JavaScript is disabled in your browser. Please enable JavaScript to view this website.
AB303562

Anti-Calcineurin B/PPP3R1 + Calcineurin BII/PPP3R2 antibody [EPR24992-14]

  • BOND RX™ Validated
  • 20ul selling size
  • RabMAb
  • Recombinant
  • What is this?

5

(1 Review)

|

(1 Publication)

Rabbit Recombinant Monoclonal Calcineurin B/PPP3R1 antibody. Suitable for WB, IHC-P, IP and reacts with Human, Mouse, Rat samples. Cited in 1 publication.

View Alternative Names

CNA2, CNB, PPP3R1, Calcineurin subunit B type 1, Protein phosphatase 2B regulatory subunit 1, Protein phosphatase 3 regulatory subunit B alpha isoform 1

10 Images
Immunohistochemistry (Formalin/PFA-fixed paraffin-embedded sections) - Anti-Calcineurin B/PPP3R1 + Calcineurin BII/PPP3R2 antibody [EPR24992-14] (AB303562)
  • IHC-P

Supplier Data

Immunohistochemistry (Formalin/PFA-fixed paraffin-embedded sections) - Anti-Calcineurin B/PPP3R1 + Calcineurin BII/PPP3R2 antibody [EPR24992-14] (AB303562)

Immunohistochemical analysis of paraffin-embedded Human cerebrum tissue labeling Calcineurin B/PPP3R1 + Calcineurin BII/PPP3R2 with ab303562 at 1/10000 (0.052 ug/ml) followed by a ready to use LeicaDS9800 (Bond™ Polymer Refine Detection) was used. Positive staining on human cerebrum. The section was incubated with ab303562 for 30 mins at room temperature.The immunostaining was performed on a Leica Biosystems BOND® RX instrument Counterstained with Hematoxylin. Secondary antibody only control : Secondary antibody is a ready to use LeicaDS9800 (Bond™ Polymer Refine Detection).Heat mediated antigen retrieval was performed with Tris-EDTA buffer (pH 9.0, Epitope Retrieval Solution2) for 20 mins

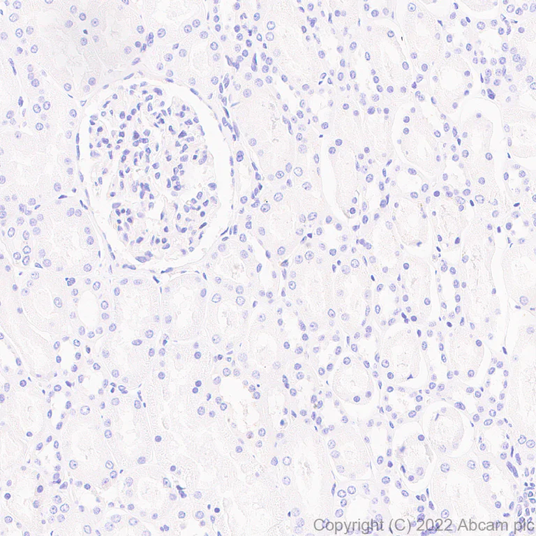
Immunohistochemistry (Formalin/PFA-fixed paraffin-embedded sections) - Anti-Calcineurin B/PPP3R1 + Calcineurin BII/PPP3R2 antibody [EPR24992-14] (AB303562)
  • IHC-P

Supplier Data

Immunohistochemistry (Formalin/PFA-fixed paraffin-embedded sections) - Anti-Calcineurin B/PPP3R1 + Calcineurin BII/PPP3R2 antibody [EPR24992-14] (AB303562)

