JavaScript is disabled in your browser. Please enable JavaScript to view this website.
AB288766

Anti-CACNA1E antibody [EPR25385-129]

  • BOND RX™ Validated
  • 20ul selling size
  • RabMAb
  • Recombinant
  • What is this?

Be the first to review this product! Submit a review

|

(0 Publication)

Rabbit Recombinant Monoclonal CACNA1E antibody. Suitable for IHC-P, Flow Cyt (Intra), IP, WB and reacts with Mouse, Rat samples.

View Alternative Names

CACH6, CACNL1A6, CACNA1E, Voltage-dependent R-type calcium channel subunit alpha-1E, Brain calcium channel II, Voltage-gated calcium channel subunit alpha Cav2.3, BII

10 Images
Immunohistochemistry (Formalin/PFA-fixed paraffin-embedded sections) - Anti-CACNA1E antibody [EPR25385-129] (AB288766)
  • IHC-P

Supplier Data

Immunohistochemistry (Formalin/PFA-fixed paraffin-embedded sections) - Anti-CACNA1E antibody [EPR25385-129] (AB288766)

Positive staining on (A) HEK-293T cells transfected with a CACNA1E expression vector containing a his tag. No staining on (B) HEK-293T cells transfected with empty vector containing a his tag. The section was incubated with ab288766 for 30 mins at room temperature. The immunostaining was performed on a Leica Biosystems BOND® RX instrument.

Hematoxylin was used as a counter stain.

Heat mediated antigen retrieval with Tris-EDTA buffer (pH 9.0, epitope retrieval solution2) for 20 mins was performed.

Immunohistochemistry (Formalin/PFA-fixed paraffin-embedded sections) - Anti-CACNA1E antibody [EPR25385-129] (AB288766)
  • IHC-P

Supplier Data

Immunohistochemistry (Formalin/PFA-fixed paraffin-embedded sections) - Anti-CACNA1E antibody [EPR25385-129] (AB288766)

Negative control : No staining in rat kidney. The section was incubated with ab288766 for 30 mins at room temperature. The immunostaining was performed on a Leica Biosystems BOND® RX instrument. Heat mediated antigen retrieval with Tris-EDTA buffer (pH 9.0, epitope retrieval solution2) for 20 mins was used. Hematoxylin was used as a counter stain.

Immunohistochemistry (Formalin/PFA-fixed paraffin-embedded sections) - Anti-CACNA1E antibody [EPR25385-129] (AB288766)
  • IHC-P

Supplier Data

Immunohistochemistry (Formalin/PFA-fixed paraffin-embedded sections) - Anti-CACNA1E antibody [EPR25385-129] (AB288766)

Positive staining in mouse striatum. The section was incubated with ab288766 for 30 mins at room temperature. The immunostaining was performed on a Leica Biosystems BOND® RX instrument. Heat mediated antigen retrieval with Tris-EDTA buffer (pH 9.0, epitope retrieval solution2) for 20 mins.

Counter stain used was Hematoxylin.

Heat mediated antigen retrieval with Tris-EDTA buffer (pH 9.0, epitope retrieval solution2) for 20 mins was used.

Immunohistochemistry (Formalin/PFA-fixed paraffin-embedded sections) - Anti-CACNA1E antibody [EPR25385-129] (AB288766)
  • IHC-P

Supplier Data

Immunohistochemistry (Formalin/PFA-fixed paraffin-embedded sections) - Anti-CACNA1E antibody [EPR25385-129] (AB288766)

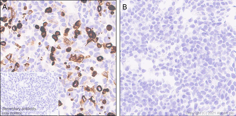
Immunohistochemical analysis of paraffin-embedded rat brain tissue labelling CACNA1E with ab288766 at 1/500 (0.956 μg/ml) followed by a ready to use LeicaDS9800 (Bond™ Polymer Refine Detection). Positive staining in rat brain, and strong immunoreactivity was seen in the superficial layer of the cortex, hippocampus, and striatum. The section was incubated with ab288766 for 30 mins at room temperature. The immunostaining was performed on a Leica Biosystems BOND® RX instrument. Counterstained with Hematoxylin.

