JavaScript is disabled in your browser. Please enable JavaScript to view this website.
AB313763

Anti-Calcium channel L type DHPR alpha 2 subunit/CACNA2D1 antibody [EPR23267-59]

  • BOND RX™ Validated
  • 20ul selling size
  • RabMAb
  • KO Validated
  • Recombinant
  • What is this?

Be the first to review this product! Submit a review

|

(0 Publication)

Knockout Tested Rabbit Recombinant Monoclonal Calcium channel L type DHPR alpha 2 subunit/CACNA2D1 antibody. Suitable for IHC-P, WB and reacts with Human, Mouse, Rat samples.

View Alternative Names

Cacna2, Cacna2d1, Voltage-dependent calcium channel subunit alpha-2/delta-1, Voltage-gated calcium channel subunit alpha-2/delta-1

9 Images
Immunohistochemistry (Formalin/PFA-fixed paraffin-embedded sections) - Anti-Calcium channel L type DHPR alpha 2 subunit/CACNA2D1 antibody [EPR23267-59] (AB313763)
  • IHC-P

Supplier Data

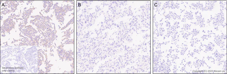
Immunohistochemistry (Formalin/PFA-fixed paraffin-embedded sections) - Anti-Calcium channel L type DHPR alpha 2 subunit/CACNA2D1 antibody [EPR23267-59] (AB313763)

Immunohistochemical analysis of paraffin-embedded (A) Wild-type Hela ( tissue labeling Calcium channel L type DHPR alpha 2 subunit/CACNA2D1 with ab313763 at 1/500 (1.046 µg/ml) followed by a ready to use LeicaDS9800 (Bond™ Polymer Refine Detection). Positive staining on (A) Wild-type Hela cell pellet; no staining on (B) CACNA2D1 knockout HeLa cell pellet and (C) THP-1 cell pellet. The section was incubated with ab313763 for 30 mins at room temperature. The immunostaining was performed on a Leica Biosystems BOND® RX instrument. Incubate slides with 3% Hydrogen Peroxide for 10 mins at room temperature after secondary antibody incubation to reduce the background. Counterstained with Hematoxylin. Secondary antibody only control : Secondary antibody is a ready to use LeicaDS9800 (Bond™ Polymer Refine Detection).Heat mediated antigen retrieval was performed with Tris-EDTA buffer (pH 9.0, Epitope Retrieval Solution2) for 20 mins

Immunohistochemistry (Formalin/PFA-fixed paraffin-embedded sections) - Anti-Calcium channel L type DHPR alpha 2 subunit/CACNA2D1 antibody [EPR23267-59] (AB313763)
  • IHC-P

Supplier Data

Immunohistochemistry (Formalin/PFA-fixed paraffin-embedded sections) - Anti-Calcium channel L type DHPR alpha 2 subunit/CACNA2D1 antibody [EPR23267-59] (AB313763)

Immunohistochemical analysis of paraffin-embedded Human skeletal muscle tissue labeling Calcium channel L type DHPR alpha 2 subunit/CACNA2D1 with ab313763 at 1/4000 (0.131 µg/ml) followed by a ready to use LeicaDS9800 (Bond™ Polymer Refine Detection). Positive staining on human skeletal muscle. The section was incubated with ab313763 for 30 mins at room temperature. The immunostaining was performed on a Leica Biosystems BOND® RX instrument. Incubate slides with 3% Hydrogen Peroxide for 10 mins at room temperature after secondary antibody incubation to reduce the background. Counterstained with Hematoxylin. Secondary antibody only control : Secondary antibody is a ready to use LeicaDS9800 (Bond™ Polymer Refine Detection).Heat mediated antigen retrieval was performed with Tris-EDTA buffer (pH 9.0, Epitope Retrieval Solution2) for 20 mins

Immunohistochemistry (Formalin/PFA-fixed paraffin-embedded sections) - Anti-Calcium channel L type DHPR alpha 2 subunit/CACNA2D1 antibody [EPR23267-59] (AB313763)
  • IHC-P

Supplier Data

Immunohistochemistry (Formalin/PFA-fixed paraffin-embedded sections) - Anti-Calcium channel L type DHPR alpha 2 subunit/CACNA2D1 antibody [EPR23267-59] (AB313763)

