JavaScript is disabled in your browser. Please enable JavaScript to view this website.
AB121527

Anti-C9ORF91 antibody

Be the first to review this product! Submit a review

|

(1 Publication)

Rabbit Polyclonal C9ORF91 antibody. Suitable for IHC-P, ICC and reacts with Human samples. Cited in 1 publication. Immunogen corresponding to Recombinant Fragment Protein within Human TMEM268 aa 150 to C-terminus.

View Alternative Names

C9orf91, TMEM268, Transmembrane protein 268

5 Images
Immunohistochemistry (Formalin/PFA-fixed paraffin-embedded sections) - Anti-C9ORF91 antibody (AB121527)
  • IHC-P

Supplier Data

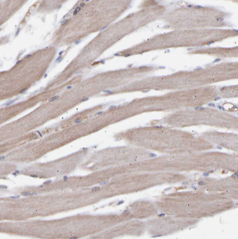
Immunohistochemistry (Formalin/PFA-fixed paraffin-embedded sections) - Anti-C9ORF91 antibody (AB121527)

Immunohistochemistry (Formalin/PFA-fixed paraffin-embedded sections) analysis of human skeletal muscle tissue labelling C9ORF91 with ab121527 at 1/500 dilution. Heat mediated antigen retrieval performed with citrate buffer pH 6 before commencing with IHC staining protocol.

Immunocytochemistry - Anti-C9ORF91 antibody (AB121527)
  • ICC

Supplier Data

Immunocytochemistry - Anti-C9ORF91 antibody (AB121527)

Immunocytochemistry analysis of U-2 OS (human bone osteosarcoma epithelial cell line) cells labelling C9ORF91 with ab121527 at 0.25 μg/mL.

Immunohistochemistry (Formalin/PFA-fixed paraffin-embedded sections) - Anti-C9ORF91 antibody (AB121527)
  • IHC-P

Supplier Data

Immunohistochemistry (Formalin/PFA-fixed paraffin-embedded sections) - Anti-C9ORF91 antibody (AB121527)

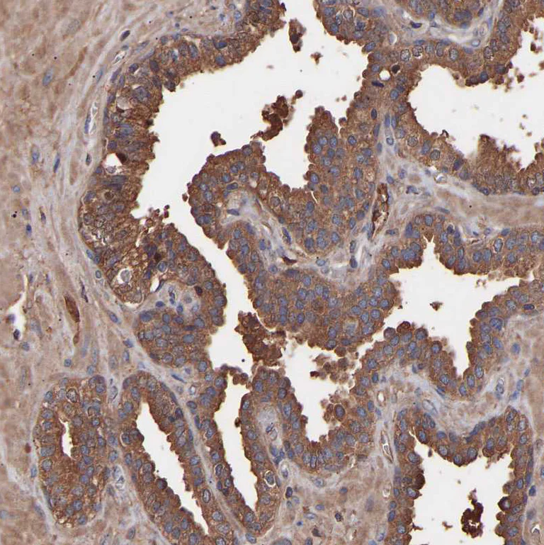
Immunohistochemistry (Formalin/PFA-fixed paraffin-embedded sections) analysis of human prostate tissue labelling C9ORF91 with ab121527 at 1/500 dilution. Heat mediated antigen retrieval performed with citrate buffer pH 6 before commencing with IHC staining protocol.

Immunohistochemistry (Formalin/PFA-fixed paraffin-embedded sections) - Anti-C9ORF91 antibody (AB121527)
  • IHC-P

Supplier Data

Immunohistochemistry (Formalin/PFA-fixed paraffin-embedded sections) - Anti-C9ORF91 antibody (AB121527)

Immunohistochemistry (Formalin/PFA-fixed paraffin-embedded sections) analysis of human lymph node tissue labelling C9ORF91 with ab121527 at 1/500 dilution. Heat mediated antigen retrieval performed with citrate buffer pH 6 before commencing with IHC staining protocol.

Immunohistochemistry (Formalin/PFA-fixed paraffin-embedded sections) - Anti-C9ORF91 antibody (AB121527)
  • IHC-P

Supplier Data

Immunohistochemistry (Formalin/PFA-fixed paraffin-embedded sections) - Anti-C9ORF91 antibody (AB121527)

Immunohistochemistry (Formalin/PFA-fixed paraffin-embedded sections) analysis of human cerebellum tissue labelling C9ORF91 with ab121527 at 1/500 dilution. Heat mediated antigen retrieval performed with citrate buffer pH 6 before commencing with IHC staining protocol.

