JavaScript is disabled in your browser. Please enable JavaScript to view this website.
AB286184

Anti-CA19-9 antibody [121SLE]

Be the first to review this product! Submit a review

|

(0 Publication)

Mouse Monoclonal CA19-9 antibody. Carrier free. Suitable for IHC-P and reacts with Human samples.

View Alternative Names

CA19.9, Ovarian tumor antigen, Pancreatic tumor antigen, Sialyl Lewis a

1 Images
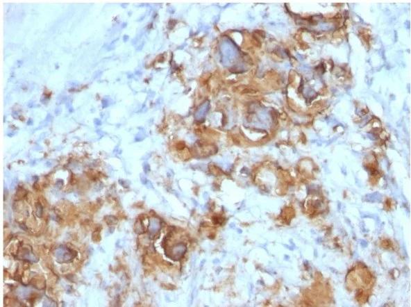
Immunohistochemistry (Formalin/PFA-fixed paraffin-embedded sections) - Anti-CA19-9 antibody [121SLE] (AB286184)
  • IHC-P

Supplier Data

Immunohistochemistry (Formalin/PFA-fixed paraffin-embedded sections) - Anti-CA19-9 antibody [121SLE] (AB286184)

Immunohistochemical analysis of paraffin embedded formalin fixed human gastric carcinoma using ab286184 at 2 μg/ml.

The tissue section was heated in 10 mM Tris with 1 mM EDTA, pH 9.0 for 45 mins at 95°C, and then cooled at RT for 20 mins. The section was incubated with the antibody at RT for 30 mins.

Key facts

Host species

Mouse

Clonality

Monoclonal

Clone number

121SLE

Isotype

IgM

Light chain type

kappa

Carrier free

Yes

Reacts with

Human

Applications

IHC-P

applications

Immunogen

The exact immunogen used to generate this antibody is proprietary information.

Reactivity data

{ "title": "Reactivity Data", "filters": { "stats": ["", "Species", "Dilution Info", "Notes"], "tabs": { "all-applications": {"fullname" : "All Applications", "shortname": "All Applications"}, "IHCP" : {"fullname" : "Immunohistochemistry (Formalin/PFA-fixed paraffin-embedded sections)", "shortname":"IHC-P"} }, "product-promise": { "all": "all", "testedAndGuaranteed": "tested", "guaranteed": "expected", "predicted": "predicted", "notRecommended": "not-recommended" } }, "values": { "Human": { "IHCP-species-checked": "guaranteed", "IHCP-species-dilution-info": "1-2 µg/mL", "IHCP-species-notes": "<p></p> Perform heat-mediated antigen retrieval with Tris/EDTA buffer pH 9.0 before commencing with IHC staining protocol." } } }

Product details

This product is manufactured by BioVision, an Abcam company and was previously called A2227 CA19-9 Antibody (Clone 121SLE), Carrier-Free. A2227-100 is the same size as the 100 μg size of ab286184.

Properties and storage information

Form
Liquid
Purification technique
Affinity purification Protein A/G
Storage buffer
pH: 7.4 Constituents: PBS
Shipped at conditions
Blue Ice
Appropriate short-term storage duration
1-2 weeks
Appropriate short-term storage conditions
+4°C
Appropriate long-term storage conditions
-20°C
Aliquoting information
Upon delivery aliquot
Storage information
Avoid freeze / thaw cycle

Supplementary information

This supplementary information is collated from multiple sources and compiled automatically.

CA19-9 also known as carbohydrate antigen 19-9 or sialyl-Lewis A is a glycoprotein with a molecular mass of around 210 kDa. This antigen is mainly expressed on the surface of epithelial cells in the pancreas liver gallbladder and stomach. It serves as a well-recognized tumor marker for cancers associated with these organs. CA19-9 can be detected using techniques like immunohistochemistry (IHC) aiding in diagnostic and research applications.
Biological function summary

CA19-9 plays a role in cell-cell communication and adhesion contributing to the behavior of cancer cells regarding metastasis and invasion. It is part of a broader complex involving glycoproteins which is important in cell surface recognition and signaling events. In normal cellular roles functions are less prominent but the alterations in cancerous cells highlight its biological significance in oncogenesis.

Pathways

CA19-9 interacts with several signal transduction pathways that influence cellular processes like proliferation and migration. Notably it is involved in the EGF receptor pathway affecting cellular growth and survival mechanisms. It relates to glycosylation pathways which together with other proteins such as MUC1 modify cellular membranes in malignant tissues influencing tumor progression and evasion from immune detection.

CA19-9 frequently connects with pancreatic cancer and cholangiocarcinoma serving as a biomarker for diagnosis and monitoring disease progression. Its levels often increase in response to malignancies in these tissues. Studies suggest its interaction with proteins like CEACAM6 might enhance tumor invasiveness and metastasis. Identifying elevated CA19-9 can guide clinical decisions and therapeutic strategies in affected individuals.

Product protocols

For this product, it's our understanding that no specific protocols are required. You can visit:

Product promise

We are committed to supporting your work with high-quality reagents, and we're here for you every step of the way. In the unlikely event that one of our products does not perform as expected, you're protected by our Product Promise.
For full details, please see our Terms & Conditions

Please note: All products are 'FOR RESEARCH USE ONLY. NOT FOR USE IN DIAGNOSTIC OR THERAPEUTIC PROCEDURES'.

For licensing inquiries, please contact partnerships@abcam.com