JavaScript is disabled in your browser. Please enable JavaScript to view this website.
AB255691

Anti-Calbindin antibody [EPR22698-236] - BSA and Azide free

Be the first to review this product! Submit a review

|

(2 Publications)

Rabbit Recombinant Monoclonal Calbindin antibody. Carrier free. Suitable for IP, WB, IHC-Fr, IHC-P and reacts with Rat, Mouse samples. Cited in 2 publications.

View Alternative Names

Calbindin, Calbindin D28, D-28K, PCD-29, Spot 35 protein, Calb1

6 Images
Immunohistochemistry (Formalin/PFA-fixed paraffin-embedded sections) - Anti-Calbindin antibody [EPR22698-236] - BSA and Azide free (AB255691)
  • IHC-P

Unknown

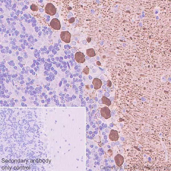
Immunohistochemistry (Formalin/PFA-fixed paraffin-embedded sections) - Anti-Calbindin antibody [EPR22698-236] - BSA and Azide free (AB255691)

Immunohistochemical analysis of paraffin-embedded rat cerebellum tissue labeling Calbindin with ab229915 at 1/4000 dilution, followed by Rabbit specific IHC polymer detection kit HRP/DAB (ab209101). Positive staining on Purkinje cells of rat cerebellum (PMID : 17507571) is observed. Counter stained with hematoxylin.

Secondary antibody only control : Used PBS instead of primary antibody, secondary antibody is Rabbit specific IHC polymer detection kit HRP/DAB (ab209101).

Heat mediated antigen retrieval with Tris-EDTA buffer (pH 9.0, epitope retrieval solution 2) for 20mins.

The section was incubated with ab229915 for 30 mins at room temperature.

The immunostaining was performed on a Leica Biosystems BOND® RX instrument

This data was developed using the same antibody clone in a different buffer formulation containing PBS, BSA, glycerol, and sodium azide (ab229915).

Immunohistochemistry (Frozen sections) - Anti-Calbindin antibody [EPR22698-236] - BSA and Azide free (AB255691)
  • IHC-Fr

Unknown

Immunohistochemistry (Frozen sections) - Anti-Calbindin antibody [EPR22698-236] - BSA and Azide free (AB255691)

Immunohistochemical analysis of frozen section of 4% PFA-fixed, 0.2% Triton X-100 permeabilized rat cerebellum tissue labeling Calbindin with ab229915 at 1/500 dilution, followed by Goat Anti-Rabbit IgG H&L (Alexa Fluor® 488) (ab150077) at 1/1000 dilution (green). Positive staining on molecular layer and purkinje cells of rat cerebellum (PMID : 20130198) is observed. The nuclear counter stain is DAPI (blue).

Secondary antibody only control : Used PBS instead of primary antibody, secondary antibody is Goat Anti-Rabbit IgG H&L (Alexa Fluor® 488) (ab150077) at 1/1000 dilution.

Heat mediated antigen retrieval using sodium citrate buffer (10mM citrate pH 6.0 + 0.05% Tween-20).

This data was developed using the same antibody clone in a different buffer formulation containing PBS, BSA, glycerol, and sodium azide (ab229915).

Immunohistochemistry (Frozen sections) - Anti-Calbindin antibody [EPR22698-236] - BSA and Azide free (AB255691)
  • IHC-Fr

Unknown

Immunohistochemistry (Frozen sections) - Anti-Calbindin antibody [EPR22698-236] - BSA and Azide free (AB255691)

Immunohistochemical analysis of frozen section of 4% PFA-fixed, 0.2% Triton X-100 permeabilized mouse cerebellum tissue labeling Calbindin with ab229915 at 1/500 dilution, followed by Goat Anti-Rabbit IgG H&L (Alexa Fluor® 488) (ab150077) at 1/1000 dilution (green). Positive staining on molecular layer and purkinje cells of mouse cerebellum (PMID : 20130198) is observed. The nuclear counter stain is DAPI (blue).

Secondary antibody only control : Used PBS instead of primary antibody, secondary antibody is Goat Anti-Rabbit IgG H&L (Alexa Fluor® 488) (ab150077) at 1/1000 dilution.

Heat mediated antigen retrieval using sodium citrate buffer (10mM citrate pH 6.0 + 0.05% Tween-20).

This data was developed using the same antibody clone in a different buffer formulation containing PBS, BSA, glycerol, and sodium azide (ab229915).

