JavaScript is disabled in your browser. Please enable JavaScript to view this website.
AB229915

Anti-Calbindin antibody [EPR22698-236]

5

(1 Review)

|

(7 Publications)

Rabbit Recombinant Monoclonal Calbindin antibody. Suitable for IP, WB, IHC-Fr, IHC-P and reacts with Mouse, Rat samples. Cited in 7 publications.

View Alternative Names

Calbindin, Calbindin D28, D-28K, PCD-29, Spot 35 protein, Calb1

7 Images
Immunohistochemistry (Frozen sections) - Anti-Calbindin antibody [EPR22698-236] (AB229915)
  • IHC-Fr

Unknown

Immunohistochemistry (Frozen sections) - Anti-Calbindin antibody [EPR22698-236] (AB229915)

Immunohistochemical analysis of frozen section of 4% PFA-fixed, 0.2% Triton X-100 permeabilized rat cerebellum tissue labeling Calbindin with ab229915 at 1/500 dilution, followed by Goat Anti-Rabbit IgG H&L (Alexa Fluor® 488) (ab150077) at 1/1000 dilution (green). Positive staining on molecular layer and purkinje cells of rat cerebellum (PMID : 20130198) is observed. The nuclear counter stain is DAPI (blue).

Secondary antibody only control : Used PBS instead of primary antibody, secondary antibody is Goat Anti-Rabbit IgG H&L (Alexa Fluor® 488) (ab150077) at 1/1000 dilution.

Heat mediated antigen retrieval using sodium citrate buffer (10mM citrate pH 6.0 + 0.05% Tween-20).

Immunohistochemistry (Formalin/PFA-fixed paraffin-embedded sections) - Anti-Calbindin antibody [EPR22698-236] (AB229915)
  • IHC-P

Unknown

Immunohistochemistry (Formalin/PFA-fixed paraffin-embedded sections) - Anti-Calbindin antibody [EPR22698-236] (AB229915)

Immunohistochemical analysis of paraffin-embedded rat cerebellum tissue labeling Calbindin with ab229915 at 1/4000 dilution, followed by Rabbit specific IHC polymer detection kit HRP/DAB (ab209101). Positive staining on Purkinje cells of rat cerebellum (PMID : 17507571) is observed. Counter stained with hematoxylin.

Secondary antibody only control : Used PBS instead of primary antibody, secondary antibody is Rabbit specific IHC polymer detection kit HRP/DAB (ab209101).

Heat mediated antigen retrieval with Tris-EDTA buffer (pH 9.0, epitope retrieval solution 2) for 20mins.

The section was incubated with ab229915 for 30 mins at room temperature.

The immunostaining was performed on a Leica Biosystems BOND® RX instrument

Immunohistochemistry (Frozen sections) - Anti-Calbindin antibody [EPR22698-236] (AB229915)
  • IHC-Fr

Unknown

Immunohistochemistry (Frozen sections) - Anti-Calbindin antibody [EPR22698-236] (AB229915)

Immunohistochemical analysis of frozen section of 4% PFA-fixed, 0.2% Triton X-100 permeabilized mouse cerebellum tissue labeling Calbindin with ab229915 at 1/500 dilution, followed by Goat Anti-Rabbit IgG H&L (Alexa Fluor® 488) (ab150077) at 1/1000 dilution (green). Positive staining on molecular layer and purkinje cells of mouse cerebellum (PMID : 20130198) is observed. The nuclear counter stain is DAPI (blue).

Secondary antibody only control : Used PBS instead of primary antibody, secondary antibody is Goat Anti-Rabbit IgG H&L (Alexa Fluor® 488) (ab150077) at 1/1000 dilution.

Heat mediated antigen retrieval using sodium citrate buffer (10mM citrate pH 6.0 + 0.05% Tween-20).

