JavaScript is disabled in your browser. Please enable JavaScript to view this website.
AB234438

Anti-CACNA1C antibody [EPR22625-61]

Be the first to review this product! Submit a review

|

(2 Publications)

Rabbit Recombinant Monoclonal CACNA1C antibody. Suitable for IHC-Fr, IHC-P and reacts with Mouse samples. Cited in 2 publications.

View Alternative Names

Cach2, Cacn2, Cacnl1a1, Cchl1a1, Cacna1c, Voltage-dependent L-type calcium channel subunit alpha-1C, MELC-CC, Mouse brain class C, Voltage-gated calcium channel subunit alpha Cav1.2, MBC

5 Images
Immunohistochemistry (Frozen sections) - Anti-CACNA1C antibody [EPR22625-61] (AB234438)
  • IHC-Fr

Unknown

Immunohistochemistry (Frozen sections) - Anti-CACNA1C antibody [EPR22625-61] (AB234438)

Immunohistochemical analysis of 4% PFA fixed 0.2% Triton X-100 permeabilized frozen mouse cerebrum tissue labeling CACNA1C with ab234438 at 1/500 (0.87 μg/ml) dilution followed by ab150077 AlexaFluor®488 Goat anti-Rabbit secondary at 1/1000 (2 μg/ml) dilution. The nuclear counterstain was DAPI (Blue). Heat mediated antigen retrieval using sodium citrate buffer (10mM citrate pH 6.0 + 0.05% Tween-20). Secondary antibody only control : Used PBS instead of primary antibody, secondary antibody was ab150077 AlexaFluor®488 Goat anti-Rabbit secondary at 1/1000 (2 μg/ml) dilution. Positive staining on mouse cerebrum is observed.

Immunohistochemistry (Formalin/PFA-fixed paraffin-embedded sections) - Anti-CACNA1C antibody [EPR22625-61] (AB234438)
  • IHC-P

Unknown

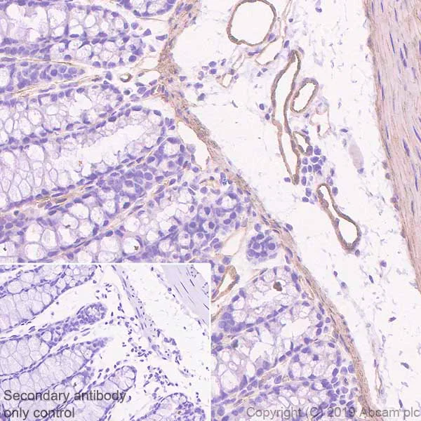
Immunohistochemistry (Formalin/PFA-fixed paraffin-embedded sections) - Anti-CACNA1C antibody [EPR22625-61] (AB234438)

Immunohistochemical analysis of paraffin-embedded mouse colon tissue labeling CACNA1C with ab234438 at 1/4000 dilution (0.11 ug/ml) followed by a ready to use Rabbit specific IHC polymer detection kit HRP/DAB (ab209101). Positive staining on endothelial cells of blood vessels, muscularis mucosa and muscularis externa in mouse colon is observed. The section was incubated with ab234438 for 10 mins at RT. The immunostaining was performed on a Leica Biosystems BOND® RX instrument. Counterstained with hematoxylin. Heat mediated antigen retrieval with Tris-EDTA buffer (pH 9.0, epitope retrieval solution 2) for 20 mins.

Secondary antibody only control : Used PBS instead of primary antibody, secondary antibody is a ready to use Rabbit specific IHC polymer detection kit HRP/DAB (ab209101).

Immunohistochemistry (Formalin/PFA-fixed paraffin-embedded sections) - Anti-CACNA1C antibody [EPR22625-61] (AB234438)
  • IHC-P

Unknown

Immunohistochemistry (Formalin/PFA-fixed paraffin-embedded sections) - Anti-CACNA1C antibody [EPR22625-61] (AB234438)

Immunohistochemical analysis of paraffin-embedded mouse atrium tissue labeling CACNA1C with ab234438 at 1/4000 dilution (0.11 ug/ml) followed by a ready to use Rabbit specific IHC polymer detection kit HRP/DAB (ab209101). Positive staining on plasma membranes of atrial cardiomyocytes and endothelial cells of blood vessels is observed (PMID : 26109061). The section was incubated with ab234438 for 10 mins at RT. The immunostaining was performed on a Leica Biosystems BOND® RX instrument. Counterstained with hematoxylin. Heat mediated antigen retrieval with Tris-EDTA buffer (pH 9.0, epitope retrieval solution 2) for 20 mins.

Secondary antibody only control : Used PBS instead of primary antibody, secondary antibody is a ready to use Rabbit specific IHC polymer detection kit HRP/DAB (ab209101).