Immunohistochemistry (Formalin/PFA-fixed paraffin-embedded sections) - Anti-Calbindin antibody [EPR22698-236] - BSA and Azide free (AB255691)
  • IHC-P

Unknown

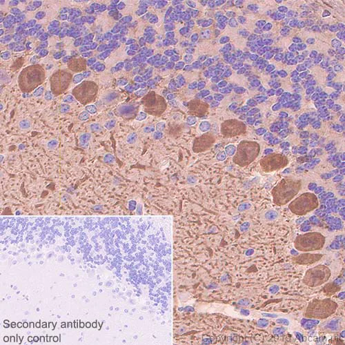
Immunohistochemistry (Formalin/PFA-fixed paraffin-embedded sections) - Anti-Calbindin antibody [EPR22698-236] - BSA and Azide free (AB255691)

Immunohistochemical analysis of paraffin-embedded mouse cerebellum tissue labeling Calbindin with ab229915 at 1/4000 dilution, followed by Rabbit specific IHC polymer detection kit HRP/DAB (ab209101). Strong positive staining on Purkinje cells of mouse cerebellum (PMID : 17507571) is observed. Counter stained with hematoxylin.

Secondary antibody only control : Used PBS instead of primary antibody, secondary antibody is Rabbit specific IHC polymer detection kit HRP/DAB (ab209101).

Heat mediated antigen retrieval with Tris-EDTA buffer (pH 9.0, epitope retrieval solution 2) for 20mins.

The section was incubated with ab229915 for 30 mins at room temperature.

The immunostaining was performed on a Leica Biosystems BOND® RX instrument

This data was developed using the same antibody clone in a different buffer formulation containing PBS, BSA, glycerol, and sodium azide (ab229915).

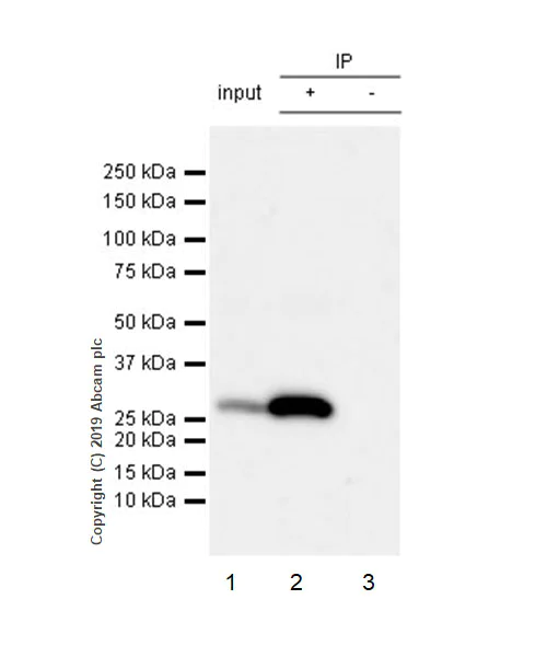
Immunoprecipitation - Anti-Calbindin antibody [EPR22698-236] - BSA and Azide free (AB255691)
  • IP

Unknown

Immunoprecipitation - Anti-Calbindin antibody [EPR22698-236] - BSA and Azide free (AB255691)

Calbindin was immunoprecipitated from 0.35 mg of mouse brain lysate with ab229915 at 1/30 dilution. Western blot was performed from the immunoprecipitate using ab229915 at 1/1000 dilution. VeriBlot for IP Detection Reagent (HRP) (ab131366), was used as the secondary antibody at 1/5000 dilution.

Lane 1 : Mouse brain lysate 10 μg (Input).
Lane 2 : ab229915 IP in mouse brain lysate.
Lane 3 : Rabbit monoclonal IgG (ab172730) instead of ab229915 in mouse brain lysate.

Blocking and dilution buffer and concentration : 5% NFDM/TBST.
Exposure time : 5 seconds.

This data was developed using the same antibody clone in a different buffer formulation containing PBS, BSA, glycerol, and sodium azide (ab229915).

All lanes:

Immunoprecipitation - Anti-Calbindin antibody [EPR22698-236] (<a href='/en-us/products/primary-antibodies/calbindin-antibody-epr22698-236-ab229915'>ab229915</a>)

Predicted band size: 30 kDa

Observed band size: 30 kDa

false

Immunoprecipitation - Anti-Calbindin antibody [EPR22698-236] - BSA and Azide free (AB255691)
  • IP

Unknown

Immunoprecipitation - Anti-Calbindin antibody [EPR22698-236] - BSA and Azide free (AB255691)

Calbindin was immunoprecipitated from 0.35 mg of rat brain lysate with ab229915 at 1/30 dilution. Western blot was performed from the immunoprecipitate using ab229915 at 1/1000 dilution. VeriBlot for IP Detection Reagent (HRP) (ab131366), was used as the secondary antibody at 1/5000 dilution.

