JavaScript is disabled in your browser. Please enable JavaScript to view this website.
AB115296

Anti-C5a-R antibody

Be the first to review this product! Submit a review

|

(1 Publication)

Rabbit Polyclonal C5a-R antibody. Suitable for IHC-P and reacts with Human samples. Cited in 1 publication. Immunogen corresponding to Synthetic Peptide within Human C5AR1 conjugated to Keyhole Limpet Haemocyanin.

View Alternative Names

CD88, C5AR, C5R1, C5AR1, C5a anaphylatoxin chemotactic receptor 1, C5a anaphylatoxin chemotactic receptor, C5a-R, C5aR

2 Images
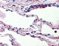
Immunohistochemistry (Formalin/PFA-fixed paraffin-embedded sections) - Anti-C5a-R antibody (AB115296)
  • IHC-P

Unknown

Immunohistochemistry (Formalin/PFA-fixed paraffin-embedded sections) - Anti-C5a-R antibody (AB115296)

ab115296, at 10μg/ml, staining C5a-R in Formalin-fixed, Paraffin-embedded Human lung tissue by Immunohistochemistry followed by biotinylated goat anti-rabbit IgG secondary antibody, alkaline phosphatase-streptavidin and chromogen.

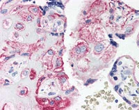
Immunohistochemistry (Formalin/PFA-fixed paraffin-embedded sections) - Anti-C5a-R antibody (AB115296)
  • IHC-P

Unknown

Immunohistochemistry (Formalin/PFA-fixed paraffin-embedded sections) - Anti-C5a-R antibody (AB115296)

ab115296, at 10μg/ml, staining C5a-R in Formalin-fixed, Paraffin-embedded Human placenta tissue by Immunohistochemistry followed by biotinylated goat anti-rabbit IgG secondary antibody, alkaline phosphatase-streptavidin and chromogen.

Key facts

Host species

Rabbit

Clonality

Polyclonal

Isotype

IgG

Carrier free

No

Reacts with

Human

Applications

IHC-P

applications

Immunogen

Synthetic Peptide within Human C5AR1 conjugated to Keyhole Limpet Haemocyanin. The exact immunogen used to generate this antibody is proprietary information.

P21730

Reactivity data

{ "title": "Reactivity Data", "filters": { "stats": ["", "Species", "Dilution Info", "Notes"], "tabs": { "all-applications": {"fullname" : "All Applications", "shortname": "All Applications"}, "IHCP" : {"fullname" : "Immunohistochemistry (Formalin/PFA-fixed paraffin-embedded sections)", "shortname":"IHC-P"} }, "product-promise": { "all": "all", "testedAndGuaranteed": "tested", "guaranteed": "expected", "predicted": "predicted", "notRecommended": "not-recommended" } }, "values": { "Human": { "IHCP-species-checked": "testedAndGuaranteed", "IHCP-species-dilution-info": "10 µg/mL", "IHCP-species-notes": "<p></p> Perform heat-mediated antigen retrieval with citrate buffer pH 6 before commencing with IHC staining protocol." } } }

Properties and storage information

Form
Liquid
Purification technique
Affinity purification Protein A
Storage buffer
pH: 7.4 Preservative: 0.1% Sodium azide Constituents: PBS
Shipped at conditions
Blue Ice
Appropriate short-term storage conditions
+4°C
Appropriate long-term storage conditions
-80°C

Supplementary information

This supplementary information is collated from multiple sources and compiled automatically.

C5a-R also known as CD88 or C5aR1 is a protein found primarily on the surface of immune cells like macrophages and neutrophils. Its mass is approximately 45 kDa. C5a-R functions as a G protein-coupled receptor (GPCR) and binds the complement component C5a a powerful inflammatory peptide. The receptor is expressed in various tissues but primarily in the immune system where it plays a significant role in immune responses and inflammatory processes.
Biological function summary

C5a-R functions as a mediator of inflammation and immune responses. It is a part of the complement system a complex of proteins involved in innate immunity. Upon binding to C5a this receptor initiates a signaling cascade that leads to the recruitment and activation of immune cells at sites of inflammation. It amplifies the inflammatory response leading to cell chemotaxis degranulation and the production of pro-inflammatory cytokines.

Pathways

C5a-R plays an important role in the complement and immune pathways. It interacts closely with the C5 protein which is a core component of the complement pathway. This receptor also connects to other immune system proteins such as the C3 and C4 proteins through the cascade. Together these interactions help defend against pathogenic infections and maintain immune homeostasis.

C5a-R is associated with conditions like rheumatoid arthritis and sepsis. In rheumatoid arthritis the receptor's activation by C5a contributes to chronic inflammation and joint damage. During sepsis overactivation of C5a-R can lead to excessive inflammation and tissue damage. The receptor's involvement in these diseases is often linked with other proteins in the complement system such as C3a and C4a which also play roles in modulating inflammation and immune responses.

Product protocols

For this product, it's our understanding that no specific protocols are required. You can visit:

Target data

Receptor for the chemotactic and inflammatory peptide anaphylatoxin C5a (PubMed : 10636859, PubMed : 15153520, PubMed : 1847994, PubMed : 29300009, PubMed : 7622471, PubMed : 8182049, PubMed : 9553099). The ligand interacts with at least two sites on the receptor : a high-affinity site on the extracellular N-terminus, and a second site in the transmembrane region which activates downstream signaling events (PubMed : 7622471, PubMed : 8182049, PubMed : 9553099). Receptor activation stimulates chemotaxis, granule enzyme release, intracellular calcium release and superoxide anion production (PubMed : 10636859, PubMed : 15153520).
See full target information C5AR1

Publications (1)

Recent publications for all applications. Explore the full list and refine your search

Frontiers in bioscience (Landmark edition) 27:58 PubMed35227001

2022

Role of CK1ε-regulated PERIOD2 in STZ-induced diabetic myocardial injury.

Applications

Unspecified application

Species

Unspecified reactive species

Qin Huang,Meng Jiang,Zhong-Yuan Xia,Shaoqing Lei,Bo Zhao,Zhen Qiu
View all publications

Product promise

We are committed to supporting your work with high-quality reagents, and we're here for you every step of the way. In the unlikely event that one of our products does not perform as expected, you're protected by our Product Promise.
For full details, please see our Terms & Conditions

Please note: All products are 'FOR RESEARCH USE ONLY. NOT FOR USE IN DIAGNOSTIC OR THERAPEUTIC PROCEDURES'.

For licensing inquiries, please contact partnerships@abcam.com