JavaScript is disabled in your browser. Please enable JavaScript to view this website.
AB40800

Anti-CAD antibody [EP710Y]

Be the first to review this product! Submit a review

|

(9 Publications)

Rabbit Recombinant Monoclonal CAD antibody. Suitable for IP, WB, ICC/IF, Flow Cyt (Intra) and reacts with Human samples. Cited in 9 publications.

View Alternative Names

Multifunctional protein CAD, Carbamoyl phosphate synthetase 2-aspartate transcarbamylase-dihydroorotase, CAD

8 Images
Immunocytochemistry/ Immunofluorescence - Anti-CAD antibody [EP710Y] (AB40800)
  • ICC/IF

Unknown

Immunocytochemistry/ Immunofluorescence - Anti-CAD antibody [EP710Y] (AB40800)

Unpurified ab40800 (1/100), staining human CAD (N-term) in HeLa cells by Immunofluorescence.

Flow Cytometry (Intracellular) - Anti-CAD antibody [EP710Y] (AB40800)
  • Flow Cyt (Intra)

Lab

Flow Cytometry (Intracellular) - Anti-CAD antibody [EP710Y] (AB40800)

Intracellular Flow Cytometry analysis of HeLa (human cervix adenocarcinoma) cells labeling CAD (red) with ab40800 at a 1/120 dilution. Cells were fixed with 4% paraformaldehyde and permeabilized with 90% methanol. A goat anti-rabbit IgG (Alexa Fluor® 488) (ab150077) was used as the secondary antibody at a 1/2000 dilution. Black - Rabbit monoclonal IgG (ab172730). Blue (unlabeled control) - Cells without incubation with the primary and secondary antibodies.

Immunocytochemistry/ Immunofluorescence - Anti-CAD antibody [EP710Y] (AB40800)
  • ICC/IF

Supplier Data

Immunocytochemistry/ Immunofluorescence - Anti-CAD antibody [EP710Y] (AB40800)

Immunofluorescence staining of HeLa cells with purified ab40800 at a working dilution of 1/300 counter-stained with DAPI. The secondary antibody was Alexa Fluor® 488 goat anti-rabbit (ab150077) used at a dilution of 1/1000. ab7291 a mouse anti-tubulin antibody (1/1000) was used to stain tubulin along with ab150120 (Alexa Fluor® 594 goat anti-mouse 1/1000) shown in the top right hand panel. The cells were fixed in 4% PFA and permeabilized using 0.1% Triton X 100. The negative controls are shown in bottom middle and right hand panels - for negative control 1 purified ab40800 was used at a dilution of 1/500 followed by an Alexa Fluor® 594 goat anti-mouse antibody (ab150120) at a dilution of 1/500. For negative control 2 ab7291 (mouse anti-tubulin) was used at a dilution of 1/500 followed by an Alexa Fluor® 488 goat anti-rabbit antibody (ab150077) at a dilution of 1/400.

Immunoprecipitation - Anti-CAD antibody [EP710Y] (AB40800)
  • IP

Unknown

Immunoprecipitation - Anti-CAD antibody [EP710Y] (AB40800)

ab40800 (purified) at 1/30 immunoprecipitating CAD in 10 μg HeLa (Lanes 1 and 2, observed at 250 kDa). Lane 3 - PBS. For western blotting, HRP Veriblot for IP (ab131366) was used for detection (1/10 000). Blocking buffer and concentration : 5% NFDM/TBST Dilution buffer and concentration : 5% NFDM/TBST

All lanes:

Immunoprecipitation - Anti-CAD antibody [EP710Y] (ab40800)

Predicted band size: 243 kDa

false

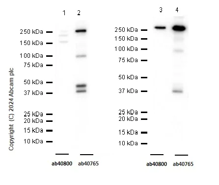
Western blot - Anti-CAD antibody [EP710Y] (AB40800)
  • WB

Lab

Western blot - Anti-CAD antibody [EP710Y] (AB40800)

Blocking and diluting buffer and concentration : 5% NFDM/TBST.

ab40765 works better than ab40800 in western blot testing.

We suggest optimizing experimental protocols (increasing lysate amount, using lower dilution or higher sensitivity ECL substrate) to improve results when using ab955 in western blot.

