JavaScript is disabled in your browser. Please enable JavaScript to view this website.
AB275933

Anti-C5 / C5b antibody [EPR23940-3] - BSA and Azide free

  • BOND RX™ Validated
  • KO Validated
  • RabMAb
  • Recombinant
  • What is this?

Be the first to review this product! Submit a review

|

(1 Publication)

Rabbit Recombinant Monoclonal C5 antibody. Carrier free. Suitable for IHC-P, WB and reacts with Mouse, Rat, Human samples. Cited in 1 publication.

View Alternative Names

CPAMD4, C5, Complement C5, C3 and PZP-like alpha-2-macroglobulin domain-containing protein 4

6 Images
Immunohistochemistry (Formalin/PFA-fixed paraffin-embedded sections) - Anti-C5 / C5b antibody [EPR23940-3] - BSA and Azide free (AB275933)
  • IHC-P

Unknown

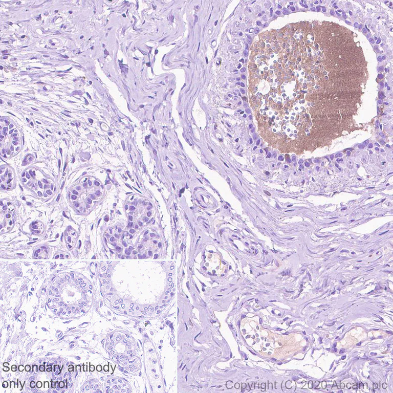
Immunohistochemistry (Formalin/PFA-fixed paraffin-embedded sections) - Anti-C5 / C5b antibody [EPR23940-3] - BSA and Azide free (AB275933)

This data was developed using ab275931, the same antibody clone in a different buffer formulation.

Immunohistochemical analysis of paraffin-embedded human breast tissue labeling C5/C5b with ab275931 at 1/4000 dilution followed by a ready to use Rabbit specific IHC polymer detection kit HRP/DAB (ab209101). Positive staining on plasma of human breast. The section was incubated with ab275931 for 30 mins at room temperature. The immunostaining was performed on a Leica Biosystems BOND® RX instrument. Counterstained with Hematoxylin.

Secondary antibody only control : Secondary antibody is a ready to use Rabbit specific IHC polymer detection kit HRP/DAB (ab209101).

Heat mediated antigen retrieval with Tris-EDTA buffer (pH 9.0, epitope retrieval solution2) for 20 mins.

Immunohistochemistry (Formalin/PFA-fixed paraffin-embedded sections) - Anti-C5 / C5b antibody [EPR23940-3] - BSA and Azide free (AB275933)
  • IHC-P

Unknown

Immunohistochemistry (Formalin/PFA-fixed paraffin-embedded sections) - Anti-C5 / C5b antibody [EPR23940-3] - BSA and Azide free (AB275933)

This data was developed using ab275931, the same antibody clone in a different buffer formulation.

Immunohistochemical analysis of paraffin-embedded human liver tissue labeling C5/C5b with ab275931 at 1/4000 dilution followed by a ready to use Rabbit specific IHC polymer detection kit HRP/DAB (ab209101). Positive staining on human liver. The section was incubated with ab275931 for 30 mins at room temperature. The immunostaining was performed on a Leica Biosystems BOND® RX instrument. Counterstained with Hematoxylin.

Secondary antibody only control : Secondary antibody is a ready to use Rabbit specific IHC polymer detection kit HRP/DAB (ab209101).

Heat mediated antigen retrieval with Tris-EDTA buffer (pH 9.0, epitope retrieval solution2) for 20 mins.

Western blot - Anti-C5 / C5b antibody [EPR23940-3] - BSA and Azide free (AB275933)
  • WB

Lab

Western blot - Anti-C5 / C5b antibody [EPR23940-3] - BSA and Azide free (AB275933)

False colour image of Western blot : Anti-C5 / C5b antibody [EPR23940-3] staining at 1/1000 dilution, shown in green; Mouse anti-GAPDH antibody [6C5] (ab8245) loading control staining at 1/20000 dilution, shown in red. In Western blot, ab275931 was shown to bind specifically to C5 / C5b. First, samples were run on an SDS-PAGE gel then transferred onto a nitrocellulose membrane. Membranes were blocked in 3 % milk in TBS-0.1 % Tween® 20 (TBS-T) before incubation with primary antibodies overnight at 4 °C. Blots were washed four times in TBS-T, incubated with secondary antibodies for 1 h at room temperature, washed again four times then imaged. Secondary antibodies used were Goat anti-Rabbit IgG H&L (IRDye® 800CW) preabsorbed (ab216773) and Goat anti-Mouse IgG H&L (IRDye® 680RD) preabsorbed (ab216776) at 1/20000 dilution.