Immunohistochemical analysis of paraffin-embedded Human kidney tissue labeling Calcineurin B/PPP3R1 + Calcineurin BII/PPP3R2 with ab303562 at 1/10000 (0.052 ug/ml) followed by a ready to use LeicaDS9800 (Bond™ Polymer Refine Detection) was used. Negative control : No staining on human kidney. The section was incubated with ab303562 for 30 mins at room temperature.The immunostaining was performed on a Leica Biosystems BOND® RX instrument Counterstained with Hematoxylin. Secondary antibody only control : Secondary antibody is a ready to use LeicaDS9800 (Bond™ Polymer Refine Detection).Heat mediated antigen retrieval was performed with Tris-EDTA buffer (pH 9.0, Epitope Retrieval Solution2) for 20 mins

Immunoprecipitation - Anti-Calcineurin B/PPP3R1 + Calcineurin BII/PPP3R2 antibody [EPR24992-14] (AB303562)
  • IP

Supplier Data

Immunoprecipitation - Anti-Calcineurin B/PPP3R1 + Calcineurin BII/PPP3R2 antibody [EPR24992-14] (AB303562)

Calcineurin B/PPP3R1 + Calcineurin BII/PPP3R2 was immunoprecipitated from 0.35 mg HEL (human erythroleukemia erythroblast), whole cell lysate with ab303562 at 1/30 dilution (2 µg in 0.35 mg lysates). Western blot was performed on the immunoprecipitate using ab303562 at 1/1000 dilution. VeriBlot for IP secondary antibody(HRP) (ab131366) was used at 1/5000 dilution.

Lane 1 : HEL (human erythroleukemia erythroblast), whole cell lysate (Inset)

Lane 2 : ab303562 IP in HEL whole cell lysate

Lane 3 : Rabbit monoclonal IgG (ab172730) instead of ab303562 in HEL whole cell lysate

Blocking and dilution buffer and concentration : 5% NFDM/TBST

This blot was developed using a high sensitivity ECL substrate. The high-sensitivity ECL substrate used allows for the detection of proteins in the mid-femtogram range.

All lanes:

Immunoprecipitation - Anti-Calcineurin B/PPP3R1 + Calcineurin BII/PPP3R2 antibody [EPR24992-14] (ab303562) at 1/1000 dilution

Lane 1:

HEL (human erythroleukemia erythroblast), whole cell lysate (Inset)

Lane 2:

ab303562 IP in HEL whole cell lysate

Lane 3:

Rabbit monoclonal IgG (<a href='/en-us/products/primary-antibodies/rabbit-igg-monoclonal-epr25a-isotype-control-ab172730'>ab172730</a>) instead of ab303562 in HEL whole cell lysate

Secondary

All lanes:

Immunoprecipitation - VeriBlot for IP Detection Reagent (HRP) (<a href='/en-us/products/reagents/veriblot-for-ip-detection-reagent-hrp-ab131366'>ab131366</a>) at 1/5000 dilution

true

Exposure time: 110s

Immunohistochemistry (Formalin/PFA-fixed paraffin-embedded sections) - Anti-Calcineurin B/PPP3R1 + Calcineurin BII/PPP3R2 antibody [EPR24992-14] (AB303562)
  • IHC-P

Supplier Data

Immunohistochemistry (Formalin/PFA-fixed paraffin-embedded sections) - Anti-Calcineurin B/PPP3R1 + Calcineurin BII/PPP3R2 antibody [EPR24992-14] (AB303562)

Immunohistochemical analysis of paraffin-embedded Rat cerebrum tissue labeling Calcineurin B/PPP3R1 + Calcineurin BII/PPP3R2 with ab303562 at 1/10000 (0.052 ug/ml) followed by a ready to use LeicaDS9800 (Bond™ Polymer Refine Detection) was used. Positive staining on rat cerebrum. The section was incubated with ab303562 for 30 mins at room temperature.The immunostaining was performed on a Leica Biosystems BOND® RX instrument Counterstained with Hematoxylin. Secondary antibody only control : Secondary antibody is a ready to use LeicaDS9800 (Bond™ Polymer Refine Detection).Heat mediated antigen retrieval was performed with Tris-EDTA buffer (pH 9.0, Epitope Retrieval Solution2) for 20 mins

