JavaScript is disabled in your browser. Please enable JavaScript to view this website.
AB281923

Anti-C5a antibody [EPR24303-10]

  • BOND RX™ Validated
  • 20ul selling size
  • RabMAb
  • Recombinant
  • KO Validated
  • What is this?

Be the first to review this product! Submit a review

|

(3 Publications)

Rabbit Recombinant Monoclonal C5 antibody. Suitable for IP, WB, IHC-P, Flow Cyt (Intra) and reacts with Human samples. Cited in 3 publications.

View Alternative Names

CPAMD4, C5, Complement C5, C3 and PZP-like alpha-2-macroglobulin domain-containing protein 4

6 Images
Flow Cytometry (Intracellular) - Anti-C5a antibody [EPR24303-10] (AB281923)
  • Flow Cyt (Intra)

Supplier Data

Flow Cytometry (Intracellular) - Anti-C5a antibody [EPR24303-10] (AB281923)

Flow cytometric analysis of 4% paraformaldehyde fixed 90% methanol permeabilized HEK-293 (Human embryonic kidney epithelial cell, Left)/ HepG2 (human hepatocellular carcinoma epithelial cell, Right) cells labelling C5a with ab281923 at 1/50 dilution (1ug)/ (Red) compared with a Rabbit monoclonal IgG (ab172730) (Black) isotype control and an unlabelled control (cells without incubation with primary antibody and secondary antibody) (Blue). A Goat anti rabbit IgG (Alexa Fluor® 488, ab150077) at 1/2000 dilution was used as the secondary antibody. No expression was observed in cell line : HEK-293.

Immunohistochemistry (Formalin/PFA-fixed paraffin-embedded sections) - Anti-C5a antibody [EPR24303-10] (AB281923)
  • IHC-P

Supplier Data

Immunohistochemistry (Formalin/PFA-fixed paraffin-embedded sections) - Anti-C5a antibody [EPR24303-10] (AB281923)

Immunohistochemical analysis of paraffin-embedded Human colon tissue labelling C5a with ab281923 at 1/500 dilution (1.092 ug/ml) followed by a ready to use LeicaDS9800 (Bond™ Polymer Refine Detection). Positive staining on plasma of human colon. The section was incubated with ab281923 for 30 mins at room temperature. The immunostaining was performed on a Leica Biosystems BOND® RX instrument. Counterstained with Hematoxylin.

Secondary antibody only control : Secondary antibody is a ready to use LeicaDS9800 (Bond™ Polymer Refine Detection).

Heat mediated antigen retrieval with Tris-EDTA buffer (pH 9.0, epitope retrieval solution2) for 20 mins.

Immunohistochemistry (Formalin/PFA-fixed paraffin-embedded sections) - Anti-C5a antibody [EPR24303-10] (AB281923)
  • IHC-P

Supplier Data

Immunohistochemistry (Formalin/PFA-fixed paraffin-embedded sections) - Anti-C5a antibody [EPR24303-10] (AB281923)

Immunohistochemical analysis of paraffin-embedded Human liver tissue labelling C5a with ab281923 at 1/500 dilution (1.092 ug/ml) followed by a ready to use LeicaDS9800 (Bond™ Polymer Refine Detection). Positive staining on human liver. The section was incubated with ab281923 for 30 mins at room temperature. The immunostaining was performed on a Leica Biosystems BOND® RX instrument. Counterstained with Hematoxylin.

Secondary antibody only control : Secondary antibody is a ready to use LeicaDS9800 (Bond™ Polymer Refine Detection).

Heat mediated antigen retrieval with Tris-EDTA buffer (pH 9.0, epitope retrieval solution2) for 20 mins.