Secondary antibody only control : Secondary antibody is a ready to use LeicaDS9800 (Bond™ Polymer Refine Detection).

Heat mediated antigen retrieval with Tris-EDTA buffer (pH 9.0, epitope retrieval solution2) for 20 mins.

Immunohistochemistry (Formalin/PFA-fixed paraffin-embedded sections) - Anti-CACNA1E antibody [EPR25385-129] (AB288766)
  • IHC-P

Supplier Data

Immunohistochemistry (Formalin/PFA-fixed paraffin-embedded sections) - Anti-CACNA1E antibody [EPR25385-129] (AB288766)

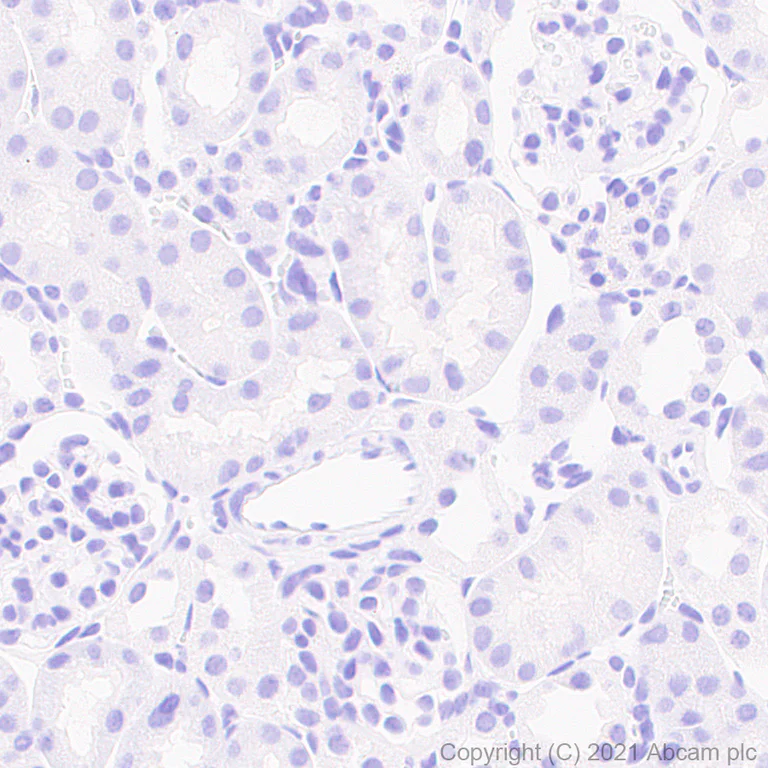
Negative control : No staining in mouse kidney. The section was incubated with ab288766 for 30 mins at room temperature. The immunostaining was performed on a Leica Biosystems BOND® RX instrument. Hematoxylin was used as a counter stain. Heat mediated antigen retrieval with Tris-EDTA buffer (pH 9.0, epitope retrieval solution2) was used for 20 mins.

Flow Cytometry (Intracellular) - Anti-CACNA1E antibody [EPR25385-129] (AB288766)
  • Flow Cyt (Intra)

Lab

Flow Cytometry (Intracellular) - Anti-CACNA1E antibody [EPR25385-129] (AB288766)

Rat primary neuron cell line was stained with primary ab288766 at 1/500 (Red). Rabbit monoclonal IgG (ab172730) (Black) was used as a isotype control at 1/2000. Cells were fixed in 4% paraformaldehyde and permeabilized with 90% methanol.

Secondary antibody used is Goat Anti-Rabbit IgG (Alexa Fluor® 488, ab150081) at a 1/2000 dilution.

