JavaScript is disabled in your browser. Please enable JavaScript to view this website.
AB240922

Anti-Calcitonin antibody [SP17] - BSA and Azide free

Be the first to review this product! Submit a review

|

(0 Publication)

Rabbit Recombinant Monoclonal Calcitonin antibody. Carrier free. Suitable for IHC-P, ICC/IF and reacts with Human samples.

View Alternative Names

CALC1, CALCA, Calcitonin

3 Images
Immunohistochemistry (Formalin/PFA-fixed paraffin-embedded sections) - Anti-Calcitonin antibody [SP17] - BSA and Azide free (AB240922)
  • IHC-P

Supplier Data

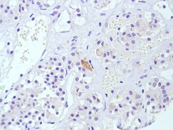
Immunohistochemistry (Formalin/PFA-fixed paraffin-embedded sections) - Anti-Calcitonin antibody [SP17] - BSA and Azide free (AB240922)

Formalin-fixed, paraffin-embedded human lung adenocarcinoma tissue stained for Calcitonin using ab16697 at 1/100 dilution in immunohistochemical analysis.

This data was developed using the same antibody clone in a different buffer formulation containing PBS, BSA and sodium azide (ab16697).

Immunohistochemistry (Formalin/PFA-fixed paraffin-embedded sections) - Anti-Calcitonin antibody [SP17] - BSA and Azide free (AB240922)
  • IHC-P

Supplier Data

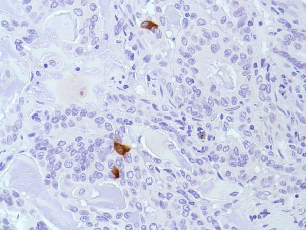
Immunohistochemistry (Formalin/PFA-fixed paraffin-embedded sections) - Anti-Calcitonin antibody [SP17] - BSA and Azide free (AB240922)

Formalin-fixed, paraffin-embedded human thyroid medullary carcinoma tissue stained for Calcitonin using ab16697 at 1/100 dilution in immunohistochemical analysis.

This data was developed using the same antibody clone in a different buffer formulation containing PBS, BSA and sodium azide (ab16697).

Immunohistochemistry (Formalin/PFA-fixed paraffin-embedded sections) - Anti-Calcitonin antibody [SP17] - BSA and Azide free (AB240922)
  • IHC-P

Supplier Data

Immunohistochemistry (Formalin/PFA-fixed paraffin-embedded sections) - Anti-Calcitonin antibody [SP17] - BSA and Azide free (AB240922)

Formalin-fixed, paraffin-embedded human pituitary tissue stained for Calcitonin using ab16697 at 1/100 dilution in immunohistochemical analysis.

This data was developed using the same antibody clone in a different buffer formulation containing PBS, BSA and sodium azide (ab16697).

Key facts

Host species

Rabbit

Clonality

Monoclonal

Clone number

SP17

Isotype

IgG

Carrier free

Yes

Reacts with

Human

Applications

ICC/IF, IHC-P

applications

Immunogen

The exact immunogen used to generate this antibody is proprietary information.

Reactivity data

{ "title": "Reactivity Data", "filters": { "stats": ["", "Species", "Dilution Info", "Notes"], "tabs": { "all-applications": {"fullname" : "All Applications", "shortname": "All Applications"}, "IHCP" : {"fullname" : "Immunohistochemistry (Formalin/PFA-fixed paraffin-embedded sections)", "shortname":"IHC-P"}, "ICCIF" : {"fullname" : "Immunocytochemistry/ Immunofluorescence", "shortname":"ICC/IF"} }, "product-promise": { "all": "all", "testedAndGuaranteed": "tested", "guaranteed": "expected", "predicted": "predicted", "notRecommended": "not-recommended" } }, "values": { "Human": { "IHCP-species-checked": "testedAndGuaranteed", "IHCP-species-dilution-info": "", "IHCP-species-notes": "<p></p>", "ICCIF-species-checked": "testedAndGuaranteed", "ICCIF-species-dilution-info": "", "ICCIF-species-notes": "<p></p>" }, "Mouse": { "IHCP-species-checked": "predicted", "IHCP-species-dilution-info": "", "IHCP-species-notes": "", "ICCIF-species-checked": "predicted", "ICCIF-species-dilution-info": "", "ICCIF-species-notes": "" }, "Rat": { "IHCP-species-checked": "predicted", "IHCP-species-dilution-info": "", "IHCP-species-notes": "", "ICCIF-species-checked": "predicted", "ICCIF-species-dilution-info": "", "ICCIF-species-notes": "" } } }

Product details

ab240922 is the carrier-free version of ab16697.