All lanes:

Western blot - Anti-C5 / C5b antibody [EPR23940-3] (<a href='/en-us/products/primary-antibodies/c5-c5b-antibody-epr23940-3-ab275931'>ab275931</a>) at 1/1000 dilution

Lane 1:

HepG2 cell lysate at 20 µg

Lane 2:

U-2 OS cell lysate at 20 µg

Predicted band size: 188 kDa

Observed band size: 165-180 kDa

false

Western blot - Anti-C5 / C5b antibody [EPR23940-3] - BSA and Azide free (AB275933)
  • WB

Lab

Western blot - Anti-C5 / C5b antibody [EPR23940-3] - BSA and Azide free (AB275933)

This data was developed using ab275931, the same antibody clone in a different buffer formulation.

Blocking and diluting buffer and concentration : 5% NFDM/TBST.

Samples are non-boiled as boiling may cause protein aggregates.

The molecular weight observed is consistent with what has been described in the literature (PMID : 24071736, 23401592, 25387724)

Exposure time : 59 seconds.

All lanes:

Western blot - Anti-C5 / C5b antibody [EPR23940-3] (<a href='/en-us/products/primary-antibodies/c5-c5b-antibody-epr23940-3-ab275931'>ab275931</a>) at 1/1000 dilution

Lane 1:

Human plasma at 10 µg

Lane 2:

Human liver tissue lysate at 40 µg

Secondary

All lanes:

Goat Anti-Rabbit IgG (HRP) with minimal cross-reactivity with human IgG at 1/2000 dilution

Predicted band size: 188 kDa

Observed band size: 190 kDa,70 kDa

false

Western blot - Anti-C5 / C5b antibody [EPR23940-3] - BSA and Azide free (AB275933)
  • WB

Lab

Western blot - Anti-C5 / C5b antibody [EPR23940-3] - BSA and Azide free (AB275933)

This data was developed using ab275931, the same antibody clone in a different buffer formulation.

Western blot : Rabbit monoclonal [EPR23940-3] to C5 / C5b ab275931 staining at 1/1000 dilution, shown in green; Mouse anti-CANX (ab238078) loading control staining at 1/20,000 dilution, shown in magenta. A band was observed at 180 kDa in Wild-type A549 ab288558 cell lysates with no signal observed at this size in C5 knockout A549 cell line. To generate this image, samples were run on an SDS-PAGE gel then transferred onto a nitrocellulose membrane. Membranes were blocked in 3pc Milk in TBS-0.1 % Tween® 20 (TBS-T) before incubation with primary antibodies overnight at 4 °C. Blots were washed four times in TBS-T, incubated with secondary antibodies for 1 h at room temperature, washed again four times then imaged. Secondary antibodies used were Goat anti-Rabbit 800CW & Goat anti-Mouse 680RD at 1/20,000 dilution.

All lanes:

Western blot - Anti-C5 / C5b antibody [EPR23940-3] (<a href='/en-us/products/primary-antibodies/c5-c5b-antibody-epr23940-3-ab275931'>ab275931</a>) at 1/1000 dilution

Lane 1:

Wild-type A549 ab288558 at 20 µg

Lane 2:

C5 knockout A549 at 20 µg

Lane 3:

HepG2 at 20 µg

Lane 4:

U-2 OS at 20 µg

Secondary

All lanes:

Goat anti-Rabbit 800CW & Goat anti-Mouse 680RD at 1/20000 dilution

Predicted band size: 188 kDa

Observed band size: 180 kDa

false

Western blot - Anti-C5 / C5b antibody [EPR23940-3] - BSA and Azide free (AB275933)
  • WB

Lab

Western blot - Anti-C5 / C5b antibody [EPR23940-3] - BSA and Azide free (AB275933)

This data was developed using ab275931, the same antibody clone in a different buffer formulation.

Blocking and diluting buffer and concentration : 5% NFDM/TBST.

The molecular weight observed is consistent with what has been described in the literature (PMID : 23401592, 25387724).

Exposure time : 48 seconds.