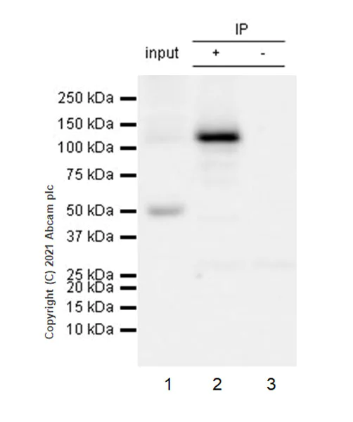
Immunoprecipitation - Anti-C5a antibody [EPR24303-10] (AB281923)
  • IP

Supplier Data

Immunoprecipitation - Anti-C5a antibody [EPR24303-10] (AB281923)

C5a was immunoprecipitated from 0.35 mg Human plasma with ab281923 at 1/30 dilution (2ug in 0.35mg lysates). Western blot was performed on the immunoprecipitate using ab281923 at 1/1000 dilution. VeriBlot for IP Detection Reagent (HRP) (ab131366) was used at 1/5000 dilution.

Lane 1 : Human plasma 10 μL

Lane 2 : ab281923 IP in Human plasma

Lane 3 : Rabbit monoclonal IgG (ab172730) instead of ab281923 in human plasma

Blocking and dilution buffer and concentration : 5% NFDM/TBST.

Exposure time : 6 seconds.

All lanes:

Immunoprecipitation - Anti-C5a antibody [EPR24303-10] (ab281923)

Observed band size: 110 kDa

false

Western blot - Anti-C5a antibody [EPR24303-10] (AB281923)
  • WB

Lab

Western blot - Anti-C5a antibody [EPR24303-10] (AB281923)

Blocking and diluting buffer and concentration : 5% NFDM/TBST.

110 kDa Complement C5 alpha chain is observed. The molecular weight is consistent with what has been described in the literature (PMID : 24071736, 23401592, 25387724).

Very low or no expression of C5 alpha chain is observed in testis, skeletal muscle.

Exposure time : 6 seconds.

All lanes:

Western blot - Anti-C5a antibody [EPR24303-10] (ab281923) at 1/1000 dilution

Lane 1:

Human plasma at 10 µL

Lane 2:

Human testis tissue lysate at 20 µg

Lane 3:

Human skeletal muscle tissue lysate at 20 µg

Secondary

All lanes:

Goat Anti-Rabbit IgG (HRP) with minimal cross-reactivity with human IgG at 1/1000 dilution

Observed band size: 110 kDa

false

Western blot - Anti-C5a antibody [EPR24303-10] (AB281923)
  • WB

Lab

Western blot - Anti-C5a antibody [EPR24303-10] (AB281923)

Western blot : Rabbit monoclonal [EPR24303-10] to C5a ab281923 staining at 1/1000 dilution, shown in green; Mouse anti-CANX (ab238078) loading control staining at 1/20,000 dilution, shown in magenta. A band was observed at 180 kDa in Wild-type A549 cell lysates with no signal observed at this size in C5 knockout A549 cell line. To generate this image, samples were run on an SDS-PAGE gel then transferred onto a nitrocellulose membrane. Membranes were blocked in 5pc Milk in TBS-0.1 % Tween® 20 (TBS-T) before incubation with primary antibodies overnight at 4°C. Blots were washed four times in TBS-T, incubated with secondary antibodies for 1 h at room temperature, washed again four times then imaged. Secondary antibodies used were Goat anti-Rabbit 800CW & Goat anti-Mouse 680RD at 1/20,000 dilution.

All lanes:

Western blot - Anti-C5a antibody [EPR24303-10] (ab281923) at 1/1000 dilution

Lane 1:

Wild-type A549 at 20 µg

Lane 2:

C5 knockout A549 at 20 µg

Lane 3:

HepG2 at 20 µg

Lane 4:

U-2 OS at 20 µg

Secondary

All lanes:

Goat anti-Rabbit 800CW & Goat anti-Mouse 680RD at 1/20000 dilution

Predicted band size: 188 kDa

Observed band size: 180 kDa

false

  • Carrier free

    Anti-C5a antibody [EPR24303-10] - BSA and Azide free

Key facts

Host species

Rabbit

Clonality

Monoclonal

Clone number

EPR24303-10

Isotype

IgG

Carrier free

No

Reacts with

Human

Applications

Flow Cyt (Intra), IHC-P, WB, IP

applications

Immunogen

The exact immunogen used to generate this antibody is proprietary information.

