JavaScript is disabled in your browser. Please enable JavaScript to view this website.
AB256354

Anti-C5a antibody [EPR19699-24] - BSA and Azide free

Be the first to review this product! Submit a review

|

(0 Publication)

Rabbit Recombinant Monoclonal C5 antibody. Carrier free. Suitable for IP, WB and reacts with Human samples.

View Alternative Names

CPAMD4, C5, Complement C5, C3 and PZP-like alpha-2-macroglobulin domain-containing protein 4

1 Images
Immunoprecipitation - Anti-C5a antibody [EPR19699-24] - BSA and Azide free (AB256354)
  • IP

Supplier Data

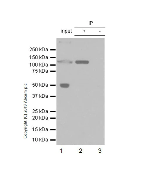
Immunoprecipitation - Anti-C5a antibody [EPR19699-24] - BSA and Azide free (AB256354)

C5a was immunoprecipitated from 0.35 mg human serum 10μg with ab202039 at 1/30 dilution (2μg in 0.35mg lysates). Western blot was performed on the immunoprecipitate using ab202039 at 1/2000 dilution (0.26 μg/ml). VeriBlot for IP Detection Reagent (HRP) (ab131366) was used at 1/10,000 dilution.

Lane 1 : Human serum 10μg.

Lane 2 : ab202039 IP in human serum.

Lane 3 : Rabbit monoclonal IgG (ab172730) instead of ab202039 in human serum.

Blocking and dilution buffer and concentration : 5% NFDM/TBST.

Exposure time : 10 seconds.

This antibody recognizes C5a.

This data was developed using the same antibody clone in a different buffer formulation containing PBS, BSA, glycerol, and sodium azide (ab202039).

All lanes:

Immunoprecipitation - Anti-C5a antibody [EPR19699-24] (<a href='/en-us/products/primary-antibodies/c5a-antibody-epr19699-24-ab202039'>ab202039</a>)

false

Key facts

Host species

Rabbit

Clonality

Monoclonal

Clone number

EPR19699-24

Isotype

IgG

Carrier free

Yes

Reacts with

Human

Applications

IP, WB

applications

Immunogen

The exact immunogen used to generate this antibody is proprietary information.

Reactivity data

{ "title": "Reactivity Data", "filters": { "stats": ["", "Species", "Dilution Info", "Notes"], "tabs": { "all-applications": {"fullname" : "All Applications", "shortname": "All Applications"}, "IP" : {"fullname" : "Immunoprecipitation", "shortname":"IP"}, "WB" : {"fullname" : "Western blot", "shortname":"WB"}, "IHCP" : {"fullname" : "Immunohistochemistry (Formalin/PFA-fixed paraffin-embedded sections)", "shortname":"IHC-P"} }, "product-promise": { "all": "all", "testedAndGuaranteed": "tested", "guaranteed": "expected", "predicted": "predicted", "notRecommended": "not-recommended" } }, "values": { "Human": { "IP-species-checked": "testedAndGuaranteed", "IP-species-dilution-info": "", "IP-species-notes": "<p></p>", "WB-species-checked": "guaranteed", "WB-species-dilution-info": "", "WB-species-notes": "<p></p>", "IHCP-species-checked": "notRecommended", "IHCP-species-dilution-info": "", "IHCP-species-notes": "<p></p>" } } }

You may be interested in:

AB125963

Human Complement C5 ELISA Kit

0

0 Reviews

View product

We recommend this product because it’s often used in the same experiment or related research.

We advise that you always check the datasheet to ensure it fits your experiments, or contact ourtechnical teamfor help.

Product details

ab256354 is the carrier-free version of ab202039.

Patented technology
Our RabMAb® technology is a patented hybridoma-based technology for making rabbit monoclonal antibodies. For details on our patents, please refer to RabMAb® patents.

What are the advantages of a recombinant monoclonal antibody?
This product is a recombinant monoclonal antibody, which offers several advantages including:

  • - High batch-to-batch consistency and reproducibility
  • - Improved sensitivity and specificity
  • - Long-term security of supply
  • - Animal-free batch production

For more information, read more on recombinant antibodies.

