JavaScript is disabled in your browser. Please enable JavaScript to view this website.
AB2862

Anti-CACNA1S antibody [1A]

5

(2 Reviews)

|

(29 Publications)

Mouse Monoclonal CACNA1S antibody. Suitable for IP, Flow Cyt, ELISA, WB, IHC-P, ICC/IF, FuncS (Neut/Block), IHC-Fr, Flow Cyt (Intra) and reacts with Mouse, Rat, Guinea pig, Human, Rabbit samples. Cited in 29 publications.

View Alternative Names

CACH1, CACN1, CACNL1A3, CACNA1S, Voltage-dependent L-type calcium channel subunit alpha-1S, Voltage-gated calcium channel subunit alpha Cav1.1

2 Images
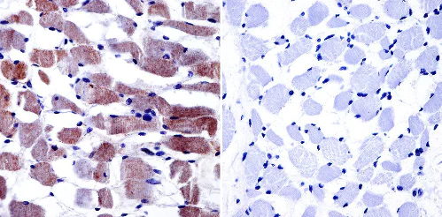
Immunohistochemistry (Formalin/PFA-fixed paraffin-embedded sections) - Anti-CACNA1S antibody [1A] (AB2862)
  • IHC-P

Supplier Data

Immunohistochemistry (Formalin/PFA-fixed paraffin-embedded sections) - Anti-CACNA1S antibody [1A] (AB2862)

Immunohistochemistry (Formalin/PFA-fixed paraffin-embedded sections) was performed on normal biopsies of deparaffinized human skeletal muscle tissue. Heat induced antigen retrieval was performed using 10mM sodium citrate (pH6.0) buffer, microwaved for 8-15 minutes. Tissues were blocked in 3% BSA-PBS for 30 minutes at room temperature. Tissues were then incubated with ab2862 (1 : 20) or without primary antibody (negative control) overnight at 4°C in a humidified chamber. Tissues were washed extensively with PBST and endogenous peroxidase activity was quenched with a peroxidase suppressor. Detection was performed using a biotin-conjugated secondary antibody and SA-HRP, followed by colorimetric detection using DAB. Tissues were counterstained with hematoxylin and prepped for mounting.

Flow Cytometry - Anti-CACNA1S antibody [1A] (AB2862)
  • Flow Cyt

Supplier Data

Flow Cytometry - Anti-CACNA1S antibody [1A] (AB2862)

Flow cytometry analysis of Dihydropyridine Receptor alpha-1 in U251 cells (green) compared to an isotype control (blue). Cells were harvested, adjusted to a concentration of 1-5 x106 cells/mL, fixed with 2% paraformaldehyde and washed with PBS. Cells were blocked with a 2% solution of BSA-PBS for 30 min at room temperature and incubated with a Dihydropyridine Receptor alpha-1 monoclonal antibody at 1 μg/test for 40 min at room temperature. Cells were then incubated for 40 min at room temperature in the dark using a Dylight 488-conjugated secondary antibody and re-suspended in PBS for FACS analysis.

Key facts

Host species

Mouse

Clonality

Monoclonal

Clone number

1A

Isotype

IgG1

Carrier free

No

Reacts with

Human, Guinea pig, Rabbit, Mouse, Rat

Applications

Flow Cyt, ELISA, FuncS (Neut/Block), IHC-Fr, ICC/IF, Flow Cyt (Intra), IHC-P, WB, IP

applications

Immunogen

The exact immunogen used to generate this antibody is proprietary information.

