JavaScript is disabled in your browser. Please enable JavaScript to view this website.
AB51132

Anti-CAB39/MO25 antibody [EP1680Y]

Be the first to review this product! Submit a review

|

(14 Publications)

Rabbit Recombinant Monoclonal CAB39/MO25 antibody. Suitable for IHC-P, WB, ICC/IF, Flow Cyt (Intra) and reacts with Human samples. Cited in 14 publications.

View Alternative Names

MO25, CGI-66, CAB39, Calcium-binding protein 39, MO25alpha, Protein Mo25

4 Images
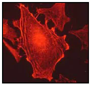
Immunocytochemistry/ Immunofluorescence - Anti-CAB39/MO25 antibody [EP1680Y] (AB51132)
  • ICC/IF

Unknown

Immunocytochemistry/ Immunofluorescence - Anti-CAB39/MO25 antibody [EP1680Y] (AB51132)

Immunofluorescent staining of HeLa cells using ab51132 (1 : 100).

Immunohistochemistry (Formalin/PFA-fixed paraffin-embedded sections) - Anti-CAB39/MO25 antibody [EP1680Y] (AB51132)
  • IHC-P

Unknown

Immunohistochemistry (Formalin/PFA-fixed paraffin-embedded sections) - Anti-CAB39/MO25 antibody [EP1680Y] (AB51132)

ab51132 (1 : 100) staining human CAB39/MO25 in human brain tissue by immunohistochemistry using paraffin embedded tissue.

Perform heat mediated antigen retrieval with citrate buffer pH 6 before commencing with IHC staining protocol.

Flow Cytometry (Intracellular) - Anti-CAB39/MO25 antibody [EP1680Y] (AB51132)
  • Flow Cyt (Intra)

Unknown

Flow Cytometry (Intracellular) - Anti-CAB39/MO25 antibody [EP1680Y] (AB51132)

Overlay histogram showing HeLa cells stained with ab51132 (red line). The cells were fixed with 80% methanol (5 min) and then permeabilized with 0.1% PBS-Tween for 20 min. The cells were then incubated in 1x PBS / 10% normal goat serum / 0.3M glycine to block non-specific protein-protein interactions followed by the antibody (ab51132 1/1000 dilution) for 30 min at 22°C. The secondary antibody used was Alexa Fluor® 488 goat anti-rabbit IgG (H&L) (ab150077) at 1/2000 dilution for 30 min at 22°C. Isotype control antibody (black line) was rabbit IgG (monoclonal) (0.1μg/1x106 cells) used under the same conditions. Unlabelled sample (blue line) was also used as a control. Acquisition of >5000 events were collected using a 20mW Argon ion laser (488nm) and 525/30 bandpass filter.

Western blot - Anti-CAB39/MO25 antibody [EP1680Y] (AB51132)
  • WB

Unknown

Western blot - Anti-CAB39/MO25 antibody [EP1680Y] (AB51132)

All lanes:

Western blot - Anti-CAB39/MO25 antibody [EP1680Y] (ab51132) at 1/20000 dilution

All lanes:

HeLa cell lysate at 10 µg

Secondary

All lanes:

Goat anti-rabbit HRP labeled at 1/2000 dilution

Predicted band size: 40 kDa

Observed band size: 35 kDa

false

  • Carrier free

    Anti-CAB39/MO25 antibody [EP1680Y] - BSA and Azide free

Key facts

Host species

Rabbit

Clonality

Monoclonal

Clone number

EP1680Y

Isotype

IgG

Carrier free

No

Reacts with

Human

Applications

ICC/IF, IHC-P, WB, Flow Cyt (Intra)

applications

Immunogen

The exact immunogen used to generate this antibody is proprietary information.

