JavaScript is disabled in your browser. Please enable JavaScript to view this website.
AB187278

Anti-C4d antibody [C4D204]

Be the first to review this product! Submit a review

|

(1 Publication)

Mouse Monoclonal C4A antibody. Suitable for IHC-P and reacts with Human samples. Cited in 1 publication. Immunogen corresponding to Recombinant Full Length Protein corresponding to Human C4A.

View Alternative Names

CO4, CPAMD2, Complement C4-A, Acidic complement C4, C3 and PZP-like alpha-2-macroglobulin domain-containing protein 2

3 Images
Immunohistochemistry (Formalin/PFA-fixed paraffin-embedded sections) - Anti-C4d antibody [C4D204] (AB187278)
  • IHC-P

Supplier Data

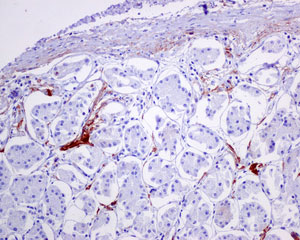
Immunohistochemistry (Formalin/PFA-fixed paraffin-embedded sections) - Anti-C4d antibody [C4D204] (AB187278)

Immunohistochemical analysis of formalin-fixed, paraffin-embedded kidney transplant tissue labeling C4d with ab187278 at 1/100 dilution for 30 minutes at RT.

Immunohistochemistry (Formalin/PFA-fixed paraffin-embedded sections) - Anti-C4d antibody [C4D204] (AB187278)
  • IHC-P

Supplier Data

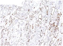
Immunohistochemistry (Formalin/PFA-fixed paraffin-embedded sections) - Anti-C4d antibody [C4D204] (AB187278)

Immunohistochemical analysis of formalin-fixed, paraffin-embedded kidney transplant tissue labeling C4d with ab187278 at 1/100 dilution for 30 minutes at RT.

Immunohistochemistry (Formalin/PFA-fixed paraffin-embedded sections) - Anti-C4d antibody [C4D204] (AB187278)
  • IHC-P

Supplier Data

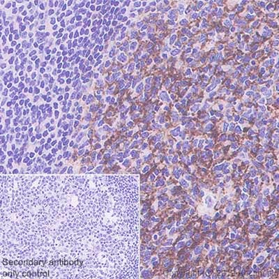
Immunohistochemistry (Formalin/PFA-fixed paraffin-embedded sections) - Anti-C4d antibody [C4D204] (AB187278)

Immunohistochemical analysis of formalin-fixed, paraffin-embedded kidney transplant tissue labeling C4d with ab187278 at 1/100 dilution for 30 minutes at RT.

Key facts

Host species

Mouse

Clonality

Monoclonal

Clone number

C4D204

Isotype

IgG1

Light chain type

kappa

Carrier free

No

Reacts with

Human

Applications

IHC-P

applications

Immunogen

Recombinant Full Length Protein corresponding to Human C4A.

P0C0L4

Reactivity data

{ "title": "Reactivity Data", "filters": { "stats": ["", "Species", "Dilution Info", "Notes"], "tabs": { "all-applications": {"fullname" : "All Applications", "shortname": "All Applications"}, "IHCP" : {"fullname" : "Immunohistochemistry (Formalin/PFA-fixed paraffin-embedded sections)", "shortname":"IHC-P"} }, "product-promise": { "all": "all", "testedAndGuaranteed": "tested", "guaranteed": "expected", "predicted": "predicted", "notRecommended": "not-recommended" } }, "values": { "Human": { "IHCP-species-checked": "testedAndGuaranteed", "IHCP-species-dilution-info": "1/100 - 1/200", "IHCP-species-notes": "<p></p> Perform heat-mediated antigen retrieval with Tris/EDTA buffer pH 9.0 before commencing with IHC staining protocol." } } }

Properties and storage information

Form
Liquid
Purification technique
Affinity purification Protein G
Purification notes
Bioreactor concentrate
Storage buffer
pH: 7.2 - 7.4 Preservative: 0.05% Sodium azide Constituents: PBS, 0.05% BSA
Shipped at conditions
Blue Ice
Appropriate short-term storage duration
1-2 weeks
Appropriate short-term storage conditions
+4°C
Appropriate long-term storage conditions
-20°C
Aliquoting information
Upon delivery aliquot
Storage information
Avoid freeze / thaw cycle

Product protocols

For this product, it's our understanding that no specific protocols are required. You can visit:

Target data

Non-enzymatic component of C3 and C5 convertases and thus essential for the propagation of the classical complement pathway. Covalently binds to immunoglobulins and immune complexes and enhances the solubilization of immune aggregates and the clearance of IC through CR1 on erythrocytes. C4A isotype is responsible for effective binding to form amide bonds with immune aggregates or protein antigens, while C4B isotype catalyzes the transacylation of the thioester carbonyl group to form ester bonds with carbohydrate antigens.. Derived from proteolytic degradation of complement C4, C4a anaphylatoxin is a mediator of local inflammatory process. It induces the contraction of smooth muscle, increases vascular permeability and causes histamine release from mast cells and basophilic leukocytes.
See full target information C4A

Publications (1)

Recent publications for all applications. Explore the full list and refine your search

The American journal of pathology 192:564-578 PubMed34954207

2021

Apolipoprotein E Proteinopathy Is a Major Dementia-Associated Pathologic Biomarker in Individuals with or without the APOE Epsilon 4 Allele.

Applications

Unspecified application

Species

Unspecified reactive species

Jozsef Gal,Yuriko Katsumata,Haining Zhu,Sukanya Srinivasan,Jing Chen,Lance Allen Johnson,Wang-Xia Wang,Lesley Renee Golden,Donna M Wilcock,Gregory A Jicha,Matthew D Cykowski,Peter Tobias Nelson
View all publications

Product promise

We are committed to supporting your work with high-quality reagents, and we're here for you every step of the way. In the unlikely event that one of our products does not perform as expected, you're protected by our Product Promise.
For full details, please see our Terms & Conditions

Please note: All products are 'FOR RESEARCH USE ONLY. NOT FOR USE IN DIAGNOSTIC OR THERAPEUTIC PROCEDURES'.

For licensing inquiries, please contact partnerships@abcam.com