JavaScript is disabled in your browser. Please enable JavaScript to view this website.
AB59390

Anti-C5a-R antibody

0

(1 Review)

|

(19 Publications)

Rabbit Polyclonal C5a-R antibody. Suitable for WB, IHC-P and reacts with Human samples. Cited in 19 publications. Immunogen corresponding to Synthetic Peptide within Human C5AR1.

View Alternative Names

CD88, C5AR, C5R1, C5AR1, C5a anaphylatoxin chemotactic receptor 1, C5a anaphylatoxin chemotactic receptor, C5a-R, C5aR

2 Images
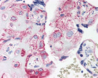
Immunohistochemistry (Formalin/PFA-fixed paraffin-embedded sections) - Anti-C5a-R antibody (AB59390)
  • IHC-P

Unknown

Immunohistochemistry (Formalin/PFA-fixed paraffin-embedded sections) - Anti-C5a-R antibody (AB59390)

ab59390 staining C5a-R in human lung.
Left panel : with primary antibody at 1 ug/ml. Right panel : isotype control.
Sections were stained using an automated system (DAKO Autostainer Plus), at room temperature : sections were rehydrated and antigen retrieved with the Dako 3 in 1 AR buffers EDTA pH 9.0. Slides were peroxidase blocked in 3% H2O2 in methanol for 10 mins. They were then blocked with Dako Protein block for 10 minutes (containing casein 0.25% in PBS) then incubated with primary antibody for 20 min and detected with Dako envision flex amplification kit for 30 minutes. Colorimetric detection was completed with Diaminobenzidine for 5 minutes. Slides were counterstained with Haematoxylin and coverslipped under DePeX. Please note that for manual staining we recommend to optimize the primary antibody concentration and incubation time (overnight incubation), and amplification may be required.

Western blot - Anti-C5a-R antibody (AB59390)
  • WB

Unknown

Western blot - Anti-C5a-R antibody (AB59390)

All lanes:

Western blot - Anti-C5a-R antibody (ab59390) at 1/500 dilution

Lane 1:

Extracts from HeLa cells, treated with PMA (125ng/ml, 30mins).

Lane 2:

Extracts from HeLa cells, treated with PMA (125ng/ml, 30mins) plus peptide.

Predicted band size: 39 kDa

Observed band size: 46 kDa

false

Key facts

Host species

Rabbit

Clonality

Polyclonal

Isotype

IgG

Carrier free

No

Reacts with

Human

Applications

WB, IHC-P

applications

Immunogen

Synthetic Peptide within Human C5AR1. The exact immunogen used to generate this antibody is proprietary information.

P21730

Reactivity data

{ "title": "Reactivity Data", "filters": { "stats": ["", "Species", "Dilution Info", "Notes"], "tabs": { "all-applications": {"fullname" : "All Applications", "shortname": "All Applications"}, "WB" : {"fullname" : "Western blot", "shortname":"WB"}, "IHCP" : {"fullname" : "Immunohistochemistry (Formalin/PFA-fixed paraffin-embedded sections)", "shortname":"IHC-P"} }, "product-promise": { "all": "all", "testedAndGuaranteed": "tested", "guaranteed": "expected", "predicted": "predicted", "notRecommended": "not-recommended" } }, "values": { "Human": { "WB-species-checked": "testedAndGuaranteed", "WB-species-dilution-info": "1/500 - 1/1000", "WB-species-notes": "<p></p>", "IHCP-species-checked": "testedAndGuaranteed", "IHCP-species-dilution-info": "1 µg/mL", "IHCP-species-notes": "<p></p>" }, "Mouse": { "WB-species-checked": "predicted", "WB-species-dilution-info": "", "WB-species-notes": "", "IHCP-species-checked": "predicted", "IHCP-species-dilution-info": "", "IHCP-species-notes": "" } } }

Properties and storage information

Form
Liquid
Purification technique
Affinity purification Immunogen
Purification notes
The antibody was affinity-purified from rabbit antiserum by affinity-chromatography using epitope-specific immunogen.
Storage buffer
pH: 7.4 Preservative: 0.02% Sodium azide Constituents: PBS, 50% Glycerol (glycerin, glycerine), 0.87% Sodium chloride
Shipped at conditions
Blue Ice
Appropriate short-term storage conditions
+4°C
Appropriate long-term storage conditions
-20°C
Aliquoting information
Upon delivery aliquot
Storage information
Avoid freeze / thaw cycle

Supplementary information

This supplementary information is collated from multiple sources and compiled automatically.