Lanes 1 and 3:

Western blot - Anti-CAD antibody [EP710Y] (ab40800) at 1/1000 dilution

Lanes 2 and 4:

Western blot - Anti-CAD antibody [EP711Y] (<a href='/en-us/products/primary-antibodies/cad-antibody-ep711y-ab40765'>ab40765</a>) at 1/1000 dilution

Lanes 1 - 2:

NCI-H1299 (human lung carcinoma epithelial cell) whole cell lysate at 20 µg

Lanes 3 - 4:

HeLa (human cervix adenocarcinoma epithelial cell) whole cell lysate at 20 µg

Secondary

All lanes:

Western blot - Goat Anti-Rabbit IgG H&L (HRP) (<a href='/en-us/products/secondary-antibodies/goat-rabbit-igg-h-l-hrp-ab97051'>ab97051</a>) at 1/20000 dilution

Predicted band size: 243 kDa

Observed band size: 250 kDa

false

Exposure time: 10s

Western blot - Anti-CAD antibody [EP710Y] (AB40800)
  • WB

Unknown

Western blot - Anti-CAD antibody [EP710Y] (AB40800)

All lanes:

Western blot - Anti-CAD antibody [EP710Y] (ab40800) at 1/1000 dilution

All lanes:

Western blot - HEK-293 whole cell lysate (<a href='/en-us/products/cell-lysates/hek-293-whole-cell-lysate-ab7902'>ab7902</a>) at 10 µg

Predicted band size: 243 kDa

Observed band size: 250 kDa

false

Western blot - Anti-CAD antibody [EP710Y] (AB40800)
  • WB

Lab

Western blot - Anti-CAD antibody [EP710Y] (AB40800)

Blocking buffer : 5% NFDM/TBST
Dilution buffer : 5% NFDM/TBST

All lanes:

Western blot - Anti-CAD antibody [EP710Y] (ab40800) at 1/1000 dilution

All lanes:

HeLa cell lysate at 1/20000 dilution

Secondary

All lanes:

HRP goat anti-rabbit IgG (H+L) at 1/20000 dilution

Predicted band size: 243 kDa

Observed band size: 250 kDa

false

Western blot - Anti-CAD antibody [EP710Y] (AB40800)
  • WB

Lab

Western blot - Anti-CAD antibody [EP710Y] (AB40800)

Blocking buffer : 5% NFDM/TBST
Dilution buffer : 5% NFDM/TBST

All lanes:

Western blot - Anti-CAD antibody [EP710Y] (ab40800) at 1/2000 dilution

All lanes:

HeLa cell lysate at 10 µg

Secondary

All lanes:

HRP goat anti-rabbit IgG (H+L) at 1/20000 dilution

Predicted band size: 243 kDa

Observed band size: 250 kDa

false

Key facts

Host species

Rabbit

Clonality

Monoclonal

Clone number

EP710Y

Isotype

IgG

Carrier free

No

Reacts with

Human

Applications

ICC/IF, Flow Cyt (Intra), WB, IP

applications

Immunogen

The exact immunogen used to generate this antibody is proprietary information.

Specificity

ab40800 is specific to the N-terminus of CAD.

Reactivity data

{ "title": "Reactivity Data", "filters": { "stats": ["", "Species", "Dilution Info", "Notes"], "tabs": { "all-applications": {"fullname" : "All Applications", "shortname": "All Applications"}, "IP" : {"fullname" : "Immunoprecipitation", "shortname":"IP"}, "WB" : {"fullname" : "Western blot", "shortname":"WB"}, "ICCIF" : {"fullname" : "Immunocytochemistry/ Immunofluorescence", "shortname":"ICC/IF"}, "FlowCytIntra" : {"fullname" : "Flow Cytometry (Intracellular)", "shortname":"Flow Cyt (Intra)"} }, "product-promise": { "all": "all", "testedAndGuaranteed": "tested", "guaranteed": "expected", "predicted": "predicted", "notRecommended": "not-recommended" } }, "values": { "Human": { "IP-species-checked": "testedAndGuaranteed", "IP-species-dilution-info": "1/30 - 1/50", "IP-species-notes": "<p></p>", "WB-species-checked": "testedAndGuaranteed", "WB-species-dilution-info": "1/1000", "WB-species-notes": "<p></p>", "ICCIF-species-checked": "testedAndGuaranteed", "ICCIF-species-dilution-info": "1/100 - 1/300", "ICCIF-species-notes": "<p></p>", "FlowCytIntra-species-checked": "testedAndGuaranteed", "FlowCytIntra-species-dilution-info": "1/120", "FlowCytIntra-species-notes": "<p></p>" } } }

Product details

Species reactivity
Mouse, Rat: We have preliminary internal testing data to indicate this antibody may not react with these species.
Please contact us for more information.

Patented technology
Our RabMAb® technology is a patented hybridoma-based technology for making rabbit monoclonal antibodies. For details on our patents, please refer to RabMAb® patents.

