JavaScript is disabled in your browser. Please enable JavaScript to view this website.
AB237754

Anti-Cadherin 7 antibody

Be the first to review this product! Submit a review

|

(1 Publication)

Rabbit Polyclonal Cadherin 7 antibody. Suitable for IHC-P, WB, ICC/IF and reacts with Human samples. Cited in 1 publication. Immunogen corresponding to Recombinant Fragment Protein within Human CDH7 aa 100-300.

View Alternative Names

CDH7L1, CDH7, Cadherin-7

3 Images
Immunocytochemistry/ Immunofluorescence - Anti-Cadherin 7 antibody (AB237754)
  • ICC/IF

Supplier Data

Immunocytochemistry/ Immunofluorescence - Anti-Cadherin 7 antibody (AB237754)

A549 (Human lung carcinoma cell line) cells stained for Cadherin 7 (green) using ab237754 at 1/133 dilution in ICC/IF.

The cells were fixed in 4% formaldehyde, permeabilized using 0.2% Triton X-100 and blocked in 10% normal goat serum. The cells were then incubated with the primary antibody overnight at 4°C. Secondary used is an Alexa-Fluor®488-conjugated Goat Anti-Rabbit IgG (H+L). Counterstained with DAPI.

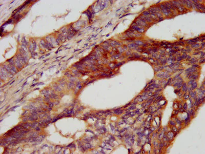
Immunohistochemistry (Formalin/PFA-fixed paraffin-embedded sections) - Anti-Cadherin 7 antibody (AB237754)
  • IHC-P

Supplier Data

Immunohistochemistry (Formalin/PFA-fixed paraffin-embedded sections) - Anti-Cadherin 7 antibody (AB237754)

Paraffin-embedded human colon cancer tissue stained for Cadherin 7 using ab237754 at 1/400 dilution in immunohistochemical analysis.

After dewaxing and hydration, antigen retrieval was mediated by high pressure in a citrate buffer (pH 6.0). Section was blocked with 10% normal goat serum 30 minutes at RT. Then primary antibody (1% BSA) was incubated at 4°C overnight. The primary is detected by a biotinylated secondary antibody and visualized tissue using an HRP conjugated SP system.

Western blot - Anti-Cadherin 7 antibody (AB237754)
  • WB

Supplier Data

Western blot - Anti-Cadherin 7 antibody (AB237754)

All lanes:

Western blot - Anti-Cadherin 7 antibody (ab237754) at 1/500 dilution

Lane 1:

HepG2 (Human liver hepatocellular carcinoma cell line) whole cell lysate

Lane 2:

HEK-293 (Human epithelial cell line from embryonic kidney) whole cell lysate

Lane 3:

K562 (Human chronic myelogenous leukemia cell line from bone marrow) whole cell lysate

Secondary

All lanes:

Goat polyclonal to rabbit IgG at 1/50000 dilution

Predicted band size: 87 kDa

false

Key facts

Host species

Rabbit

Clonality

Polyclonal

Isotype

IgG

Carrier free

No

Reacts with

Human

Applications

ICC/IF, IHC-P, WB

applications

Immunogen

Recombinant Fragment Protein within Human CDH7 aa 100-300. The exact immunogen used to generate this antibody is proprietary information.

Q9ULB5

Reactivity data

{ "title": "Reactivity Data", "filters": { "stats": ["", "Species", "Dilution Info", "Notes"], "tabs": { "all-applications": {"fullname" : "All Applications", "shortname": "All Applications"}, "IHCP" : {"fullname" : "Immunohistochemistry (Formalin/PFA-fixed paraffin-embedded sections)", "shortname":"IHC-P"}, "WB" : {"fullname" : "Western blot", "shortname":"WB"}, "ICCIF" : {"fullname" : "Immunocytochemistry/ Immunofluorescence", "shortname":"ICC/IF"} }, "product-promise": { "all": "all", "testedAndGuaranteed": "tested", "guaranteed": "expected", "predicted": "predicted", "notRecommended": "not-recommended" } }, "values": { "Human": { "IHCP-species-checked": "testedAndGuaranteed", "IHCP-species-dilution-info": "1/200 - 1/500", "IHCP-species-notes": "<p></p> Perform heat-mediated antigen retrieval with citrate buffer pH 6 before commencing with IHC staining protocol.", "WB-species-checked": "testedAndGuaranteed", "WB-species-dilution-info": "1/500 - 1/5000", "WB-species-notes": "<p></p>", "ICCIF-species-checked": "testedAndGuaranteed", "ICCIF-species-dilution-info": "1/50 - 1/200", "ICCIF-species-notes": "<p></p>" }, "Mouse": { "IHCP-species-checked": "predicted", "IHCP-species-dilution-info": "", "IHCP-species-notes": "", "WB-species-checked": "predicted", "WB-species-dilution-info": "", "WB-species-notes": "", "ICCIF-species-checked": "predicted", "ICCIF-species-dilution-info": "", "ICCIF-species-notes": "" }, "Rat": { "IHCP-species-checked": "predicted", "IHCP-species-dilution-info": "", "IHCP-species-notes": "", "WB-species-checked": "predicted", "WB-species-dilution-info": "", "WB-species-notes": "", "ICCIF-species-checked": "predicted", "ICCIF-species-dilution-info": "", "ICCIF-species-notes": "" }, "Chicken": { "IHCP-species-checked": "predicted", "IHCP-species-dilution-info": "", "IHCP-species-notes": "", "WB-species-checked": "predicted", "WB-species-dilution-info": "", "WB-species-notes": "", "ICCIF-species-checked": "predicted", "ICCIF-species-dilution-info": "", "ICCIF-species-notes": "" } } }