Immunohistochemistry (Formalin/PFA-fixed paraffin-embedded sections) - Anti-CACNA1E antibody [EPR25385-129] (AB288766)
  • IHC-P

Supplier Data

Immunohistochemistry (Formalin/PFA-fixed paraffin-embedded sections) - Anti-CACNA1E antibody [EPR25385-129] (AB288766)

Positive staining in rat hippocampus. The section was incubated with ab288766 for 30 mins at room temperature. The immunostaining was performed on a Leica Biosystems BOND® RX instrument.

Hematoxylin was used as a counter stain.

Heat mediated antigen retrieval with Tris-EDTA buffer (pH 9.0, epitope retrieval solution2) for 20 mins was used.

Flow Cytometry (Intracellular) - Anti-CACNA1E antibody [EPR25385-129] (AB288766)
  • Flow Cyt (Intra)

Lab

Flow Cytometry (Intracellular) - Anti-CACNA1E antibody [EPR25385-129] (AB288766)

Mouse primary neuron cell line was stained with primary ab288766 at 1/500 (Red). Rabbit monoclonal IgG (ab172730) (Black) was used as a isotype control at 1/2000 dilution. Cells were fixed in 4% paraformaldehyde and permeabilized with 90% methanol.

Secondary antibody used is Goat Anti-Rabbit IgG (Alexa Fluor® 488, ab150081) at a 1/2000 dilution.

Immunoprecipitation - Anti-CACNA1E antibody [EPR25385-129] (AB288766)
  • IP

Lab

Immunoprecipitation - Anti-CACNA1E antibody [EPR25385-129] (AB288766)

CACNA1E was immunoprecipitated from 0.35 mg mouse brain tissue lysate 10 μg with ab288766 at 1/30 dilution (2 μg in 0.35 mg lysates). Western blot was performed on the immunoprecipitate using ab288766 at 1/1000 dilution. VeriBlot for IP secondary antibody (HRP) (ab131366) was used at 1/5000 dilution.

Lane 1 : Mouse brain tissue lysate 10 μg

Lane 2 : ab288766 IP in mouse brain tissue lysate

Lane 3 : Rabbit monoclonal IgG (ab172730) instead of ab288766 in mouse brain tissue lysate

Blocking and dilution buffer and concentration : 5% NFDM/TBST.

Exposure time : 67 seconds.

All lanes:

Immunoprecipitation - Anti-CACNA1E antibody [EPR25385-129] (ab288766)

Predicted band size: 262 kDa

Observed band size: 257 kDa

false

Western blot - Anti-CACNA1E antibody [EPR25385-129] (AB288766)
  • WB

Lab

Western blot - Anti-CACNA1E antibody [EPR25385-129] (AB288766)

Blocking and diluting buffer and concentration : 5% NFDM/TBST.

Lane 1 : 103 seconds
Lane 2-5 : 70 seconds

The molecular weight and expression pattern is consistent to what has been described in previous reports (PMID : 31704946, PMID : 30846929)

Samples are non-boiled as boiling may cause protein aggregates.

All lanes:

Western blot - Anti-CACNA1E antibody [EPR25385-129] (ab288766) at 1/1000 dilution

Lane 1:

Mouse brain tissue lysate at 40 µg

Lane 2:

Mouse hippocampus tissue lysate at 40 µg

Lane 3:

Mouse kidney tissue lysate at 40 µg

Lane 4:

Rat hippocampus tissue lysate at 40 µg

Lane 5:

Rat kidney tissue lysate at 40 µg

Secondary

All lanes:

Western blot - Goat Anti-Rabbit IgG H&L (HRP) (<a href='/en-us/products/secondary-antibodies/goat-rabbit-igg-h-l-hrp-ab97051'>ab97051</a>) at 1/100000 dilution

Predicted band size: 262 kDa

Observed band size: 257 kDa

false

  • Carrier free

    Anti-CACNA1E antibody [EPR25385-129] - BSA and Azide free

Key facts

Host species

Rabbit

Clonality

Monoclonal

Clone number

EPR25385-129

Isotype

IgG

Carrier free

No

Reacts with

Rat, Mouse

Applications

IP, Flow Cyt (Intra), WB, IHC-P

applications

Immunogen

The exact immunogen used to generate this antibody is proprietary information.

