JavaScript is disabled in your browser. Please enable JavaScript to view this website.
AB249684

Anti-CacyBP antibody [EPR12374] - BSA and Azide free

Be the first to review this product! Submit a review

|

(1 Publication)

Rabbit Recombinant Monoclonal CacyBP antibody. Carrier free. Suitable for IHC-P, Flow Cyt (Intra), ICC/IF, IP, WB and reacts with Human samples. Cited in 1 publication.

View Alternative Names

S100A6BP, SIP, PNAS-107, CACYBP, Calcyclin-binding protein, CacyBP, hCacyBP, S100A6-binding protein, Siah-interacting protein

8 Images
Immunohistochemistry (Formalin/PFA-fixed paraffin-embedded sections) - Anti-CacyBP antibody [EPR12374] - BSA and Azide free (AB249684)
  • IHC-P

Supplier Data

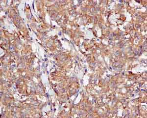
Immunohistochemistry (Formalin/PFA-fixed paraffin-embedded sections) - Anti-CacyBP antibody [EPR12374] - BSA and Azide free (AB249684)

This data was developed using ab171972, the same antibody clone in a different buffer formulation.

Immunohistochemical analysis of paraffin-embedded Human gastric carcinoma tissue labeling CacyBP with ab171972 at 1/100 dilution.

Perform heat mediated antigen retrieval with citrate buffer pH 6 before commencing with IHC staining protocol.

Immunohistochemistry (Formalin/PFA-fixed paraffin-embedded sections) - Anti-CacyBP antibody [EPR12374] - BSA and Azide free (AB249684)
  • IHC-P

Supplier Data

Immunohistochemistry (Formalin/PFA-fixed paraffin-embedded sections) - Anti-CacyBP antibody [EPR12374] - BSA and Azide free (AB249684)

This data was developed using ab171972, the same antibody clone in a different buffer formulation.

Immunohistochemical analysis of paraffin-embedded Human gliocytoma tissue labeling CacyBP with ab171972 at 1/100 dilution. Perform heat mediated antigen retrieval with citrate buffer pH 6 before commencing with IHC staining protocol.

Immunocytochemistry/ Immunofluorescence - Anti-CacyBP antibody [EPR12374] - BSA and Azide free (AB249684)
  • ICC/IF

Supplier Data

Immunocytochemistry/ Immunofluorescence - Anti-CacyBP antibody [EPR12374] - BSA and Azide free (AB249684)

This data was developed using ab171972, the same antibody clone in a different buffer formulation.

Immunofluorescent analysis of MCF7 cells labeling CacyBP with ab171972 at 1/100 dilution. DAPI nuclear staining (blue).

Flow Cytometry (Intracellular) - Anti-CacyBP antibody [EPR12374] - BSA and Azide free (AB249684)
  • Flow Cyt (Intra)

Supplier Data

Flow Cytometry (Intracellular) - Anti-CacyBP antibody [EPR12374] - BSA and Azide free (AB249684)

This data was developed using ab171972, the same antibody clone in a different buffer formulation.

Intracellular flow cytometric analysis of permeabilized 293T cells labeling CacyBP with ab171972 at 1/10 dilution (red) or Rabbit IgG (negative) (green).

Immunohistochemistry (Formalin/PFA-fixed paraffin-embedded sections) - Anti-CacyBP antibody [EPR12374] - BSA and Azide free (AB249684)
  • IHC-P

Supplier Data

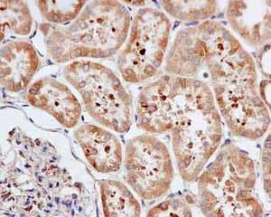
Immunohistochemistry (Formalin/PFA-fixed paraffin-embedded sections) - Anti-CacyBP antibody [EPR12374] - BSA and Azide free (AB249684)

This data was developed using ab171972, the same antibody clone in a different buffer formulation.

