JavaScript is disabled in your browser. Please enable JavaScript to view this website.
AB212243

Anti-Cadherin 16 antibody [CDH16/1071] - BSA and Azide free

Be the first to review this product! Submit a review

|

(3 Publications)

Mouse Monoclonal Cadherin 16 antibody. Carrier free. Suitable for IHC-P and reacts with Rat, Human samples. Cited in 3 publications. Immunogen corresponding to Recombinant Full Length Protein corresponding to Human CDH16.

View Alternative Names

UNQ695/PRO1340, CDH16, Cadherin-16, Kidney-specific cadherin, Ksp-cadherin

2 Images
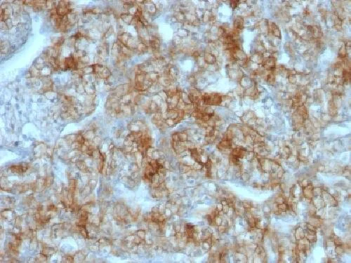
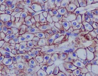
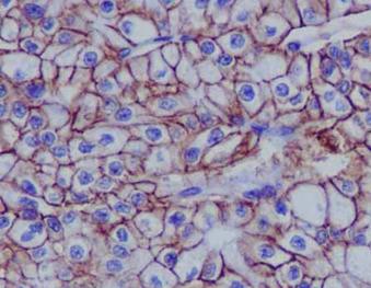
Immunohistochemistry (Formalin/PFA-fixed paraffin-embedded sections) - Anti-Cadherin 16 antibody [CDH16/1071] - BSA and Azide free (AB212243)
  • IHC-P

Supplier Data

Immunohistochemistry (Formalin/PFA-fixed paraffin-embedded sections) - Anti-Cadherin 16 antibody [CDH16/1071] - BSA and Azide free (AB212243)

Immunohistochemical analysis of formalix-fixed paraffin-embedded Human renal cell carcinoma tissue, labeling Cadherin 16 using ab212243 at 1 μg/mL.

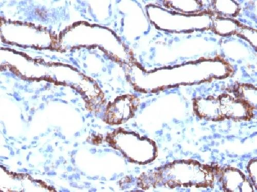
Immunohistochemistry (Formalin/PFA-fixed paraffin-embedded sections) - Anti-Cadherin 16 antibody [CDH16/1071] - BSA and Azide free (AB212243)
  • IHC-P

Supplier Data

Immunohistochemistry (Formalin/PFA-fixed paraffin-embedded sections) - Anti-Cadherin 16 antibody [CDH16/1071] - BSA and Azide free (AB212243)

Immunohistochemical analysis of formalix-fixed paraffin-embedded rat kidney tissue, labeling Cadherin 16 using ab212243 at 1 μg/mL.

Key facts

Host species

Mouse

Clonality

Monoclonal

Clone number

CDH16/1071

Isotype

IgG1

Light chain type

kappa

Carrier free

Yes

Reacts with

Rat, Human

Applications

IHC-P

applications

Immunogen

Recombinant Full Length Protein corresponding to Human CDH16.

O75309

Reactivity data

{ "title": "Reactivity Data", "filters": { "stats": ["", "Species", "Dilution Info", "Notes"], "tabs": { "all-applications": {"fullname" : "All Applications", "shortname": "All Applications"}, "IHCP" : {"fullname" : "Immunohistochemistry (Formalin/PFA-fixed paraffin-embedded sections)", "shortname":"IHC-P"} }, "product-promise": { "all": "all", "testedAndGuaranteed": "tested", "guaranteed": "expected", "predicted": "predicted", "notRecommended": "not-recommended" } }, "values": { "Human": { "IHCP-species-checked": "testedAndGuaranteed", "IHCP-species-dilution-info": "0.5-1 µg/mL", "IHCP-species-notes": "<p></p> Perform heat-mediated antigen retrieval with Tris/EDTA buffer pH 9.0 before commencing with IHC staining protocol." }, "Rat": { "IHCP-species-checked": "testedAndGuaranteed", "IHCP-species-dilution-info": "0.5-1 µg/mL", "IHCP-species-notes": "<p></p> Perform heat-mediated antigen retrieval with Tris/EDTA buffer pH 9.0 before commencing with IHC staining protocol." } } }

Properties and storage information

Form
Liquid
Purification technique
Affinity purification Protein A/G
Storage buffer
pH: 7.2 - 7.4 Constituents: PBS
Shipped at conditions
Blue Ice
Appropriate short-term storage duration
1-2 weeks
Appropriate short-term storage conditions
+4°C
Appropriate long-term storage conditions
-20°C
Aliquoting information
Upon delivery aliquot
Storage information
Avoid freeze / thaw cycle

Supplementary information

This supplementary information is collated from multiple sources and compiled automatically.