Reactivity data

{ "title": "Reactivity Data", "filters": { "stats": ["", "Species", "Dilution Info", "Notes"], "tabs": { "all-applications": {"fullname" : "All Applications", "shortname": "All Applications"}, "ICCIF" : {"fullname" : "Immunocytochemistry/ Immunofluorescence", "shortname":"ICC/IF"}, "IP" : {"fullname" : "Immunoprecipitation", "shortname":"IP"}, "WB" : {"fullname" : "Western blot", "shortname":"WB"}, "IHCP" : {"fullname" : "Immunohistochemistry (Formalin/PFA-fixed paraffin-embedded sections)", "shortname":"IHC-P"}, "FlowCytIntra" : {"fullname" : "Flow Cytometry (Intracellular)", "shortname":"Flow Cyt (Intra)"} }, "product-promise": { "all": "all", "testedAndGuaranteed": "tested", "guaranteed": "expected", "predicted": "predicted", "notRecommended": "not-recommended" } }, "values": { "Human": { "ICCIF-species-checked": "notRecommended", "ICCIF-species-dilution-info": "", "ICCIF-species-notes": "<p></p>", "IP-species-checked": "testedAndGuaranteed", "IP-species-dilution-info": "1/30", "IP-species-notes": "<p></p>", "WB-species-checked": "testedAndGuaranteed", "WB-species-dilution-info": "1/1000", "WB-species-notes": "<p></p>", "IHCP-species-checked": "testedAndGuaranteed", "IHCP-species-dilution-info": "1/500", "IHCP-species-notes": "<p></p>", "FlowCytIntra-species-checked": "testedAndGuaranteed", "FlowCytIntra-species-dilution-info": "1/50", "FlowCytIntra-species-notes": "<p></p>" }, "Mouse": { "ICCIF-species-checked": "notRecommended", "ICCIF-species-dilution-info": "", "ICCIF-species-notes": "", "IP-species-checked": "notRecommended", "IP-species-dilution-info": "", "IP-species-notes": "", "WB-species-checked": "notRecommended", "WB-species-dilution-info": "1/1000", "WB-species-notes": "<p></p>", "IHCP-species-checked": "notRecommended", "IHCP-species-dilution-info": "1/500", "IHCP-species-notes": "<p></p>", "FlowCytIntra-species-checked": "notRecommended", "FlowCytIntra-species-dilution-info": "", "FlowCytIntra-species-notes": "" }, "Rat": { "ICCIF-species-checked": "notRecommended", "ICCIF-species-dilution-info": "", "ICCIF-species-notes": "", "IP-species-checked": "notRecommended", "IP-species-dilution-info": "", "IP-species-notes": "", "WB-species-checked": "notRecommended", "WB-species-dilution-info": "1/1000", "WB-species-notes": "<p></p>", "IHCP-species-checked": "notRecommended", "IHCP-species-dilution-info": "1/500", "IHCP-species-notes": "<p></p>", "FlowCytIntra-species-checked": "notRecommended", "FlowCytIntra-species-dilution-info": "", "FlowCytIntra-species-notes": "" } } }

Product details

Patented technology
Our RabMAb® technology is a patented hybridoma-based technology for making rabbit monoclonal antibodies. For details on our patents, please refer to RabMAb® patents.

What are the advantages of a recombinant monoclonal antibody?
This product is a recombinant monoclonal antibody, which offers several advantages including:

  • - High batch-to-batch consistency and reproducibility
  • - Improved sensitivity and specificity
  • - Long-term security of supply
  • - Animal-free batch production

For more information, read more on recombinant antibodies.

Properties and storage information

Form
Liquid
Purification technique
Affinity purification Protein A
Storage buffer
pH: 7.2 - 7.4 Preservative: 0.01% Sodium azide Constituents: PBS, 40% Glycerol (glycerin, glycerine), 0.05% BSA
Shipped at conditions
Blue Ice
Appropriate short-term storage duration
1-2 weeks
Appropriate short-term storage conditions
+4°C
Appropriate long-term storage conditions
-20°C
Aliquoting information
Upon delivery aliquot
Storage information
Avoid freeze / thaw cycle

Supplementary information

This supplementary information is collated from multiple sources and compiled automatically.