Reactivity data

{ "title": "Reactivity Data", "filters": { "stats": ["", "Species", "Dilution Info", "Notes"], "tabs": { "all-applications": {"fullname" : "All Applications", "shortname": "All Applications"}, "IHCP" : {"fullname" : "Immunohistochemistry (Formalin/PFA-fixed paraffin-embedded sections)", "shortname":"IHC-P"}, "IHCFr" : {"fullname" : "Immunohistochemistry (Frozen sections)", "shortname":"IHC-Fr"}, "FlowCytIntra" : {"fullname" : "Flow Cytometry (Intracellular)", "shortname":"Flow Cyt (Intra)"}, "ICCIF" : {"fullname" : "Immunocytochemistry/ Immunofluorescence", "shortname":"ICC/IF"}, "IP" : {"fullname" : "Immunoprecipitation", "shortname":"IP"}, "WB" : {"fullname" : "Western blot", "shortname":"WB"} }, "product-promise": { "all": "all", "testedAndGuaranteed": "tested", "guaranteed": "expected", "predicted": "predicted", "notRecommended": "not-recommended" } }, "values": { "Human": { "IHCP-species-checked": "notRecommended", "IHCP-species-dilution-info": "1/500", "IHCP-species-notes": "<p></p>", "IHCFr-species-checked": "notRecommended", "IHCFr-species-dilution-info": "", "IHCFr-species-notes": "", "FlowCytIntra-species-checked": "notRecommended", "FlowCytIntra-species-dilution-info": "", "FlowCytIntra-species-notes": "", "ICCIF-species-checked": "notRecommended", "ICCIF-species-dilution-info": "", "ICCIF-species-notes": "", "IP-species-checked": "notRecommended", "IP-species-dilution-info": "", "IP-species-notes": "", "WB-species-checked": "notRecommended", "WB-species-dilution-info": "1/1000", "WB-species-notes": "<p></p>" }, "Mouse": { "IHCP-species-checked": "testedAndGuaranteed", "IHCP-species-dilution-info": "1/500", "IHCP-species-notes": "<p></p>", "IHCFr-species-checked": "notRecommended", "IHCFr-species-dilution-info": "", "IHCFr-species-notes": "<p></p>", "FlowCytIntra-species-checked": "testedAndGuaranteed", "FlowCytIntra-species-dilution-info": "1/500", "FlowCytIntra-species-notes": "<p></p>", "ICCIF-species-checked": "notRecommended", "ICCIF-species-dilution-info": "", "ICCIF-species-notes": "<p></p>", "IP-species-checked": "testedAndGuaranteed", "IP-species-dilution-info": "1/30", "IP-species-notes": "<p></p>", "WB-species-checked": "testedAndGuaranteed", "WB-species-dilution-info": "1/1000", "WB-species-notes": "<p></p>" }, "Rat": { "IHCP-species-checked": "testedAndGuaranteed", "IHCP-species-dilution-info": "1/500", "IHCP-species-notes": "<p></p>", "IHCFr-species-checked": "notRecommended", "IHCFr-species-dilution-info": "", "IHCFr-species-notes": "<p></p>", "FlowCytIntra-species-checked": "testedAndGuaranteed", "FlowCytIntra-species-dilution-info": "1/500", "FlowCytIntra-species-notes": "<p></p>", "ICCIF-species-checked": "notRecommended", "ICCIF-species-dilution-info": "", "ICCIF-species-notes": "<p></p>", "IP-species-checked": "guaranteed", "IP-species-dilution-info": "", "IP-species-notes": "", "WB-species-checked": "testedAndGuaranteed", "WB-species-dilution-info": "1/1000", "WB-species-notes": "<p></p>" } } }

Product details

Patented technology
Our RabMAb® technology is a patented hybridoma-based technology for making rabbit monoclonal antibodies. For details on our patents, please refer to RabMAb® patents.

