JavaScript is disabled in your browser. Please enable JavaScript to view this website.
AB8553

Anti-Calcitonin antibody

5

(2 Reviews)

|

(2 Publications)

Rabbit Polyclonal Calcitonin antibody. Suitable for IHC-P, WB, sELISA and reacts with Human samples. Cited in 2 publications.

View Alternative Names

CALC1, CALCA, Calcitonin

3 Images
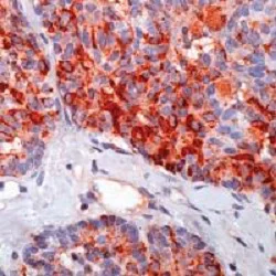
Immunohistochemistry (Formalin/PFA-fixed paraffin-embedded sections) - Anti-Calcitonin antibody (AB8553)
  • IHC-P

Supplier Data

Immunohistochemistry (Formalin/PFA-fixed paraffin-embedded sections) - Anti-Calcitonin antibody (AB8553)

Immunohistochemical analysis of human thyroid staining with ab8553.

Sandwich ELISA - Anti-Calcitonin antibody (AB8553)
  • sELISA

Unknown

Sandwich ELISA - Anti-Calcitonin antibody (AB8553)

Standard Curve for Calcitonin dilution range 1pg/ml to 1ug/ml using Capture Antibody Mouse monoclonal [16B5] to Calcitonin (ab11493) at 5ug/ml and Detector Antibody Rabbit polyclonal to Calcitonin (ab8553) at 0.5ug/ml

Western blot - Anti-Calcitonin antibody (AB8553)
  • WB

Unknown

Western blot - Anti-Calcitonin antibody (AB8553)

All lanes:

Western blot - Anti-Calcitonin antibody (ab8553) at 1/25 dilution

All lanes:

Human thyroid lysate.

Predicted band size: 15 kDa

Observed band size: 14 kDa,40 kDa

false

Key facts

Host species

Rabbit

Clonality

Polyclonal

Isotype

IgG

Light chain type

unknown

Carrier free

No

Reacts with

Human

Applications

sELISA, IHC-P, WB

applications

Immunogen

The exact immunogen used to generate this antibody is proprietary information.

Reactivity data

{ "title": "Reactivity Data", "filters": { "stats": ["", "Species", "Dilution Info", "Notes"], "tabs": { "all-applications": {"fullname" : "All Applications", "shortname": "All Applications"}, "IHCP" : {"fullname" : "Immunohistochemistry (Formalin/PFA-fixed paraffin-embedded sections)", "shortname":"IHC-P"}, "WB" : {"fullname" : "Western blot", "shortname":"WB"}, "sELISA" : {"fullname" : "Sandwich ELISA", "shortname":"sELISA"} }, "product-promise": { "all": "all", "testedAndGuaranteed": "tested", "guaranteed": "expected", "predicted": "predicted", "notRecommended": "not-recommended" } }, "values": { "Human": { "IHCP-species-checked": "testedAndGuaranteed", "IHCP-species-dilution-info": "1/300", "IHCP-species-notes": "<p></p>", "WB-species-checked": "testedAndGuaranteed", "WB-species-dilution-info": "1/200 - 1/500", "WB-species-notes": "<p></p>", "sELISA-species-checked": "testedAndGuaranteed", "sELISA-species-dilution-info": "", "sELISA-species-notes": "<p>For sandwich ELISA, use this antibody as Detection at 0.5μg/ml with <a href='/en-us/products/primary-antibodies/calcitonin-antibody-16b5-ab11493'>ab11493</a> as Capture.</p>" }, "Mouse": { "IHCP-species-checked": "predicted", "IHCP-species-dilution-info": "", "IHCP-species-notes": "", "WB-species-checked": "predicted", "WB-species-dilution-info": "", "WB-species-notes": "", "sELISA-species-checked": "predicted", "sELISA-species-dilution-info": "", "sELISA-species-notes": "" }, "Rat": { "IHCP-species-checked": "predicted", "IHCP-species-dilution-info": "", "IHCP-species-notes": "", "WB-species-checked": "predicted", "WB-species-dilution-info": "", "WB-species-notes": "", "sELISA-species-checked": "predicted", "sELISA-species-dilution-info": "", "sELISA-species-notes": "" }, "Dog": { "IHCP-species-checked": "predicted", "IHCP-species-dilution-info": "", "IHCP-species-notes": "", "WB-species-checked": "predicted", "WB-species-dilution-info": "", "WB-species-notes": "", "sELISA-species-checked": "predicted", "sELISA-species-dilution-info": "", "sELISA-species-notes": "" }, "Horse": { "IHCP-species-checked": "predicted", "IHCP-species-dilution-info": "", "IHCP-species-notes": "", "WB-species-checked": "predicted", "WB-species-dilution-info": "", "WB-species-notes": "", "sELISA-species-checked": "predicted", "sELISA-species-dilution-info": "", "sELISA-species-notes": "" }, "Pig": { "IHCP-species-checked": "predicted", "IHCP-species-dilution-info": "", "IHCP-species-notes": "", "WB-species-checked": "predicted", "WB-species-dilution-info": "", "WB-species-notes": "", "sELISA-species-checked": "predicted", "sELISA-species-dilution-info": "", "sELISA-species-notes": "" }, "Sheep": { "IHCP-species-checked": "predicted", "IHCP-species-dilution-info": "", "IHCP-species-notes": "", "WB-species-checked": "predicted", "WB-species-dilution-info": "", "WB-species-notes": "", "sELISA-species-checked": "predicted", "sELISA-species-dilution-info": "", "sELISA-species-notes": "" } } }