What are the advantages of a recombinant monoclonal antibody?
This product is a recombinant monoclonal antibody, which offers several advantages including:

  • - High batch-to-batch consistency and reproducibility
  • - Improved sensitivity and specificity
  • - Long-term security of supply
  • - Animal-free batch production

For more information, read more on recombinant antibodies.

Properties and storage information

Form
Liquid
Purification technique
Affinity purification Protein A
Storage buffer
pH: 7.2 - 7.4 Preservative: 0.01% Sodium azide Constituents: PBS, 40% Glycerol (glycerin, glycerine), 0.05% BSA
Shipped at conditions
Blue Ice
Appropriate short-term storage duration
1-2 weeks
Appropriate short-term storage conditions
+4°C
Appropriate long-term storage conditions
-20°C
Aliquoting information
Upon delivery aliquot
Storage information
Avoid freeze / thaw cycle

Supplementary information

This supplementary information is collated from multiple sources and compiled automatically.

The CAD protein also known as carbamoyl-phosphate synthase 2/ aspartate transcarbamylase/ dihydroorotase serves an important mechanical role in pyrimidine biosynthesis. CAD is a multi-functional enzyme with a molecular mass of approximately 243 kDa and is expressed in the cytoplasm of many cell types. This complex protein organization enables it to catalyze the first three steps of de novo pyrimidine synthesis involving glutamine-dependent carbamoyl phosphate synthesis aspartate transcarbamylation and dihydroorotase activity. Such vital tasks establish CAD as an important player in the nucleotide biosynthesis landscape.
Biological function summary

The CAD enzyme facilitates the production of pyrimidine nucleotides that are necessary for DNA and RNA synthesis. CAD operates as a single-polypeptide chain trifunctional enzyme and is part of a larger protein complex involved in nucleic acid metabolism. Its enzymatic activities align closely to support cellular proliferation and differentiation processes that demand efficient nucleotide production. This link between CAD function and nucleotide availability underlines its importance in ensuring smooth cell cycle progression and maintenance.

Pathways

CAD integrates into the broader nucleotide metabolism and pyrimidine biosynthesis pathways. The CAD protein directly interacts with other key enzymes such as UMP synthase which furthers the conversion of its product dihydroorotate to UMP. OMP decarboxylase also acts downstream reflecting CAD's role in ensuring continuity and efficiency in pyrimidine synthesis. These interactions demonstrate CAD's central involvement in maintaining the nucleotide pool required for DNA synthesis and repair.

CAD mutations and dysregulations link to neurological disorders and cancer. Neurological conditions such as CAD deficiency can result from impaired pyrimidine synthesis affecting brain development and function. Additionally enhanced CAD activity associates with certain cancers where its upregulated pyrimidine production supports rapid tumor cell proliferation. In these disease contexts CAD's interaction with proteins involved in cellular proliferation pathways such as c-Myc in cancers highlights its impact on health and disease states.

Product protocols

For this product, it's our understanding that no specific protocols are required. You can visit:

Target data

Multifunctional protein that encodes the first 3 enzymatic activities of the de novo pyrimidine pathway : carbamoylphosphate synthetase (CPSase; EC 6.3.5.5), aspartate transcarbamylase (ATCase; EC 2.1.3.2) and dihydroorotase (DHOase; EC 3.5.2.3). The CPSase-function is accomplished in 2 steps, by a glutamine-dependent amidotransferase activity (GATase) that binds and cleaves glutamine to produce ammonia, followed by an ammonium-dependent carbamoyl phosphate synthetase, which reacts with the ammonia, hydrogencarbonate and ATP to form carbamoyl phosphate. The endogenously produced carbamoyl phosphate is sequestered and channeled to the ATCase active site. ATCase then catalyzes the formation of carbamoyl-L-aspartate from L-aspartate and carbamoyl phosphate. In the last step, DHOase catalyzes the cyclization of carbamoyl aspartate to dihydroorotate.
See full target information CAD protein

Publications (9)

Recent publications for all applications. Explore the full list and refine your search

International journal of molecular sciences 22: PubMed33806191

2021

Loss of Fer Jeopardizes Metabolic Plasticity and Mitochondrial Homeostasis in Lung and Breast Carcinoma Cells.

Applications

Unspecified application

Species

Unspecified reactive species

Linoy Mehazri,Sally Shpungin,Shai Bel,Uri Nir

Cells 9: PubMed32370067

2020

The Cellular Protein CAD is Recruited into Ebola Virus Inclusion Bodies by the Nucleoprotein NP to Facilitate Genome Replication and Transcription.