Immunohistochemistry (Frozen sections) - Anti-CACNA1C antibody [EPR22625-61] (AB234438)
  • IHC-Fr

Unknown

Immunohistochemistry (Frozen sections) - Anti-CACNA1C antibody [EPR22625-61] (AB234438)

Immunohistochemical analysis of 4% PFA fixed 0.2% Triton X-100 permeabilized frozen mouse cardiac muscle tissue labeling CACNA1C with ab234438 at 1/500 (0.87 μg/ml) dilution followed by ab150077 AlexaFluor®488 Goat anti-Rabbit secondary at 1/1000 (2 μg/ml) dilution. The nuclear counterstain was DAPI (Blue). Heat mediated antigen retrieval using sodium citrate buffer (10mM citrate pH 6.0 + 0.05% Tween-20). Secondary antibody only control : Used PBS instead of primary antibody, secondary antibody was ab150077 AlexaFluor®488 Goat anti-Rabbit secondary at 1/1000 (2 μg/ml) dilution. Positive staining on mouse cardiac atrium myocytes and blood vessels throughout cardiac muscle (PMID : 26109061).

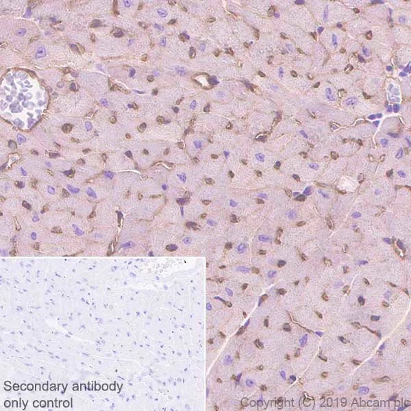
Immunohistochemistry (Formalin/PFA-fixed paraffin-embedded sections) - Anti-CACNA1C antibody [EPR22625-61] (AB234438)
  • IHC-P

Unknown

Immunohistochemistry (Formalin/PFA-fixed paraffin-embedded sections) - Anti-CACNA1C antibody [EPR22625-61] (AB234438)

Immunohistochemical analysis of paraffin-embedded mouse ventricle tissue labeling CACNA1C with ab234438 at 1/2000 dilution (0.11 ug/ml) followed by a ready to use Rabbit specific IHC polymer detection kit HRP/DAB (ab209101). Positive staining on the endothelial cells of blood vessels in mouse ventricle is observed (PMID : 26109061). The section was incubated with ab234438 for 10 mins at RT. The immunostaining was performed on a Leica Biosystems BOND® RX instrument. Counterstained with hematoxylin. Heat mediated antigen retrieval with Tris-EDTA buffer (pH 9.0, epitope retrieval solution 2) for 20 mins.

Secondary antibody only control : Used PBS instead of primary antibody, secondary antibody is a ready to use Rabbit specific IHC polymer detection kit HRP/DAB (ab209101).

  • Carrier free

    Anti-CACNA1C antibody [EPR22625-61] - BSA and Azide free

Key facts

Host species

Rabbit

Clonality

Monoclonal

Clone number

EPR22625-61

Isotype

IgG

Carrier free

No

Reacts with

Mouse

Applications

IHC-P, IHC-Fr

applications

Immunogen

The exact immunogen used to generate this antibody is proprietary information.

Reactivity data

{ "title": "Reactivity Data", "filters": { "stats": ["", "Species", "Dilution Info", "Notes"], "tabs": { "all-applications": {"fullname" : "All Applications", "shortname": "All Applications"}, "IP" : {"fullname" : "Immunoprecipitation", "shortname":"IP"}, "WB" : {"fullname" : "Western blot", "shortname":"WB"}, "IHCFr" : {"fullname" : "Immunohistochemistry (Frozen sections)", "shortname":"IHC-Fr"}, "IHCP" : {"fullname" : "Immunohistochemistry (Formalin/PFA-fixed paraffin-embedded sections)", "shortname":"IHC-P"} }, "product-promise": { "all": "all", "testedAndGuaranteed": "tested", "guaranteed": "expected", "predicted": "predicted", "notRecommended": "not-recommended" } }, "values": { "Human": { "IP-species-checked": "notRecommended", "IP-species-dilution-info": "", "IP-species-notes": "", "WB-species-checked": "notRecommended", "WB-species-dilution-info": "", "WB-species-notes": "<p></p>", "IHCFr-species-checked": "notRecommended", "IHCFr-species-dilution-info": "", "IHCFr-species-notes": "", "IHCP-species-checked": "notRecommended", "IHCP-species-dilution-info": "", "IHCP-species-notes": "" }, "Mouse": { "IP-species-checked": "notRecommended", "IP-species-dilution-info": "", "IP-species-notes": "<p></p>", "WB-species-checked": "notRecommended", "WB-species-dilution-info": "", "WB-species-notes": "<p></p>", "IHCFr-species-checked": "testedAndGuaranteed", "IHCFr-species-dilution-info": "1/500", "IHCFr-species-notes": "<p></p>", "IHCP-species-checked": "testedAndGuaranteed", "IHCP-species-dilution-info": "1/4000", "IHCP-species-notes": "<p></p>" }, "Rat": { "IP-species-checked": "notRecommended", "IP-species-dilution-info": "", "IP-species-notes": "<p></p>", "WB-species-checked": "notRecommended", "WB-species-dilution-info": "", "WB-species-notes": "<p></p>", "IHCFr-species-checked": "notRecommended", "IHCFr-species-dilution-info": "", "IHCFr-species-notes": "", "IHCP-species-checked": "notRecommended", "IHCP-species-dilution-info": "", "IHCP-species-notes": "" } } }

Product details

Patented technology
Our RabMAb® technology is a patented hybridoma-based technology for making rabbit monoclonal antibodies. For details on our patents, please refer to RabMAb® patents.

