JavaScript is disabled in your browser. Please enable JavaScript to view this website.
AB183745

Anti-Cadherin 16 antibody [EPR13090]

0

(1 Review)

|

(0 Publication)

Rabbit Recombinant Monoclonal Cadherin 16 antibody. Suitable for IP, WB, IHC-P and reacts with Human, Mouse samples.

View Alternative Names

UNQ695/PRO1340, CDH16, Cadherin-16, Kidney-specific cadherin, Ksp-cadherin

4 Images
Immunohistochemistry (Formalin/PFA-fixed paraffin-embedded sections) - Anti-Cadherin 16 antibody [EPR13090] (AB183745)
  • IHC-P

Supplier Data

Immunohistochemistry (Formalin/PFA-fixed paraffin-embedded sections) - Anti-Cadherin 16 antibody [EPR13090] (AB183745)

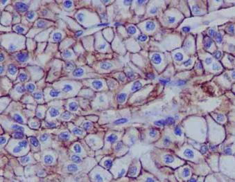
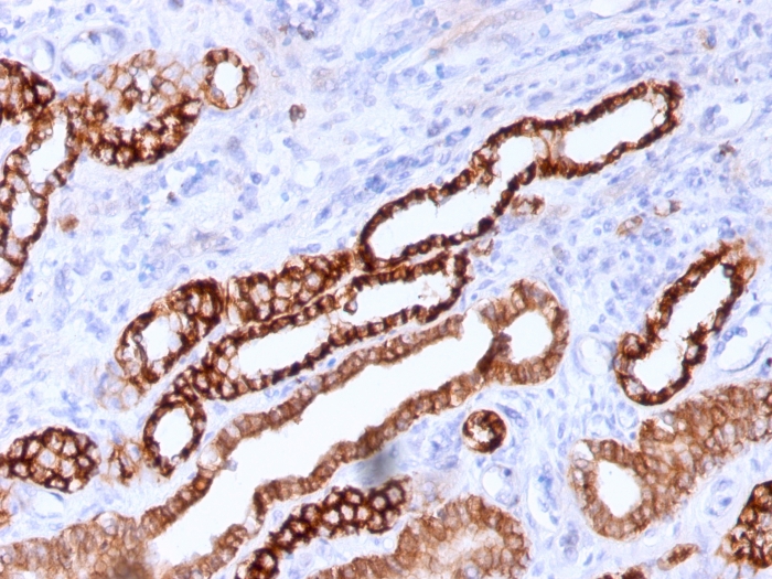
Immunohistochemical analysis of paraffin-embedded Human chromophobe renal cell carcinoma tissue labeling Cadherin 16 with ab183745 at 1/4000 dilution followed by prediluted HRP Polymer for Rabbit IgG. Counter stained with hematoxylin.

Perform heat mediated antigen retrieval with EDTA buffer pH 9 before commencing with IHC staining protocol.

Immunohistochemistry (Formalin/PFA-fixed paraffin-embedded sections) - Anti-Cadherin 16 antibody [EPR13090] (AB183745)
  • IHC-P

Supplier Data

Immunohistochemistry (Formalin/PFA-fixed paraffin-embedded sections) - Anti-Cadherin 16 antibody [EPR13090] (AB183745)

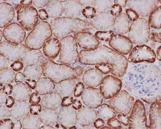
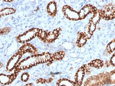
Immunohistochemical analysis of paraffin-embedded mouse kidney tissue labeling Cadherin 16 with ab183745 at 1/4000 dilution followed by prediluted HRP Polymer for Rabbit IgG. Counter stained with hematoxylin.

Perform heat mediated antigen retrieval with EDTA buffer pH 9 before commencing with IHC staining protocol.

Western blot - Anti-Cadherin 16 antibody [EPR13090] (AB183745)
  • WB

Supplier Data

Western blot - Anti-Cadherin 16 antibody [EPR13090] (AB183745)

All lanes:

Western blot - Anti-Cadherin 16 antibody [EPR13090] (ab183745) at 1/10000 dilution

All lanes:

Human fetal kidney lysate at 10 µg

Secondary

All lanes:

Goat anti-rabbit IgG, (H+L), peroxidase conjugate at 1/1000 dilution

Predicted band size: 90 kDa

Observed band size: 130 kDa

false

Immunoprecipitation - Anti-Cadherin 16 antibody [EPR13090] (AB183745)
  • IP

Supplier Data

Immunoprecipitation - Anti-Cadherin 16 antibody [EPR13090] (AB183745)

Western blot analysis of Cadherin 16 in Human fetal kidney lysate immunoprecipitated using ab183745 at 1/50 dilution.

Secondary : Goat Anti-Rabbit IgG, (H+L), Peroxidase conjugate at 1/1000 dilution.

All lanes:

Immunoprecipitation - Anti-Cadherin 16 antibody [EPR13090] (ab183745)

Predicted band size: 90 kDa

false

  • Carrier free

    Anti-Cadherin 16 antibody [EPR13090] - BSA and Azide free

Key facts

Host species

Rabbit

Clonality

Monoclonal

Clone number

EPR13090

Isotype

IgG

Carrier free

No

Reacts with

Mouse, Human

Applications

IHC-P, WB, IP

applications

Immunogen

The exact immunogen used to generate this antibody is proprietary information.