Key facts

Host species

Rabbit

Clonality

Polyclonal

Isotype

IgG

Carrier free

No

Reacts with

Human

Applications

ICC, IHC-P

applications

Immunogen

Recombinant Fragment Protein within Human TMEM268 aa 150 to C-terminus. The exact immunogen used to generate this antibody is proprietary information.

Q5VZI3

Reactivity data

{ "title": "Reactivity Data", "filters": { "stats": ["", "Species", "Dilution Info", "Notes"], "tabs": { "all-applications": {"fullname" : "All Applications", "shortname": "All Applications"}, "IHCP" : {"fullname" : "Immunohistochemistry (Formalin/PFA-fixed paraffin-embedded sections)", "shortname":"IHC-P"}, "ICC" : {"fullname" : "Immunocytochemistry", "shortname":"ICC"} }, "product-promise": { "all": "all", "testedAndGuaranteed": "tested", "guaranteed": "expected", "predicted": "predicted", "notRecommended": "not-recommended" } }, "values": { "Human": { "IHCP-species-checked": "testedAndGuaranteed", "IHCP-species-dilution-info": "1/500 - 1/1000", "IHCP-species-notes": "<p></p> Perform heat-mediated antigen retrieval with citrate buffer pH 6 before commencing with IHC staining protocol.", "ICC-species-checked": "testedAndGuaranteed", "ICC-species-dilution-info": "0.25-2 µg/mL", "ICC-species-notes": "<p></p>" } } }

Properties and storage information

Form
Liquid
Purification technique
Affinity purification Immunogen
Storage buffer
pH: 7.2 Preservative: 0.02% Sodium azide Constituents: PBS, 40% Glycerol (glycerin, glycerine)
Shipped at conditions
Blue Ice
Appropriate short-term storage conditions
+4°C
Appropriate long-term storage conditions
-20°C
Aliquoting information
Upon delivery aliquot
Storage information
Avoid freeze / thaw cycle

Supplementary information

This supplementary information is collated from multiple sources and compiled automatically.

C9ORF91 also known as Chromosome 9 Open Reading Frame 91 is a protein that weighs approximately 21 kDa. This protein is found across various tissues with significant expression in immune-related cells. It operates within the cellular environment contributing to intracellular processes that remain an active area of research. Scientists study its mechanical role to better understand its influence in different cellular contexts.
Biological function summary

C9ORF91 interacts with several proteins and may form part of a larger protein complex playing a role in regulating cellular homeostasis. Its function extends to modulating immune responses where it affects the signaling pathways. Researchers investigate whether this protein could be involved in cellular stress responses or other immunity-linked pathways.

Pathways

Scientists find that C9ORF91 integrates into critical cellular signaling pathways. It participates in immune signaling and homeostatic pathways where it connects with proteins like NF-kB which is vital in immune response regulation. This protein's involvement in these pathways suggests that it may have a role in modulating cellular responses to external stimuli and maintaining cellular equilibrium.

C9ORF91 has connections to autoimmune diseases and certain types of cancer. It associates with proteins such as STAT3 which is known for its role in immune function and tumorigenesis. Understanding C9ORF91’s role could provide insights into disease mechanisms and highlight potential therapeutic targets for related disorders.

Product protocols

For this product, it's our understanding that no specific protocols are required. You can visit:

Target data

Stabilizes cell surface expression of ITGAM and participates in the adhesion and migration of phagocytes during bacterial clearance.
See full target information TMEM268

Publications (1)

Recent publications for all applications. Explore the full list and refine your search

eLife 11: PubMed35880862

2022

XAB2 dynamics during DNA damage-dependent transcription inhibition.

Applications

Unspecified application

Species

Unspecified reactive species

Lise-Marie Donnio,Elena Cerutti,Charlene Magnani,Damien Neuillet,Pierre-Olivier Mari,Giuseppina Giglia-Mari
View all publications

Product promise

We are committed to supporting your work with high-quality reagents, and we're here for you every step of the way. In the unlikely event that one of our products does not perform as expected, you're protected by our Product Promise.
For full details, please see our Terms & Conditions

Please note: All products are 'FOR RESEARCH USE ONLY. NOT FOR USE IN DIAGNOSTIC OR THERAPEUTIC PROCEDURES'.

For licensing inquiries, please contact partnerships@abcam.com