C5a also known as complement component 5a is a 74-amino acid peptide with a molecular mass of approximately 11 kDa. It is expressed in the blood and is a fragment that forms when the complement system part of the body’s immune response activates. As a potent anaphylatoxin C5a plays a role in mediating inflammation and recruiting white blood cells to an infection site. It interacts with C5a receptors C5aR1 and C5aR2 located on various immune cells including neutrophils monocytes and macrophages.
Biological function summary

C5a functions as part of the complement cascade a complex series of events essential for opsonization cell lysis and inflammation. C5a binds to its receptors initiating cell responses such as chemotaxis increased vascular permeability and release of pro-inflammatory cytokines. These processes help in pathogen clearance making C5a a significant player in innate immunity. C5a exists as part of the larger complement system that includes proteins like C3 and C5 forming an important arm of the body's defense against pathogens.

Pathways

C5a integrates into the complement pathway and the coagulation cascade. It drives actions in the inflammatory response enhancing immune defense by promoting cytokine production and leukocyte migration. Important interactions occur with complement proteins such as C3 and C5b-9 key elements of the terminal complement complex. By influencing these pathways C5a directly contributes to both immune modulation and inflammatory processes.

C5a is linked to conditions such as sepsis and rheumatoid arthritis. In these diseases C5a contributes to excessive inflammation and tissue damage. C5a's interaction with C5aR1 and other receptors like CR1 involved in inflammatory regulation exemplifies its role in advancing disease states. Therapeutically targeting C5a and its receptors remains an active area of research aiming to develop treatments for conditions driven by dysregulated complement activation.

Product protocols

For this product, it's our understanding that no specific protocols are required. You can visit:

Target data

Activation of C5 by a C5 convertase initiates the spontaneous assembly of the late complement components, C5-C9, into the membrane attack complex. C5b has a transient binding site for C6. The C5b-C6 complex is the foundation upon which the lytic complex is assembled.. C5a anaphylatoxin. Derived from proteolytic degradation of complement C5, C5a anaphylatoxin is a mediator of local inflammatory process. Binding to the receptor C5AR1 induces a variety of responses including intracellular calcium release, contraction of smooth muscle, increased vascular permeability, and histamine release from mast cells and basophilic leukocytes (PubMed : 8182049). C5a is also a potent chemokine which stimulates the locomotion of polymorphonuclear leukocytes and directs their migration toward sites of inflammation.
See full target information C5

Publications (3)

Recent publications for all applications. Explore the full list and refine your search

Communications biology 8:879 PubMed40481230

2025

High-fat diet induces pre-eclampsia through dampening cell-autonomous C3 in trophoblasts.

Applications

Unspecified application

Species

Unspecified reactive species

Simeng Zhu,Siyue Chen,Yingzhou Ge,Fangyue Zhou,Kaizhen Su,Congfeng Xu,Yanting Wu,Hefeng Huang

Clinical and experimental medicine 24:139 PubMed38951265

2024

Complement C3a/C3aR and C5a/C5aR deposits accelerate the progression of advanced IgA nephropathy to end-stage renal disease.

Applications

Unspecified application

Species

Unspecified reactive species

Ying Wang,Shunlai Shang,Shimin Jiang,Guming Zou,Hongmei Gao,Wenge Li

Advanced science (Weinheim, Baden-Wurttemberg, Germany) 10:e2302613 PubMed37345586

2023

FGF19-Induced Inflammatory CAF Promoted Neutrophil Extracellular Trap Formation in the Liver Metastasis of Colorectal Cancer.

Applications

Unspecified application

Species

Unspecified reactive species

Chen Li,Tianli Chen,Jialiang Liu,Yue Wang,Chunhuan Zhang,Lu Guo,Dandan Shi,Tingguo Zhang,Xishan Wang,Jie Li
View all publications

Product promise

We are committed to supporting your work with high-quality reagents, and we're here for you every step of the way. In the unlikely event that one of our products does not perform as expected, you're protected by our Product Promise.
For full details, please see our Terms & Conditions

Please note: All products are 'FOR RESEARCH USE ONLY. NOT FOR USE IN DIAGNOSTIC OR THERAPEUTIC PROCEDURES'.

For licensing inquiries, please contact partnerships@abcam.com