Immunohistochemical analysis of paraffin-embedded Human cardiac muscle tissue labeling Calcium channel L type DHPR alpha 2 subunit/CACNA2D1 with ab313763 at 1/4000 (0.131 µg/ml) followed by a ready to use LeicaDS9800 (Bond™ Polymer Refine Detection). Positive staining on human cardiac muscle. The section was incubated with ab313763 for 30 mins at room temperature. The immunostaining was performed on a Leica Biosystems BOND® RX instrument. Incubate slides with 3% Hydrogen Peroxide for 10 mins at room temperature after secondary antibody incubation to reduce the background. Counterstained with Hematoxylin. Secondary antibody only control : Secondary antibody is a ready to use LeicaDS9800 (Bond™ Polymer Refine Detection).Heat mediated antigen retrieval was performed with Tris-EDTA buffer (pH 9.0, Epitope Retrieval Solution2) for 20 mins

Immunohistochemistry (Formalin/PFA-fixed paraffin-embedded sections) - Anti-Calcium channel L type DHPR alpha 2 subunit/CACNA2D1 antibody [EPR23267-59] (AB313763)
  • IHC-P

Supplier Data

Immunohistochemistry (Formalin/PFA-fixed paraffin-embedded sections) - Anti-Calcium channel L type DHPR alpha 2 subunit/CACNA2D1 antibody [EPR23267-59] (AB313763)

Immunohistochemical analysis of paraffin-embedded Mouse skeletal muscle tissue labeling Calcium channel L type DHPR alpha 2 subunit/CACNA2D1 with ab313763 at 1/4000 (0.131 µg/ml) followed by a ready to use LeicaDS9800 (Bond™ Polymer Refine Detection). Positive staining on mouse skeletal muscle (PMID : 18063658). The section was incubated with ab313763 for 30 mins at room temperature. The immunostaining was performed on a Leica Biosystems BOND® RX instrument. Incubate slides with 3% Hydrogen Peroxide for 10 mins at room temperature after secondary antibody incubation to reduce the background. Counterstained with Hematoxylin. Secondary antibody only control : Secondary antibody is a ready to use LeicaDS9800 (Bond™ Polymer Refine Detection).Heat mediated antigen retrieval was performed with Tris-EDTA buffer (pH 9.0, Epitope Retrieval Solution2) for 20 mins

Immunohistochemistry (Formalin/PFA-fixed paraffin-embedded sections) - Anti-Calcium channel L type DHPR alpha 2 subunit/CACNA2D1 antibody [EPR23267-59] (AB313763)
  • IHC-P

Supplier Data

Immunohistochemistry (Formalin/PFA-fixed paraffin-embedded sections) - Anti-Calcium channel L type DHPR alpha 2 subunit/CACNA2D1 antibody [EPR23267-59] (AB313763)

Immunohistochemical analysis of paraffin-embedded Rat skeletal muscle tissue labeling Calcium channel L type DHPR alpha 2 subunit/CACNA2D1 with ab313763 at 1/4000 (0.131 µg/ml) followed by a ready to use LeicaDS9800 (Bond™ Polymer Refine Detection). Positive staining on rat skeletal muscle. The section was incubated with ab313763 for 30 mins at room temperature. The immunostaining was performed on a Leica Biosystems BOND® RX instrument. Incubate slides with 3% Hydrogen Peroxide for 10 mins at room temperature after secondary antibody incubation to reduce the background. Counterstained with Hematoxylin. Secondary antibody only control : Secondary antibody is a ready to use LeicaDS9800 (Bond™ Polymer Refine Detection).Heat mediated antigen retrieval was performed with Tris-EDTA buffer (pH 9.0, Epitope Retrieval Solution2) for 20 mins

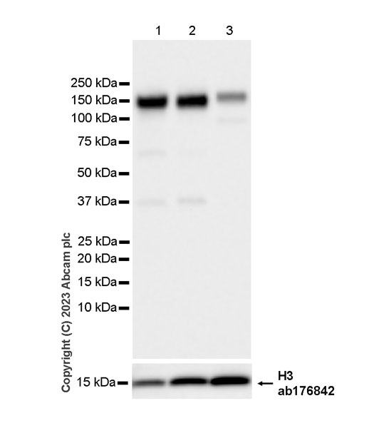
Western blot - Anti-Calcium channel L type DHPR alpha 2 subunit/CACNA2D1 antibody [EPR23267-59] (AB313763)
  • WB

Supplier Data

Western blot - Anti-Calcium channel L type DHPR alpha 2 subunit/CACNA2D1 antibody [EPR23267-59] (AB313763)