Immunohistochemistry (Formalin/PFA-fixed paraffin-embedded sections) - Anti-Calcineurin B/PPP3R1 + Calcineurin BII/PPP3R2 antibody [EPR24992-14] (AB303562)
  • IHC-P

Supplier Data

Immunohistochemistry (Formalin/PFA-fixed paraffin-embedded sections) - Anti-Calcineurin B/PPP3R1 + Calcineurin BII/PPP3R2 antibody [EPR24992-14] (AB303562)

Immunohistochemical analysis of paraffin-embedded Mouse cerebrum tissue labeling Calcineurin B/PPP3R1 + Calcineurin BII/PPP3R2 with ab303562 at 1/10000 (0.052 ug/ml) followed by a ready to use LeicaDS9800 (Bond™ Polymer Refine Detection) was used. Positive staining on mouse cerebrum. The section was incubated with ab303562 for 30 mins at room temperature.The immunostaining was performed on a Leica Biosystems BOND® RX instrument Counterstained with Hematoxylin. Secondary antibody only control : Secondary antibody is a ready to use LeicaDS9800 (Bond™ Polymer Refine Detection).Heat mediated antigen retrieval was performed with Tris-EDTA buffer (pH 9.0, Epitope Retrieval Solution2) for 20 mins

Western blot - Anti-Calcineurin B/PPP3R1 + Calcineurin BII/PPP3R2 antibody [EPR24992-14] (AB303562)
  • WB

Supplier Data

Western blot - Anti-Calcineurin B/PPP3R1 + Calcineurin BII/PPP3R2 antibody [EPR24992-14] (AB303562)

Blocking / Diluting buffer and concentration : 5% NFDM/TBST

Low expression : heart, kidney (PMID : 8110831).

The molecular weight observed is consistent with what has been described in the literature (PMID : 30262862).

The identity of the higher MW band at approximately 75 kDa (in lane 3) is unknown.

All lanes:

Western blot - Anti-Calcineurin B/PPP3R1 + Calcineurin BII/PPP3R2 antibody [EPR24992-14] (ab303562) at 1/1000 dilution

Lane 1:

Human cerebellum tissue lysate at 40 µg

Lane 2:

Human kidney tissue lysate at 40 µg

Lane 3:

Human heart tissue lysate at 40 µg

Secondary

All lanes:

Goat Anti-Rabbit IgG (HRP) with minimal cross-reactivity with human IgG at 1/2000 dilution

Observed band size: 15 kDa

false

Western blot - Anti-Calcineurin B/PPP3R1 + Calcineurin BII/PPP3R2 antibody [EPR24992-14] (AB303562)
  • WB

Supplier Data

Western blot - Anti-Calcineurin B/PPP3R1 + Calcineurin BII/PPP3R2 antibody [EPR24992-14] (AB303562)

Blocking / Diluting buffer and concentration : 5% NFDM/TBST

All lanes:

Western blot - Anti-Calcineurin B/PPP3R1 + Calcineurin BII/PPP3R2 antibody [EPR24992-14] (ab303562) at 1/1000 dilution

Lane 1:

HEL (human erythroleukemia erythroblast), whole cell lysate at 40 µg

Lane 2:

C6 (rat glial tumor glial cell), whole cell lysate at 40 µg

Lane 3:

PC-12 (rat adrenal gland pheochromocytoma cell) whole cell lysate at 40 µg

Secondary

All lanes:

Western blot - Goat Anti-Rabbit IgG H&L (HRP) (<a href='/en-us/products/secondary-antibodies/goat-rabbit-igg-h-l-hrp-ab97051'>ab97051</a>) at 1/20000 dilution

false

Exposure time: 70s

Western blot - Anti-Calcineurin B/PPP3R1 + Calcineurin BII/PPP3R2 antibody [EPR24992-14] (AB303562)
  • WB

Supplier Data

Western blot - Anti-Calcineurin B/PPP3R1 + Calcineurin BII/PPP3R2 antibody [EPR24992-14] (AB303562)

