylation of the thioester carbonyl group to form ester bonds with carbohydrate antigens.. Derived from proteolytic degradation of complement C4, C4a anaphylatoxin is a mediator of local inflammatory process. It induces the contraction of smooth muscle, increases vascular permeability and causes histamine release from mast cells and basophilic leukocytes.
See full target information C4B

Additional targets

C4B

Publications (3)

Recent publications for all applications. Explore the full list and refine your search

Histochemistry and cell biology 163:76 PubMed40658268

2025

Differentiation to insulin-positive cells from human amnion epithelial cells using a pancreatic development mimicry protocol.

Applications

Unspecified application

Species

Unspecified reactive species

Daniel Martínez-Rodríguez,Jonathan Salazar-Alonso,Axel Castro-Abrego,Daniela Ávila-González,Omar Martínez-Alarcón,Anayansi Molina-Hernández,Alejandro Martínez-Juárez,Héctor Salvador Godoy-Morales,Diana Elizabeth Lara-Barragán,Wendy Portillo,Nestor Emmanuel Díaz-Martínez,Guadalupe García-López,Nestor Fabián Díaz

European thyroid journal 13: PubMed39316722

2024

IgG4 glycosylation contributes to the pathogenesis of IgG4 Hashimoto's thyroiditis via the complement pathway.

Applications

Unspecified application

Species

Unspecified reactive species

Chenxu Zhao,Zhiming Sun,Shuaihang Wang,Jixin Zhang,Jumei Liu,Lei Chen,Guizhi Lu,Yang Yu,Ying Gao

FASEB journal : official publication of the Federa 33:12723-12734 PubMed31469600

2019

Combining MAP-1:CD35 or MAP-1:CD55 fusion proteins with pattern-recognition molecules as novel targeted modulators of the complement cascade.

Applications

Unspecified application

Species

Unspecified reactive species

Laura Pérez-Alós,Rafael Bayarri-Olmos,Mikkel-Ole Skjoedt,Peter Garred
View all publications

Product promise

We are committed to supporting your work with high-quality reagents, and we're here for you every step of the way. In the unlikely event that one of our products does not perform as expected, you're protected by our Product Promise.
For full details, please see our Terms & Conditions

Please note: All products are 'FOR RESEARCH USE ONLY. NOT FOR USE IN DIAGNOSTIC OR THERAPEUTIC PROCEDURES'.

For licensing inquiries, please contact partnerships@abcam.com