Product details

Prolonged fixation in buffered formalin can destroy the epitope

Properties and storage information

Form
Liquid
Purification technique
Affinity purification Immunogen
Storage buffer
pH: 7.6 Preservative: 0.1% Sodium azide Constituents: PBS, 1% BSA
Shipped at conditions
Blue Ice
Appropriate short-term storage conditions
+4°C
Appropriate long-term storage conditions
-20°C
Aliquoting information
Upon delivery aliquot
Storage information
Avoid freeze / thaw cycle

Supplementary information

This supplementary information is collated from multiple sources and compiled automatically.

Calcitonin also known as thyrocalcitonin is a peptide hormone with a molecular mass of about 3.4 kDa. It consists of 32 amino acids and is primarily synthesized in parafollicular cells or C cells of the thyroid gland. This hormone regulates calcium and phosphate homeostasis in the body. It reduces blood calcium levels by inhibiting osteoclast activity in the bones and decreasing reabsorption in the kidneys leading to more calcium excretion. Calcitonin also interacts with its receptor a G protein-coupled receptor found in tissues like bone kidney and brain.
Biological function summary

This hormone plays a significant role in maintaining calcium levels by balancing the actions of parathyroid hormone (PTH). Calcitonin works independently but interacts with the broader system managing bone remodeling through an intricate network. The presence of calcitonin in specialized receptor complexes allows it to exert its effects efficiently in target tissues making it an important player in calcium and phosphorus metabolism.

Pathways

Calcitonin acts within the calcium signaling pathway and the bone resorption pathway. Through these pathways calcitonin works alongside other proteins such as parathyroid hormone (PTH) and calcitonin gene-related peptide (CGRP) maintaining skeletal integrity. It modulates the activity of osteoclasts ensuring that bone resorption activities are counterbalanced by bone formation and influences intracellular calcium concentration by binding to its receptor on target cells.

Calcitonin is linked to conditions such as osteoporosis and medullary thyroid carcinoma. Osteoporosis characterized by decreased bone density and increased fracture risk involves dysregulated calcium and phosphate balance. Proteins like estrogen and growth factors along with calcitonin influence bone health. Medullary thyroid carcinoma a type of thyroid cancer arising from C cells affects calcitonin levels with this hormone serving as a biomarker for diagnosing and monitoring treatment effectiveness. Calcitonin's connection with these diseases highlights its diagnostic and therapeutic potential.

Product protocols

For this product, it's our understanding that no specific protocols are required. You can visit:

Target data

Calcitonin. Calcitonin is a peptide hormone that causes a rapid but short-lived drop in the level of calcium and phosphate in blood by promoting the incorporation of those ions in the bones. Calcitonin function is mediated by the calcitonin receptor/CALCR and the CALCR-RAMP2 (AMYR2) receptor complex (PubMed : 35324283).. Katacalcin. Katacalcin is a potent plasma calcium-lowering peptide.
See full target information CALCA

Publications (2)

Recent publications for all applications. Explore the full list and refine your search

Experimental and therapeutic medicine 29:28 PubMed39720672

2024

Extracellular acidification stimulates OGR1 to modify osteoclast differentiation and activity through the Ca2+‑calcineurin‑NFATc1 pathway.

Applications

Unspecified application

Species

Unspecified reactive species

Feng-Bo Li,Su-Qing Bao,Xiao-Lei Sun,Jian-Xiong Ma,Xin-Long Ma

The Journal of biological chemistry 284:4246-54 PubMed19074141

2008

alpha2-Macroglobulin and haptoglobin suppress amyloid formation by interacting with prefibrillar protein species.

Applications

WB

Species

Human

Justin J Yerbury,Janet R Kumita,Sarah Meehan,Christopher M Dobson,Mark R Wilson
View all publications

Product promise

We are committed to supporting your work with high-quality reagents, and we're here for you every step of the way. In the unlikely event that one of our products does not perform as expected, you're protected by our Product Promise.
For full details, please see our Terms & Conditions

Please note: All products are 'FOR RESEARCH USE ONLY. NOT FOR USE IN DIAGNOSTIC OR THERAPEUTIC PROCEDURES'.

For licensing inquiries, please contact partnerships@abcam.com