JavaScript is disabled in your browser. Please enable JavaScript to view this website.
AB289665

Anti-CA19-9 antibody [GT933]

Be the first to review this product! Submit a review

|

(1 Publication)

Mouse Monoclonal CA19-9 antibody. Suitable for ICC/IF, Flow Cyt, WB, sELISA, IHC-P, cELISA, Biochemical assay and reacts with Human samples. Cited in 1 publication. Immunogen corresponding to Chemical / Small Molecule corresponding to CA19-9.

View Alternative Names

CA19.9, Ovarian tumor antigen, Pancreatic tumor antigen, Sialyl Lewis a

11 Images
Immunocytochemistry/ Immunofluorescence - Anti-CA19-9 antibody [GT933] (AB289665)
  • ICC/IF

Supplier Data

Immunocytochemistry/ Immunofluorescence - Anti-CA19-9 antibody [GT933] (AB289665)

Paraformaldehyde-fixed (4% for 15 minutes) SW1116 (human colon adenocarcinoma cell line) and HT-29 (human colorectal adenocarcinoma cell line) cells were labeled for CA19-9 using ab289665 at 1/1000 dilution in ICC (Green). The nuclear counterstain is DAPI (Blue).

Low expression control : HT-29 cells.

Immunohistochemistry (Formalin/PFA-fixed paraffin-embedded sections) - Anti-CA19-9 antibody [GT933] (AB289665)
  • IHC-P

Supplier Data

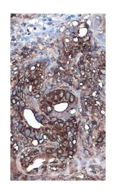
Immunohistochemistry (Formalin/PFA-fixed paraffin-embedded sections) - Anti-CA19-9 antibody [GT933] (AB289665)

Immunohistochemical analysis of paraffin-embedded human pancreatic ductal adenocarcinoma tissue staining CA19-9 using ab289665 at 1/500 dilution.

Antigen retrieval : citrate buffer (pH 6.0) for 15 minutes.

Flow Cytometry - Anti-CA19-9 antibody [GT933] (AB289665)
  • Flow Cyt

Supplier Data

Flow Cytometry - Anti-CA19-9 antibody [GT933] (AB289665)

Flow cytometric analysis of COLO 205 (human colon adenocarcinoma cell line) cells labeling CA19-9 with ab289665 at 1/50 dilution (Red) as compared to unlabelled cells (Black) and a competitor antibody (Blue).

20 000 events were acquired for analysis.

Immunocytochemistry/ Immunofluorescence - Anti-CA19-9 antibody [GT933] (AB289665)
  • ICC/IF

Supplier Data

Immunocytochemistry/ Immunofluorescence - Anti-CA19-9 antibody [GT933] (AB289665)

Paraformaldehyde-fixed (4% for 15 minutes) SW1116 (human colon adenocarcinoma cell line) and HT-29 (human colorectal adenocarcinoma cell line) cells were labeled for CA19-9 using ab289665 at 1/1000 dilution in ICC (Green). The nuclear counterstain is DAPI (Blue). Low expression control : HT-29 cells.

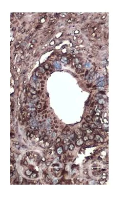
Immunohistochemistry (Formalin/PFA-fixed paraffin-embedded sections) - Anti-CA19-9 antibody [GT933] (AB289665)
  • IHC-P

Supplier Data

Immunohistochemistry (Formalin/PFA-fixed paraffin-embedded sections) - Anti-CA19-9 antibody [GT933] (AB289665)

Immunohistochemical analysis of paraffin-embedded human pancreatic ductal adenocarcinoma tissue staining CA19-9 using ab289665 at 1/500 dilution.

Antigen retrieval : citrate buffer (pH 6.0) for 15 minutes.

Immunohistochemistry (Formalin/PFA-fixed paraffin-embedded sections) - Anti-CA19-9 antibody [GT933] (AB289665)
  • IHC-P

Supplier Data

Immunohistochemistry (Formalin/PFA-fixed paraffin-embedded sections) - Anti-CA19-9 antibody [GT933] (AB289665)

Immunohistochemical analysis of paraffin-embedded human pancreatic ductal adenocarcinoma tissue staining CA19-9 using ab289665 at 1/500 dilution.

Antigen retrieval : citrate buffer (pH 6.0) for 15 minutes.