Blocking and diluting buffer and concentration : 5% NFDM/TBST Low expression : lung (PMID : 8955374) In Western blot, Anti-Histone H3 antibody [EPR16987] - Nuclear Marker and ChIP Grade (ab176842) staining at 1/100000 dilution. Exposure time : 15 seconds

All lanes:

Western blot - Anti-Calcium channel L type DHPR alpha 2 subunit/CACNA2D1 antibody [EPR23267-59] (ab313763) at 1/1000 dilution

Lane 1:

Human skeletal muscle tissue lysate at 20 µg

Lane 2:

Human lung tissue lysate at 20 µg

Secondary

All lanes:

Western blot - Goat Anti-Rabbit IgG H&L (HRP) (<a href='/en-us/products/secondary-antibodies/goat-rabbit-igg-h-l-hrp-ab97051'>ab97051</a>) at 1/100000 dilution

Observed band size: 150 kDa

false

Exposure time: 15s

Western blot - Anti-Calcium channel L type DHPR alpha 2 subunit/CACNA2D1 antibody [EPR23267-59] (AB313763)
  • WB

Supplier Data

Western blot - Anti-Calcium channel L type DHPR alpha 2 subunit/CACNA2D1 antibody [EPR23267-59] (AB313763)

Blocking and diluting buffer and concentration : 5% NFDM/TBST Negative control : THP-1 Low expression : Neuro-2a(PMID : 30404013). Performed under reducing conditions. In Western blot, ab313763 was shown to bind specifically to CACNA2D1. Target of interest was observed at 150 kDa in wild-type HeLa cell lysates (lane 1, wild-type cell line ab255928) with no signal observed at this size in CACNA2D1 knockout cell line (lane 2, knockout cell line ab265080/ knockout cell lysate ab257374). In Western blot, Anti-GAPDH antibody [EPR16891] - Loading Control (ab181602) staining at 1/200000 dilution. Exposure time : 37 seconds

All lanes:

Western blot - Anti-Calcium channel L type DHPR alpha 2 subunit/CACNA2D1 antibody [EPR23267-59] (ab313763) at 1/1000 dilution

Lane 1:

Wild-type HeLa (human cervical adenocarcinoma epithelial cell) whole cell lysate at 20 µg

Lane 2:

CACNA2D1 knockout HeLa whole cell lysate at 20 µg

Lane 3:

SH-SY5Y (human neuroblastoma epithelial cell) whole cell lysate at 20 µg

Lane 4:

HeLa (human cervical adenocarcinoma epithelial cell) whole cell lysate at 20 µg

Lane 5:

THP-1 (human monocytic leukemia monocyte) whole cell lysate at 20 µg

Lane 6:

C2C12 (mouse myoblast) whole cell lysate at 20 µg

Lane 7:

Neuro-2a (mouse neuroblastoma neuroblast) whole cell lysate at 20 µg

Lane 8:

C6 (rat glial tumor glial cell) whole cell lysate at 20 µg

Secondary

All lanes:

Western blot - Goat Anti-Rabbit IgG H&L (HRP) (<a href='/en-us/products/secondary-antibodies/goat-rabbit-igg-h-l-hrp-ab97051'>ab97051</a>) at 1/100000 dilution

Observed band size: 150 kDa

false

Exposure time: 37s

Western blot - Anti-Calcium channel L type DHPR alpha 2 subunit/CACNA2D1 antibody [EPR23267-59] (AB313763)
  • WB

Supplier Data

Western blot - Anti-Calcium channel L type DHPR alpha 2 subunit/CACNA2D1 antibody [EPR23267-59] (AB313763)

Blocking and diluting buffer and concentration : 5% NFDM/TBST Low expression : lung (PMID : 8955374) In Western blot, Anti-Histone H3 antibody [EPR16987] - Nuclear Marker and ChIP Grade (ab176842) staining at 1/100000 dilution. Exposure time : 15 seconds

All lanes:

Western blot - Anti-Calcium channel L type DHPR alpha 2 subunit/CACNA2D1 antibody [EPR23267-59] (ab313763) at 1/1000 dilution

Lane 1:

Mouse skeletal muscle tissue lysate at 20 µg

Lane 2:

Mouse brain tissue lysate at 20 µg

Lane 3:

Mouse lung tissue lysate at 20 µg

Secondary

All lanes:

Western blot - Goat Anti-Rabbit IgG H&L (HRP) (<a href='/en-us/products/secondary-antibodies/goat-rabbit-igg-h-l-hrp-ab97051'>ab97051</a>) at 1/100000 dilution

Observed band size: 150 kDa

false

Exposure time: 15s

Western blot - Anti-Calcium channel L type DHPR alpha 2 subunit/CACNA2D1 antibody [EPR23267-59] (AB313763)
  • WB

Supplier Data

Western blot - Anti-Calcium channel L type DHPR alpha 2 subunit/CACNA2D1 antibody [EPR23267-59] (AB313763)

Blocking and diluting buffer and concentration : 5% NFDM/TBST Low expression : NR8383 In Western blot, Anti-GAPDH antibody [EPR16891] - Loading Control (ab181602) staining at 1/200000 dilution. Exposure time : 15 seconds

All lanes:

Western blot - Anti-Calcium channel L type DHPR alpha 2 subunit/CACNA2D1 antibody [EPR23267-59] (ab313763) at 1/1000 dilution

Lane 1:

Rat brain tissue lysate at 20 µg

Lane 2:

GH3(rat pituitary epithelial cell) whole cell lysate at 20 µg

Lane 3:

NR8383 (rat lung macrophage (alveolar)) whole cell lysate  at 20 µg

Secondary

All lanes:

Western blot - Goat Anti-Rabbit IgG H&L (HRP) (<a href='/en-us/products/secondary-antibodies/goat-rabbit-igg-h-l-hrp-ab97051'>ab97051</a>) at 1/100000 dilution

Observed band size: 150 kDa

false

Exposure time: 15s

  • Carrier free

    Anti-Calcium channel L type DHPR alpha 2 subunit/CACNA2D1 antibody [EPR23267-59] -BSA and Azide free

Key facts

Host species

Rabbit

Clonality

Monoclonal

Clone number

EPR23267-59

Isotype

IgG

Carrier free

No

Reacts with

Human, Mouse, Rat

Applications

IHC-P, WB

applications

Immunogen

The exact immunogen used to generate this antibody is proprietary information.

Reactivity data

{ "title": "Reactivity Data", "filters": { "stats": ["", "Species", "Dilution Info", "Notes"], "tabs": { "all-applications": {"fullname" : "All Applications", "shortname": "All Applications"}, "IHCP" : {"fullname" : "Immunohistochemistry (Formalin/PFA-fixed paraffin-embedded sections)", "shortname":"IHC-P"}, "WB" : {"fullname" : "Western blot", "shortname":"WB"}, "ICCIF" : {"fullname" : "Immunocytochemistry/ Immunofluorescence", "shortname":"ICC/IF"}, "IP" : {"fullname" : "Immunoprecipitation", "shortname":"IP"}, "FlowCyt" : {"fullname" : "Flow Cytometry", "shortname":"Flow Cyt"} }, "product-promise": { "all": "all", "testedAndGuaranteed": "tested", "guaranteed": "expected", "predicted": "predicted", "notRecommended": "not-recommended" } }, "values": { "Human": { "IHCP-species-checked": "testedAndGuaranteed", "IHCP-species-dilution-info": "1/500 - 1/4000", "IHCP-species-notes": "<p></p>", "WB-species-checked": "testedAndGuaranteed", "WB-species-dilution-info": "1/1000", "WB-species-notes": "<p></p>", "ICCIF-species-checked": "notRecommended", "ICCIF-species-dilution-info": "", "ICCIF-species-notes": "<p></p>", "IP-species-checked": "notRecommended", "IP-species-dilution-info": "", "IP-species-notes": "<p></p>", "FlowCyt-species-checked": "notRecommended", "FlowCyt-species-dilution-info": "", "FlowCyt-species-notes": "<p></p>" }, "Mouse": { "IHCP-species-checked": "testedAndGuaranteed", "IHCP-species-dilution-info": "1/500 - 1/4000", "IHCP-species-notes": "<p></p>", "WB-species-checked": "testedAndGuaranteed", "WB-species-dilution-info": "1/1000", "WB-species-notes": "<p></p>", "ICCIF-species-checked": "notRecommended", "ICCIF-species-dilution-info": "", "ICCIF-species-notes": "<p></p>", "IP-species-checked": "notRecommended", "IP-species-dilution-info": "", "IP-species-notes": "", "FlowCyt-species-checked": "notRecommended", "FlowCyt-species-dilution-info": "", "FlowCyt-species-notes": "" }, "Rat": { "IHCP-species-checked": "testedAndGuaranteed", "IHCP-species-dilution-info": "1/500 - 1/4000", "IHCP-species-notes": "<p></p>", "WB-species-checked": "testedAndGuaranteed", "WB-species-dilution-info": "1/1000", "WB-species-notes": "<p></p>", "ICCIF-species-checked": "notRecommended", "ICCIF-species-dilution-info": "", "ICCIF-species-notes": "<p></p>", "IP-species-checked": "notRecommended", "IP-species-dilution-info": "", "IP-species-notes": "", "FlowCyt-species-checked": "notRecommended", "FlowCyt-species-dilution-info": "", "FlowCyt-species-notes": "" } } }