C5a-R also known as CD88 or C5aR1 is a protein found primarily on the surface of immune cells like macrophages and neutrophils. Its mass is approximately 45 kDa. C5a-R functions as a G protein-coupled receptor (GPCR) and binds the complement component C5a a powerful inflammatory peptide. The receptor is expressed in various tissues but primarily in the immune system where it plays a significant role in immune responses and inflammatory processes.
Biological function summary

C5a-R functions as a mediator of inflammation and immune responses. It is a part of the complement system a complex of proteins involved in innate immunity. Upon binding to C5a this receptor initiates a signaling cascade that leads to the recruitment and activation of immune cells at sites of inflammation. It amplifies the inflammatory response leading to cell chemotaxis degranulation and the production of pro-inflammatory cytokines.

Pathways

C5a-R plays an important role in the complement and immune pathways. It interacts closely with the C5 protein which is a core component of the complement pathway. This receptor also connects to other immune system proteins such as the C3 and C4 proteins through the cascade. Together these interactions help defend against pathogenic infections and maintain immune homeostasis.

C5a-R is associated with conditions like rheumatoid arthritis and sepsis. In rheumatoid arthritis the receptor's activation by C5a contributes to chronic inflammation and joint damage. During sepsis overactivation of C5a-R can lead to excessive inflammation and tissue damage. The receptor's involvement in these diseases is often linked with other proteins in the complement system such as C3a and C4a which also play roles in modulating inflammation and immune responses.

Product protocols

For this product, it's our understanding that no specific protocols are required. You can visit:

Target data

Receptor for the chemotactic and inflammatory peptide anaphylatoxin C5a (PubMed : 10636859, PubMed : 15153520, PubMed : 1847994, PubMed : 29300009, PubMed : 7622471, PubMed : 8182049, PubMed : 9553099). The ligand interacts with at least two sites on the receptor : a high-affinity site on the extracellular N-terminus, and a second site in the transmembrane region which activates downstream signaling events (PubMed : 7622471, PubMed : 8182049, PubMed : 9553099). Receptor activation stimulates chemotaxis, granule enzyme release, intracellular calcium release and superoxide anion production (PubMed : 10636859, PubMed : 15153520).
See full target information C5AR1

Publications (19)

Recent publications for all applications. Explore the full list and refine your search

Cell death & disease 16:547 PubMed40695778

2025

UPR-induced intracellular C5aR1 promotes adaptation to the hypoxic tumour microenvironment.

Applications

Unspecified application

Species

Unspecified reactive species

Tatsuya Suwa,Kelly Sw Lee,Ian J Chai,Heather O L Clark,David J MacLean,Nicole Machado,Gonzalo Rodriguez-Berriguete,Lolita Singh,Geoff S Higgins,Ester M Hammond,Monica M Olcina

iScience 27:111261 PubMed39758991

2025

C5aR1-positive adipocytes mediate non-shivering thermogenesis in neonatal mice.

Applications

Unspecified application

Species

Unspecified reactive species

Huan-Yu Wang,Xue-Min Peng,Min Yang,Ying Weng,Xi Yang,Di Zhan,Qin Ning,Xiao-Ping Luo,Yong Chen

The Journal of clinical investigation 134: PubMed39145459

2024

Improving radiotherapy in immunosuppressive microenvironments by targeting complement receptor C5aR1.

Applications

Unspecified application

Species

Unspecified reactive species

Callum Beach,David MacLean,Dominika Majorova,Stavros Melemenidis,Dhanya K Nambiar,Ryan K Kim,Gabriel N Valbuena,Silvia Guglietta,Carsten Krieg,Mahnaz Darvish-Damavandi,Tatsuya Suwa,Alistair Easton,Lily Vs Hillson,Ashley K McCulloch,Ross K McMahon,Kathryn Pennel,Joanne Edwards,Sean M O'Cathail,Campbell S Roxburgh,Enric Domingo,Eui Jung Moon,Dadi Jiang,Yanyan Jiang,Qingyang Zhang,Albert C Koong,Trent M Woodruff,Edward E Graves,Tim Maughan,Simon Ja Buczacki,Manuel Stucki,Quynh-Thu Le,Simon J Leedham,Amato J Giaccia,Monica M Olcina

Molecular carcinogenesis 63:1938-1952 PubMed38934768

2024

C5AR1-induced TLR1/2 pathway activation drives proliferation and metastasis in anaplastic thyroid cancer.