Reactivity data

{ "title": "Reactivity Data", "filters": { "stats": ["", "Species", "Dilution Info", "Notes"], "tabs": { "all-applications": {"fullname" : "All Applications", "shortname": "All Applications"}, "IP" : {"fullname" : "Immunoprecipitation", "shortname":"IP"}, "FlowCyt" : {"fullname" : "Flow Cytometry", "shortname":"Flow Cyt"}, "ELISA" : {"fullname" : "ELISA", "shortname":"ELISA"}, "WB" : {"fullname" : "Western blot", "shortname":"WB"}, "IHCP" : {"fullname" : "Immunohistochemistry (Formalin/PFA-fixed paraffin-embedded sections)", "shortname":"IHC-P"}, "ICCIF" : {"fullname" : "Immunocytochemistry/ Immunofluorescence", "shortname":"ICC/IF"}, "FuncSNeutBlock" : {"fullname" : "Functional Studies (Neut/Block)", "shortname":"FuncS (Neut/Block)"}, "IHCFr" : {"fullname" : "Immunohistochemistry (Frozen sections)", "shortname":"IHC-Fr"}, "FlowCytIntra" : {"fullname" : "Flow Cytometry (Intracellular)", "shortname":"Flow Cyt (Intra)"} }, "product-promise": { "all": "all", "testedAndGuaranteed": "tested", "guaranteed": "expected", "predicted": "predicted", "notRecommended": "not-recommended" } }, "values": { "Human": { "IP-species-checked": "guaranteed", "IP-species-dilution-info": "", "IP-species-notes": "<p></p>", "FlowCyt-species-checked": "testedAndGuaranteed", "FlowCyt-species-dilution-info": "1 µg/mL", "FlowCyt-species-notes": "<p></p>", "ELISA-species-checked": "guaranteed", "ELISA-species-dilution-info": "", "ELISA-species-notes": "<p></p>", "WB-species-checked": "guaranteed", "WB-species-dilution-info": "", "WB-species-notes": "<p></p>", "IHCP-species-checked": "testedAndGuaranteed", "IHCP-species-dilution-info": "1/20", "IHCP-species-notes": "<p></p>", "ICCIF-species-checked": "guaranteed", "ICCIF-species-dilution-info": "", "ICCIF-species-notes": "<p></p>", "FuncSNeutBlock-species-checked": "guaranteed", "FuncSNeutBlock-species-dilution-info": "", "FuncSNeutBlock-species-notes": "<p></p>", "IHCFr-species-checked": "guaranteed", "IHCFr-species-dilution-info": "", "IHCFr-species-notes": "<p></p>", "FlowCytIntra-species-checked": "guaranteed", "FlowCytIntra-species-dilution-info": "", "FlowCytIntra-species-notes": "<p><a href='/en-us/products/primary-antibodies/mouse-igg1-kappa-monoclonal-15-6e10a7-isotype-control-ab170190'>ab170190</a> - Mouse monoclonal IgG1, is suitable for use as an isotype control with this antibody.</p>" }, "Mouse": { "IP-species-checked": "guaranteed", "IP-species-dilution-info": "", "IP-species-notes": "<p></p>", "FlowCyt-species-checked": "guaranteed", "FlowCyt-species-dilution-info": "", "FlowCyt-species-notes": "<p></p>", "ELISA-species-checked": "guaranteed", "ELISA-species-dilution-info": "", "ELISA-species-notes": "<p></p>", "WB-species-checked": "guaranteed", "WB-species-dilution-info": "", "WB-species-notes": "<p></p>", "IHCP-species-checked": "guaranteed", "IHCP-species-dilution-info": "", "IHCP-species-notes": "<p></p>", "ICCIF-species-checked": "guaranteed", "ICCIF-species-dilution-info": "", "ICCIF-species-notes": "<p></p>", "FuncSNeutBlock-species-checked": "guaranteed", "FuncSNeutBlock-species-dilution-info": "", "FuncSNeutBlock-species-notes": "<p></p>", "IHCFr-species-checked": "guaranteed", "IHCFr-species-dilution-info": "", "IHCFr-species-notes": "<p></p>", "FlowCytIntra-species-checked": "guaranteed", "FlowCytIntra-species-dilution-info": "", "FlowCytIntra-species-notes": "<p><a href='/en-us/products/primary-antibodies/mouse-igg1-kappa-monoclonal-15-6e10a7-isotype-control-ab170190'>ab170190</a> - Mouse monoclonal IgG1, is suitable for use as an isotype control with this antibody.