JavaScript is disabled in your browser. Please enable JavaScript to view this website.
AB230640

Anti-CACNA1E antibody

Be the first to review this product! Submit a review

|

(2 Publications)

Rabbit Polyclonal CACNA1E antibody. Suitable for WB, IHC-P and reacts with Human, Mouse, Rat samples. Cited in 2 publications. Immunogen corresponding to Synthetic Peptide within Human CACNA1E conjugated to Keyhole Limpet Haemocyanin.

View Alternative Names

CACH6, CACNL1A6, CACNA1E, Voltage-dependent R-type calcium channel subunit alpha-1E, Brain calcium channel II, Voltage-gated calcium channel subunit alpha Cav2.3, BII

4 Images
Immunohistochemistry (Formalin/PFA-fixed paraffin-embedded sections) - Anti-CACNA1E antibody (AB230640)
  • IHC-P

Supplier Data

Immunohistochemistry (Formalin/PFA-fixed paraffin-embedded sections) - Anti-CACNA1E antibody (AB230640)

Formalin-fixed, paraffin-embedded human brain cortex tissue stained for CACNA1E using ab230640 at 1/100 dilution in immunohistochemical analysis.

Immunohistochemistry (Formalin/PFA-fixed paraffin-embedded sections) - Anti-CACNA1E antibody (AB230640)
  • IHC-P

Supplier Data

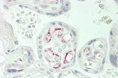
Immunohistochemistry (Formalin/PFA-fixed paraffin-embedded sections) - Anti-CACNA1E antibody (AB230640)

Formalin-fixed, paraffin-embedded human placenta tissue stained for CACNA1E using ab230640 at 1/100 dilution in immunohistochemical analysis.

Western blot - Anti-CACNA1E antibody (AB230640)
  • WB

Supplier Data

Western blot - Anti-CACNA1E antibody (AB230640)

All lanes:

Western blot - Anti-CACNA1E antibody (ab230640) at 1/500 dilution

Lane 1:

HEK-293T (human epithelial cell line from embryonic kidney transformed with large T antigen) whole cell lysate

Lane 2:

RAW 264.7 (mouse macrophage cell line transformed with Abelson murine leukemia virus) whole cell lysate

Lane 3:

PC-12 (rat adrenal gland pheochromocytoma cell line) whole cell lysate

Predicted band size: 262 kDa

false

Western blot - Anti-CACNA1E antibody (AB230640)
  • WB

CiteAb

Western blot - Anti-CACNA1E antibody (AB230640)

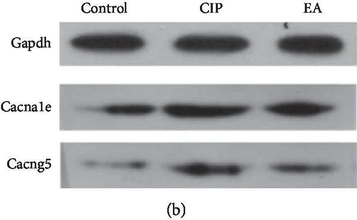
CACNA1E western blot using anti-CACNA1E antibody ab230640. Publication image and figure legend from Zhou, J., Jin, Y., et al., 2020, Evid Based Complement Alternat Med, PubMed 32104194.

ab230640 was used in this publication in western blot. This may not be the same as the application(s) guaranteed by Abcam. For a full list of applications guaranteed by Abcam for ab230640 please see the product overview.

Cacna1e and Cacng5 mRNA (a) and protein (b, c) expression results obtained using qPCR and WB. Statistical analysis was performed with one-way analysis of variance (ANOVA) and least significant difference (LSD) tests by graphpad prism 8. Compared with control, **p < 0.01, compared with CIP, #p < 0.01, ##p < 0.01.

false

Key facts

Host species

Rabbit

Clonality

Polyclonal

Isotype

IgG

Carrier free

No

Reacts with

Mouse, Rat, Human

Applications

IHC-P, WB

applications

Immunogen

Synthetic Peptide within Human CACNA1E conjugated to Keyhole Limpet Haemocyanin. The exact immunogen used to generate this antibody is proprietary information.

Q15878

Reactivity data

{ "title": "Reactivity Data", "filters": { "stats": ["", "Species", "Dilution Info", "Notes"], "tabs": { "all-applications": {"fullname" : "All Applications", "shortname": "All Applications"}, "WB" : {"fullname" : "Western blot", "shortname":"WB"}, "IHCP" : {"fullname" : "Immunohistochemistry (Formalin/PFA-fixed paraffin-embedded sections)", "shortname":"IHC-P"} }, "product-promise": { "all": "all", "testedAndGuaranteed": "tested", "guaranteed": "expected", "predicted": "predicted", "notRecommended": "not-recommended" } }, "values": { "Human": { "WB-species-checked": "testedAndGuaranteed", "WB-species-dilution-info": "1/500 - 1/1000", "WB-species-notes": "<p></p>", "IHCP-species-checked": "testedAndGuaranteed", "IHCP-species-dilution-info": "1/100", "IHCP-species-notes": "<p></p>" }, "Mouse": { "WB-species-checked": "testedAndGuaranteed", "WB-species-dilution-info": "1/500 - 1/1000", "WB-species-notes": "<p></p>", "IHCP-species-checked": "guaranteed", "IHCP-species-dilution-info": "", "IHCP-species-notes": "" }, "Rat": { "WB-species-checked": "testedAndGuaranteed", "WB-species-dilution-info": "1/500 - 1/1000", "WB-species-notes": "<p></p>", "IHCP-species-checked": "guaranteed", "IHCP-species-dilution-info": "", "IHCP-species-notes": "" }, "Rabbit": { "WB-species-checked": "predicted", "WB-species-dilution-info": "", "WB-species-notes": "", "IHCP-species-checked": "predicted", "IHCP-species-dilution-info": "", "IHCP-species-notes": "" } } }