Reactivity data

{ "title": "Reactivity Data", "filters": { "stats": ["", "Species", "Dilution Info", "Notes"], "tabs": { "all-applications": {"fullname" : "All Applications", "shortname": "All Applications"}, "IP" : {"fullname" : "Immunoprecipitation", "shortname":"IP"}, "WB" : {"fullname" : "Western blot", "shortname":"WB"}, "IHCP" : {"fullname" : "Immunohistochemistry (Formalin/PFA-fixed paraffin-embedded sections)", "shortname":"IHC-P"} }, "product-promise": { "all": "all", "testedAndGuaranteed": "tested", "guaranteed": "expected", "predicted": "predicted", "notRecommended": "not-recommended" } }, "values": { "Human": { "IP-species-checked": "testedAndGuaranteed", "IP-species-dilution-info": "1/40 - 1/60", "IP-species-notes": "<p></p>", "WB-species-checked": "testedAndGuaranteed", "WB-species-dilution-info": "1/1000 - 1/10000", "WB-species-notes": "<p></p>", "IHCP-species-checked": "testedAndGuaranteed", "IHCP-species-dilution-info": "1/4000 - 1/8000", "IHCP-species-notes": "<p></p> Perform heat-mediated antigen retrieval with Tris/EDTA buffer pH 9.0 before commencing with IHC staining protocol." }, "Mouse": { "IP-species-checked": "guaranteed", "IP-species-dilution-info": "", "IP-species-notes": "", "WB-species-checked": "guaranteed", "WB-species-dilution-info": "", "WB-species-notes": "", "IHCP-species-checked": "testedAndGuaranteed", "IHCP-species-dilution-info": "1/4000 - 1/8000", "IHCP-species-notes": "<p></p> Perform heat-mediated antigen retrieval with Tris/EDTA buffer pH 9.0 before commencing with IHC staining protocol." } } }

Product details

Patented technology
Our RabMAb® technology is a patented hybridoma-based technology for making rabbit monoclonal antibodies. For details on our patents, please refer to RabMAb® patents.

What are the advantages of a recombinant monoclonal antibody?
This product is a recombinant monoclonal antibody, which offers several advantages including:

  • - High batch-to-batch consistency and reproducibility
  • - Improved sensitivity and specificity
  • - Long-term security of supply
  • - Animal-free batch production

For more information, read more on recombinant antibodies.

Properties and storage information

Form
Liquid
Purification technique
Affinity purification Protein A
Storage buffer
pH: 7.2 Preservative: 0.01% Sodium azide Constituents: 59% PBS, 40% Glycerol (glycerin, glycerine), 0.05% BSA
Shipped at conditions
Blue Ice
Appropriate short-term storage duration
1-2 weeks
Appropriate short-term storage conditions
+4°C
Appropriate long-term storage conditions
-20°C
Aliquoting information
Upon delivery aliquot
Storage information
Avoid freeze / thaw cycle

Supplementary information

This supplementary information is collated from multiple sources and compiled automatically.

Cadherin 16 also known as Ksp-cadherin is a calcium-dependent cell adhesion protein. It plays a role in mediating homophilic cell-cell adhesion facilitating the binding between identical cadherins on neighboring cells. The mass of cadherin 16 is approximately 92 kDa. This protein is mainly expressed in the kidney specifically in the distal convoluted tubules and collecting ducts where it is localized to the basolateral membrane of tubular epithelial cells.
Biological function summary

Cadherin 16 contributes to cell sorting and tissue morphogenesis. It does not operate as part of a multi-protein complex but interacts with the actin cytoskeleton through catenins like β-catenin to maintain cell adhesion and tissue integrity. The particular expression pattern of cadherin 16 suggests that it has a role in maintaining the structural organization of renal tissues and possibly influences renal tubular epithelial homeostasis.

Pathways

Cadherin 16 participates in cell signaling pathways essential for cell adhesion and tissue architecture. Specifically it engages in the Wnt signaling pathway where it coordinates with proteins like β-catenin indicating its indirect role in signal transduction that may affect gene transcription regarding cell growth and differentiation. Another key interaction for cadherin 16 is with integrins which are pivotal in mediating attachments between the extracellular matrix and the cell.

Cadherin 16 is linked to renal-related conditions such as renal cell carcinoma and polycystic kidney disease. Abnormal expression or dysfunction of cadherin 16 could disrupt cell adhesion promoting renal cell carcinoma by facilitating cell detachment and metastatic progression. Additionally it connects with proteins like E-cadherin which are involved in epithelial-to-mesenchymal transition (EMT) a process often activated in cancer development and progression.

Product protocols

For this product, it's our understanding that no specific protocols are required. You can visit:

Target data

Cadherins are calcium-dependent cell adhesion proteins. They preferentially interact with themselves in a homophilic manner in connecting cells; cadherins may thus contribute to the sorting of heterogeneous cell types.
See full target information CDH16

Product promise

We are committed to supporting your work with high-quality reagents, and we're here for you every step of the way. In the unlikely event that one of our products does not perform as expected, you're protected by our Product Promise.
For full details, please see our Terms & Conditions

Please note: All products are 'FOR RESEARCH USE ONLY. NOT FOR USE IN DIAGNOSTIC OR THERAPEUTIC PROCEDURES'.

For licensing inquiries, please contact partnerships@abcam.com