JavaScript is disabled in your browser. Please enable JavaScript to view this website.
AB99312

Anti-CAD antibody

Be the first to review this product! Submit a review

|

(3 Publications)

Rabbit Polyclonal CAD antibody. Suitable for IHC-P, WB and reacts with Human, Mouse samples. Cited in 3 publications. Immunogen corresponding to Synthetic Peptide within Human CAD protein aa 1650-1700.

View Alternative Names

Multifunctional protein CAD, Carbamoyl phosphate synthetase 2-aspartate transcarbamylase-dihydroorotase, CAD

2 Images
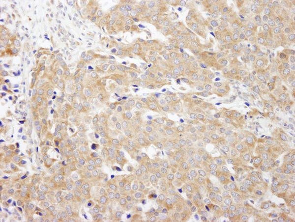
Immunohistochemistry (Formalin/PFA-fixed paraffin-embedded sections) - Anti-CAD antibody (AB99312)
  • IHC-P

Unknown

Immunohistochemistry (Formalin/PFA-fixed paraffin-embedded sections) - Anti-CAD antibody (AB99312)

Immunohistochemistry (Formalin/PFA-fixed paraffin-embedded sections) analysis of human breast carcinoma tissue labelling CAD with ab99312 at 1/200 (1µg/ml). Detection : DAB.

Western blot - Anti-CAD antibody (AB99312)
  • WB

Unknown

Western blot - Anti-CAD antibody (AB99312)

All lanes:

Western blot - Anti-CAD antibody (ab99312) at 0.04 µg/mL

Lane 1:

HeLa whole cell lysates at 50 µg

Lane 2:

HeLa whole cell lysates at 15 µg

Lane 3:

HeLa whole cell lysates at 5 µg

Lane 4:

293T whole cell lysates at 50 µg

Lane 5:

NIH3T3 whole cell lysates at 50 µg

Predicted band size: 243 kDa

false

Exposure time: 3s

Key facts

Host species

Rabbit

Clonality

Polyclonal

Isotype

IgG

Carrier free

No

Reacts with

Mouse, Human

Applications

WB, IHC-P

applications

Immunogen

Synthetic Peptide within Human CAD protein aa 1650-1700. The exact immunogen used to generate this antibody is proprietary information.