Properties and storage information

Form
Liquid
Purification technique
Affinity purification Protein G
Purification notes
Purity greater than 95%.
Storage buffer
pH: 7.4 Preservative: 0.03% Proclin 300 Constituents: PBS, 50% Glycerol (glycerin, glycerine)
Shipped at conditions
Blue Ice
Appropriate short-term storage duration
1-2 weeks
Appropriate short-term storage conditions
+4°C
Appropriate long-term storage conditions
-20°C
Aliquoting information
Upon delivery aliquot
Storage information
Avoid freeze / thaw cycle

Supplementary information

This supplementary information is collated from multiple sources and compiled automatically.

Cadherin 7 also known as CDH7 is a member of the classical cadherin family involved in calcium-dependent cell-cell adhesion. The mass of Cadherin 7 is approximately 88 kDa. It is mostly expressed in the nervous system where it plays a role in the formation and maintenance of cellular structures essential for neural function. The protein comprises extracellular cadherin repeats a transmembrane domain and a highly conserved cytoplasmic tail which allows it to facilitate homophilic interactions between cells.
Biological function summary

This protein mediates strong stable adhesion among cells in the neural tissue. It is integral to the assembly of adherens junctions where it participates in cell signaling and structural integrity. Cadherin 7 does not function alone; it often forms complexes with cytoplasmic proteins such as catenins which link the cadherin to the actin cytoskeleton providing mechanical support and facilitating intracellular signaling.

Pathways

Cadherin 7 plays a critical role in pathways like the cadherin-catenin complex and the Wnt signaling pathway. The cadherin-catenin complex pathway modulates cell polarity and gene expression by interacting with proteins like β-catenin. In the Wnt signaling pathway Cadherin 7 helps regulate cell fate proliferation and migration which are all vital for neural development and tissue homeostasis.

Cadherin 7 has implications in neurological conditions such as schizophrenia and autism spectrum disorders. Disruptions in its function may affect neural cell adhesion and signaling leading to these conditions. Additionally altered expression of Cadherin 7 in association with changes in other proteins like N-cadherin has been observed in cancer metastasis highlighting its importance in cell adhesion and signaling in both neural and cancer contexts.

Product protocols

For this product, it's our understanding that no specific protocols are required. You can visit:

Target data

Cadherins are calcium-dependent cell adhesion proteins. They preferentially interact with themselves in a homophilic manner in connecting cells; cadherins may thus contribute to the sorting of heterogeneous cell types.
See full target information CDH7

Publications (1)

Recent publications for all applications. Explore the full list and refine your search

World journal of gastroenterology 29:3770-3792 PubMed37426316

2023

Mechanism of ELL-associated factor 2 and vasohibin 1 regulating invasion, migration, and angiogenesis in colorectal cancer.

Applications

Unspecified application

Species

Unspecified reactive species

Ming-Liang Feng,Ming-Jun Sun,Bo-Yang Xu,Meng-Yuan Liu,Hui-Jing Zhang,Can Wu
View all publications

Product promise

We are committed to supporting your work with high-quality reagents, and we're here for you every step of the way. In the unlikely event that one of our products does not perform as expected, you're protected by our Product Promise.
For full details, please see our Terms & Conditions

Please note: All products are 'FOR RESEARCH USE ONLY. NOT FOR USE IN DIAGNOSTIC OR THERAPEUTIC PROCEDURES'.

For licensing inquiries, please contact partnerships@abcam.com