Properties and storage information

Form
Liquid
Purification technique
Affinity purification Immunogen
Storage buffer
pH: 7.3 Preservative: 0.01% Sodium azide Constituents: PBS, 30% Glycerol (glycerin, glycerine)
Shipped at conditions
Blue Ice
Appropriate short-term storage duration
1-2 weeks
Appropriate short-term storage conditions
+4°C
Appropriate long-term storage conditions
-20°C
Aliquoting information
Upon delivery aliquot
Storage information
Avoid freeze / thaw cycle

Supplementary information

This supplementary information is collated from multiple sources and compiled automatically.

The CACNA1E gene encodes the alpha-1E subunit of voltage-dependent calcium channels also known as Cav2.3. These channels play a role in mediating the influx of calcium ions into excitable cells. The molecular mass of the CACNA1E-encoded protein is approximately 250 kDa. Expressed widely throughout the nervous system particularly within the brain and various neurons the protein facilitates calcium ion conductance important for neuronal activity.
Biological function summary

Cav2.3 channels contribute to neurotransmitter release neuronal excitability and synaptic plasticity. They serve as integral parts of the high-voltage activated calcium channel complex sharing this role with other similar channels. Their function has implications for excitatory synaptic transmission and the modulation of neuronal circuits.

Pathways

The CACNA1E-related channels integrate into both the calcium signaling and neurotransmitter release pathways. These pathways are essential for the propagation of signals in neurons and synapses. The CACNA1E protein is related to other calcium channel alpha subunits like Cav2.1 (CACNA1A) and Cav2.2 (CACNA1B) which collectively orchestrate calcium influx necessary for neurotransmitter exocytosis.

Abnormal function or expression of these channels connects to epilepsy and certain types of migraine. Mutations in CACNA1E may alter channel function impacting calcium ion homeostasis within neurons. Related proteins such as those encoded by CACNA1A have been implicated in similar neurological disorders reflecting a shared involvement within critical neural circuits.

Product protocols

For this product, it's our understanding that no specific protocols are required. You can visit:

Target data

Voltage-sensitive calcium channels (VSCC) mediate the entry of calcium ions into excitable cells (PubMed : 30343943). They are also involved in a variety of calcium-dependent processes, including muscle contraction, hormone or neurotransmitter release, gene expression, cell motility, cell division and cell death. The isoform alpha-1E gives rise to R-type calcium currents. R-type calcium channels belong to the 'high-voltage activated' (HVA) group and are blocked by nickel. They are however insensitive to dihydropyridines (DHP). Calcium channels containing alpha-1E subunit could be involved in the modulation of firing patterns of neurons which is important for information processing.. Isoform 3. Voltage-sensitive calcium channels (VSCC) mediate the entry of calcium ions into excitable cells. They are also involved in a variety of calcium-dependent processes, including muscle contraction, hormone or neurotransmitter release, gene expression, cell motility, cell division and cell death. The isoform alpha-1E gives rise to R-type calcium currents.
See full target information CACNA1E

Publications (2)

Recent publications for all applications. Explore the full list and refine your search

Neoplasma 68:23-30 PubMed32977722

2020

Homeobox C4 promotes hepatocellular carcinoma progression by the transactivation of Snail.

Applications

Unspecified application

Species

Unspecified reactive species

Tao Yang,Xian-Bo Zhang,Xiao-Na Li,Ming-Ze Sun,Peng-Zhi Gao

Evidence-based complementary and alternative medic 2020:7061972 PubMed32104194

2020

Electroacupuncture Alleviates Experimental Chronic Inflammatory Pain by Inhibiting Calcium Voltage-Gated Channel-Mediated Inflammation.

Applications

Unspecified application

Species

Unspecified reactive species

Jie Zhou,Ying Jin,Ruijie Ma,Hongyun Song,Qin Chen,Yueyang Chai,Yi Liang,You Zhou,Jianqiao Fang
View all publications

Product promise

We are committed to supporting your work with high-quality reagents, and we're here for you every step of the way. In the unlikely event that one of our products does not perform as expected, you're protected by our Product Promise.
For full details, please see our Terms & Conditions

Please note: All products are 'FOR RESEARCH USE ONLY. NOT FOR USE IN DIAGNOSTIC OR THERAPEUTIC PROCEDURES'.

For licensing inquiries, please contact partnerships@abcam.com