Applications

Unspecified application

Species

Unspecified reactive species

Janine Brandt,Lisa Wendt,Bianca S Bodmer,Thomas C Mettenleiter,Thomas Hoenen

Aging 11:8433-8462 PubMed31560653

2019

Brain pyrimidine nucleotide synthesis and Alzheimer disease.

Applications

Unspecified application

Species

Unspecified reactive species

Alba Pesini,Eldris Iglesias,M Pilar Bayona-Bafaluy,Nuria Garrido-Pérez,Patricia Meade,Paula Gaudó,Irene Jiménez-Salvador,Pol Andrés-Benito,Julio Montoya,Isidro Ferrer,Pedro Pesini,Eduardo Ruiz-Pesini

Gut 69:158-167 PubMed30833451

2019

Combined small molecule and loss-of-function screen uncovers estrogen receptor alpha and CAD as host factors for HDV infection and antiviral targets.

Applications

WB

Species

Human

Eloi R Verrier,Amélie Weiss,Charlotte Bach,Laura Heydmann,Vincent Turon-Lagot,Arnaud Kopp,Houssein El Saghire,Emilie Crouchet,Patrick Pessaux,Thomas Garcia,Patrick Pale,Mirjam B Zeisel,Camille Sureau,Catherine Schuster,Laurent Brino,Thomas F Baumert

Cell 174:1559-1570.e22 PubMed30100185

2018

Urea Cycle Dysregulation Generates Clinically Relevant Genomic and Biochemical Signatures.

Applications

Unspecified application

Species

Unspecified reactive species

Joo Sang Lee,Lital Adler,Hiren Karathia,Narin Carmel,Shiran Rabinovich,Noam Auslander,Rom Keshet,Noa Stettner,Alon Silberman,Lilach Agemy,Daniel Helbling,Raya Eilam,Qin Sun,Alexander Brandis,Sergey Malitsky,Maxim Itkin,Hila Weiss,Sivan Pinto,Shelly Kalaora,Ronen Levy,Eilon Barnea,Arie Admon,David Dimmock,Noam Stern-Ginossar,Avigdor Scherz,Sandesh C S Nagamani,Miguel Unda,David M Wilson,Ronit Elhasid,Arkaitz Carracedo,Yardena Samuels,Sridhar Hannenhalli,Eytan Ruppin,Ayelet Erez

Scientific reports 7:7190 PubMed28775317

2017

Interaction between von Hippel-Lindau Protein and Fatty Acid Synthase Modulates Hypoxia Target Gene Expression.

Applications

Unspecified application

Species

Unspecified reactive species

Wendi Sun,Hiroyuki Kato,Shojiro Kitajima,Kian Leong Lee,Katarina Gradin,Takashi Okamoto,Lorenz Poellinger

Nature 527:379-383 PubMed26560030

2015

Diversion of aspartate in ASS1-deficient tumours fosters de novo pyrimidine synthesis.

Applications

WB

Species

Unspecified reactive species

Shiran Rabinovich,Lital Adler,Keren Yizhak,Alona Sarver,Alon Silberman,Shani Agron,Noa Stettner,Qin Sun,Alexander Brandis,Daniel Helbling,Stanley Korman,Shalev Itzkovitz,David Dimmock,Igor Ulitsky,Sandesh Cs Nagamani,Eytan Ruppin,Ayelet Erez

Proceedings of the National Academy of Sciences of 111:18019-24 PubMed25472841

2014

Cytomegalovirus-mediated activation of pyrimidine biosynthesis drives UDP-sugar synthesis to support viral protein glycosylation.

Applications

Unspecified application

Species

Unspecified reactive species

Stefanie Renee DeVito,Emilio Ortiz-Riaño,Luis Martínez-Sobrido,Joshua Munger

Oncogene 33:3064-74 PubMed23851497

2013

Cytoplasmic interaction of the tumour suppressor protein hSNF5 with dynamin-2 controls endocytosis.

Applications

Unspecified application

Species

Unspecified reactive species

T Alfonso-Pérez,M S Domínguez-Sánchez,M García-Domínguez,J C Reyes
View all publications

Product promise

We are committed to supporting your work with high-quality reagents, and we're here for you every step of the way. In the unlikely event that one of our products does not perform as expected, you're protected by our Product Promise.
For full details, please see our Terms & Conditions

Please note: All products are 'FOR RESEARCH USE ONLY. NOT FOR USE IN DIAGNOSTIC OR THERAPEUTIC PROCEDURES'.

For licensing inquiries, please contact partnerships@abcam.com