JavaScript is disabled in your browser. Please enable JavaScript to view this website.
AB116024

Anti-CA19-9 antibody [CA19-9-203]

Be the first to review this product! Submit a review

|

(7 Publications)

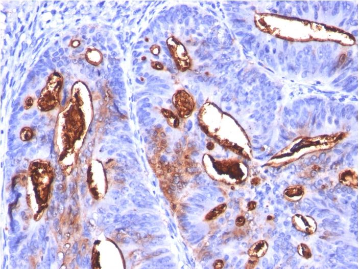
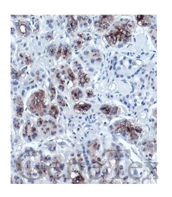
Anti-CA19-9 antibody [CA19-9-203] (ab116024) is a mouse monoclonal antibody detecting CA19-9 in IHC-P, IHC-Fr. Suitable for Human.

View Alternative Names

CA19.9, Ovarian tumor antigen, Pancreatic tumor antigen, Sialyl Lewis a

Key facts

Host species

Mouse

Clonality

Monoclonal

Clone number

CA19-9-203

Isotype

IgG1

Light chain type

kappa

Carrier free

No

Reacts with

Human

Applications

IHC-P, IHC-Fr, ICC

applications

Reactivity data

{ "title": "Reactivity Data", "filters": { "stats": ["", "Species", "Dilution Info", "Notes"], "tabs": { "all-applications": {"fullname" : "All Applications", "shortname": "All Applications"}, "ICC" : {"fullname" : "Immunocytochemistry", "shortname":"ICC"}, "IHCP" : {"fullname" : "Immunohistochemistry (Formalin/PFA-fixed paraffin-embedded sections)", "shortname":"IHC-P"}, "IHCFr" : {"fullname" : "Immunohistochemistry (Frozen sections)", "shortname":"IHC-Fr"} }, "product-promise": { "all": "all", "testedAndGuaranteed": "tested", "guaranteed": "expected", "predicted": "predicted", "notRecommended": "not-recommended" } }, "values": { "Human": { "ICC-species-checked": "guaranteed", "ICC-species-dilution-info": "", "ICC-species-notes": "<p></p>", "IHCP-species-checked": "guaranteed", "IHCP-species-dilution-info": "", "IHCP-species-notes": "<p></p>", "IHCFr-species-checked": "guaranteed", "IHCFr-species-dilution-info": "", "IHCFr-species-notes": "<p></p>" } } }

Product details

What is this antibody validated in?
Anti-CA19-9 antibody [CA19-9-203] (ab116024) is a mouse monoclonal antibody and is validated for use in Immunohistochemistry (IHC-P), Immunohistochemistry (IHC-Fr) in Human samples.

Properties and storage information

Form
Liquid
Purification technique
Affinity purification Protein A
Storage buffer
pH: 7.4 Preservative: 0.09% Sodium azide Constituents: PBS, 1% BSA
Shipped at conditions
Blue Ice
Appropriate short-term storage duration
1-2 weeks
Appropriate short-term storage conditions
+4°C
Appropriate long-term storage conditions
-20°C
Storage information
Avoid freeze / thaw cycle

Supplementary information

This supplementary information is collated from multiple sources and compiled automatically.

CA19-9 also known as carbohydrate antigen 19-9 or sialyl-Lewis A is a glycoprotein with a molecular mass of around 210 kDa. This antigen is mainly expressed on the surface of epithelial cells in the pancreas liver gallbladder and stomach. It serves as a well-recognized tumor marker for cancers associated with these organs. CA19-9 can be detected using techniques like immunohistochemistry (IHC) aiding in diagnostic and research applications.
Biological function summary

CA19-9 plays a role in cell-cell communication and adhesion contributing to the behavior of cancer cells regarding metastasis and invasion. It is part of a broader complex involving glycoproteins which is important in cell surface recognition and signaling events. In normal cellular roles functions are less prominent but the alterations in cancerous cells highlight its biological significance in oncogenesis.

Pathways

CA19-9 interacts with several signal transduction pathways that influence cellular processes like proliferation and migration. Notably it is involved in the EGF receptor pathway affecting cellular growth and survival mechanisms. It relates to glycosylation pathways which together with other proteins such as MUC1 modify cellular membranes in malignant tissues influencing tumor progression and evasion from immune detection.

CA19-9 frequently connects with pancreatic cancer and cholangiocarcinoma serving as a biomarker for diagnosis and monitoring disease progression. Its levels often increase in response to malignancies in these tissues. Studies suggest its interaction with proteins like CEACAM6 might enhance tumor invasiveness and metastasis. Identifying elevated CA19-9 can guide clinical decisions and therapeutic strategies in affected individuals.