All lanes:

Western blot - Anti-C5 / C5b antibody [EPR23940-3] (<a href='/en-us/products/primary-antibodies/c5-c5b-antibody-epr23940-3-ab275931'>ab275931</a>) at 1/1000 dilution

Lane 1:

Mouse plasma at 20 µg

Lane 2:

Rat plasma at 20 µg

Secondary

All lanes:

Goat Anti-Rabbit IgG, (H+L), Peroxidase conjugated (<a href='/en-us/products/secondary-antibodies/goat-rabbit-igg-h-l-hrp-ab97051'>ab97051</a>) at 1/100000 dilution

Predicted band size: 188 kDa

Observed band size: 70 kDa

false

Key facts

Host species

Rabbit

Clonality

Monoclonal

Clone number

EPR23940-3

Isotype

IgG1

Carrier free

Yes

Reacts with

Mouse, Rat, Human

Applications

IHC-P, WB

applications

Immunogen

The exact immunogen used to generate this antibody is proprietary information.

Reactivity data

{ "title": "Reactivity Data", "filters": { "stats": ["", "Species", "Dilution Info", "Notes"], "tabs": { "all-applications": {"fullname" : "All Applications", "shortname": "All Applications"}, "IHCP" : {"fullname" : "Immunohistochemistry (Formalin/PFA-fixed paraffin-embedded sections)", "shortname":"IHC-P"}, "ICCIF" : {"fullname" : "Immunocytochemistry/ Immunofluorescence", "shortname":"ICC/IF"}, "IP" : {"fullname" : "Immunoprecipitation", "shortname":"IP"}, "FlowCyt" : {"fullname" : "Flow Cytometry", "shortname":"Flow Cyt"}, "WB" : {"fullname" : "Western blot", "shortname":"WB"} }, "product-promise": { "all": "all", "testedAndGuaranteed": "tested", "guaranteed": "expected", "predicted": "predicted", "notRecommended": "not-recommended" } }, "values": { "Human": { "IHCP-species-checked": "predicted", "IHCP-species-dilution-info": "", "IHCP-species-notes": "", "ICCIF-species-checked": "notRecommended", "ICCIF-species-dilution-info": "", "ICCIF-species-notes": "<p></p>", "IP-species-checked": "notRecommended", "IP-species-dilution-info": "", "IP-species-notes": "<p></p>", "FlowCyt-species-checked": "notRecommended", "FlowCyt-species-dilution-info": "", "FlowCyt-species-notes": "<p></p>", "WB-species-checked": "testedAndGuaranteed", "WB-species-dilution-info": "", "WB-species-notes": "<p></p>" }, "Mouse": { "IHCP-species-checked": "guaranteed", "IHCP-species-dilution-info": "", "IHCP-species-notes": "<p></p>", "ICCIF-species-checked": "notRecommended", "ICCIF-species-dilution-info": "", "ICCIF-species-notes": "<p></p>", "IP-species-checked": "notRecommended", "IP-species-dilution-info": "", "IP-species-notes": "<p></p>", "FlowCyt-species-checked": "notRecommended", "FlowCyt-species-dilution-info": "", "FlowCyt-species-notes": "<p></p>", "WB-species-checked": "testedAndGuaranteed", "WB-species-dilution-info": "", "WB-species-notes": "<p></p>" }, "Rat": { "IHCP-species-checked": "guaranteed", "IHCP-species-dilution-info": "", "IHCP-species-notes": "<p></p>", "ICCIF-species-checked": "notRecommended", "ICCIF-species-dilution-info": "", "ICCIF-species-notes": "<p></p>", "IP-species-checked": "notRecommended", "IP-species-dilution-info": "", "IP-species-notes": "<p></p>", "FlowCyt-species-checked": "notRecommended", "FlowCyt-species-dilution-info": "", "FlowCyt-species-notes": "<p></p>", "WB-species-checked": "testedAndGuaranteed", "WB-species-dilution-info": "", "WB-species-notes": "<p></p>" } } }

Product details

ab275933 is the carrier-free version of ab275931.

Patented technology
Our RabMAb® technology is a patented hybridoma-based technology for making rabbit monoclonal antibodies. For details on our patents, please refer to RabMAb® patents.

What are the advantages of a recombinant monoclonal antibody?
This product is a recombinant monoclonal antibody, which offers several advantages including:

  • - High batch-to-batch consistency and reproducibility
  • - Improved sensitivity and specificity
  • - Long-term security of supply
  • - Animal-free batch production

For more information, read more on recombinant antibodies.

Conjugation ready
Our carrier-free antibodies are typically supplied in a PBS-only formulation, purified and free of BSA, sodium azide and glycerol. This conjugation-ready format is designed for use with fluorochromes, metal isotopes, oligonucleotides, and enzymes, which makes them ideal for antibody labelling, functional and cell-based assays, flow-based assays (e.g. mass cytometry) and Multiplex Imaging applications.