What are the advantages of a recombinant monoclonal antibody?
This product is a recombinant monoclonal antibody, which offers several advantages including:

  • - High batch-to-batch consistency and reproducibility
  • - Improved sensitivity and specificity
  • - Long-term security of supply
  • - Animal-free batch production

For more information, read more on recombinant antibodies.

Conjugation ready
Our carrier-free antibodies are typically supplied in a PBS-only formulation, purified and free of BSA, sodium azide and glycerol. This conjugation-ready format is designed for use with fluorochromes, metal isotopes, oligonucleotides, and enzymes, which makes them ideal for antibody labelling, functional and cell-based assays, flow-based assays (e.g. mass cytometry) and Multiplex Imaging applications.

Use our conjugation kits for antibody conjugates that are ready-to-use in as little as 20 minutes with 1 minute hands-on-time and 100% antibody recovery: available for fluorescent dyes, HRP, biotin and gold.

Compatibility
This product is compatible with the Maxpar® Antibody Labeling Kit from Fluidigm, without the need for antibody preparation. Maxpar® is a trademark of Fluidigm Canada Inc.

Properties and storage information

Form
Liquid
Purification technique
Affinity purification
Storage buffer
pH: 7.2 - 7.4 Constituents: PBS
Shipped at conditions
Blue Ice
Appropriate short-term storage duration
1-2 weeks
Appropriate short-term storage conditions
+4°C
Appropriate long-term storage conditions
+4°C
Aliquoting information
Upon delivery aliquot
Storage information
Avoid freeze / thaw cycle

Supplementary information

This supplementary information is collated from multiple sources and compiled automatically.

Calcitonin also known as thyrocalcitonin is a peptide hormone with a molecular mass of about 3.4 kDa. It consists of 32 amino acids and is primarily synthesized in parafollicular cells or C cells of the thyroid gland. This hormone regulates calcium and phosphate homeostasis in the body. It reduces blood calcium levels by inhibiting osteoclast activity in the bones and decreasing reabsorption in the kidneys leading to more calcium excretion. Calcitonin also interacts with its receptor a G protein-coupled receptor found in tissues like bone kidney and brain.
Biological function summary

This hormone plays a significant role in maintaining calcium levels by balancing the actions of parathyroid hormone (PTH). Calcitonin works independently but interacts with the broader system managing bone remodeling through an intricate network. The presence of calcitonin in specialized receptor complexes allows it to exert its effects efficiently in target tissues making it an important player in calcium and phosphorus metabolism.

Pathways

Calcitonin acts within the calcium signaling pathway and the bone resorption pathway. Through these pathways calcitonin works alongside other proteins such as parathyroid hormone (PTH) and calcitonin gene-related peptide (CGRP) maintaining skeletal integrity. It modulates the activity of osteoclasts ensuring that bone resorption activities are counterbalanced by bone formation and influences intracellular calcium concentration by binding to its receptor on target cells.

Calcitonin is linked to conditions such as osteoporosis and medullary thyroid carcinoma. Osteoporosis characterized by decreased bone density and increased fracture risk involves dysregulated calcium and phosphate balance. Proteins like estrogen and growth factors along with calcitonin influence bone health. Medullary thyroid carcinoma a type of thyroid cancer arising from C cells affects calcitonin levels with this hormone serving as a biomarker for diagnosing and monitoring treatment effectiveness. Calcitonin's connection with these diseases highlights its diagnostic and therapeutic potential.

Product protocols

For this product, it's our understanding that no specific protocols are required. You can visit:

Target data

Calcitonin. Calcitonin is a peptide hormone that causes a rapid but short-lived drop in the level of calcium and phosphate in blood by promoting the incorporation of those ions in the bones. Calcitonin function is mediated by the calcitonin receptor/CALCR and the CALCR-RAMP2 (AMYR2) receptor complex (PubMed : 35324283).. Katacalcin. Katacalcin is a potent plasma calcium-lowering peptide.
See full target information CALCA

Product promise

We are committed to supporting your work with high-quality reagents, and we're here for you every step of the way. In the unlikely event that one of our products does not perform as expected, you're protected by our Product Promise.
For full details, please see our Terms & Conditions

Please note: All products are 'FOR RESEARCH USE ONLY. NOT FOR USE IN DIAGNOSTIC OR THERAPEUTIC PROCEDURES'.

For licensing inquiries, please contact partnerships@abcam.com