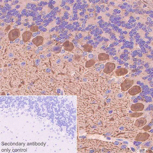
Immunohistochemistry (Formalin/PFA-fixed paraffin-embedded sections) - Anti-Calbindin antibody [EPR22698-236] (AB229915)
  • IHC-P

Unknown

Immunohistochemistry (Formalin/PFA-fixed paraffin-embedded sections) - Anti-Calbindin antibody [EPR22698-236] (AB229915)

Immunohistochemical analysis of paraffin-embedded mouse cerebellum tissue labeling Calbindin with ab229915 at 1/4000 dilution, followed by a Rabbit specific IHC polymer detection kit HRP/DAB (ab209101). Strong positive staining on Purkinje cells of mouse cerebellum (PMID : 17507571) is observed. Counter stained with hematoxylin.

Secondary antibody only control : Used PBS instead of primary antibody, secondary antibody is Rabbit specific IHC polymer detection kit HRP/DAB (ab209101).

Heat mediated antigen retrieval with Tris-EDTA buffer (pH 9.0, epitope retrieval solution 2) for 20mins.

The section was incubated with ab229915 for 30 mins at room temperature.

The immunostaining was performed on a Leica Biosystems BOND® RX instrument

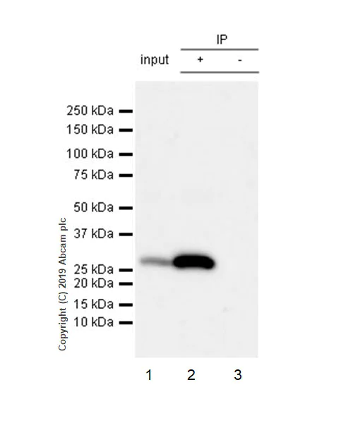
Immunoprecipitation - Anti-Calbindin antibody [EPR22698-236] (AB229915)
  • IP

Unknown

Immunoprecipitation - Anti-Calbindin antibody [EPR22698-236] (AB229915)

Calbindin was immunoprecipitated from 0.35 mg of rat brain lysate with ab229915 at 1/30 dilution. Western blot was performed from the immunoprecipitate using ab229915 at 1/1000 dilution. VeriBlot for IP Detection Reagent (HRP) (ab131366), was used as the secondary antibody at 1/5000 dilution.

Lane 1 : Rat brain lysate 10 μg (Input).
Lane 2 : ab229915 IP in rat brain lysate.
Lane 3 : Rabbit monoclonal IgG (ab172730) instead of ab229915 in rat brain lysate.

Blocking and dilution buffer and concentration : 5% NFDM/TBST.
Exposure time : 30 seconds.

All lanes:

Immunoprecipitation - Anti-Calbindin antibody [EPR22698-236] (ab229915)

Predicted band size: 30 kDa

Observed band size: 30 kDa

false

Immunoprecipitation - Anti-Calbindin antibody [EPR22698-236] (AB229915)
  • IP

Unknown

Immunoprecipitation - Anti-Calbindin antibody [EPR22698-236] (AB229915)

Calbindin was immunoprecipitated from 0.35 mg of mouse brain lysate with ab229915 at 1/30 dilution. Western blot was performed from the immunoprecipitate using ab229915 at 1/1000 dilution. VeriBlot for IP Detection Reagent (HRP) (ab131366), was used as the secondary antibody at 1/5000 dilution.

Lane 1 : Mouse brain lysate 10 μg (Input).
Lane 2 : ab229915 IP in mouse brain lysate.
Lane 3 : Rabbit monoclonal IgG (ab172730) instead of ab229915 in mouse brain lysate.

Blocking and dilution buffer and concentration : 5% NFDM/TBST.
Exposure time : 5 seconds.

All lanes:

Immunoprecipitation - Anti-Calbindin antibody [EPR22698-236] (ab229915)

Predicted band size: 30 kDa

Observed band size: 30 kDa

false

Western blot - Anti-Calbindin antibody [EPR22698-236] (AB229915)
  • WB

Unknown

Western blot - Anti-Calbindin antibody [EPR22698-236] (AB229915)

Blocking and dilution buffer : 5% NFDM/TBST.