Blocking / Diluting buffer and concentration : 5% NFDM/TBST

The higher MW band at approximately 18 kDa (in lane 2) is PPP3R2. (PMID : 26429887)

All lanes:

Western blot - Anti-Calcineurin B/PPP3R1 + Calcineurin BII/PPP3R2 antibody [EPR24992-14] (ab303562) at 1/1000 dilution

Lane 1:

Human testis tissue lysate at 20 µg

Lane 2:

Mouse testis tissue lysate at 20 µg

Lane 3:

Rat testis tissue lysate at 20 µg

Secondary

All lanes:

Goat Anti-Rabbit IgG (HRP) with minimal cross-reactivity with human IgG at 1/2000 dilution

Observed band size: 15 kDa,18 kDa

false

Exposure time: 136s

Western blot - Anti-Calcineurin B/PPP3R1 + Calcineurin BII/PPP3R2 antibody [EPR24992-14] (AB303562)
  • WB

Supplier Data

Western blot - Anti-Calcineurin B/PPP3R1 + Calcineurin BII/PPP3R2 antibody [EPR24992-14] (AB303562)

Blocking / Diluting buffer and concentration : 5% NFDM/TBST

Low expression : heart, kidney (PMID : 8110831).

The identity of the higher MW band at approximately 75 kDa is unknown.

All lanes:

Western blot - Anti-Calcineurin B/PPP3R1 + Calcineurin BII/PPP3R2 antibody [EPR24992-14] (ab303562) at 1/1000 dilution

Lane 1:

Mouse brain tissue lysate at 40 µg

Lane 2:

Mouse kidney tissue lysate at 40 µg

Lane 3:

Mouse heart tissue lysate at 40 µg

Lane 4:

Rat brain tissue lysate at 40 µg

Lane 5:

Rat kidney tissue lysate at 40 µg

Lane 6:

Rat heart tissue lysate at 40 µg

Secondary

All lanes:

Western blot - Goat Anti-Rabbit IgG H&L (HRP) (<a href='/en-us/products/secondary-antibodies/goat-rabbit-igg-h-l-hrp-ab97051'>ab97051</a>) at 1/20000 dilution

Observed band size: 15 kDa

false

Exposure time: 10s

Western blot - Anti-Calcineurin B/PPP3R1 + Calcineurin BII/PPP3R2 antibody [EPR24992-14] (AB303562)
  • WB

Supplier Data

Western blot - Anti-Calcineurin B/PPP3R1 + Calcineurin BII/PPP3R2 antibody [EPR24992-14] (AB303562)

Blocking / Diluting buffer and concentration : 5% NFDM/TBST

The identity of the higher MW band at approximately 75kDa is unknown.

All lanes:

Western blot - Anti-Calcineurin B/PPP3R1 + Calcineurin BII/PPP3R2 antibody [EPR24992-14] (ab303562) at 1/1000 dilution

Lane 1:

HEK-293T cells transfected with a human Calcineurin B/PPP3R1 expression vector containing a his tag, whole cell lysate at 1 µg

Lane 2:

HEK-293T cells transfected with a human Calcineurin BII/PPP3R2 expression vector containing a his tag, whole cell lysate at 75 µg

Secondary

All lanes:

Western blot - Goat Anti-Rabbit IgG H&L (HRP) (<a href='/en-us/products/secondary-antibodies/goat-rabbit-igg-h-l-hrp-ab97051'>ab97051</a>) at 1/20000 dilution

Observed band size: 20 kDa

false

Exposure time: 7.75s

  • Carrier free

    Anti-Calcineurin B/PPP3R1+Calcineurin BII/PPP3R2 antibody [EPR24992-14] -BSA & Azide free (Detector)

  • Carrier free

    Anti-Calcineurin B/PPP3R1 + Calcineurin BII/PPP3R2 antibody [EPR24992-14] - BSA and Azide free

Key facts

Host species

Rabbit

Clonality

Monoclonal

Clone number

EPR24992-14

Isotype

IgG

Carrier free

No

Reacts with

Human, Mouse, Rat

Applications

WB, IHC-P, IP

applications

Immunogen

The exact immunogen used to generate this antibody is proprietary information.