Competitive ELISA - Anti-CA19-9 antibody [GT933] (AB289665)
  • cELISA

Supplier Data

Competitive ELISA - Anti-CA19-9 antibody [GT933] (AB289665)

Competitive ELISA analysis of ab289665.

The binding of ab289665 (330 ng/mL) to immobilized recombinant HSA-CA19-9 (coated at 3 μg/mL) was measured in the presence of the indicated concentrations of soluble LewisA or LewisX.

Bound antibody was detected using a Goat Anti-Mouse IgG antibody (HRP) at 1/10000 dilution.

Western blot - Anti-CA19-9 antibody [GT933] (AB289665)
  • WB

Supplier Data

Western blot - Anti-CA19-9 antibody [GT933] (AB289665)

Cell extracts separated by 7.5% SDS-PAGE

All lanes:

Western blot - Anti-CA19-9 antibody [GT933] (ab289665) at 1/1000 dilution

Lane 1:

SW1116 (human adenocarcinoma cell line) whole cell extract at 30 µg

Lane 2:

HT-29 (human colorectal adenocarcinoma cell line) whole cell extract at 30 µg

Secondary

All lanes:

HRP-conjugated anti-mouse IgG antibody

Predicted band size: 32 kDa

false

Biochemical assay - Anti-CA19-9 antibody [GT933] (AB289665)
  • Biochemical assay

Supplier Data

Biochemical assay - Anti-CA19-9 antibody [GT933] (AB289665)

Glycan array analysis of ab289665.

ab289665 specifically detects Sialyl LewisA (Neu5Ac-; CA19-9) on a glycan array (Green).

Sialyl LewisA (Neu5Ac-; CA19-9) : Green

Modified Sialyl Lewis (Neu5Gc) : Red

Positive control : Yellow

Negative control : Blue

Sandwich ELISA - Anti-CA19-9 antibody [GT933] (AB289665)
  • sELISA

Supplier Data

Sandwich ELISA - Anti-CA19-9 antibody [GT933] (AB289665)

Sandwich ELISA analysis of ab289665.

A CA19-9 antibody was used as capture antibody at 5 μg/mL, and HRP-conjugated version of ab289665 was used as detector antibody at 1 μg/mL.

Note : the detector antibody needs to be HRP-conjugated to work in this format.

Sandwich ELISA - Anti-CA19-9 antibody [GT933] (AB289665)
  • sELISA

Supplier Data

Sandwich ELISA - Anti-CA19-9 antibody [GT933] (AB289665)

Sandwich ELISA analysis of ab289665.

ab289665 was used as capture antibody at 5 μg/mL, and a different HRP-conjugated CA19-9 antibody was used as detector antibody at 1 μg/mL.

Note : the detector antibody needs to be HRP-conjugated to work in this format.

Key facts

Host species

Mouse

Clonality

Monoclonal

Clone number

GT933

Isotype

IgG1

Carrier free

No

Reacts with

Human

Applications

cELISA, Flow Cyt, sELISA, ICC/IF, WB, Biochemical assay, IHC-P

applications

Specificity

This antibody specifically detects sialyl-Lewis A (CA 19-9), but not sialyl-Lewis X

Reactivity data

{ "title": "Reactivity Data", "filters": { "stats": ["", "Species", "Dilution Info", "Notes"], "tabs": { "all-applications": {"fullname" : "All Applications", "shortname": "All Applications"}, "ICCIF" : {"fullname" : "Immunocytochemistry/ Immunofluorescence", "shortname":"ICC/IF"}, "FlowCyt" : {"fullname" : "Flow Cytometry", "shortname":"Flow Cyt"}, "WB" : {"fullname" : "Western blot", "shortname":"WB"}, "sELISA" : {"fullname" : "Sandwich ELISA", "shortname":"sELISA"}, "IHCP" : {"fullname" : "Immunohistochemistry (Formalin/PFA-fixed paraffin-embedded sections)", "shortname":"IHC-P"}, "cELISA" : {"fullname" : "Competitive ELISA", "shortname":"cELISA"}, "Biochemicalassay" : {"fullname" : "Biochemical assay", "shortname":"Biochemical assay"} }, "product-promise": { "all": "all", "testedAndGuaranteed": "tested", "guaranteed": "expected", "predicted": "predicted", "notRecommended": "not-recommended" } }, "values": { "Human": { "ICCIF-species-checked": "testedAndGuaranteed", "ICCIF-species-dilution-info": "1/1000", "ICCIF-species-notes": "<p></p>", "FlowCyt-species-checked": "testedAndGuaranteed", "FlowCyt-species-dilution-info": "1/50", "FlowCyt-species-notes": "<p></p>", "WB-species-checked": "testedAndGuaranteed", "WB-species-dilution-info": "1/1000", "WB-species-notes": "<p></p>", "sELISA-species-checked": "testedAndGuaranteed", "sELISA-species-dilution-info": "1-5 µg/mL", "sELISA-species-notes": "<p>Note: the detector antibody needs to be HRP-conjugated to work in this format.</p>", "IHCP-species-checked": "testedAndGuaranteed", "IHCP-species-dilution-info": "1/500", "IHCP-species-notes": "<p></p> Perform heat-mediated antigen retrieval with citrate buffer pH 6 before commencing with IHC staining protocol.", "cELISA-species-checked": "testedAndGuaranteed", "cELISA-species-dilution-info": "0.33 µg/mL", "cELISA-species-notes": "<p></p>", "Biochemicalassay-species-checked": "testedAndGuaranteed", "Biochemicalassay-species-dilution-info": "", "Biochemicalassay-species-notes": "<p></p>" } } }