Exposure times.

Lanes 1 & 2 : 15 seconds; Lanes 3 & 4 : 3 minutes; Lane 5 : 48 seconds.

Negative control : NIH/3T3, C6 (lanes 2 & 4, PMID : 8370070, 9889325).

All lanes:

Western blot - Anti-Calbindin antibody [EPR22698-236] (ab229915) at 1/1000 dilution

Lane 1:

Mouse brain lysate at 20 µg

Lane 2:

NIH/3T3 (mouse embryo fibroblast cell line) whole cell lysate at 20 µg

Lane 3:

Rat brain lysate at 20 µg

Lane 4:

C6 (rat glial tumor glial cell line) whole cell lysate at 20 µg

Lane 5:

Mouse cerebellum lysate at 20 µg

Secondary

All lanes:

Western blot - Goat Anti-Rabbit IgG H&L (HRP) (<a href='/en-us/products/secondary-antibodies/goat-rabbit-igg-h-l-hrp-ab97051'>ab97051</a>) at 1/100000 dilution

Predicted band size: 30 kDa

Observed band size: 30 kDa

false

  • Carrier free

    Anti-Calbindin antibody [EPR22698-236] - BSA and Azide free

Key facts

Host species

Rabbit

Clonality

Monoclonal

Clone number

EPR22698-236

Isotype

IgG

Carrier free

No

Reacts with

Mouse, Rat

Applications

IHC-P, WB, IHC-Fr, IP

applications

Immunogen

The exact immunogen used to generate this antibody is proprietary information.

Reactivity data

{ "title": "Reactivity Data", "filters": { "stats": ["", "Species", "Dilution Info", "Notes"], "tabs": { "all-applications": {"fullname" : "All Applications", "shortname": "All Applications"}, "IP" : {"fullname" : "Immunoprecipitation", "shortname":"IP"}, "FlowCyt" : {"fullname" : "Flow Cytometry", "shortname":"Flow Cyt"}, "WB" : {"fullname" : "Western blot", "shortname":"WB"}, "ICCIF" : {"fullname" : "Immunocytochemistry/ Immunofluorescence", "shortname":"ICC/IF"}, "IHCFr" : {"fullname" : "Immunohistochemistry (Frozen sections)", "shortname":"IHC-Fr"}, "IHCP" : {"fullname" : "Immunohistochemistry (Formalin/PFA-fixed paraffin-embedded sections)", "shortname":"IHC-P"} }, "product-promise": { "all": "all", "testedAndGuaranteed": "tested", "guaranteed": "expected", "predicted": "predicted", "notRecommended": "not-recommended" } }, "values": { "Mouse": { "IP-species-checked": "testedAndGuaranteed", "IP-species-dilution-info": "1/30", "IP-species-notes": "<p></p>", "FlowCyt-species-checked": "notRecommended", "FlowCyt-species-dilution-info": "", "FlowCyt-species-notes": "<p></p>", "WB-species-checked": "testedAndGuaranteed", "WB-species-dilution-info": "1/1000", "WB-species-notes": "<p></p>", "ICCIF-species-checked": "notRecommended", "ICCIF-species-dilution-info": "", "ICCIF-species-notes": "<p></p>", "IHCFr-species-checked": "testedAndGuaranteed", "IHCFr-species-dilution-info": "1/500", "IHCFr-species-notes": "<p>Heat mediated antigen retrieval using sodium citrate buffer (10mM citrate pH 6.0 + 0.05% Tween-20).</p>", "IHCP-species-checked": "testedAndGuaranteed", "IHCP-species-dilution-info": "1/4000", "IHCP-species-notes": "<p></p>" }, "Rat": { "IP-species-checked": "testedAndGuaranteed", "IP-species-dilution-info": "1/30", "IP-species-notes": "<p></p>", "FlowCyt-species-checked": "notRecommended", "FlowCyt-species-dilution-info": "", "FlowCyt-species-notes": "<p></p>", "WB-species-checked": "guaranteed", "WB-species-dilution-info": "", "WB-species-notes": "", "ICCIF-species-checked": "notRecommended", "ICCIF-species-dilution-info": "", "ICCIF-species-notes": "<p></p>", "IHCFr-species-checked": "testedAndGuaranteed", "IHCFr-species-dilution-info": "1/500", "IHCFr-species-notes": "<p>Heat mediated antigen retrieval using sodium citrate buffer (10mM citrate pH 6.0 + 0.05% Tween-20).</p>", "IHCP-species-checked": "testedAndGuaranteed", "IHCP-species-dilution-info": "1/4000", "IHCP-species-notes": "<p></p>" } } }