Reactivity data

{ "title": "Reactivity Data", "filters": { "stats": ["", "Species", "Dilution Info", "Notes"], "tabs": { "all-applications": {"fullname" : "All Applications", "shortname": "All Applications"}, "WB" : {"fullname" : "Western blot", "shortname":"WB"}, "IHCP" : {"fullname" : "Immunohistochemistry (Formalin/PFA-fixed paraffin-embedded sections)", "shortname":"IHC-P"}, "ICCIF" : {"fullname" : "Immunocytochemistry/ Immunofluorescence", "shortname":"ICC/IF"}, "FlowCytIntra" : {"fullname" : "Flow Cytometry (Intracellular)", "shortname":"Flow Cyt (Intra)"}, "IP" : {"fullname" : "Immunoprecipitation", "shortname":"IP"} }, "product-promise": { "all": "all", "testedAndGuaranteed": "tested", "guaranteed": "expected", "predicted": "predicted", "notRecommended": "not-recommended" } }, "values": { "Human": { "WB-species-checked": "testedAndGuaranteed", "WB-species-dilution-info": "1/1000", "WB-species-notes": "<p></p>", "IHCP-species-checked": "testedAndGuaranteed", "IHCP-species-dilution-info": "1/10000", "IHCP-species-notes": "<p></p> Perform heat-mediated antigen retrieval with Tris/EDTA buffer pH 9.0 before commencing with IHC staining protocol.", "ICCIF-species-checked": "notRecommended", "ICCIF-species-dilution-info": "", "ICCIF-species-notes": "<p></p>", "FlowCytIntra-species-checked": "notRecommended", "FlowCytIntra-species-dilution-info": "", "FlowCytIntra-species-notes": "<p></p>", "IP-species-checked": "testedAndGuaranteed", "IP-species-dilution-info": "1/30", "IP-species-notes": "<p></p>" }, "Mouse": { "WB-species-checked": "testedAndGuaranteed", "WB-species-dilution-info": "1/1000", "WB-species-notes": "<p></p>", "IHCP-species-checked": "testedAndGuaranteed", "IHCP-species-dilution-info": "1/10000", "IHCP-species-notes": "<p></p> Perform heat-mediated antigen retrieval with Tris/EDTA buffer pH 9.0 before commencing with IHC staining protocol.", "ICCIF-species-checked": "notRecommended", "ICCIF-species-dilution-info": "", "ICCIF-species-notes": "<p></p>", "FlowCytIntra-species-checked": "notRecommended", "FlowCytIntra-species-dilution-info": "", "FlowCytIntra-species-notes": "<p></p>", "IP-species-checked": "notRecommended", "IP-species-dilution-info": "1/30", "IP-species-notes": "<p></p>" }, "Rat": { "WB-species-checked": "testedAndGuaranteed", "WB-species-dilution-info": "1/1000", "WB-species-notes": "<p></p>", "IHCP-species-checked": "testedAndGuaranteed", "IHCP-species-dilution-info": "1/10000", "IHCP-species-notes": "<p></p> Perform heat-mediated antigen retrieval with Tris/EDTA buffer pH 9.0 before commencing with IHC staining protocol.", "ICCIF-species-checked": "notRecommended", "ICCIF-species-dilution-info": "", "ICCIF-species-notes": "<p></p>", "FlowCytIntra-species-checked": "notRecommended", "FlowCytIntra-species-dilution-info": "", "FlowCytIntra-species-notes": "<p></p>", "IP-species-checked": "guaranteed", "IP-species-dilution-info": "1/30", "IP-species-notes": "<p></p>" } } }

Product details

Patented technology
Our RabMAb® technology is a patented hybridoma-based technology for making rabbit monoclonal antibodies. For details on our patents, please refer to RabMAb® patents.