Immunohistochemical analysis of paraffin-embedded Human Kidney tissue labeling CacyBP with ab171972 at 1/100 dilution.

Perform heat mediated antigen retrieval with citrate buffer pH 6 before commencing with IHC staining protocol.

Immunoprecipitation - Anti-CacyBP antibody [EPR12374] - BSA and Azide free (AB249684)
  • IP

Supplier Data

Immunoprecipitation - Anti-CacyBP antibody [EPR12374] - BSA and Azide free (AB249684)

This data was developed using ab171972, the same antibody clone in a different buffer formulation.

Western blot analysis on immunoprecipitation pellet from 293T cell lysate (lane 1) labeling CacyBP with ab171972 at 1/10 dilution or 1X PBS (lane 2) negative control. HRP-conjugated anti-Rabbit IgG preferentially detecting the non-reduced form of Rabbit IgG.

All lanes:

Immunoprecipitation - Anti-CacyBP antibody [EPR12374] (<a href='/en-us/products/primary-antibodies/cacybp-antibody-epr12374-ab171972'>ab171972</a>)

Predicted band size: 26 kDa

false

Western blot - Anti-CacyBP antibody [EPR12374] - BSA and Azide free (AB249684)
  • WB

Supplier Data

Western blot - Anti-CacyBP antibody [EPR12374] - BSA and Azide free (AB249684)

This data was developed using ab171972, the same antibody clone in a different buffer formulation.

All lanes:

Western blot - Anti-CacyBP antibody [EPR12374] (<a href='/en-us/products/primary-antibodies/cacybp-antibody-epr12374-ab171972'>ab171972</a>) at 1/10000 dilution

Lane 1:

MCF7 cell lysate at 10 µg

Lane 2:

HeLa cell lysate at 10 µg

Lane 3:

293T cell lysate at 10 µg

Lane 4:

PC3 cell lysate at 10 µg

Predicted band size: 26 kDa

false

Western blot - Anti-CacyBP antibody [EPR12374] - BSA and Azide free (AB249684)
  • WB

Lab

Western blot - Anti-CacyBP antibody [EPR12374] - BSA and Azide free (AB249684)

This data was developed using ab171972, the same antibody clone in a different buffer formulation.

Western blot : Anti-CacyBP antibody [EPR12374] ab171972 staining at 1/10000 dilution, shown in green; Mouse anti alpha Tubulin ab7291 loading control staining at 1/20000 dilution, shown in magenta. A band was observed at 30 kDa in Wild-type A549 cell lysates with no signal observed at this size in CACYBP knockout A549 cell line. To generate this image, samples were run on an SDS-PAGE gel then transferred onto a nitrocellulose membrane. Membranes were blocked in 3pc Milk in TBS-0.1 % Tween® 20 (TBS-T) before incubation with primary antibodies overnight at 4 °C. Blots were washed four times in TBS-T, incubated with secondary antibodies for 1 h at room temperature, washed again four times then imaged. Secondary antibodies used were Goat anti-Rabbit 800CW and Goat anti-Mouse 680RD at 1/20,000 dilution.

All lanes:

Western blot - Anti-CacyBP antibody [EPR12374] (<a href='/en-us/products/primary-antibodies/cacybp-antibody-epr12374-ab171972'>ab171972</a>) at 1/10000 dilution

Lane 1:

Wild-type A549 at 20 µg

Lane 2:

CACYBP knockout A549 at 20 µg

Lane 3:

Raji at 20 µg

Lane 4:

PC-3 at 20 µg

Secondary

All lanes:

Goat anti-Rabbit 800CW & Goat anti-Mouse 680RD at 1/20000 dilution

Predicted band size: 26 kDa

Observed band size: 30 kDa,52 kDa

false

Key facts

Host species

Rabbit

Clonality

Monoclonal

Clone number

EPR12374

Isotype

IgG

Carrier free

Yes

Reacts with

Human

Applications

IHC-P, Flow Cyt (Intra), ICC/IF, IP, WB

applications

Immunogen

The exact immunogen used to generate this antibody is proprietary information.