P27708

Reactivity data

{ "title": "Reactivity Data", "filters": { "stats": ["", "Species", "Dilution Info", "Notes"], "tabs": { "all-applications": {"fullname" : "All Applications", "shortname": "All Applications"}, "IHCP" : {"fullname" : "Immunohistochemistry (Formalin/PFA-fixed paraffin-embedded sections)", "shortname":"IHC-P"}, "WB" : {"fullname" : "Western blot", "shortname":"WB"} }, "product-promise": { "all": "all", "testedAndGuaranteed": "tested", "guaranteed": "expected", "predicted": "predicted", "notRecommended": "not-recommended" } }, "values": { "Human": { "IHCP-species-checked": "testedAndGuaranteed", "IHCP-species-dilution-info": "1/100 - 1/500", "IHCP-species-notes": "<p></p> Perform heat-mediated antigen retrieval with citrate buffer pH 6 before commencing with IHC staining protocol.", "WB-species-checked": "testedAndGuaranteed", "WB-species-dilution-info": "1/2000 - 1/10000", "WB-species-notes": "<p></p>" }, "Mouse": { "IHCP-species-checked": "guaranteed", "IHCP-species-dilution-info": "", "IHCP-species-notes": "", "WB-species-checked": "testedAndGuaranteed", "WB-species-dilution-info": "1/2000 - 1/10000", "WB-species-notes": "<p></p>" }, "Rat": { "IHCP-species-checked": "predicted", "IHCP-species-dilution-info": "", "IHCP-species-notes": "", "WB-species-checked": "predicted", "WB-species-dilution-info": "", "WB-species-notes": "" }, "Chimpanzee": { "IHCP-species-checked": "predicted", "IHCP-species-dilution-info": "", "IHCP-species-notes": "", "WB-species-checked": "predicted", "WB-species-dilution-info": "", "WB-species-notes": "" }, "Chinese hamster": { "IHCP-species-checked": "predicted", "IHCP-species-dilution-info": "", "IHCP-species-notes": "", "WB-species-checked": "predicted", "WB-species-dilution-info": "", "WB-species-notes": "" }, "Dog": { "IHCP-species-checked": "predicted", "IHCP-species-dilution-info": "", "IHCP-species-notes": "", "WB-species-checked": "predicted", "WB-species-dilution-info": "", "WB-species-notes": "" }, "Elephant": { "IHCP-species-checked": "predicted", "IHCP-species-dilution-info": "", "IHCP-species-notes": "", "WB-species-checked": "predicted", "WB-species-dilution-info": "", "WB-species-notes": "" }, "Gorilla": { "IHCP-species-checked": "predicted", "IHCP-species-dilution-info": "", "IHCP-species-notes": "", "WB-species-checked": "predicted", "WB-species-dilution-info": "", "WB-species-notes": "" }, "Guinea pig": { "IHCP-species-checked": "predicted", "IHCP-species-dilution-info": "", "IHCP-species-notes": "", "WB-species-checked": "predicted", "WB-species-dilution-info": "", "WB-species-notes": "" }, "Orangutan": { "IHCP-species-checked": "predicted", "IHCP-species-dilution-info": "", "IHCP-species-notes": "", "WB-species-checked": "predicted", "WB-species-dilution-info": "", "WB-species-notes": "" }, "Pig": { "IHCP-species-checked": "predicted", "IHCP-species-dilution-info": "", "IHCP-species-notes": "", "WB-species-checked": "predicted", "WB-species-dilution-info": "", "WB-species-notes": "" }, "Rabbit": { "IHCP-species-checked": "predicted", "IHCP-species-dilution-info": "", "IHCP-species-notes": "", "WB-species-checked": "predicted", "WB-species-dilution-info": "", "WB-species-notes": "" }, "Rhesus monkey": { "IHCP-species-checked": "predicted", "IHCP-species-dilution-info": "", "IHCP-species-notes": "", "WB-species-checked": "predicted", "WB-species-dilution-info": "", "WB-species-notes": "" } } }

Properties and storage information

Form
Liquid
Purification technique
Affinity purification Immunogen
Storage buffer
pH: 6.8 - 7.4 Preservative: 0.09% Sodium azide Constituents: Tris buffered saline, 0.1% BSA
Shipped at conditions
Blue Ice
Appropriate short-term storage conditions
+4°C
Appropriate long-term storage conditions
+4°C
Aliquoting information
Upon delivery aliquot
Storage information
Avoid freeze / thaw cycle

Supplementary information

This supplementary information is collated from multiple sources and compiled automatically.

The CAD protein also known as carbamoyl-phosphate synthase 2/ aspartate transcarbamylase/ dihydroorotase serves an important mechanical role in pyrimidine biosynthesis. CAD is a multi-functional enzyme with a molecular mass of approximately 243 kDa and is expressed in the cytoplasm of many cell types. This complex protein organization enables it to catalyze the first three steps of de novo pyrimidine synthesis involving glutamine-dependent carbamoyl phosphate synthesis aspartate transcarbamylation and dihydroorotase activity. Such vital tasks establish CAD as an important player in the nucleotide biosynthesis landscape.
Biological function summary

The CAD enzyme facilitates the production of pyrimidine nucleotides that are necessary for DNA and RNA synthesis. CAD operates as a single-polypeptide chain trifunctional enzyme and is part of a larger protein complex involved in nucleic acid metabolism. Its enzymatic activities align closely to support cellular proliferation and differentiation processes that demand efficient nucleotide production. This link between CAD function and nucleotide availability underlines its importance in ensuring smooth cell cycle progression and maintenance.