What are the advantages of a recombinant monoclonal antibody?
This product is a recombinant monoclonal antibody, which offers several advantages including:

  • - High batch-to-batch consistency and reproducibility
  • - Improved sensitivity and specificity
  • - Long-term security of supply
  • - Animal-free batch production

For more information, read more on recombinant antibodies.

Properties and storage information

Form
Liquid
Purification technique
Affinity purification Protein A
Storage buffer
pH: 7.2 - 7.4 Preservative: 0.01% Sodium azide Constituents: PBS, 40% Glycerol (glycerin, glycerine), 0.05% BSA
Shipped at conditions
Blue Ice
Appropriate short-term storage duration
1-2 weeks
Appropriate short-term storage conditions
+4°C
Appropriate long-term storage conditions
-20°C
Aliquoting information
Upon delivery aliquot
Storage information
Avoid freeze / thaw cycle

Supplementary information

This supplementary information is collated from multiple sources and compiled automatically.

CACNA1C also known as Cav1.2 is a voltage-dependent calcium channel α1C subunit. It primarily facilitates the influx of calcium ions into cells upon depolarization. Cav1.2 weighs approximately 250 kDa and plays an essential role in cellular processes across multiple systems. You can find it highly expressed in the heart brain and smooth muscle tissues. It's significant for conducting electrical signals that control muscle contractions and neurotransmitter release.
Biological function summary

Cav1.2 channels regulate intracellular calcium levels affecting processes such as cardiac contraction neuronal excitability and gene expression. This protein does not function alone; it forms complexes with other auxiliary subunits that modulate its activity and localization. Through this regulation CACNA1C supports critical cellular responses and maintains homeostasis within its expressed organs.

Pathways

Cav1.2 integrates into important pathways like the excitation-contraction coupling in cardiac myocytes and the neural signaling pathways in neurons. Through its interaction with calcium/calmodulin-dependent protein kinase II (CaMKII) CACNA1C affects downstream cascades that influence cellular functions and responses to external stimuli. The protein also interacts with other ion channels facilitating comprehensive cellular communication and function in its specialized tissues.

Altered CACNA1C function associates with cardiac diseases like Timothy syndrome and various forms of Long QT syndrome. The abnormal activity of this channel also links to psychiatric disorders such as bipolar disorder where it interacts with proteins involved in mood regulation. Substantial research focuses on targeting CACNA1C for therapeutic intervention due to its significant role in these disorders highlighting the protein as an important target for new treatments.

Product protocols

For this product, it's our understanding that no specific protocols are required. You can visit:

Target data

Pore-forming, alpha-1C subunit of the voltage-gated calcium channel that gives rise to L-type calcium currents (PubMed : 14609949, PubMed : 18586882, PubMed : 21216955, PubMed : 25368181, PubMed : 28119464, PubMed : 10973973). Mediates influx of calcium ions into the cytoplasm, and thereby triggers calcium release from the sarcoplasm (By similarity). Plays an important role in excitation-contraction coupling in the heart. Required for normal heart development and normal regulation of heart rhythm (PubMed : 21216955). Required for normal contraction of smooth muscle cells in blood vessels and in the intestine. Essential for normal blood pressure regulation via its role in the contraction of arterial smooth muscle cells (PubMed : 14609949, PubMed : 28119464). Long-lasting (L-type) calcium channels belong to the 'high-voltage activated' (HVA) group (Probable).
See full target information Cacna1c

Publications (2)

Recent publications for all applications. Explore the full list and refine your search

Journal of molecular histology 56:302 PubMed40921925

2025

Tongxinluo alleviates myocardial ischemia-reperfusion injury by inhibiting the pyroptosis of endothelial cells via the NLRP3/Caspase-1/GSDMD signaling pathway.

Applications

Unspecified application

Species

Unspecified reactive species

Xuan Wu,Yun-Long Hou,Tong-Xing Wang,Li-Ping Chang,Hong-Ru Zhou,Ming-Ye Wang,Yi-Ling Wu

The Journal of neuroscience : the official journal of the Society for Neuroscience 44: PubMed39299804

2024

Glucocorticoids Rapidly Modulate Ca1.2-Mediated Calcium Signals through Kv2.1 Channel Clusters in Hippocampal Neurons.

Applications

Unspecified application

Species

Unspecified reactive species

Di Wan,Tongchuang Lu,Chenyang Li,Changlong Hu
View all publications

Product promise

We are committed to supporting your work with high-quality reagents, and we're here for you every step of the way. In the unlikely event that one of our products does not perform as expected, you're protected by our Product Promise.
For full details, please see our Terms & Conditions

Please note: All products are 'FOR RESEARCH USE ONLY. NOT FOR USE IN DIAGNOSTIC OR THERAPEUTIC PROCEDURES'.

For licensing inquiries, please contact partnerships@abcam.com