Reactivity data

{ "title": "Reactivity Data", "filters": { "stats": ["", "Species", "Dilution Info", "Notes"], "tabs": { "all-applications": {"fullname" : "All Applications", "shortname": "All Applications"}, "IHCP" : {"fullname" : "Immunohistochemistry (Formalin/PFA-fixed paraffin-embedded sections)", "shortname":"IHC-P"}, "WB" : {"fullname" : "Western blot", "shortname":"WB"}, "ICCIF" : {"fullname" : "Immunocytochemistry/ Immunofluorescence", "shortname":"ICC/IF"}, "FlowCytIntra" : {"fullname" : "Flow Cytometry (Intracellular)", "shortname":"Flow Cyt (Intra)"} }, "product-promise": { "all": "all", "testedAndGuaranteed": "tested", "guaranteed": "expected", "predicted": "predicted", "notRecommended": "not-recommended" } }, "values": { "Human": { "IHCP-species-checked": "testedAndGuaranteed", "IHCP-species-dilution-info": "", "IHCP-species-notes": "<p>We strongly recommend that customers perform an antigen retireval step.</p> Perform heat-mediated antigen retrieval with citrate buffer pH 6 before commencing with IHC staining protocol.", "WB-species-checked": "testedAndGuaranteed", "WB-species-dilution-info": "1/20000", "WB-species-notes": "<p></p>", "ICCIF-species-checked": "testedAndGuaranteed", "ICCIF-species-dilution-info": "1/100 - 1/250", "ICCIF-species-notes": "<p></p>", "FlowCytIntra-species-checked": "testedAndGuaranteed", "FlowCytIntra-species-dilution-info": "1/1000 - 1/10000", "FlowCytIntra-species-notes": "<p><a href='/en-us/products/primary-antibodies/rabbit-igg-monoclonal-epr25a-isotype-control-ab172730'>ab172730</a> - Rabbit monoclonal IgG, is suitable for use as an isotype control with this antibody.</p>" }, "Mouse": { "IHCP-species-checked": "predicted", "IHCP-species-dilution-info": "", "IHCP-species-notes": "", "WB-species-checked": "predicted", "WB-species-dilution-info": "", "WB-species-notes": "", "ICCIF-species-checked": "predicted", "ICCIF-species-dilution-info": "", "ICCIF-species-notes": "", "FlowCytIntra-species-checked": "predicted", "FlowCytIntra-species-dilution-info": "", "FlowCytIntra-species-notes": "" }, "Rat": { "IHCP-species-checked": "predicted", "IHCP-species-dilution-info": "", "IHCP-species-notes": "", "WB-species-checked": "predicted", "WB-species-dilution-info": "", "WB-species-notes": "", "ICCIF-species-checked": "predicted", "ICCIF-species-dilution-info": "", "ICCIF-species-notes": "", "FlowCytIntra-species-checked": "predicted", "FlowCytIntra-species-dilution-info": "", "FlowCytIntra-species-notes": "" } } }

Product details

Patented technology
Our RabMAb® technology is a patented hybridoma-based technology for making rabbit monoclonal antibodies. For details on our patents, please refer to RabMAb® patents.

What are the advantages of a recombinant monoclonal antibody?
This product is a recombinant monoclonal antibody, which offers several advantages including:

  • - High batch-to-batch consistency and reproducibility
  • - Improved sensitivity and specificity
  • - Long-term security of supply
  • - Animal-free batch production

For more information, read more on recombinant antibodies.

Properties and storage information

Form
Liquid
Purity
Tissue culture supernatant
Storage buffer
pH: 7.2 - 7.4 Preservative: 0.05% Sodium azide Constituents: 50% Tissue culture supernatant, 40% Glycerol (glycerin, glycerine), 9.85% Tris glycine, 0.1% BSA
Shipped at conditions
Blue Ice
Appropriate short-term storage conditions
+4°C
Appropriate long-term storage conditions
-20°C
Aliquoting information
Upon delivery aliquot
Storage information
Avoid freeze / thaw cycle

Supplementary information

This supplementary information is collated from multiple sources and compiled automatically.

CAB39 also known as MO25 is a protein that plays an important role in cellular signaling. It has a mass of about 40 kDa and is predominantly expressed in the cytoplasm. CAB39 is part of the STE20-related kinase adaptor (STRAD) complex and functions to stabilize the scaffolding necessary for various kinase interactions. This protein is a subunit of the LKB1 complex essential for kinase activity. It modulates activity by binding to other proteins like STRAD and LKB1 enhancing their stability and function.
Biological function summary

CAB39 influences several cellular processes by acting as a scaffolding protein. It is an integral component of the LKB1-STRAD-MO25 complex essential for proper kinase activity. This complex regulates AMPK signaling pathways which are important for cellular energy homeostasis and metabolism. CAB39 by interacting with these kinases regulates energy balance within cells particularly muscle and liver tissues. This regulation influences cell polarity and growth impacting cell survival and division.

Pathways

CAB39 is significant in both the AMPK and mTOR signaling pathways playing a role in energy sensing and cellular growth regulation. In these pathways CAB39 modulates the activity of proteins like AMPK and LKB1. The AMPK pathway is important for maintaining energy homeostasis and is activated under low energy conditions while the mTOR pathway relates to cell growth and autophagy. CAB39’s role in these pathways highlights its importance in controlling metabolic responses to nutrient availability and stress.

CAB39 has implications in cancer and metabolic syndromes. Alterations in its function can disrupt normal AMPK and mTOR signaling leading to unchecked cell proliferation observed in cancer particularly in Peutz-Jeghers syndrome where LKB1 mutations are common. Additionally defects in CAB39-related pathways can lead to metabolic disorders like type 2 diabetes. By regulating AMPK activity CAB39 interacts indirectly with proteins such as PRKAA1 and PRKAA2 influencing insulin sensitivity and glucose metabolism.

Product protocols

For this product, it's our understanding that no specific protocols are required. You can visit:

Target data

Component of a complex that binds and activates STK11/LKB1. In the complex, required to stabilize the interaction between CAB39/MO25 (CAB39/MO25alpha or CAB39L/MO25beta) and STK11/LKB1.
See full target information CAB39

Publications (14)

Recent publications for all applications. Explore the full list and refine your search

Environmental toxicology 39:4791-4802 PubMed39171884

2024

CAB39 modulates epithelial-mesenchymal transition through NF-κB signaling activation, enhancing invasion, and metastasis in bladder cancer.