</p>" }, "Rat": { "IP-species-checked": "guaranteed", "IP-species-dilution-info": "", "IP-species-notes": "<p></p>", "FlowCyt-species-checked": "guaranteed", "FlowCyt-species-dilution-info": "", "FlowCyt-species-notes": "<p></p>", "ELISA-species-checked": "guaranteed", "ELISA-species-dilution-info": "", "ELISA-species-notes": "<p></p>", "WB-species-checked": "guaranteed", "WB-species-dilution-info": "", "WB-species-notes": "<p></p>", "IHCP-species-checked": "guaranteed", "IHCP-species-dilution-info": "", "IHCP-species-notes": "<p></p>", "ICCIF-species-checked": "guaranteed", "ICCIF-species-dilution-info": "", "ICCIF-species-notes": "<p></p>", "FuncSNeutBlock-species-checked": "guaranteed", "FuncSNeutBlock-species-dilution-info": "", "FuncSNeutBlock-species-notes": "<p></p>", "IHCFr-species-checked": "guaranteed", "IHCFr-species-dilution-info": "", "IHCFr-species-notes": "<p></p>", "FlowCytIntra-species-checked": "guaranteed", "FlowCytIntra-species-dilution-info": "", "FlowCytIntra-species-notes": "<p><a href='/en-us/products/primary-antibodies/mouse-igg1-kappa-monoclonal-15-6e10a7-isotype-control-ab170190'>ab170190</a> - Mouse monoclonal IgG1, is suitable for use as an isotype control with this antibody.</p>" }, "Guinea pig": { "IP-species-checked": "guaranteed", "IP-species-dilution-info": "", "IP-species-notes": "<p></p>", "FlowCyt-species-checked": "guaranteed", "FlowCyt-species-dilution-info": "", "FlowCyt-species-notes": "<p></p>", "ELISA-species-checked": "guaranteed", "ELISA-species-dilution-info": "", "ELISA-species-notes": "<p></p>", "WB-species-checked": "guaranteed", "WB-species-dilution-info": "", "WB-species-notes": "<p></p>", "IHCP-species-checked": "guaranteed", "IHCP-species-dilution-info": "", "IHCP-species-notes": "<p></p>", "ICCIF-species-checked": "guaranteed", "ICCIF-species-dilution-info": "", "ICCIF-species-notes": "<p></p>", "FuncSNeutBlock-species-checked": "guaranteed", "FuncSNeutBlock-species-dilution-info": "", "FuncSNeutBlock-species-notes": "<p></p>", "IHCFr-species-checked": "guaranteed", "IHCFr-species-dilution-info": "", "IHCFr-species-notes": "<p></p>", "FlowCytIntra-species-checked": "guaranteed", "FlowCytIntra-species-dilution-info": "", "FlowCytIntra-species-notes": "<p><a href='/en-us/products/primary-antibodies/mouse-igg1-kappa-monoclonal-15-6e10a7-isotype-control-ab170190'>ab170190</a> - Mouse monoclonal IgG1, is suitable for use as an isotype control with this antibody.</p>" }, "Rabbit": { "IP-species-checked": "guaranteed", "IP-species-dilution-info": "", "IP-species-notes": "<p></p>", "FlowCyt-species-checked": "guaranteed", "FlowCyt-species-dilution-info": "", "FlowCyt-species-notes": "<p></p>", "ELISA-species-checked": "guaranteed", "ELISA-species-dilution-info": "", "ELISA-species-notes": "<p></p>", "WB-species-checked": "guaranteed", "WB-species-dilution-info": "", "WB-species-notes": "<p></p>", "IHCP-species-checked": "guaranteed", "IHCP-species-dilution-info": "", "IHCP-species-notes": "<p></p>", "ICCIF-species-checked": "guaranteed", "ICCIF-species-dilution-info": "", "ICCIF-species-notes": "<p></p>", "FuncSNeutBlock-species-checked": "guaranteed", "FuncSNeutBlock-species-dilution-info": "", "FuncSNeutBlock-species-notes": "<p></p>", "IHCFr-species-checked": "guaranteed", "IHCFr-species-dilution-info": "", "IHCFr-species-notes": "<p></p>", "FlowCytIntra-species-checked": "guaranteed", "FlowCytIntra-species-dilution-info": "", "FlowCytIntra-species-notes": "<p><a href='/en-us/products/primary-antibodies/mouse-igg1-kappa-monoclonal-15-6e10a7-isotype-control-ab170190'>ab170190</a> - Mouse monoclonal IgG1, is suitable for use as an isotype control with this antibody.</p>" } } }