Properties and storage information

Form
Liquid
Purification technique
Affinity purification Protein G
Purification notes
Purified from tissue culture supernatant.
Storage buffer
Constituents: PBS, 20% Glycerol (glycerin, glycerine)
Shipped at conditions
Blue Ice
Appropriate short-term storage duration
1-2 weeks
Appropriate short-term storage conditions
+4°C
Appropriate long-term storage conditions
-20°C
Aliquoting information
Upon delivery aliquot
Storage information
Avoid freeze / thaw cycle

Supplementary information

This supplementary information is collated from multiple sources and compiled automatically.

CA19-9 also known as carbohydrate antigen 19-9 or sialyl-Lewis A is a glycoprotein with a molecular mass of around 210 kDa. This antigen is mainly expressed on the surface of epithelial cells in the pancreas liver gallbladder and stomach. It serves as a well-recognized tumor marker for cancers associated with these organs. CA19-9 can be detected using techniques like immunohistochemistry (IHC) aiding in diagnostic and research applications.
Biological function summary

CA19-9 plays a role in cell-cell communication and adhesion contributing to the behavior of cancer cells regarding metastasis and invasion. It is part of a broader complex involving glycoproteins which is important in cell surface recognition and signaling events. In normal cellular roles functions are less prominent but the alterations in cancerous cells highlight its biological significance in oncogenesis.

Pathways

CA19-9 interacts with several signal transduction pathways that influence cellular processes like proliferation and migration. Notably it is involved in the EGF receptor pathway affecting cellular growth and survival mechanisms. It relates to glycosylation pathways which together with other proteins such as MUC1 modify cellular membranes in malignant tissues influencing tumor progression and evasion from immune detection.

CA19-9 frequently connects with pancreatic cancer and cholangiocarcinoma serving as a biomarker for diagnosis and monitoring disease progression. Its levels often increase in response to malignancies in these tissues. Studies suggest its interaction with proteins like CEACAM6 might enhance tumor invasiveness and metastasis. Identifying elevated CA19-9 can guide clinical decisions and therapeutic strategies in affected individuals.

Product protocols

For this product, it's our understanding that no specific protocols are required. You can visit:

Publications (1)

Recent publications for all applications. Explore the full list and refine your search

Evidence-based complementary and alternative medicine : eCAM 2022:6234032 PubMed35571732

2022

Clinical Efficacy of Modified Decoction Combined with FOLFOX4 Chemotherapy Regimen in the Treatment of Advanced Gastric Cancer and Its Effect on Tumor Marker Levels.

Applications

Unspecified application

Species

Unspecified reactive species

Hongying Wu,Xiaomei Miao,Yan Liu,Shu Zhang,Chaohui Li,Jie Hao
View all publications

Product promise

We are committed to supporting your work with high-quality reagents, and we're here for you every step of the way. In the unlikely event that one of our products does not perform as expected, you're protected by our Product Promise.
For full details, please see our Terms & Conditions

Please note: All products are 'FOR RESEARCH USE ONLY. NOT FOR USE IN DIAGNOSTIC OR THERAPEUTIC PROCEDURES'.

For licensing inquiries, please contact partnerships@abcam.com