Applications

Unspecified application

Species

Unspecified reactive species

Bo Liu,Yueyao Sun,Tongyao Geng,Haobo Wang,Zhenyu Wu,Lei Xu,Miao Zhang,Xupeng Niu,Chenxu Zhao,Jin Shang,Fangjian Shang

The Journal of clinical investigation 133: PubMed37824211

2023

Improving radiotherapy in immunosuppressive microenvironments by targeting complement receptor C5aR1.

Applications

Unspecified application

Species

Unspecified reactive species

Callum Beach,David MacLean,Dominika Majorova,Stavros Melemenidis,Dhanya K Nambiar,Ryan K Kim,Gabriel N Valbuena,Silvia Guglietta,Carsten Krieg,Mahnaz Darvish-Damavandi,Tatsuya Suwa,Alistair Easton,Lily Vs Hillson,Ashley K McCulloch,Ross K McMahon,Kathryn Pennel,Joanne Edwards,Sean M O'Cathail,Campbell S Roxburgh,Enric Domingo,Eui Jung Moon,Dadi Jiang,Yanyan Jiang,Qingyang Zhang,Albert C Koong,Trent M Woodruff,Edward E Graves,Tim Maughan,Simon Ja Buczacki,Manuel Stucki,Quynh-Thu Le,Simon J Leedham,Amato J Giaccia,Monica M Olcina

Phytomedicine : international journal of phytotherapy and phytopharmacology 109:154551 PubMed36610119

2023

Xuanfei Baidu Decoction suppresses complement overactivation and ameliorates IgG immune complex-induced acute lung injury by inhibiting JAK2/STAT3/SOCS3 and NF-κB signaling pathway.

Applications

Unspecified application

Species

Unspecified reactive species

Caixia Li,Yuhong Li,Han Zhang,Yuzhen Zhuo,Lanqiu Zhang,Lei Yang,Qiaoying Gao,Zhengwei Tu,Rui Shao,Yu Wang,Junhua Zhang,Lihua Cui,Shukun Zhang

Journal of neuroinflammation 19:182 PubMed35831910

2022

Complement activation contributes to subretinal fibrosis through the induction of epithelial-to-mesenchymal transition (EMT) in retinal pigment epithelial cells.

Applications

Unspecified application

Species

Unspecified reactive species

María Llorián-Salvador,Eimear M Byrne,Manon Szczepan,Karis Little,Mei Chen,Heping Xu

Journal of neurotrauma 39:667-682 PubMed35196890

2022

Administration of C5a Receptor Antagonist Improves the Efficacy of Human Induced Pluripotent Stem Cell-Derived Neural Stem/Progenitor Cell Transplantation in the Acute Phase of Spinal Cord Injury.

Applications

Unspecified application

Species

Unspecified reactive species

Reo Shibata,Narihito Nagoshi,Keita Kajikawa,Shuhei Ito,Shinsuke Shibata,Tomoko Shindo,Mohamad Khazaei,Satoshi Nori,Jun Kohyama,Michael G Fehlings,Morio Matsumoto,Masaya Nakamura,Hideyuki Okano

Thoracic cancer 13:811-823 PubMed35137541

2022

Recruitment of IL-1β-producing intermediate monocytes enhanced by C5a contributes to the development of malignant pleural effusion.

Applications

Unspecified application

Species

Unspecified reactive species

Lisha Luo,Shuanglinzi Deng,Wei Tang,Xinyue Hu,Feifei Yin,Huan Ge,Jiale Tang,Zhonghua Liao,Xiaozhao Li,Juntao Feng

PloS one 16:e0245361 PubMed34428207

2021

CRP immunodeposition and proteomic analysis in abdominal aortic aneurysm.

Applications

Unspecified application

Species

Unspecified reactive species

Eun Na Kim,Jiyoung Yu,Joon Seo Lim,Hwangkyo Jeong,Chong Jai Kim,Jae-Sung Choi,So Ra Kim,Hee-Sung Ahn,Kyunggon Kim,Se Jin Oh
View all publications

Product promise

We are committed to supporting your work with high-quality reagents, and we're here for you every step of the way. In the unlikely event that one of our products does not perform as expected, you're protected by our Product Promise.
For full details, please see our Terms & Conditions

Please note: All products are 'FOR RESEARCH USE ONLY. NOT FOR USE IN DIAGNOSTIC OR THERAPEUTIC PROCEDURES'.

For licensing inquiries, please contact partnerships@abcam.com