Conjugation ready
Our carrier-free antibodies are typically supplied in a PBS-only formulation, purified and free of BSA, sodium azide and glycerol. This conjugation-ready format is designed for use with fluorochromes, metal isotopes, oligonucleotides, and enzymes, which makes them ideal for antibody labelling, functional and cell-based assays, flow-based assays (e.g. mass cytometry) and Multiplex Imaging applications.

Use our conjugation kits for antibody conjugates that are ready-to-use in as little as 20 minutes with 1 minute hands-on-time and 100% antibody recovery: available for fluorescent dyes, HRP, biotin and gold.

Compatibility
This product is compatible with the Maxpar® Antibody Labeling Kit from Fluidigm, without the need for antibody preparation. Maxpar® is a trademark of Fluidigm Canada Inc.

Properties and storage information

Form
Liquid
Purification technique
Affinity purification Protein A
Storage buffer
pH: 7.2 - 7.4 Constituents: PBS
Shipped at conditions
Blue Ice
Appropriate short-term storage conditions
+4°C
Appropriate long-term storage conditions
+4°C
Storage information
Do Not Freeze

Supplementary information

This supplementary information is collated from multiple sources and compiled automatically.

C5a also known as complement component 5a is a 74-amino acid peptide with a molecular mass of approximately 11 kDa. It is expressed in the blood and is a fragment that forms when the complement system part of the body’s immune response activates. As a potent anaphylatoxin C5a plays a role in mediating inflammation and recruiting white blood cells to an infection site. It interacts with C5a receptors C5aR1 and C5aR2 located on various immune cells including neutrophils monocytes and macrophages.
Biological function summary

C5a functions as part of the complement cascade a complex series of events essential for opsonization cell lysis and inflammation. C5a binds to its receptors initiating cell responses such as chemotaxis increased vascular permeability and release of pro-inflammatory cytokines. These processes help in pathogen clearance making C5a a significant player in innate immunity. C5a exists as part of the larger complement system that includes proteins like C3 and C5 forming an important arm of the body's defense against pathogens.

Pathways

C5a integrates into the complement pathway and the coagulation cascade. It drives actions in the inflammatory response enhancing immune defense by promoting cytokine production and leukocyte migration. Important interactions occur with complement proteins such as C3 and C5b-9 key elements of the terminal complement complex. By influencing these pathways C5a directly contributes to both immune modulation and inflammatory processes.

C5a is linked to conditions such as sepsis and rheumatoid arthritis. In these diseases C5a contributes to excessive inflammation and tissue damage. C5a's interaction with C5aR1 and other receptors like CR1 involved in inflammatory regulation exemplifies its role in advancing disease states. Therapeutically targeting C5a and its receptors remains an active area of research aiming to develop treatments for conditions driven by dysregulated complement activation.

Product protocols

For this product, it's our understanding that no specific protocols are required. You can visit:

Target data

Activation of C5 by a C5 convertase initiates the spontaneous assembly of the late complement components, C5-C9, into the membrane attack complex. C5b has a transient binding site for C6. The C5b-C6 complex is the foundation upon which the lytic complex is assembled.. C5a anaphylatoxin. Derived from proteolytic degradation of complement C5, C5a anaphylatoxin is a mediator of local inflammatory process. Binding to the receptor C5AR1 induces a variety of responses including intracellular calcium release, contraction of smooth muscle, increased vascular permeability, and histamine release from mast cells and basophilic leukocytes (PubMed : 8182049). C5a is also a potent chemokine which stimulates the locomotion of polymorphonuclear leukocytes and directs their migration toward sites of inflammation.
See full target information C5

Product promise

We are committed to supporting your work with high-quality reagents, and we're here for you every step of the way. In the unlikely event that one of our products does not perform as expected, you're protected by our Product Promise.
For full details, please see our Terms & Conditions

Please note: All products are 'FOR RESEARCH USE ONLY. NOT FOR USE IN DIAGNOSTIC OR THERAPEUTIC PROCEDURES'.

For licensing inquiries, please contact partnerships@abcam.com