Product details

Patented technology
Our RabMAb® technology is a patented hybridoma-based technology for making rabbit monoclonal antibodies. For details on our patents, please refer to RabMAb® patents.

What are the advantages of a recombinant monoclonal antibody?
This product is a recombinant monoclonal antibody, which offers several advantages including:

  • - High batch-to-batch consistency and reproducibility
  • - Improved sensitivity and specificity
  • - Long-term security of supply
  • - Animal-free batch production

For more information, read more on recombinant antibodies.

Properties and storage information

Form
Liquid
Purification technique
Affinity purification Protein A
Storage buffer
pH: 7.2 - 7.4 Preservative: 0.01% Sodium azide Constituents: PBS, 40% Glycerol (glycerin, glycerine), 0.05% BSA
Shipped at conditions
Blue Ice
Appropriate short-term storage duration
1-2 weeks
Appropriate short-term storage conditions
+4°C
Appropriate long-term storage conditions
-20°C
Aliquoting information
Upon delivery aliquot
Storage information
Avoid freeze / thaw cycle

Supplementary information

This supplementary information is collated from multiple sources and compiled automatically.

The Calcium channel L type DHPR alpha 2 subunit also known as CACNA2D1 or alpha-2-delta plays a significant role in cellular calcium regulation. This subunit typically part of the voltage-gated calcium channel complex allows calcium ions to enter the cells following electrical stimuli. With a mass of about 150 kDa CACNA2D1 expresses predominantly in skeletal and cardiac muscle tissues and the central nervous system. Its presence across different tissues suggests various physiological roles linking its mechanical function to electrical signaling and muscle contraction.
Biological function summary

CACNA2D1 aids in modulating neurotransmitter release and excitation-contraction coupling. This protein often integrates into the larger voltage-gated calcium channel complex working in concert with other subunits to optimize calcium flow. This particular function supports critical processes in muscle cells and neurons integrating signals in response to electrical impulses. The alpha-2-delta ligand poses significance here as well often used to modify the channel's activity and study its role in cellular communication.

Pathways

CACNA2D1 actively participates in electrical signaling and muscle contraction pathways. It contributes to the excitation-contraction coupling pathway in muscle cells aligning closely with proteins like the ryanodine receptor ensuring efficient calcium-induced calcium release. Its action also extends to the neurotransmitter release pathway where it associates with synaptic proteins regulating neurotransmission. The function within these pathways underlines its importance in both muscle and neural activities.

CACNA2D1 associates with conditions such as epilepsy and neuropathic pain. The dysfunction in its channel activity can lead to altered calcium flow contributing to these disorders. The alpha-2-delta ligand such as the gabapentin chemical structure plays a role here often targeting the channel to mitigate symptoms. Gabapentin's influence highlights the therapeutic potential of targeting CACNA2D1 in disease management providing critical insights into neuromodulation treatments.

Product protocols

For this product, it's our understanding that no specific protocols are required. You can visit:

Target data

The alpha-2/delta subunit of voltage-dependent calcium channels regulates calcium current density and activation/inactivation kinetics of the calcium channel (By similarity). Plays an important role in excitation-contraction coupling (By similarity).
See full target information Cacna2d1

Product promise

We are committed to supporting your work with high-quality reagents, and we're here for you every step of the way. In the unlikely event that one of our products does not perform as expected, you're protected by our Product Promise.
For full details, please see our Terms & Conditions

Please note: All products are 'FOR RESEARCH USE ONLY. NOT FOR USE IN DIAGNOSTIC OR THERAPEUTIC PROCEDURES'.

For licensing inquiries, please contact partnerships@abcam.com