JavaScript is disabled in your browser. Please enable JavaScript to view this website.
AB118902

Anti-C9 antibody

Be the first to review this product! Submit a review

|

(0 Publication)

Rabbit Polyclonal C9 antibody. Suitable for WB, IHC-P, ICC/IF and reacts with Human samples. Immunogen corresponding to Recombinant Full Length Protein corresponding to Human C9.

View Alternative Names

Complement component C9, C9

4 Images
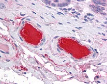
Immunohistochemistry (Formalin/PFA-fixed paraffin-embedded sections) - Anti-C9 antibody (AB118902)
  • IHC-P

Unknown

Immunohistochemistry (Formalin/PFA-fixed paraffin-embedded sections) - Anti-C9 antibody (AB118902)

Immunohistochemistry analysis (Formalin-Fixed, Paraffin-Embedded) of Human Small Intestine, Vessels stained with ab118902 at 10 µg/ml

Immunohistochemistry (Formalin/PFA-fixed paraffin-embedded sections) - Anti-C9 antibody (AB118902)
  • IHC-P

Unknown

Immunohistochemistry (Formalin/PFA-fixed paraffin-embedded sections) - Anti-C9 antibody (AB118902)

Immunohistochemistry analysis (Formalin-Fixed, Paraffin-Embedded) of Human Placenta stained with ab118902 at 10 µg/ml

Immunocytochemistry/ Immunofluorescence - Anti-C9 antibody (AB118902)
  • ICC/IF

Unknown

Immunocytochemistry/ Immunofluorescence - Anti-C9 antibody (AB118902)

Immunofluorescence analysis of methanol-fixed HepG2, using ab118902 at 1 : 200 dilution.

Western blot - Anti-C9 antibody (AB118902)
  • WB

Unknown

Western blot - Anti-C9 antibody (AB118902)

All lanes:

Western blot - Anti-C9 antibody (ab118902) at 1/500 dilution

All lanes:

Raji cell lysate at 30 µg

Predicted band size: 63 kDa

false

Key facts

Host species

Rabbit

Clonality

Polyclonal

Isotype

IgG

Carrier free

No

Reacts with

Human

Applications

WB, ICC/IF, IHC-P

applications

Immunogen

Recombinant Full Length Protein corresponding to Human C9.

P02748

Reactivity data

{ "title": "Reactivity Data", "filters": { "stats": ["", "Species", "Dilution Info", "Notes"], "tabs": { "all-applications": {"fullname" : "All Applications", "shortname": "All Applications"}, "WB" : {"fullname" : "Western blot", "shortname":"WB"}, "IHCP" : {"fullname" : "Immunohistochemistry (Formalin/PFA-fixed paraffin-embedded sections)", "shortname":"IHC-P"}, "ICCIF" : {"fullname" : "Immunocytochemistry/ Immunofluorescence", "shortname":"ICC/IF"} }, "product-promise": { "all": "all", "testedAndGuaranteed": "tested", "guaranteed": "expected", "predicted": "predicted", "notRecommended": "not-recommended" } }, "values": { "Human": { "WB-species-checked": "testedAndGuaranteed", "WB-species-dilution-info": "1/500 - 1/3000", "WB-species-notes": "<p></p>", "IHCP-species-checked": "testedAndGuaranteed", "IHCP-species-dilution-info": "10 µg/mL", "IHCP-species-notes": "<p></p>", "ICCIF-species-checked": "testedAndGuaranteed", "ICCIF-species-dilution-info": "1/100 - 1/200", "ICCIF-species-notes": "<p></p>" } } }

You may be interested in:

AB137972

Human Complement C9 ELISA Kit

0

0 Reviews

View product

We recommend this product because it’s often used in the same experiment or related research.

We advise that you always check the datasheet to ensure it fits your experiments, or contact ourtechnical teamfor help.

Properties and storage information

Form
Liquid
Purification technique
Affinity purification Immunogen
Storage buffer
pH: 7 Preservative: 0.01% Thimerosal (merthiolate) Constituents: Tris glycine, 10% Glycerol (glycerin, glycerine)
Shipped at conditions
Blue Ice
Appropriate short-term storage conditions
+4°C
Appropriate long-term storage conditions
-20°C
Aliquoting information
Upon delivery aliquot
Storage information
Avoid freeze / thaw cycle

Supplementary information

This supplementary information is collated from multiple sources and compiled automatically.

C9 also known as complement component 9 is a protein that plays an essential mechanical role in the complement system. It typically associates in the formation of the membrane attack complex (MAC). The C9 protein weighing around 71 kDa expresses in the liver and is secreted into the blood plasma. Alternative names like 'Cloud 9 capture' and 'C9 tag' often refer to research tools or motifs derived from the C9 protein rather than the protein itself. Researchers frequently study C9 in mouse models where its physiological roles can be explored.
Biological function summary

C9 participates in defending against pathogens. It joins other complement components like C5b C6 C7 and C8 to form the MAC complex which facilitates cell lysis by forming pores in the membrane of target cells. This action directly results in microbial cell destruction serving a critical immune function. C9 is not only part of the MAC complex but also holds significance due to its unique function as the last step in the formation of the pore influencing the efficacy of pathogen elimination.

Pathways

C9 functions primarily within the complement cascade which includes the classical and alternative pathways. Its role is in the terminal pathway segment that ultimately leads to the formation of the MAC and follows the activation of C5 which cleaves to produce C5b. This connection extends to proteins like C3 which is upstream in the cascade and significantly impacts the cascade's activation highlighting C9's function as an integral terminal component in these pathways.

Mutations or deficits in C9 relate to an increased susceptibility to infections particularly those caused by Neisseria species. This association results directly from its important role in the MAC formation. Additionally deficiency of C9 links to autoimmune disorders where the immune response may be improperly regulated due to compromised MAC formation. Other complement components like C6 and C8 may also relate to these diseases due to their collaboration with C9 in forming the MAC illustrating the interconnectedness of these proteins within the immune response framework.

Product protocols

For this product, it's our understanding that no specific protocols are required. You can visit:

Target data

Constituent of the membrane attack complex (MAC) that plays a key role in the innate and adaptive immune response by forming pores in the plasma membrane of target cells (PubMed : 26841934, PubMed : 9212048, PubMed : 9634479). C9 is the pore-forming subunit of the MAC (PubMed : 26841934, PubMed : 30111885, PubMed : 4055801).
See full target information C9

Product promise

We are committed to supporting your work with high-quality reagents, and we're here for you every step of the way. In the unlikely event that one of our products does not perform as expected, you're protected by our Product Promise.
For full details, please see our Terms & Conditions

Associated Products

Select an associated product type
Alternative Product
Primary Antibodies

AB17931

Anti-C9 antibody [53]

primary-antibodies

c9-antibody-53-ab17931

0

(0 reviews)

Alternative Product
Primary Antibodies

AB168345

Anti-C9 antibody [EPR11232]

primary-antibodies

c9-antibody-epr11232-ab168345

0

(0 reviews)

Please note: All products are 'FOR RESEARCH USE ONLY. NOT FOR USE IN DIAGNOSTIC OR THERAPEUTIC PROCEDURES'.

For licensing inquiries, please contact partnerships@abcam.com