What are the advantages of a recombinant monoclonal antibody?
This product is a recombinant monoclonal antibody, which offers several advantages including:

  • - High batch-to-batch consistency and reproducibility
  • - Improved sensitivity and specificity
  • - Long-term security of supply
  • - Animal-free batch production

For more information, read more on recombinant antibodies.

Properties and storage information

Form
Liquid
Purification technique
Affinity purification Protein A
Storage buffer
pH: 7.2 - 7.4 Preservative: 0.01% Sodium azide Constituents: PBS, 40% Glycerol (glycerin, glycerine), 0.05% BSA
Shipped at conditions
Blue Ice
Appropriate short-term storage duration
1-2 weeks
Appropriate short-term storage conditions
+4°C
Appropriate long-term storage conditions
-20°C
Aliquoting information
Upon delivery aliquot
Storage information
Avoid freeze / thaw cycle

Supplementary information

This supplementary information is collated from multiple sources and compiled automatically.

Calcineurin B is a regulatory subunit of the enzyme calcineurin known alternatively as PPP3R1 for Calcineurin BI and PPP3R2 for Calcineurin BII. This protein weighs approximately 19 kDa. Calcineurin B is expressed in various tissues including brain muscle and immune cells. Its primary function is to bind calcium ions facilitating conformational changes that enable the activation of the catalytic subunit of calcineurin. Through these changes it maintains a connection between calcium signaling and other cellular processes.
Biological function summary

Calcineurin B plays an essential role in intracellular signaling by being part of the calcineurin complex which also includes the catalytic subunit calcineurin A. This complex is vital for the dephosphorylation of the nuclear factor of activated T-cells (NFAT) which then translocates to the nucleus to influence the expression of various genes. By controlling gene transcription calcineurin B contributes significantly to immune response muscle development and brain function.

Pathways

Calcineurin B facilitates various cellular reactions as an integral component of calcium signaling and immune response. It is significantly involved in the T-cell receptor signaling pathway where its activity helps regulate T-cell activation and differentiation. Calcineurin B also plays a role in the synaptic plasticity pathway important for learning and memory functions in the brain. It interacts closely with proteins like NFATc and calmodulin that further extend its influence across other signaling pathways.

Calcineurin B is implicated in conditions such as autoimmune diseases and cardiac hypertrophy. In autoimmune diseases disrupted calcineurin function can lead to improper T-cell activity contributing to diseases like rheumatoid arthritis. In cardiac hypertrophy altered calcineurin signaling can affect heart muscle growth and function. Calcineurin B is connected to the protein FKBP12 which is part of the immunosuppressive drug complex influencing its role in these disorders.

Product protocols

For this product, it's our understanding that no specific protocols are required. You can visit:

Target data

Regulatory subunit of calcineurin, a calcium-dependent, calmodulin stimulated protein phosphatase. Confers calcium sensitivity.
See full target information PPP3R1

Additional targets

PPP3R2

Publications (1)

Recent publications for all applications. Explore the full list and refine your search

Nature communications 16:4437 PubMed40360512

2025

FABP4 inhibition suppresses bone resorption and protects against postmenopausal osteoporosis in ovariectomized mice.

Applications

Unspecified application

Species

Unspecified reactive species

Qian Xie,Xiangfu Du,Jianhui Liang,Yanni Shen,Yufan Ling,Zhengji Huang,Zekai Ke,Tai Li,Bing Song,Tailin Wu,Yan Wang,Huiren Tao
View all publications

Product promise

We are committed to supporting your work with high-quality reagents, and we're here for you every step of the way. In the unlikely event that one of our products does not perform as expected, you're protected by our Product Promise.
For full details, please see our Terms & Conditions

Please note: All products are 'FOR RESEARCH USE ONLY. NOT FOR USE IN DIAGNOSTIC OR THERAPEUTIC PROCEDURES'.

For licensing inquiries, please contact partnerships@abcam.com