Product protocols

For this product, it's our understanding that no specific protocols are required. You can visit:

Publications (7)

Recent publications for all applications. Explore the full list and refine your search

Theranostics 15:9375-9398 PubMed41041068

2025

Trimmed -glycans define aggressive gastric cancer and predict clinical outcomes.

Applications

Unspecified application

Species

Unspecified reactive species

Dylan Ferreira,Beatriz Marinho-Santos,Marta Relvas-Santos,Bernardo Orr,Andreia Brandão,Luís Pedro Afonso,Lúcio Lara Santos,José Alexandre Ferreira

iScience 28:111758 PubMed39906564

2025

Multilevel plasticity and altered glycosylation drive aggressiveness in hypoxic and glucose-deprived bladder cancer cells.

Applications

Unspecified application

Species

Unspecified reactive species

Andreia Peixoto,Dylan Ferreira,Andreia Miranda,Marta Relvas-Santos,Rui Freitas,Tim S Veth,Andreia Brandão,Eduardo Ferreira,Paula Paulo,Marta Cardoso,Cristiana Gaiteiro,Sofia Cotton,Janine Soares,Luís Lima,Filipe Teixeira,Rita Ferreira,Carlos Palmeira,Albert J R Heck,Maria José Oliveira,André M N Silva,Lúcio Lara Santos,José Alexandre Ferreira

Molecular oncology 19:635-658 PubMed39508360

2024

E-selectin affinity glycoproteomics reveals neuroendocrine proteins and the secretin receptor as a poor-prognosis signature in colorectal cancer.

Applications

Unspecified application

Species

Unspecified reactive species

Sofia Cotton,Dylan Ferreira,Marta Relvas-Santos,Andreia Brandão,Luís Pedro Afonso,Andreia Miranda,Eduardo Ferreira,Beatriz Santos,Martina Gonçalves,Paula Lopes,Lúcio Lara Santos,André M N Silva,José Alexandre Ferreira

Scientific reports 14:10199 PubMed38702437

2024

Clinical impact of high-quality testing for peritoneal lavage cytology in pancreatic cancer.

Applications

Unspecified application

Species

Unspecified reactive species

Masahiro Tanemura,Kenta Furukawa,Manabu Mikamori,Tadafumi Asaoka,Hironao Yasuoka,Daiki Marukawa,Yasuo Urata,Daisaku Yamada,Shogo Kobayashi,Hidetoshi Eguchi

Cancers 12: PubMed32252346

2020

Nucleolin-Sle A Glycoforms as E-Selectin Ligands and Potentially Targetable Biomarkers at the Cell Surface of Gastric Cancer Cells.

Applications

Unspecified application

Species

Unspecified reactive species

Elisabete Fernandes,Rui Freitas,Dylan Ferreira,Janine Soares,Rita Azevedo,Cristiana Gaiteiro,Andreia Peixoto,Sara Oliveira,Sofia Cotton,Marta Relvas-Santos,Luis Pedro Afonso,Carlos Palmeira,Maria José Oliveira,Rita Ferreira,André M N Silva,Lúcio Lara Santos,José Alexandre Ferreira

International journal of pharmaceutics 570:118646 PubMed31465836

2019

Glycoengineered nanoparticles enhance the delivery of 5-fluoroucil and paclitaxel to gastric cancer cells of high metastatic potential.

Applications

Unspecified application

Species

Unspecified reactive species

Elisabete Fernandes,Dylan Ferreira,Andreia Peixoto,Rui Freitas,Marta Relvas-Santos,Carlos Palmeira,Gabriela Martins,Anabela Barros,Lúcio Lara Santos,Bruno Sarmento,José Alexandre Ferreira

Biochimica et biophysica acta. General subjects 1862:2069-2080 PubMed29777742

2018

A functional glycoproteomics approach identifies CD13 as a novel E-selectin ligand in breast cancer.

Applications

Flow Cyt

Species

Human

M A Carrascal,M Silva,J A Ferreira,R Azevedo,D Ferreira,A M N Silva,D Ligeiro,L L Santos,R Sackstein,P A Videira
View all publications

Product promise

We are committed to supporting your work with high-quality reagents, and we're here for you every step of the way. In the unlikely event that one of our products does not perform as expected, you're protected by our Product Promise.
For full details, please see our Terms & Conditions

Please note: All products are 'FOR RESEARCH USE ONLY. NOT FOR USE IN DIAGNOSTIC OR THERAPEUTIC PROCEDURES'.

For licensing inquiries, please contact partnerships@abcam.com