Reactivity data

{ "title": "Reactivity Data", "filters": { "stats": ["", "Species", "Dilution Info", "Notes"], "tabs": { "all-applications": {"fullname" : "All Applications", "shortname": "All Applications"}, "IHCP" : {"fullname" : "Immunohistochemistry (Formalin/PFA-fixed paraffin-embedded sections)", "shortname":"IHC-P"}, "FlowCytIntra" : {"fullname" : "Flow Cytometry (Intracellular)", "shortname":"Flow Cyt (Intra)"}, "ICCIF" : {"fullname" : "Immunocytochemistry/ Immunofluorescence", "shortname":"ICC/IF"}, "IP" : {"fullname" : "Immunoprecipitation", "shortname":"IP"}, "WB" : {"fullname" : "Western blot", "shortname":"WB"} }, "product-promise": { "all": "all", "testedAndGuaranteed": "tested", "guaranteed": "expected", "predicted": "predicted", "notRecommended": "not-recommended" } }, "values": { "Human": { "IHCP-species-checked": "testedAndGuaranteed", "IHCP-species-dilution-info": "", "IHCP-species-notes": "<p></p>", "FlowCytIntra-species-checked": "testedAndGuaranteed", "FlowCytIntra-species-dilution-info": "", "FlowCytIntra-species-notes": "<p></p>", "ICCIF-species-checked": "testedAndGuaranteed", "ICCIF-species-dilution-info": "", "ICCIF-species-notes": "<p></p>", "IP-species-checked": "testedAndGuaranteed", "IP-species-dilution-info": "", "IP-species-notes": "<p></p>", "WB-species-checked": "testedAndGuaranteed", "WB-species-dilution-info": "", "WB-species-notes": "<p></p>" }, "Mouse": { "IHCP-species-checked": "notRecommended", "IHCP-species-dilution-info": "", "IHCP-species-notes": "<p></p>", "FlowCytIntra-species-checked": "notRecommended", "FlowCytIntra-species-dilution-info": "", "FlowCytIntra-species-notes": "<p></p>", "ICCIF-species-checked": "notRecommended", "ICCIF-species-dilution-info": "", "ICCIF-species-notes": "<p></p>", "IP-species-checked": "notRecommended", "IP-species-dilution-info": "", "IP-species-notes": "<p></p>", "WB-species-checked": "notRecommended", "WB-species-dilution-info": "", "WB-species-notes": "<p></p>" }, "Rat": { "IHCP-species-checked": "notRecommended", "IHCP-species-dilution-info": "", "IHCP-species-notes": "<p></p>", "FlowCytIntra-species-checked": "notRecommended", "FlowCytIntra-species-dilution-info": "", "FlowCytIntra-species-notes": "<p></p>", "ICCIF-species-checked": "notRecommended", "ICCIF-species-dilution-info": "", "ICCIF-species-notes": "<p></p>", "IP-species-checked": "notRecommended", "IP-species-dilution-info": "", "IP-species-notes": "<p></p>", "WB-species-checked": "notRecommended", "WB-species-dilution-info": "", "WB-species-notes": "<p></p>" } } }

Product details

ab249684 is the carrier-free version of ab171972.

Patented technology
Our RabMAb® technology is a patented hybridoma-based technology for making rabbit monoclonal antibodies. For details on our patents, please refer to RabMAb® patents.

What are the advantages of a recombinant monoclonal antibody?
This product is a recombinant monoclonal antibody, which offers several advantages including:

  • - High batch-to-batch consistency and reproducibility
  • - Improved sensitivity and specificity
  • - Long-term security of supply
  • - Animal-free batch production

For more information, read more on recombinant antibodies.

