JavaScript is disabled in your browser. Please enable JavaScript to view this website.
AB126337

Anti-C6orf129 antibody

Be the first to review this product! Submit a review

|

(1 Publication)

Rabbit Polyclonal C6orf129 antibody. Suitable for IHC-P, WB, ICC/IF and reacts with Human samples. Cited in 1 publication. Immunogen corresponding to Recombinant Fragment Protein within Human CCDC167.

View Alternative Names

C6orf129, HSPC265, CCDC167, Coiled-coil domain-containing protein 167

3 Images
Immunocytochemistry/ Immunofluorescence - Anti-C6orf129 antibody (AB126337)
  • ICC/IF

Unknown

Immunocytochemistry/ Immunofluorescence - Anti-C6orf129 antibody (AB126337)

Immunofluorescent staining of Human cell line U-2 OS shows positivity in cytoplasm and cytoskeleton (actin filaments). Recommended concentration of ab126337 1-4 µg/ml. Cells treated with PFA/Triton X-100.

Immunohistochemistry (Formalin/PFA-fixed paraffin-embedded sections) - Anti-C6orf129 antibody (AB126337)
  • IHC-P

Unknown

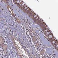
Immunohistochemistry (Formalin/PFA-fixed paraffin-embedded sections) - Anti-C6orf129 antibody (AB126337)

ab126337, at a dilution of 1/50, staining C6orf129 in paraffin-embedded Human nasopharynx tissue by Immunohistochemistry.

Western blot - Anti-C6orf129 antibody (AB126337)
  • WB

Supplier Data

Western blot - Anti-C6orf129 antibody (AB126337)

All lanes:

Western blot - Anti-C6orf129 antibody (ab126337)

All lanes:

Human cell line HEK 293

Predicted band size: 11 kDa

false

Key facts

Host species

Rabbit

Clonality

Polyclonal

Isotype

IgG

Carrier free

No

Reacts with

Human

Applications

ICC/IF, IHC-P, WB

applications

Immunogen

Recombinant Fragment Protein within Human CCDC167. The exact immunogen used to generate this antibody is proprietary information.

Q9P0B6

Reactivity data

{ "title": "Reactivity Data", "filters": { "stats": ["", "Species", "Dilution Info", "Notes"], "tabs": { "all-applications": {"fullname" : "All Applications", "shortname": "All Applications"}, "IHCP" : {"fullname" : "Immunohistochemistry (Formalin/PFA-fixed paraffin-embedded sections)", "shortname":"IHC-P"}, "WB" : {"fullname" : "Western blot", "shortname":"WB"}, "ICCIF" : {"fullname" : "Immunocytochemistry/ Immunofluorescence", "shortname":"ICC/IF"} }, "product-promise": { "all": "all", "testedAndGuaranteed": "tested", "guaranteed": "expected", "predicted": "predicted", "notRecommended": "not-recommended" } }, "values": { "Human": { "IHCP-species-checked": "testedAndGuaranteed", "IHCP-species-dilution-info": "1/50 - 1/200", "IHCP-species-notes": "<p></p> Perform heat-mediated antigen retrieval with citrate buffer pH 6 before commencing with IHC staining protocol.", "WB-species-checked": "testedAndGuaranteed", "WB-species-dilution-info": "0.04-0.4 µg/mL", "WB-species-notes": "<p></p>", "ICCIF-species-checked": "testedAndGuaranteed", "ICCIF-species-dilution-info": "0.25-2 µg/mL", "ICCIF-species-notes": "<p></p>" } } }

Properties and storage information

Form
Liquid
Purification technique
Affinity purification Immunogen
Storage buffer
pH: 7.2 Preservative: 0.02% Sodium azide Constituents: PBS, 40% Glycerol (glycerin, glycerine)
Shipped at conditions
Blue Ice
Appropriate short-term storage conditions
+4°C
Appropriate long-term storage conditions
-20°C
Aliquoting information
Upon delivery aliquot
Storage information
Avoid freeze / thaw cycle

Supplementary information

This supplementary information is collated from multiple sources and compiled automatically.

C6orf129 also known as chromosome 6 open reading frame 129 is a protein that plays a role in cellular signaling processes. It has a mass of approximately 69 kDa. Expression of C6orf129 occurs in various tissues with higher levels found in brain and reproductive organs. Researchers are still exploring the full mechanical action of C6orf129 but it is thought to participate in signal transduction pathways that regulate cell functions.
Biological function summary

This protein contributes to the modulation of neurobiological processes and has been associated with cellular communication activities. It does not typically form part of a known complex but its role in neuron cell signaling suggests a synergistic effect with other signaling proteins. Studies indicate potential involvement in synaptic plasticity hinting at functions related to nerve signal transmission.

Pathways

C6orf129 influences synaptic signaling and brain development pathways. It interacts with proteins such as synaptotagmin and neurotrophin receptors which play significant roles in these pathways. Through these interactions C6orf129 helps regulate synaptic connectivity and neuron growth suggesting its importance in nervous system maintenance.

Researchers have linked altered expression of C6orf129 to neurological conditions like schizophrenia and epilepsy. Abnormal levels of this protein could affect neurotransmitter systems potentially contributing to the symptoms observed in these disorders. It stands in relation to proteins like dopamine receptor D2 and alpha-synuclein known for their involvement in neurological pathologies further highlighting its relevance in disease mechanisms.

Product protocols

For this product, it's our understanding that no specific protocols are required. You can visit:

Publications (1)

Recent publications for all applications. Explore the full list and refine your search

Cell death & disease 15:681 PubMed39289348

2024

MANF serves as a novel hepatocyte factor to promote liver regeneration after 2/3 partial hepatectomy via doubly targeting Wnt/β-catenin signaling.

Applications

Unspecified application

Species

Unspecified reactive species

Yanyan Liang,Qiong Mei,Enguang He,Petek Ballar,Chuansheng Wei,Yue Wang,Yue Dong,Jie Zhou,Xiaofang Tao,Wenyan Qu,Mingxia Zhao,Goma Chhetri,Limeng Wei,Juntang Shao,Yujun Shen,Jun Liu,Lijie Feng,Yuxian Shen
View all publications

Product promise

We are committed to supporting your work with high-quality reagents, and we're here for you every step of the way. In the unlikely event that one of our products does not perform as expected, you're protected by our Product Promise.
For full details, please see our Terms & Conditions

Please note: All products are 'FOR RESEARCH USE ONLY. NOT FOR USE IN DIAGNOSTIC OR THERAPEUTIC PROCEDURES'.

For licensing inquiries, please contact partnerships@abcam.com