Product details

Patented technology
Our RabMAb® technology is a patented hybridoma-based technology for making rabbit monoclonal antibodies. For details on our patents, please refer to RabMAb® patents.

What are the advantages of a recombinant monoclonal antibody?
This product is a recombinant monoclonal antibody, which offers several advantages including:

  • - High batch-to-batch consistency and reproducibility
  • - Improved sensitivity and specificity
  • - Long-term security of supply
  • - Animal-free batch production

For more information, read more on recombinant antibodies.

Properties and storage information

Form
Liquid
Purification technique
Affinity purification Protein A
Storage buffer
pH: 7.2 - 7.4 Preservative: 0.01% Sodium azide Constituents: PBS, 40% Glycerol (glycerin, glycerine), 0.05% BSA
Shipped at conditions
Blue Ice
Appropriate short-term storage duration
1-2 weeks
Appropriate short-term storage conditions
+4°C
Appropriate long-term storage conditions
-20°C
Aliquoting information
Upon delivery aliquot
Storage information
Avoid freeze / thaw cycle

Supplementary information

This supplementary information is collated from multiple sources and compiled automatically.

Calbindin also known as calbindin-D28k is a calcium-binding protein with a molecular mass of approximately 28 kDa. This target is mainly expressed in the neurons of the brain such as in the cerebellum and hippocampus as well as in the kidneys and intestine. Calbindin plays a mechanical role in binding and buffering intracellular calcium ions which is important for the regulation of calcium-dependent signaling pathways. Researchers often use techniques like Calbindin IHC (immunohistochemistry) and ELISA to study its distribution and presence within tissues.
Biological function summary

Calbindin contributes to cellular homeostasis by managing intracellular calcium levels. It does not appear to be part of a larger protein complex but operates independently. This protein helps to protect neurons from calcium overload potentially safeguarding against excitotoxicity which occurs when neurons die from excessive stimulation. Calbindin's function as a calcium buffer is of particular importance in maintaining neuron function and survival in areas with high neuronal activity.

Pathways

Calbindin has a significant role in the calcium signaling pathway and is also involved in the vitamin D pathway. The calcium signaling pathway is vital for many cellular processes like muscle contraction neurotransmitter release and gene expression. The vitamin D pathway regulates calcium and phosphate homeostasis in the body. Calbindin's relationship with proteins such as calmodulin and parvalbumin both involved in calcium regulation highlights its importance in maintaining cellular functions.

Abnormal Calbindin expression has been observed in conditions like epilepsy and Parkinson's disease. In epilepsy its decreased expression can impact the ability of neurons to regulate calcium properly leading to increased vulnerability to seizures. In Parkinson's disease altered Calbindin levels have been associated with the selective vulnerability of dopamine neurons. These diseases highlight the connection between Calbindin and proteins like alpha-synuclein known for its role in Parkinson's pathology emphasizing the need to understand its contribution to disease mechanisms.

Product protocols

For this product, it's our understanding that no specific protocols are required. You can visit:

Target data

Buffers cytosolic calcium. May stimulate a membrane Ca(2+)-ATPase and a 3',5'-cyclic nucleotide phosphodiesterase.
See full target information Calb1

Publications (7)

Recent publications for all applications. Explore the full list and refine your search

Frontiers in veterinary science 12:1661930 PubMed41070386

2025

Different responses of luminal and glandular epithelium during mouse embryo implantation.