Conjugation ready
Our carrier-free antibodies are typically supplied in a PBS-only formulation, purified and free of BSA, sodium azide and glycerol. This conjugation-ready format is designed for use with fluorochromes, metal isotopes, oligonucleotides, and enzymes, which makes them ideal for antibody labelling, functional and cell-based assays, flow-based assays (e.g. mass cytometry) and Multiplex Imaging applications.

Use our conjugation kits for antibody conjugates that are ready-to-use in as little as 20 minutes with 1 minute hands-on-time and 100% antibody recovery: available for fluorescent dyes, HRP, biotin and gold.

Compatibility
This product is compatible with the Maxpar® Antibody Labeling Kit from Fluidigm, without the need for antibody preparation. Maxpar® is a trademark of Fluidigm Canada Inc.

Properties and storage information

Form
Liquid
Purification technique
Affinity purification Protein A
Storage buffer
pH: 7.2 - 7.4 Constituents: PBS
Shipped at conditions
Blue Ice
Appropriate short-term storage conditions
+4°C
Appropriate long-term storage conditions
+4°C
Storage information
Do Not Freeze

Supplementary information

This supplementary information is collated from multiple sources and compiled automatically.

CacyBP also known as Calcyclin Binding Protein is involved in various cellular processes and interactions. This protein has a molecular mass of about 30 kDa. It is broadly expressed in many tissues including the brain where it plays significant roles. CacyBP interacts with several other proteins impacting cellular structures and functions through complex interactions.
Biological function summary

CacyBP regulates key cellular functions by interacting with signaling pathways and cytoskeletal elements. It can form part of multi-protein complexes influencing the stability and structure of cytoskeletal components. CacyBP also modifies proteins by dephosphorylation impacting processes such as cell division and differentiation. These functions underline its involvement in cellular maintenance and dynamic processes.

Pathways

CacyBP participates in cellular signaling and protein degradation pathways. It plays a role in the ubiquitin-proteasome pathway by mediating the degradation of specific substrate proteins. This protein associates with Siah-1 an E3 ubiquitin-protein ligase emphasizing its function in this pathway. CacyBP is also linked to ERK1/2 signaling pathways interacting with proteins like ERK2 to modulate cell proliferation and differentiation.

CacyBP has connections to cancer and neurodegenerative diseases. In cancer CacyBP influences tumor growth and progression by affecting cell cycle regulation and apoptosis. It interacts with proteins such as p53 which play roles in cell cycle control and tumor suppression. In neurodegenerative diseases like Alzheimer's altered CacyBP expression levels have been observed implicating it in the disorder’s pathology through interactions with tau protein.

Product protocols

For this product, it's our understanding that no specific protocols are required. You can visit:

Target data

May be involved in calcium-dependent ubiquitination and subsequent proteasomal degradation of target proteins. Probably serves as a molecular bridge in ubiquitin E3 complexes. Participates in the ubiquitin-mediated degradation of beta-catenin (CTNNB1).
See full target information CACYBP

Publications (1)

Recent publications for all applications. Explore the full list and refine your search

Oxidative medicine and cellular longevity 2021:8379962 PubMed34630853

2021

circ_0023461 Silencing Protects Cardiomyocytes from Hypoxia-Induced Dysfunction through Targeting miR-370-3p/PDE4D Signaling.

Applications

Unspecified application

Species

Unspecified reactive species

Kai Ren,Buying Li,Liqing Jiang,Zhiheng Liu,Fan Wu,Yi Zhang,Jincheng Liu,Weixun Duan
View all publications

Product promise

We are committed to supporting your work with high-quality reagents, and we're here for you every step of the way. In the unlikely event that one of our products does not perform as expected, you're protected by our Product Promise.
For full details, please see our Terms & Conditions

Please note: All products are 'FOR RESEARCH USE ONLY. NOT FOR USE IN DIAGNOSTIC OR THERAPEUTIC PROCEDURES'.

For licensing inquiries, please contact partnerships@abcam.com