Properties and storage information

Form
Liquid
Purification technique
Affinity purification Protein A
Storage buffer
pH: 7.4 Preservative: 0.05% Sodium azide
Shipped at conditions
Blue Ice
Appropriate short-term storage duration
1-2 weeks
Appropriate short-term storage conditions
+4°C
Appropriate long-term storage conditions
-20°C
Aliquoting information
Upon delivery aliquot
Storage information
Avoid freeze / thaw cycle

Supplementary information

This supplementary information is collated from multiple sources and compiled automatically.

CACNA1S also known as Cav1.1 is a voltage-dependent calcium channel subunit alpha-1S with a molecular mass of approximately 212 kDa. This protein is expressed prominently in skeletal muscle tissues. It is essential for mediating calcium ion influx across the cell membrane necessary for muscle contraction. CACNA1S is characterized by its role in forming L-type calcium channels which contribute to the excitation-contraction coupling process in muscle cells.
Biological function summary

CACNA1S functions as an important component in the skeletal muscle contraction mechanism. It is part of a large protein complex including other subunits like beta gamma and delta which together form the functional calcium channel. This channel through voltage-sensing and conformational changes in CACNA1S allows the regulated flow of calcium ions into muscle cells triggering biochemical cascades that result in contraction.

Pathways

CACNA1S plays a critical role in the excitation-contraction coupling and calcium signaling pathways. It interacts with proteins such as the ryanodine receptor (RyR1) to ensure effective calcium release from the sarcoplasmic reticulum facilitating proper skeletal muscle function. Additionally it is associated with calmodulin a calcium-binding messenger protein that modulates channel activity and plays a role in muscle fiber function.

Alterations in CACNA1S are linked to conditions like hypokalemic periodic paralysis and malignant hyperthermia. In hypokalemic periodic paralysis CACNA1S mutations disrupt normal calcium channel function causing episodes of muscle weakness. Meanwhile its association with malignant hyperthermia reveals connections to the ryanodine receptor where abnormal calcium release during anesthesia can lead to severe reactions. Understanding CACNA1S interactions therefore provides insights into these muscle-related conditions.

Product protocols

For this product, it's our understanding that no specific protocols are required. You can visit:

Target data

Pore-forming, alpha-1S subunit of the voltage-gated calcium channel that gives rise to L-type calcium currents in skeletal muscle. Calcium channels containing the alpha-1S subunit play an important role in excitation-contraction coupling in skeletal muscle via their interaction with RYR1, which triggers Ca(2+) release from the sarcoplasmic reticulum and ultimately results in muscle contraction. Long-lasting (L-type) calcium channels belong to the 'high-voltage activated' (HVA) group.
See full target information CACNA1S

Publications (29)

Recent publications for all applications. Explore the full list and refine your search

Frontiers in ophthalmology 3:1226224 PubMed38983050

2024

Light-dependent changes in the outer plexiform layer of the mouse retina.

Applications

Unspecified application

Species

Unspecified reactive species

Tammie L Haley,Ryan M Hecht,Gaoying Ren,James R Carroll,Sue A Aicher,Robert M Duvoisin,Catherine W Morgans

Human molecular genetics 33:254-269 PubMed37930228

2023

Two zebrafish cacna1s loss-of-function variants provide models of mild and severe CACNA1S-related myopathy.

Applications

Unspecified application

Species

Unspecified reactive species

Yukari Endo,Linda Groom,Sabrina M Wang,Emanuela Pannia,Nigel W Griffiths,Jenica L M Van Gennip,Brian Ciruna,Jocelyn Laporte,Robert T Dirksen,James J Dowling

Frontiers in cell and developmental biology 11:1243299 PubMed37745298

2023

Shank3 related muscular hypotonia is accompanied by increased intracellular calcium concentrations and ion channel dysregulation in striated muscle tissue.