Applications

Unspecified application

Species

Unspecified reactive species

Jianbiao Huang,Huanhuan Deng,Shuaiyun Xiao,Yuanzhen Lin,Zhaojun Yu,Xiangda Xu,Lifen Peng,Haichao Chao,Tao Zeng

Signal transduction and targeted therapy 8:159 PubMed37080995

2023

RBM4 dictates ESCC cell fate switch from cellular senescence to glutamine-addiction survival through inhibiting LKB1-AMPK-axis.

Applications

Unspecified application

Species

Unspecified reactive species

Lei Chen,Wenjing Zhang,Dan Chen,Quan Yang,Siwen Sun,Zhenwei Dai,Zhengzheng Li,Xuemei Liang,Chaoqun Chen,Yuexia Jiao,Lili Zhi,Lianmei Zhao,Jinrui Zhang,Xuefeng Liu,Jinyao Zhao,Man Li,Yang Wang,Yangfan Qi

International journal of molecular sciences 24: PubMed37047258

2023

6-Gingerol Ameliorates Hepatic Steatosis, Inflammation and Oxidative Stress in High-Fat Diet-Fed Mice through Activating LKB1/AMPK Signaling.

Applications

Unspecified application

Species

Unspecified reactive species

Yuzhe Liu,Dong Li,Shang Wang,Ze Peng,Qi Tan,Qifeng He,Jianwei Wang

Inflammation and regeneration 42:24 PubMed35915511

2022

Diet-induced obesity impairs spermatogenesis: the critical role of NLRP3 in Sertoli cells.

Applications

Unspecified application

Species

Unspecified reactive species

Yang Mu,Tai-Lang Yin,Yan Zhang,Jing Yang,Yan-Ting Wu

Bioengineered 13:9855-9871 PubMed35412939

2022

Calcium-binding protein 39 overexpression promotes macrophages from 'M1' into 'M2' phenotype and improves chondrocyte damage in osteoarthritis by activating the AMP-activated protein kinase/sirtuin 1 axis.

Applications

Unspecified application

Species

Unspecified reactive species

Qiuliang Liu,Kai Pian,Zhen Tian,Haitao Duan,Qi Wang,Hui Zhang,Longyan Shi,Dongjian Song

American journal of physiology. Renal physiology 320:F908-F921 PubMed33779313

2021

An in vivo protein landscape of the mouse DCT during high dietary K or low dietary Na intake.

Applications

Unspecified application

Species

Unspecified reactive species

Marleen L A Kortenoeven,Lei Cheng,Qi Wu,Robert A Fenton

Stem cells international 2021:6616240 PubMed33505470

2021

Metformin-Induced MicroRNA-34a-3p Downregulation Alleviates Senescence in Human Dental Pulp Stem Cells by Targeting CAB39 through the AMPK/mTOR Signaling Pathway.

Applications

Unspecified application

Species

Unspecified reactive species

Shuo Zhang,Rong Zhang,Pengyan Qiao,Xiaocao Ma,Rongjian Lu,Feifan Wang,Chuanjie Li,Lingling E,Hongchen Liu

Aging cell 19:e13128 PubMed32196916

2020

miR-155-5p inhibition rejuvenates aged mesenchymal stem cells and enhances cardioprotection following infarction.

Applications

Unspecified application

Species

Unspecified reactive species

Yimei Hong,Haiwei He,Guojun Jiang,Hao Zhang,Wuyuan Tao,Yue Ding,Dongsheng Yuan,Jing Liu,Huimin Fan,Fang Lin,Xiaoting Liang,Xin Li,Yuelin Zhang

Oxidative medicine and cellular longevity 2020:1645249 PubMed32256945

2020

The Long Noncoding RNA Hotair Regulates Oxidative Stress and Cardiac Myocyte Apoptosis during Ischemia-Reperfusion Injury.

Applications

Unspecified application

Species

Unspecified reactive species

Kai Meng,Jiao Jiao,Rui-Rui Zhu,Bo-Yuan Wang,Xiao-Bo Mao,Yu-Cheng Zhong,Zheng-Feng Zhu,Kun-Wu Yu,Yan Ding,Wen-Bin Xu,Jian Yu,Qiu-Tang Zeng,Yu-Dong Peng

British journal of cancer 122:705-714 PubMed31919406

2020

MiR-107 confers chemoresistance to colorectal cancer by targeting calcium-binding protein 39.

Applications

Unspecified application

Species

Unspecified reactive species

Yu Liang,Danxi Zhu,Lidan Hou,Yu Wang,Xin Huang,Cui Zhou,Liming Zhu,Yingying Wang,Lei Li,Yan Gu,Meng Luo,Jianhua Wang,Xiangjun Meng
View all publications

Product promise

We are committed to supporting your work with high-quality reagents, and we're here for you every step of the way. In the unlikely event that one of our products does not perform as expected, you're protected by our Product Promise.
For full details, please see our Terms & Conditions

Please note: All products are 'FOR RESEARCH USE ONLY. NOT FOR USE IN DIAGNOSTIC OR THERAPEUTIC PROCEDURES'.

For licensing inquiries, please contact partnerships@abcam.com