Pathways

CAD integrates into the broader nucleotide metabolism and pyrimidine biosynthesis pathways. The CAD protein directly interacts with other key enzymes such as UMP synthase which furthers the conversion of its product dihydroorotate to UMP. OMP decarboxylase also acts downstream reflecting CAD's role in ensuring continuity and efficiency in pyrimidine synthesis. These interactions demonstrate CAD's central involvement in maintaining the nucleotide pool required for DNA synthesis and repair.

CAD mutations and dysregulations link to neurological disorders and cancer. Neurological conditions such as CAD deficiency can result from impaired pyrimidine synthesis affecting brain development and function. Additionally enhanced CAD activity associates with certain cancers where its upregulated pyrimidine production supports rapid tumor cell proliferation. In these disease contexts CAD's interaction with proteins involved in cellular proliferation pathways such as c-Myc in cancers highlights its impact on health and disease states.

Product protocols

For this product, it's our understanding that no specific protocols are required. You can visit:

Target data

Multifunctional protein that encodes the first 3 enzymatic activities of the de novo pyrimidine pathway : carbamoylphosphate synthetase (CPSase; EC 6.3.5.5), aspartate transcarbamylase (ATCase; EC 2.1.3.2) and dihydroorotase (DHOase; EC 3.5.2.3). The CPSase-function is accomplished in 2 steps, by a glutamine-dependent amidotransferase activity (GATase) that binds and cleaves glutamine to produce ammonia, followed by an ammonium-dependent carbamoyl phosphate synthetase, which reacts with the ammonia, hydrogencarbonate and ATP to form carbamoyl phosphate. The endogenously produced carbamoyl phosphate is sequestered and channeled to the ATCase active site. ATCase then catalyzes the formation of carbamoyl-L-aspartate from L-aspartate and carbamoyl phosphate. In the last step, DHOase catalyzes the cyclization of carbamoyl aspartate to dihydroorotate.
See full target information CAD protein

Publications (3)

Recent publications for all applications. Explore the full list and refine your search

Cells 9: PubMed32085644

2020

Metabolic Reprogramming of Host Cells in Response to Enteroviral Infection.

Applications

Unspecified application

Species

Unspecified reactive species

Mei-Ling Cheng,Kun-Yi Chien,Chien-Hsueh Lai,Guan-Jie Li,Jui-Fen Lin,Hung-Yao Ho

Aging 11:8433-8462 PubMed31560653

2019

Brain pyrimidine nucleotide synthesis and Alzheimer disease.

Applications

Unspecified application

Species

Unspecified reactive species

Alba Pesini,Eldris Iglesias,M Pilar Bayona-Bafaluy,Nuria Garrido-Pérez,Patricia Meade,Paula Gaudó,Irene Jiménez-Salvador,Pol Andrés-Benito,Julio Montoya,Isidro Ferrer,Pedro Pesini,Eduardo Ruiz-Pesini

Oncotarget 8:95361-95376 PubMed29221133

2017

Endogenous glutamine decrease is associated with pancreatic cancer progression.

Applications

Unspecified application

Species

Unspecified reactive species

Cecilia Roux,Chiara Riganti,Sammy Ferri Borgogno,Roberta Curto,Claudia Curcio,Valeria Catanzaro,Giuseppe Digilio,Sergio Padovan,Maria Paola Puccinelli,Monica Isabello,Silvio Aime,Paola Cappello,Francesco Novelli
View all publications

Product promise

We are committed to supporting your work with high-quality reagents, and we're here for you every step of the way. In the unlikely event that one of our products does not perform as expected, you're protected by our Product Promise.
For full details, please see our Terms & Conditions

Please note: All products are 'FOR RESEARCH USE ONLY. NOT FOR USE IN DIAGNOSTIC OR THERAPEUTIC PROCEDURES'.

For licensing inquiries, please contact partnerships@abcam.com