Lane 1 : Rat brain lysate 10 μg (Input).
Lane 2 : ab229915 IP in rat brain lysate.
Lane 3 : Rabbit monoclonal IgG (ab172730) instead of ab229915 in rat brain lysate.

Blocking and dilution buffer and concentration : 5% NFDM/TBST.
Exposure time : 30 seconds.

This data was developed using the same antibody clone in a different buffer formulation containing PBS, BSA, glycerol, and sodium azide (ab229915).

All lanes:

Immunoprecipitation - Anti-Calbindin antibody [EPR22698-236] (<a href='/en-us/products/primary-antibodies/calbindin-antibody-epr22698-236-ab229915'>ab229915</a>)

Predicted band size: 30 kDa

Observed band size: 30 kDa

false

Key facts

Host species

Rabbit

Clonality

Monoclonal

Clone number

EPR22698-236

Isotype

IgG

Carrier free

Yes

Reacts with

Mouse, Rat

Applications

WB, IHC-P, IP, IHC-Fr

applications

Immunogen

The exact immunogen used to generate this antibody is proprietary information.

Reactivity data

{ "title": "Reactivity Data", "filters": { "stats": ["", "Species", "Dilution Info", "Notes"], "tabs": { "all-applications": {"fullname" : "All Applications", "shortname": "All Applications"}, "IP" : {"fullname" : "Immunoprecipitation", "shortname":"IP"}, "FlowCyt" : {"fullname" : "Flow Cytometry", "shortname":"Flow Cyt"}, "WB" : {"fullname" : "Western blot", "shortname":"WB"}, "ICCIF" : {"fullname" : "Immunocytochemistry/ Immunofluorescence", "shortname":"ICC/IF"}, "IHCFr" : {"fullname" : "Immunohistochemistry (Frozen sections)", "shortname":"IHC-Fr"}, "IHCP" : {"fullname" : "Immunohistochemistry (Formalin/PFA-fixed paraffin-embedded sections)", "shortname":"IHC-P"} }, "product-promise": { "all": "all", "testedAndGuaranteed": "tested", "guaranteed": "expected", "predicted": "predicted", "notRecommended": "not-recommended" } }, "values": { "Mouse": { "IP-species-checked": "predicted", "IP-species-dilution-info": "", "IP-species-notes": "", "FlowCyt-species-checked": "notRecommended", "FlowCyt-species-dilution-info": "", "FlowCyt-species-notes": "<p></p>", "WB-species-checked": "guaranteed", "WB-species-dilution-info": "", "WB-species-notes": "<p></p>", "ICCIF-species-checked": "notRecommended", "ICCIF-species-dilution-info": "", "ICCIF-species-notes": "<p></p>", "IHCFr-species-checked": "predicted", "IHCFr-species-dilution-info": "", "IHCFr-species-notes": "", "IHCP-species-checked": "predicted", "IHCP-species-dilution-info": "", "IHCP-species-notes": "" }, "Rat": { "IP-species-checked": "testedAndGuaranteed", "IP-species-dilution-info": "", "IP-species-notes": "<p></p>", "FlowCyt-species-checked": "notRecommended", "FlowCyt-species-dilution-info": "", "FlowCyt-species-notes": "<p></p>", "WB-species-checked": "guaranteed", "WB-species-dilution-info": "", "WB-species-notes": "<p></p>", "ICCIF-species-checked": "notRecommended", "ICCIF-species-dilution-info": "", "ICCIF-species-notes": "<p></p>", "IHCFr-species-checked": "testedAndGuaranteed", "IHCFr-species-dilution-info": "", "IHCFr-species-notes": "<p>Heat mediated antigen retrieval using sodium citrate buffer (10mM citrate pH 6.0 + 0.05% Tween-20).</p>", "IHCP-species-checked": "testedAndGuaranteed", "IHCP-species-dilution-info": "", "IHCP-species-notes": "<p></p>" } } }

Product details

ab255691 is the carrier-free version of ab229915.

Patented technology
Our RabMAb® technology is a patented hybridoma-based technology for making rabbit monoclonal antibodies. For details on our patents, please refer to RabMAb® patents.

What are the advantages of a recombinant monoclonal antibody?
This product is a recombinant monoclonal antibody, which offers several advantages including:

  • - High batch-to-batch consistency and reproducibility
  • - Improved sensitivity and specificity
  • - Long-term security of supply
  • - Animal-free batch production

For more information, read more on recombinant antibodies.