Use our conjugation kits for antibody conjugates that are ready-to-use in as little as 20 minutes with 1 minute hands-on-time and 100% antibody recovery: available for fluorescent dyes, HRP, biotin and gold.

Compatibility
This product is compatible with the Maxpar® Antibody Labeling Kit from Fluidigm, without the need for antibody preparation. Maxpar® is a trademark of Fluidigm Canada Inc.

Properties and storage information

Form
Liquid
Purification technique
Affinity purification Protein A
Storage buffer
Constituents: PBS
Shipped at conditions
Blue Ice
Appropriate short-term storage conditions
+4°C
Appropriate long-term storage conditions
+4°C

Supplementary information

This supplementary information is collated from multiple sources and compiled automatically.

The C5 molecule also known as complement component 5 is an essential part of the complement system which is part of the immune response. This protein has an approximate molecular weight of 190 kDa and is mainly expressed in the liver circulating in plasma. Upon activation C5 is cleaved into C5a and C5b fragments. The C5b fragment plays an important role in forming the membrane attack complex (MAC) by binding to other complement proteins. The cleavage and activation of C5 are necessary for initiating the assembly of the MAC.
Biological function summary

C5 facilitates the destruction of pathogens by forming the membrane attack complex with other complement proteins such as C6 C7 C8 and C9. C5b acts as a binding site for these proteins leading to a cascade that eventually creates a pore in the pathogen's membrane causing cell lysis. This role in the complement system places C5 as an essential player in innate immunity helping the body eliminate bacteria and foreign cells through direct lysis.

Pathways

C5 functions within the complement pathway specifically in the terminal (lytic) pathway. This pathway has two branches: the classical pathway initiated by antibody-antigen complexes and the alternative pathway activated directly on pathogen surfaces. Both pathways lead to the cleavage of C5 by the C5 convertase resulting in engagement of C5b with C6 C7 C8 and C9 to form the MAC. C5 works closely with other complement proteins including C3 and C4 linking the initial phase of activation to the execution of cell lysis.

C5 has significant connections to conditions such as paroxysmal nocturnal hemoglobinuria (PNH) and atypical hemolytic uremic syndrome (aHUS). These diseases result from dysregulation of the complement system and can lead to excessive activation of C5 and the formation of MAC causing damage to host cells. Eculizumab a monoclonal antibody targeting C5 has been used in treatment by inhibiting C5 activation and preventing the formation of the MAC. This intervention reduces hemolysis and other symptoms associated with these disorders.

Product protocols

For this product, it's our understanding that no specific protocols are required. You can visit:

Target data

Activation of C5 by a C5 convertase initiates the spontaneous assembly of the late complement components, C5-C9, into the membrane attack complex. C5b has a transient binding site for C6. The C5b-C6 complex is the foundation upon which the lytic complex is assembled.. C5a anaphylatoxin. Derived from proteolytic degradation of complement C5, C5a anaphylatoxin is a mediator of local inflammatory process. Binding to the receptor C5AR1 induces a variety of responses including intracellular calcium release, contraction of smooth muscle, increased vascular permeability, and histamine release from mast cells and basophilic leukocytes (PubMed : 8182049). C5a is also a potent chemokine which stimulates the locomotion of polymorphonuclear leukocytes and directs their migration toward sites of inflammation.
See full target information C5

Publications (1)

Recent publications for all applications. Explore the full list and refine your search

Journal of gastrointestinal oncology 13:2351-2365 PubMed36388659

2022

Complement C5 is a novel biomarker for liver metastasis of colorectal cancer.

Applications

Unspecified application

Species

Unspecified reactive species

Hulin Chang,Lei Jin,Peiyi Xie,Bo Zhang,Mincheng Yu,Hui Li,Shuang Liu,Jiuliang Yan,Binghai Zhou,Xiaoqiang Li,Yongfeng Xu,Yongsheng Xiao,Qinghai Ye,Lei Guo
View all publications

Product promise

We are committed to supporting your work with high-quality reagents, and we're here for you every step of the way. In the unlikely event that one of our products does not perform as expected, you're protected by our Product Promise.
For full details, please see our Terms & Conditions

Please note: All products are 'FOR RESEARCH USE ONLY. NOT FOR USE IN DIAGNOSTIC OR THERAPEUTIC PROCEDURES'.

For licensing inquiries, please contact partnerships@abcam.com