Cadherin 16 also known as Ksp-cadherin is a calcium-dependent cell adhesion protein. It plays a role in mediating homophilic cell-cell adhesion facilitating the binding between identical cadherins on neighboring cells. The mass of cadherin 16 is approximately 92 kDa. This protein is mainly expressed in the kidney specifically in the distal convoluted tubules and collecting ducts where it is localized to the basolateral membrane of tubular epithelial cells.
Biological function summary

Cadherin 16 contributes to cell sorting and tissue morphogenesis. It does not operate as part of a multi-protein complex but interacts with the actin cytoskeleton through catenins like β-catenin to maintain cell adhesion and tissue integrity. The particular expression pattern of cadherin 16 suggests that it has a role in maintaining the structural organization of renal tissues and possibly influences renal tubular epithelial homeostasis.

Pathways

Cadherin 16 participates in cell signaling pathways essential for cell adhesion and tissue architecture. Specifically it engages in the Wnt signaling pathway where it coordinates with proteins like β-catenin indicating its indirect role in signal transduction that may affect gene transcription regarding cell growth and differentiation. Another key interaction for cadherin 16 is with integrins which are pivotal in mediating attachments between the extracellular matrix and the cell.

Cadherin 16 is linked to renal-related conditions such as renal cell carcinoma and polycystic kidney disease. Abnormal expression or dysfunction of cadherin 16 could disrupt cell adhesion promoting renal cell carcinoma by facilitating cell detachment and metastatic progression. Additionally it connects with proteins like E-cadherin which are involved in epithelial-to-mesenchymal transition (EMT) a process often activated in cancer development and progression.

Product protocols

For this product, it's our understanding that no specific protocols are required. You can visit:

Target data

Cadherins are calcium-dependent cell adhesion proteins. They preferentially interact with themselves in a homophilic manner in connecting cells; cadherins may thus contribute to the sorting of heterogeneous cell types.
See full target information CDH16

Publications (3)

Recent publications for all applications. Explore the full list and refine your search

Nature cancer 5:1660-1680 PubMed39414946

2024

Two distinct epithelial-to-mesenchymal transition programs control invasion and inflammation in segregated tumor cell populations.

Applications

Unspecified application

Species

Unspecified reactive species

Khalil Kass Youssef,Nitin Narwade,Aida Arcas,Angel Marquez-Galera,Raúl Jiménez-Castaño,Cristina Lopez-Blau,Hassan Fazilaty,David García-Gutierrez,Amparo Cano,Joan Galcerán,Gema Moreno-Bueno,Jose P Lopez-Atalaya,M Angela Nieto

Current research in toxicology 6:100154 PubMed38352163

2024

Perfluorooctanesulfonic acid (PFOS) disrupts cadherin-16 in the developing rat thyroid gland.

Applications

Unspecified application

Species

Unspecified reactive species

Nichlas Davidsen,Louise Ramhøj,Anne-Sofie Ravn Ballegaard,Anna Kjerstine Rosenmai,Cecillie Sofie Henriksen,Terje Svingen

Immunity 50:225-240.e4 PubMed30635238

2019

Impaired Tumor-Necrosis-Factor-α-driven Dendritic Cell Activation Limits Lipopolysaccharide-Induced Protection from Allergic Inflammation in Infants.

Applications

Unspecified application

Species

Unspecified reactive species

Holly Bachus,Kamaljeet Kaur,Amber M Papillion,Tatiana T Marquez-Lago,Zhihong Yu,André Ballesteros-Tato,Sadis Matalon,Beatriz León
View all publications

Product promise

We are committed to supporting your work with high-quality reagents, and we're here for you every step of the way. In the unlikely event that one of our products does not perform as expected, you're protected by our Product Promise.
For full details, please see our Terms & Conditions

Please note: All products are 'FOR RESEARCH USE ONLY. NOT FOR USE IN DIAGNOSTIC OR THERAPEUTIC PROCEDURES'.

For licensing inquiries, please contact partnerships@abcam.com