Applications

Unspecified application

Species

Unspecified reactive species

Berra Yildiz,Lisa Schiedt,Medhanie Mulaw,Jürgen Bockmann,Sarah Jesse,Anne-Kathrin Lutz,Tobias M Boeckers

Molecular therapy. Nucleic acids 33:321-334 PubMed37547294

2023

DNM2 levels normalization improves muscle phenotypes of a novel mouse model for moderate centronuclear myopathy.

Applications

Unspecified application

Species

Unspecified reactive species

Juliana de Carvalho Neves,Foteini Moschovaki-Filippidou,Johann Böhm,Jocelyn Laporte

eLife 12: PubMed37083699

2023

Caveolae and Bin1 form ring-shaped platforms for T-tubule initiation.

Applications

Unspecified application

Species

Unspecified reactive species

Eline Lemerle,Jeanne Lainé,Marion Benoist,Gilles Moulay,Anne Bigot,Clémence Labasse,Angéline Madelaine,Alexis Canette,Perrine Aubin,Jean-Michel Vallat,Norma B Romero,Marc Bitoun,Vincent Mouly,Isabelle Marty,Bruno Cadot,Laura Picas,Stéphane Vassilopoulos

The Journal of general physiology 155: PubMed36409218

2022

Huntingtin regulates calcium fluxes in skeletal muscle.

Applications

Unspecified application

Species

Unspecified reactive species

Mathilde Chivet,Maximilian McCluskey,Anne Sophie Nicot,Julie Brocard,Mathilde Beaufils,Diane Giovannini,Benoit Giannesini,Brice Poreau,Jacques Brocard,Sandrine Humbert,Frédéric Saudou,Julien Fauré,Isabelle Marty

Progress in retinal and eye research 95:101137 PubMed36404230

2022

Retinal dystrophins and the retinopathy of Duchenne muscular dystrophy.

Applications

Unspecified application

Species

Unspecified reactive species

Mirella Telles Salgueiro Barboni,Anneka Joachimsthaler,Michel J Roux,Zoltán Zsolt Nagy,Dora Fix Ventura,Alvaro Rendon,Jan Kremers,Cyrille Vaillend

JCI insight 7: PubMed35763354

2022

Dynamin-2 reduction rescues the skeletal myopathy of a SPEG-deficient mouse model.

Applications

Unspecified application

Species

Unspecified reactive species

Qifei Li,Jasmine Lin,Jeffrey J Widrick,Shiyu Luo,Gu Li,Yuanfan Zhang,Jocelyn Laporte,Mark A Perrella,Xiaoli Liu,Pankaj B Agrawal

The Journal of general physiology 153: PubMed34636893

2021

Pannexin-1 and CaV1.1 show reciprocal interaction during excitation-contraction and excitation-transcription coupling in skeletal muscle.

Applications

Unspecified application

Species

Unspecified reactive species

Francisco Jaque-Fernández,Gonzalo Jorquera,Jennifer Troc-Gajardo,France Pietri-Rouxel,Christel Gentil,Sonja Buvinic,Bruno Allard,Enrique Jaimovich,Vincent Jacquemond,Mariana Casas

eLife 10: PubMed34558411

2021

Myopalladin knockout mice develop cardiac dilation and show a maladaptive response to mechanical pressure overload.

Applications

Unspecified application

Species

Unspecified reactive species

Maria Carmela Filomena,Daniel L Yamamoto,Pierluigi Carullo,Roman Medvedev,Andrea Ghisleni,Nicoletta Piroddi,Beatrice Scellini,Roberta Crispino,Francesca D'Autilia,Jianlin Zhang,Arianna Felicetta,Simona Nemska,Simone Serio,Chiara Tesi,Daniele Catalucci,Wolfgang A Linke,Roman Polishchuk,Corrado Poggesi,Mathias Gautel,Marie-Louise Bang
View all publications

Product promise

We are committed to supporting your work with high-quality reagents, and we're here for you every step of the way. In the unlikely event that one of our products does not perform as expected, you're protected by our Product Promise.
For full details, please see our Terms & Conditions

Please note: All products are 'FOR RESEARCH USE ONLY. NOT FOR USE IN DIAGNOSTIC OR THERAPEUTIC PROCEDURES'.

For licensing inquiries, please contact partnerships@abcam.com