Applications

Unspecified application

Species

Unspecified reactive species

Wenjing Cui,Xiangrui Guan,Peisen Liu,Qi-Xin Xu,Juan Xie,Yaqi Jiao,Lin Jin,Peng-Chao Wang,Zhenshan Yang

Nature 642:474-483 PubMed40335701

2025

PLA2G15 is a BMP hydrolase and its targeting ameliorates lysosomal disease.

Applications

Unspecified application

Species

Unspecified reactive species

Kwamina Nyame,Jian Xiong,Hisham N Alsohybe,Arthur P H de Jong,Isabelle V Peña,Ricardo de Miguel,Thijn R Brummelkamp,Guido Hartmann,Sebastian M B Nijman,Matthijs Raaben,Judith A Simcox,Vincent A Blomen,Monther Abu-Remaileh

Poultry science 104:105111 PubMed40222347

2025

The characterization of uterine calcium transport and metabolism during eggshell calcification of hens laying high or low breaking strength eggshell.

Applications

Unspecified application

Species

Unspecified reactive species

Ying-Ying Yang,Dong Dai,Hai-Jun Zhang,Shu-Geng Wu,Guang-Hai Qi,Jing Wang

Science advances 11:eadp8093 PubMed40215293

2025

Loss of Ten1 in mice induces telomere shortening and models human dyskeratosis congenita.

Applications

Unspecified application

Species

Unspecified reactive species

Adrián Sanz-Moreno,Lore Becker,Kan Xie,Patricia da Silva-Buttkus,Nathalia R V Dragano,Antonio Aguilar-Pimentel,Oana V Amarie,Julia Calzada-Wack,Markus Kraiger,Stefanie Leuchtenberger,Claudia Seisenberger,Susan Marschall,Birgit Rathkolb,Enzo Scifo,Ting Liu,Anoja Thanabalasingam,Raul Sanchez-Vazquez,Paula Martinez,Maria A Blasco,Sharon A Savage,Helmut Fuchs,Dan Ehninger,Valérie Gailus-Durner,Martin Hrabê de Angelis

iScience 28:111548 PubMed39897939

2025

Neonatal infection with promotes autism-like phenotypes in mice.

Applications

Unspecified application

Species

Unspecified reactive species

Eoin O'Neill,Lucy Curham,Caitlín Ní Chasaide,Síofra O'Brien,Gavin McManus,Barry Moran,Keith Rubin,Steven Glazer,Marina A Lynch,Kingston H G Mills

JCI insight 9: PubMed39137042

2024

Systemic gene therapy corrects the neurological phenotype in a mouse model of NGLY1 deficiency.

Applications

Unspecified application

Species

Unspecified reactive species

Ailing Du,Kun Yang,Xuntao Zhou,Lingzhi Ren,Nan Liu,Chen Zhou,Jialing Liang,Nan Yan,Guangping Gao,Dan Wang

Brain pathology (Zurich, Switzerland) 33:e13162 PubMed37218083

2023

Cerebellar structural, astrocytic, and neuronal abnormalities in the SMNΔ7 mouse model of spinal muscular atrophy.

Applications

Unspecified application

Species

Unspecified reactive species

Nicholas C Cottam,Tiffany Bamfo,Melissa A Harrington,Christine J Charvet,Khan Hekmatyar,Nikita Tulin,Jianli Sun
View all publications

Product promise

We are committed to supporting your work with high-quality reagents, and we're here for you every step of the way. In the unlikely event that one of our products does not perform as expected, you're protected by our Product Promise.
For full details, please see our Terms & Conditions

Please note: All products are 'FOR RESEARCH USE ONLY. NOT FOR USE IN DIAGNOSTIC OR THERAPEUTIC PROCEDURES'.

For licensing inquiries, please contact partnerships@abcam.com