JavaScript is disabled in your browser. Please enable JavaScript to view this website.
AB96413

Anti-CACNA1S antibody

3

(1 Review)

|

(1 Publication)

Rabbit Polyclonal CACNA1S antibody. Suitable for IHC-P, WB and reacts with Human samples. Cited in 1 publication. Immunogen corresponding to Recombinant Fragment Protein within Human CACNA1S aa 500-900.

View Alternative Names

CACH1, CACN1, CACNL1A3, CACNA1S, Voltage-dependent L-type calcium channel subunit alpha-1S, Voltage-gated calcium channel subunit alpha Cav1.1

2 Images
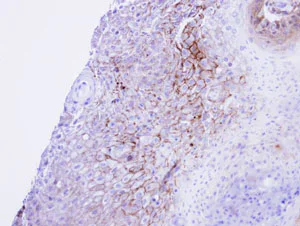
Immunohistochemistry (Formalin/PFA-fixed paraffin-embedded sections) - Anti-CACNA1S antibody (AB96413)
  • IHC-P

Unknown

Immunohistochemistry (Formalin/PFA-fixed paraffin-embedded sections) - Anti-CACNA1S antibody (AB96413)

Immunohistochemical analysis of paraffin-embedded Cal27 xenograft, using ab96413 at 1 : 100 dilution.

Western blot - Anti-CACNA1S antibody (AB96413)
  • WB

Unknown

Western blot - Anti-CACNA1S antibody (AB96413)

5% SDS PAGE

All lanes:

Western blot - Anti-CACNA1S antibody (ab96413) at 1/1000 dilution

All lanes:

293T whole cell lysate at 30 µg

Predicted band size: 212 kDa

false

Key facts

Host species

Rabbit

Clonality

Polyclonal

Isotype

IgG

Carrier free

No

Reacts with

Human

Applications

WB, IHC-P

applications

Immunogen

Recombinant Fragment Protein within Human CACNA1S aa 500-900. The exact immunogen used to generate this antibody is proprietary information.

Q13698

Reactivity data

{ "title": "Reactivity Data", "filters": { "stats": ["", "Species", "Dilution Info", "Notes"], "tabs": { "all-applications": {"fullname" : "All Applications", "shortname": "All Applications"}, "IHCP" : {"fullname" : "Immunohistochemistry (Formalin/PFA-fixed paraffin-embedded sections)", "shortname":"IHC-P"}, "WB" : {"fullname" : "Western blot", "shortname":"WB"} }, "product-promise": { "all": "all", "testedAndGuaranteed": "tested", "guaranteed": "expected", "predicted": "predicted", "notRecommended": "not-recommended" } }, "values": { "Human": { "IHCP-species-checked": "testedAndGuaranteed", "IHCP-species-dilution-info": "1/100 - 1/500", "IHCP-species-notes": "<p></p> Antigen retrieval is not essential but may optimise staining.", "WB-species-checked": "testedAndGuaranteed", "WB-species-dilution-info": "1/500 - 1/3000", "WB-species-notes": "<p></p>" }, "Mouse": { "IHCP-species-checked": "predicted", "IHCP-species-dilution-info": "", "IHCP-species-notes": "", "WB-species-checked": "predicted", "WB-species-dilution-info": "", "WB-species-notes": "" }, "Rat": { "IHCP-species-checked": "predicted", "IHCP-species-dilution-info": "", "IHCP-species-notes": "", "WB-species-checked": "predicted", "WB-species-dilution-info": "", "WB-species-notes": "" }, "Cat": { "IHCP-species-checked": "predicted", "IHCP-species-dilution-info": "", "IHCP-species-notes": "", "WB-species-checked": "predicted", "WB-species-dilution-info": "", "WB-species-notes": "" }, "Rabbit": { "IHCP-species-checked": "predicted", "IHCP-species-dilution-info": "", "IHCP-species-notes": "", "WB-species-checked": "predicted", "WB-species-dilution-info": "", "WB-species-notes": "" } } }

Properties and storage information

Form
Liquid
Purification technique
Affinity purification Immunogen
Storage buffer
pH: 7 Preservative: 0.01% Thimerosal (merthiolate) Constituents: PBS, 10% Glycerol (glycerin, glycerine)
Shipped at conditions
Blue Ice
Appropriate short-term storage conditions
+4°C
Appropriate long-term storage conditions
-20°C
Aliquoting information
Upon delivery aliquot
Storage information
Avoid freeze / thaw cycle

Supplementary information

This supplementary information is collated from multiple sources and compiled automatically.

CACNA1S also known as Cav1.1 is a voltage-dependent calcium channel subunit alpha-1S with a molecular mass of approximately 212 kDa. This protein is expressed prominently in skeletal muscle tissues. It is essential for mediating calcium ion influx across the cell membrane necessary for muscle contraction. CACNA1S is characterized by its role in forming L-type calcium channels which contribute to the excitation-contraction coupling process in muscle cells.
Biological function summary

CACNA1S functions as an important component in the skeletal muscle contraction mechanism. It is part of a large protein complex including other subunits like beta gamma and delta which together form the functional calcium channel. This channel through voltage-sensing and conformational changes in CACNA1S allows the regulated flow of calcium ions into muscle cells triggering biochemical cascades that result in contraction.

Pathways

CACNA1S plays a critical role in the excitation-contraction coupling and calcium signaling pathways. It interacts with proteins such as the ryanodine receptor (RyR1) to ensure effective calcium release from the sarcoplasmic reticulum facilitating proper skeletal muscle function. Additionally it is associated with calmodulin a calcium-binding messenger protein that modulates channel activity and plays a role in muscle fiber function.

Alterations in CACNA1S are linked to conditions like hypokalemic periodic paralysis and malignant hyperthermia. In hypokalemic periodic paralysis CACNA1S mutations disrupt normal calcium channel function causing episodes of muscle weakness. Meanwhile its association with malignant hyperthermia reveals connections to the ryanodine receptor where abnormal calcium release during anesthesia can lead to severe reactions. Understanding CACNA1S interactions therefore provides insights into these muscle-related conditions.

Product protocols

For this product, it's our understanding that no specific protocols are required. You can visit:

Target data

Pore-forming, alpha-1S subunit of the voltage-gated calcium channel that gives rise to L-type calcium currents in skeletal muscle. Calcium channels containing the alpha-1S subunit play an important role in excitation-contraction coupling in skeletal muscle via their interaction with RYR1, which triggers Ca(2+) release from the sarcoplasmic reticulum and ultimately results in muscle contraction. Long-lasting (L-type) calcium channels belong to the 'high-voltage activated' (HVA) group.
See full target information CACNA1S

Publications (1)

Recent publications for all applications. Explore the full list and refine your search

eNeuro 8: PubMed33637538

2021

A Role for STOML3 in Olfactory Sensory Transduction.

Applications

Unspecified application

Species

Unspecified reactive species

Emilio Agostinelli,Kevin Y Gonzalez-Velandia,Andres Hernandez-Clavijo,Devendra Kumar Maurya,Elena Xerxa,Gary R Lewin,Michele Dibattista,Anna Menini,Simone Pifferi
View all publications

Product promise

We are committed to supporting your work with high-quality reagents, and we're here for you every step of the way. In the unlikely event that one of our products does not perform as expected, you're protected by our Product Promise.
For full details, please see our Terms & Conditions

Please note: All products are 'FOR RESEARCH USE ONLY. NOT FOR USE IN DIAGNOSTIC OR THERAPEUTIC PROCEDURES'.

For licensing inquiries, please contact partnerships@abcam.com