JavaScript is disabled in your browser. Please enable JavaScript to view this website.
AB223071

Anti-C4orf26 antibody

Be the first to review this product! Submit a review

|

(1 Publication)

Rabbit Polyclonal C4orf26 antibody. Suitable for IHC-P and reacts with Human samples. Cited in 1 publication. Immunogen corresponding to Recombinant Fragment Protein within Human ODAPH aa 1 to C-terminus.

View Alternative Names

C4orf26, ODAPH, Odontogenesis associated phosphoprotein

2 Images
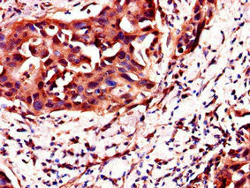
Immunohistochemistry (Formalin/PFA-fixed paraffin-embedded sections) - Anti-C4orf26 antibody (AB223071)
  • IHC-P

Supplier Data

Immunohistochemistry (Formalin/PFA-fixed paraffin-embedded sections) - Anti-C4orf26 antibody (AB223071)

Paraffin-embedded human bladder cancer tissue stained for C4orf26 using ab223071 at 1/100 dilution in immunohistochemical analysis.

Immunohistochemistry (Formalin/PFA-fixed paraffin-embedded sections) - Anti-C4orf26 antibody (AB223071)
  • IHC-P

Supplier Data

Immunohistochemistry (Formalin/PFA-fixed paraffin-embedded sections) - Anti-C4orf26 antibody (AB223071)

Paraffin-embedded human placenta tissue stained for C4orf26 using ab223071 at 1/100 dilution in immunohistochemical analysis.

Key facts

Host species

Rabbit

Clonality

Polyclonal

Isotype

IgG

Carrier free

No

Reacts with

Human

Applications

IHC-P

applications

Immunogen

Recombinant Fragment Protein within Human ODAPH aa 1 to C-terminus. The exact immunogen used to generate this antibody is proprietary information.

Q17RF5

Reactivity data

{ "title": "Reactivity Data", "filters": { "stats": ["", "Species", "Dilution Info", "Notes"], "tabs": { "all-applications": {"fullname" : "All Applications", "shortname": "All Applications"}, "IHCP" : {"fullname" : "Immunohistochemistry (Formalin/PFA-fixed paraffin-embedded sections)", "shortname":"IHC-P"} }, "product-promise": { "all": "all", "testedAndGuaranteed": "tested", "guaranteed": "expected", "predicted": "predicted", "notRecommended": "not-recommended" } }, "values": { "Human": { "IHCP-species-checked": "testedAndGuaranteed", "IHCP-species-dilution-info": "1/20 - 1/200", "IHCP-species-notes": "<p></p>" } } }

Properties and storage information

Form
Liquid
Purification technique
Affinity purification Protein G
Purification notes
Purity >95%
Storage buffer
pH: 7.4 Preservative: 0.03% Proclin 300 Constituents: PBS, 50% Glycerol (glycerin, glycerine)
Shipped at conditions
Blue Ice
Appropriate short-term storage duration
1-2 weeks
Appropriate short-term storage conditions
+4°C
Appropriate long-term storage conditions
-20°C
Aliquoting information
Upon delivery aliquot
Storage information
Avoid freeze / thaw cycle

Supplementary information

This supplementary information is collated from multiple sources and compiled automatically.

C4orf26 also known as Chromosome 4 Open Reading Frame 26 is a relatively small protein with an estimated mass of approximately 110 kDa. This protein appears in various tissues but shows significant expression in tooth-related tissues. Researchers have noted its involvement in teeth development suggesting a specialized role in dental structures. Understanding C4orf26's mechanical function can help shed light on its broader biological role.
Biological function summary

C4orf26 participates in enamel formation critical for tooth health. C4orf26 functions within the cells that contribute to enamel mineralization assisting in the proper deposition and alignment of enamel crystals. It is not recognized as a part of any larger protein complex and acts independently in its function within the enamel matrix. This unique functionality allows it to directly influence the physical characteristics of teeth.

Pathways

C4orf26 engages within the pathways controlling mineralized tissue formation. It works alongside other proteins including amelogenin (AMELX) and ameloblastin (AMBN) in the pathway responsible for tooth enamel development. Additionally its expression appears connected to factors involved in biomineralization pathways which include other structural proteins that orchestrate the complex process of hard tissue generation in the body.

C4orf26 mutations have links to amelogenesis imperfecta a disorder impacting enamel formation leading to defective and discolored teeth. Amelogenesis imperfecta ties C4orf26 to other enamel proteins such as enamelin (ENAM) which when mutated can result in similar dental anomalies. These associations emphasize the importance of C4orf26 in maintaining enamel integrity and suggest that any disruptions in this protein could lead to significant dental health issues.

Product protocols

For this product, it's our understanding that no specific protocols are required. You can visit:

Target data

May promote nucleation of hydroxyapatite.
See full target information ODAPH

Publications (1)

Recent publications for all applications. Explore the full list and refine your search

Calcified tissue international 109:445-454 PubMed33884476

2021

Molecular Cloning of Mouse Homologue of Enamel Protein C4orf26 and Its Phosphorylation by FAM20C.

Applications

Unspecified application

Species

Unspecified reactive species

Nattanan Govitvattana,Masaru Kaku,Yoshio Ohyama,Haytham Jaha,I-Ping Lin,Hanna Mochida,Prasit Pavasant,Yoshiyuki Mochida
View all publications

Product promise

We are committed to supporting your work with high-quality reagents, and we're here for you every step of the way. In the unlikely event that one of our products does not perform as expected, you're protected by our Product Promise.
For full details, please see our Terms & Conditions

Please note: All products are 'FOR RESEARCH USE ONLY. NOT FOR USE IN DIAGNOSTIC OR THERAPEUTIC PROCEDURES'.

For licensing inquiries, please contact partnerships@abcam.com