Conjugation ready
Our carrier-free antibodies are typically supplied in a PBS-only formulation, purified and free of BSA, sodium azide and glycerol. This conjugation-ready format is designed for use with fluorochromes, metal isotopes, oligonucleotides, and enzymes, which makes them ideal for antibody labelling, functional and cell-based assays, flow-based assays (e.g. mass cytometry) and Multiplex Imaging applications.

Use our conjugation kits for antibody conjugates that are ready-to-use in as little as 20 minutes with 1 minute hands-on-time and 100% antibody recovery: available for fluorescent dyes, HRP, biotin and gold.

Compatibility
This product is compatible with the Maxpar® Antibody Labeling Kit from Fluidigm, without the need for antibody preparation. Maxpar® is a trademark of Fluidigm Canada Inc.

Properties and storage information

Form
Liquid
Purification technique
Affinity purification Protein A
Storage buffer
pH: 7.2 - 7.4 Constituents: PBS
Shipped at conditions
Blue Ice
Appropriate short-term storage conditions
+4°C
Appropriate long-term storage conditions
+4°C
Storage information
Do Not Freeze

Supplementary information

This supplementary information is collated from multiple sources and compiled automatically.

Calbindin also known as calbindin-D28k is a calcium-binding protein with a molecular mass of approximately 28 kDa. This target is mainly expressed in the neurons of the brain such as in the cerebellum and hippocampus as well as in the kidneys and intestine. Calbindin plays a mechanical role in binding and buffering intracellular calcium ions which is important for the regulation of calcium-dependent signaling pathways. Researchers often use techniques like Calbindin IHC (immunohistochemistry) and ELISA to study its distribution and presence within tissues.
Biological function summary

Calbindin contributes to cellular homeostasis by managing intracellular calcium levels. It does not appear to be part of a larger protein complex but operates independently. This protein helps to protect neurons from calcium overload potentially safeguarding against excitotoxicity which occurs when neurons die from excessive stimulation. Calbindin's function as a calcium buffer is of particular importance in maintaining neuron function and survival in areas with high neuronal activity.

Pathways

Calbindin has a significant role in the calcium signaling pathway and is also involved in the vitamin D pathway. The calcium signaling pathway is vital for many cellular processes like muscle contraction neurotransmitter release and gene expression. The vitamin D pathway regulates calcium and phosphate homeostasis in the body. Calbindin's relationship with proteins such as calmodulin and parvalbumin both involved in calcium regulation highlights its importance in maintaining cellular functions.

Abnormal Calbindin expression has been observed in conditions like epilepsy and Parkinson's disease. In epilepsy its decreased expression can impact the ability of neurons to regulate calcium properly leading to increased vulnerability to seizures. In Parkinson's disease altered Calbindin levels have been associated with the selective vulnerability of dopamine neurons. These diseases highlight the connection between Calbindin and proteins like alpha-synuclein known for its role in Parkinson's pathology emphasizing the need to understand its contribution to disease mechanisms.

Product protocols

For this product, it's our understanding that no specific protocols are required. You can visit:

Target data

Buffers cytosolic calcium. May stimulate a membrane Ca(2+)-ATPase and a 3',5'-cyclic nucleotide phosphodiesterase.
See full target information Calb1

Publications (2)

Recent publications for all applications. Explore the full list and refine your search

Acta neuropathologica communications 13:86 PubMed40307956

2025

Prion replication in organotypic brain slice cultures is distinct from in vivo inoculation and is species dependent.

Applications

Unspecified application

Species

Unspecified reactive species

Jessy A Slota,Lise Lamoureux,Jennifer Myskiw,Kathy L Frost,Sarah J Medina,Dominic M S Kielich,Melanie Leonhardt,Gunjan Thapar,Ben A Bailey-Elkin,Stephanie A Booth

iScience 27:110784 PubMed39391723

2024

GATA-4 overexpressing BMSC-derived exosomes suppress H/R-induced cardiomyocyte ferroptosis.

Applications

Unspecified application

Species

Unspecified reactive species

Zhiyuan Xiao,Si Li,Xinxin Wu,Xinhao Chen,Dan Yan,Jigang He
View all publications

Product promise

We are committed to supporting your work with high-quality reagents, and we're here for you every step of the way. In the unlikely event that one of our products does not perform as expected, you're protected by our Product Promise.
For full details, please see our Terms & Conditions

Please note: All products are 'FOR RESEARCH USE ONLY. NOT FOR USE IN DIAGNOSTIC OR THERAPEUTIC PROCEDURES'.

For licensing inquiries, please contact partnerships@abcam.com