What are the advantages of a recombinant monoclonal antibody?
This product is a recombinant monoclonal antibody, which offers several advantages including:

  • - High batch-to-batch consistency and reproducibility
  • - Improved sensitivity and specificity
  • - Long-term security of supply
  • - Animal-free batch production

For more information, read more on recombinant antibodies.

Properties and storage information

Form
Liquid
Purification technique
Affinity purification Protein A
Storage buffer
pH: 7.2 - 7.4 Preservative: 0.01% Sodium azide Constituents: PBS, 40% Glycerol (glycerin, glycerine), 0.05% BSA
Shipped at conditions
Blue Ice
Appropriate short-term storage duration
1-2 weeks
Appropriate short-term storage conditions
+4°C
Appropriate long-term storage conditions
-20°C
Aliquoting information
Upon delivery aliquot
Storage information
Avoid freeze / thaw cycle

Supplementary information

This supplementary information is collated from multiple sources and compiled automatically.

The CACNA1E gene encodes the alpha-1E subunit of voltage-dependent calcium channels also known as Cav2.3. These channels play a role in mediating the influx of calcium ions into excitable cells. The molecular mass of the CACNA1E-encoded protein is approximately 250 kDa. Expressed widely throughout the nervous system particularly within the brain and various neurons the protein facilitates calcium ion conductance important for neuronal activity.
Biological function summary

Cav2.3 channels contribute to neurotransmitter release neuronal excitability and synaptic plasticity. They serve as integral parts of the high-voltage activated calcium channel complex sharing this role with other similar channels. Their function has implications for excitatory synaptic transmission and the modulation of neuronal circuits.

Pathways

The CACNA1E-related channels integrate into both the calcium signaling and neurotransmitter release pathways. These pathways are essential for the propagation of signals in neurons and synapses. The CACNA1E protein is related to other calcium channel alpha subunits like Cav2.1 (CACNA1A) and Cav2.2 (CACNA1B) which collectively orchestrate calcium influx necessary for neurotransmitter exocytosis.

Abnormal function or expression of these channels connects to epilepsy and certain types of migraine. Mutations in CACNA1E may alter channel function impacting calcium ion homeostasis within neurons. Related proteins such as those encoded by CACNA1A have been implicated in similar neurological disorders reflecting a shared involvement within critical neural circuits.

Product protocols

For this product, it's our understanding that no specific protocols are required. You can visit:

Target data

Voltage-sensitive calcium channels (VSCC) mediate the entry of calcium ions into excitable cells (PubMed : 30343943). They are also involved in a variety of calcium-dependent processes, including muscle contraction, hormone or neurotransmitter release, gene expression, cell motility, cell division and cell death. The isoform alpha-1E gives rise to R-type calcium currents. R-type calcium channels belong to the 'high-voltage activated' (HVA) group and are blocked by nickel. They are however insensitive to dihydropyridines (DHP). Calcium channels containing alpha-1E subunit could be involved in the modulation of firing patterns of neurons which is important for information processing.. Isoform 3. Voltage-sensitive calcium channels (VSCC) mediate the entry of calcium ions into excitable cells. They are also involved in a variety of calcium-dependent processes, including muscle contraction, hormone or neurotransmitter release, gene expression, cell motility, cell division and cell death. The isoform alpha-1E gives rise to R-type calcium currents.
See full target information CACNA1E

Product promise

We are committed to supporting your work with high-quality reagents, and we're here for you every step of the way. In the unlikely event that one of our products does not perform as expected, you're protected by our Product Promise.
For full details, please see our Terms & Conditions

Please note: All products are 'FOR RESEARCH USE ONLY. NOT FOR USE IN DIAGNOSTIC OR THERAPEUTIC PROCEDURES'.

For licensing inquiries, please contact partnerships@abcam.com