JavaScript is disabled in your browser. Please enable JavaScript to view this website.
AB235086

Anti-C8ORF34 antibody

Be the first to review this product! Submit a review

|

(1 Publication)

Rabbit Polyclonal C8ORF34 antibody. Suitable for WB, IHC-P and reacts with Mouse, Human samples. Cited in 1 publication. Immunogen corresponding to Recombinant Fragment Protein within Human C8orf34 aa 1-300.

View Alternative Names

Uncharacterized protein C8orf34, Protein VEST-1, C8orf34

3 Images
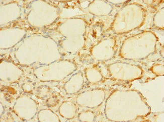
Immunohistochemistry (Formalin/PFA-fixed paraffin-embedded sections) - Anti-C8ORF34 antibody (AB235086)
  • IHC-P

Supplier Data

Immunohistochemistry (Formalin/PFA-fixed paraffin-embedded sections) - Anti-C8ORF34 antibody (AB235086)

Paraffin-embedded human thyroid tissue stained for C8ORF34 using ab235086 at 1/100 dilution in immunohistochemical analysis.

Western blot - Anti-C8ORF34 antibody (AB235086)
  • WB

Supplier Data

Western blot - Anti-C8ORF34 antibody (AB235086)

All lanes:

Western blot - Anti-C8ORF34 antibody (ab235086) at 1/500 dilution

All lanes:

Mouse skeletal muscle lysate

Secondary

All lanes:

Goat polyclonal to rabbit IgG at 1/10000 dilution

Predicted band size: 51 kDa

false

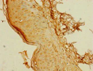
Immunohistochemistry (Formalin/PFA-fixed paraffin-embedded sections) - Anti-C8ORF34 antibody (AB235086)
  • IHC-P

Supplier Data

Immunohistochemistry (Formalin/PFA-fixed paraffin-embedded sections) - Anti-C8ORF34 antibody (AB235086)

Paraffin-embedded human skin tissue stained for C8ORF34 using ab235086 at 1/100 dilution in immunohistochemical analysis.

Key facts

Host species

Rabbit

Clonality

Polyclonal

Isotype

IgG

Carrier free

No

Reacts with

Mouse, Human

Applications

WB, IHC-P

applications

Immunogen

Recombinant Fragment Protein within Human C8orf34 aa 1-300. The exact immunogen used to generate this antibody is proprietary information.

Q49A92

Reactivity data

{ "title": "Reactivity Data", "filters": { "stats": ["", "Species", "Dilution Info", "Notes"], "tabs": { "all-applications": {"fullname" : "All Applications", "shortname": "All Applications"}, "WB" : {"fullname" : "Western blot", "shortname":"WB"}, "IHCP" : {"fullname" : "Immunohistochemistry (Formalin/PFA-fixed paraffin-embedded sections)", "shortname":"IHC-P"} }, "product-promise": { "all": "all", "testedAndGuaranteed": "tested", "guaranteed": "expected", "predicted": "predicted", "notRecommended": "not-recommended" } }, "values": { "Human": { "WB-species-checked": "guaranteed", "WB-species-dilution-info": "", "WB-species-notes": "", "IHCP-species-checked": "testedAndGuaranteed", "IHCP-species-dilution-info": "1/20 - 1/200", "IHCP-species-notes": "<p></p>" }, "Mouse": { "WB-species-checked": "testedAndGuaranteed", "WB-species-dilution-info": "1/500 - 1/5000", "WB-species-notes": "<p></p>", "IHCP-species-checked": "guaranteed", "IHCP-species-dilution-info": "", "IHCP-species-notes": "" } } }

Properties and storage information

Form
Liquid
Purification technique
Affinity purification Protein G
Purification notes
Purity >95%
Storage buffer
pH: 7.4 Preservative: 0.03% Proclin 300 Constituents: PBS, 50% Glycerol (glycerin, glycerine)
Shipped at conditions
Blue Ice
Appropriate short-term storage duration
1-2 weeks
Appropriate short-term storage conditions
+4°C
Appropriate long-term storage conditions
-20°C
Aliquoting information
Upon delivery aliquot
Storage information
Avoid freeze / thaw cycle

Supplementary information

This supplementary information is collated from multiple sources and compiled automatically.

The protein C8ORF34 also known as Chromosome 8 Open Reading Frame 34 is a relatively lesser-known component with a mass of approximately 30 kDa. The gene encoding C8ORF34 is expressed in several tissues including the brain liver and heart. Although the precise mechanical function of C8ORF34 remains under investigation initial studies suggest it might play a role in cellular homeostasis. Expression profiling reveals significant presence in both embryonic and adult tissues adding complexity to its functional understanding.
Biological function summary

The function of C8ORF34 in cells appears linked to mitochondrial processes. While it is still not clear if C8ORF34 acts as a part of a larger protein complex some evidence points towards its potential interactions with mitochondrial proteins. C8ORF34 may have roles that impact energy production and metabolic regulation. Further research is needed to fully uncover how C8ORF34 operates within the mitochondria.

Pathways

C8ORF34 seems important in pathways involving mitochondrial dynamics and apoptosis. Initial data have suggested that its interaction with proteins like BCL-2 and BAX indicates a relevance to the apoptosis pathway. These interactions point to a possible regulatory role that affects cellular responses to stress and survival. Understanding C8ORF34's exact pathway integrations will require more detailed pathway mapping.

Research on C8ORF34 is still emerging. However recent studies have pointed toward a potential link to neurodegenerative diseases such as Alzheimer's Disease. Disrupted mitochondrial function associated with C8ORF34 offers a connection to this disorder alongside proteins like APP and Tau. Another area of concern involves metabolic syndromes although more studies are needed to confirm these associations. The connections in these disorders invite exploration into therapeutic targeting of C8ORF34.

Product protocols

For this product, it's our understanding that no specific protocols are required. You can visit:

Publications (1)

Recent publications for all applications. Explore the full list and refine your search

Nature communications 14:3729 PubMed37349316

2023

Maternal NAT10 orchestrates oocyte meiotic cell-cycle progression and maturation in mice.

Applications

Unspecified application

Species

Unspecified reactive species

Xue Jiang,Yu Cheng,Yuzhang Zhu,Caoling Xu,Qiaodan Li,Xuemei Xing,Wenqing Li,Jiaqi Zou,Lan Meng,Muhammad Azhar,Yuzhu Cao,Xianhong Tong,Weibing Qin,Xiaoli Zhu,Jianqiang Bao
View all publications

Product promise

We are committed to supporting your work with high-quality reagents, and we're here for you every step of the way. In the unlikely event that one of our products does not perform as expected, you're protected by our Product Promise.
For full details, please see our Terms & Conditions

Please note: All products are 'FOR RESEARCH USE ONLY. NOT FOR USE IN DIAGNOSTIC OR THERAPEUTIC PROCEDURES'.

For licensing inquiries, please contact partnerships@abcam.com